Erkrankungen der Organe mit Mikro-Organismen und Parasiten

Begonnen von Holger Adelmann, Februar 18, 2010, 17:32:15 NACHMITTAGS

Vorheriges Thema - Nächstes Thema

Harald

Hallo Holger,

hier die Lamblien ein bisschen größer!



Liebe Grüße
Harald

Holger Adelmann

Erstmal herzlichen Dank an Harald !

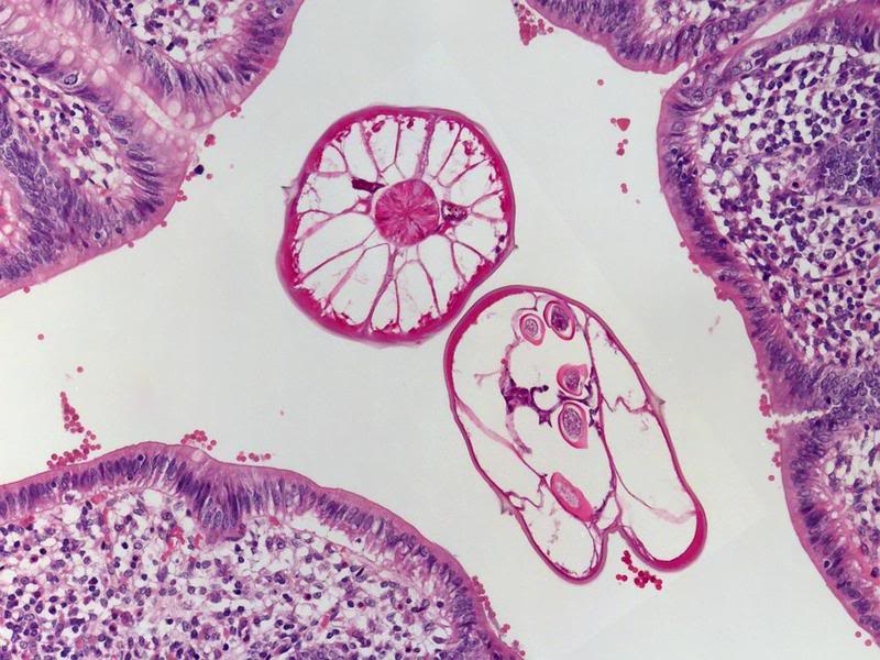
Hier noch eines aus meiner Präparatesammlung:
Oxyuris vermicularis (Madenwurm) im Querschnitt im Darm - ein mehr oder weniger lästiger, aber recht harmloser Darmbewohner.
Ebenfalls netter Eintrag in Wikipedia:
http://de.wikipedia.org/wiki/Enterobius_vermicularis

Herzliche Grüsse
Holger

Oxyuris vermicularis (Leitz Orthoplan, Plan Apo 16/0.40)



Florian Stellmacher

Lieber Holger,

sooo harmlos sind Oxyurien nun auch wieder nicht, denn sie können - vor allem bei Kindern - eine Enzündung des Wurmfortsatzes (im Volksmund fälschlich "Blinddarmentzündung" genannt, auf Schlau Appendicitis) verusachen. Wenn ich mal wieder eine unter dem Mikroskop habe und daran denke, mache ich gerne ein Foto.

Herzliche Grüße,
Florian
Vorwiegende Arbeitsmikroskope:
Zeiss Axioskop 2
Olympus BHS (DL, Pol, Multidiskussionseinrichtung)
Zeiss Axiophot (DIK und AL-Fluoreszenz)
Zeiss Axiovert (Fluoreszenz)
Wild M400 Fotomakroskop (DL, DF, AL, Pol)

Jürgen H.

Liebe Histologen,

Ich bewundere Ihre so aussagekräftigen Präparate und verfolge die Serie mit Spannung. Ganz herzlichen Dank für Ihre Mühe!

Mikrogrüße

Jürgen Harst

Holger Adelmann

Liebe Kollegen,

heute stelle ich Bilder vom Rinderbandwurm Taenia saginata ein (Endwirt z. B. Mensch, Zwischenwirt Rind).
Die Bilder zeigen einen Querschnitt durch ein reifes Glied mit Uterusverzweigungen und Eiern.
Interessant ist, dass die Körperoberfläche, welche bei den darmlosen Bandwürmern der Nahrungsaufnahme dient, als Syncytium aufgebaut ist, also als Plasmaverband aus vielen Zellen, ohne Abrenzungen zwischen den Zellen. Die jeweiligen Zellkerne sind etwas ins tiefere Gewebe abgesenkt.

Wieder ein schöner Wikipedia-Artikel:
http://de.wikipedia.org/wiki/Rinderbandwurm

Herzliche Grüsse
Holger Adelmann

Taenia saginata, Proglottide quer (Leitz Orthoplan, Pl APO 16/0.40, NPL Fluotar 40/0.70)




Sebastian Hess

Hallo Zusammen,

zwar bin ich weder Histologe noch habe ich ein Mikrotom, kann aber hier ein paar Fotos einer recht harmlosen Pilzentwicklung zeigen, wie sie, soweit ich weiß, bei immungeschwächten Personen auf Schleimhäuten (hier Mundschleimhaut) auftreten kann.

Ich habe diesen Pilz damals unter Vorbehalt als "Candida albicans" angesprochen. Was sagen die Fachleute?






40er Neofluar Zeiss, Schiefe Beleuchtung

Der Patient lebt übrigens noch und erfreut sich der Mikroskopie. ;-)

Herzliche Grüße
Sebastian Hess
Prof. Dr. Sebastian Hess
Abt. Biologie der Algen und Protozoen
Technische Universität Darmstadt

Florian Stellmacher

#21
Hallo,

da habe ich auch noch zwei Fotos, die zeigen, was bei manchen Patienten im Hals lebt.

Die Präparate stammen aus dem Trachealsekret eines zum Zeitpunkt der Probenentnahme bereits verstorbenen Patienten, der einerseits unter schwerstem Übergewicht und andererseits unter einer hochgradigen chronischen obstruktiven Lungenerkrankung (COPD) litt. Die Selbstreinigung der Atemwege war bei ihm über längere Zeit schwer eingeschränkt, sodass sich die unterschiedlichsten Mikroorganismen in seinem Tracheobronchialsekret angesammelt haben.

Bild 1: Ein lufgetrockneter, nicht eingedeckter Ausstrich. Man erkennt in der Mitte zwei große Plattenepithelzellen, im linken oberen Quadranten zwei langgezogene Flimmerepithelien, ferner granuliert erscheinende neutrophile Granulozyten und etliche Erythrozyten. Daneben sieht man deutlich kleinere Bakterien und Pilze.


Nativ, DIC nach Nomarksi, Zeiss Plan Neofluar 40x mit DIC-Schieber für Planapochromat 63x (das geht beim Zeiss Axioskop 2 offensichtlich ganz gut...)

Bild 2: Gefärbter, eingedeckter Ausstrich mit in der Mitte gelegenem Hefepilz (Candida tropicalis) und den unterscheidlichsten Bakterien. Daneben Blastosporen eines anderen Hafepilzes im unterem Bereich sowie einige Flimmerepithelen.


Gram, Zeiss Planapochromat 63x

Herzliche Grüße,
Florian
Vorwiegende Arbeitsmikroskope:
Zeiss Axioskop 2
Olympus BHS (DL, Pol, Multidiskussionseinrichtung)
Zeiss Axiophot (DIK und AL-Fluoreszenz)
Zeiss Axiovert (Fluoreszenz)
Wild M400 Fotomakroskop (DL, DF, AL, Pol)

beamish

Zitat von: Sebastian Hess in Februar 21, 2010, 19:00:37 NACHMITTAGS


Der Patient lebt übrigens noch und erfreut sich der Mikroskopie. ;-)



Hallo Sebastian,

da bin ich froh und freue mich mit! Auch an der schönen schiefen Beleuchtung!

Herzlich,

Martin

PS: ich habe da nämlich oft emotionale Schwierigkeiten bei der Betrachtung von Histos. Geht andern vielleicht genauso (nein, ich trete da jetzt bitte keine Lawine los!)
Zeiss RA mit Trinotubus 0/100
No-Name China-Stereomikroskop mit Trinotubus
beide mit Canon EOS 500D

beamish

#23
Sehr geehrter Herr XXXX,

genau diese Diskussion wollte ich eben NICHT lostreten!
Ich betrachte dieses Forum als ein durchaus wissenschaftliches, aus allen Bereichen, die die Mikroskopie betreffen.
Daß da die Ärzte unter uns einen vielleicht lockereren Umgang mit histologischen Präparaten haben als ein Botaniker, gehört zu ihrem Beruf.
Meine Äußerung von vorhin war nur ganz positiv gemeint: daß man da auch mal einen Befund zu sehen kriegt, von einem Patienten, der noch lebt und sogar offenbar Spaß am Mikroskopieren bekommen hat.

Mit freundlichen Grüßen,

Martin Bemmann
Zeiss RA mit Trinotubus 0/100
No-Name China-Stereomikroskop mit Trinotubus
beide mit Canon EOS 500D

Florian Stellmacher

Lieber Sebastian,

von der Morphologie her könnte der von Dir dokumentierte Pilz gut Candida albicans sein, zumal das wohl auch der häufigste Schleimhaut-befallende Pilz ist (Soor).

Bei den Patienten, bei denen ich die Art angegeben habe, haben die Kollegen der Mikrobiologie den Pilz bestimmt; der Pathologe hat dafür gar nicht die Möglichkeiten.

Deine Bilder sind übrigens hervorragend - bei dem Schieflicht vermisst man doch keinen DIC!?

Herzliche Grüße,
Florian
Vorwiegende Arbeitsmikroskope:
Zeiss Axioskop 2
Olympus BHS (DL, Pol, Multidiskussionseinrichtung)
Zeiss Axiophot (DIK und AL-Fluoreszenz)
Zeiss Axiovert (Fluoreszenz)
Wild M400 Fotomakroskop (DL, DF, AL, Pol)

Choms

Bevor dieser Thread einschläft, hier noch ein Beitrag (einige weiter habe ich noch, die ich in den nächsten Tagen einstellen werde):

Der Hunde- resp. Fuchsbandwurm ist ein Zwerg unter den Bandwürmern (ca. 1 mm), der aus dem Scolex (Kopf) und drei Proglottiden besteht. Primärwirt dieser Bandwürmer (Echinococcus granulosus; Echniococcus multilocularis) sind Hund, Fuchs, Katze. Für den Endwirt ist Echinococcus ungefährlich.



Ganz anders ist es für die Zwischenwirte. Normalerweise sind dies Mäuse und andere kleine Nager, die zum Beutespektrum der Primärwirte zählen. Hier bilden sich aus den Eiern, die durch Kontakt mit dem Kot, aber auch durch Aufnahme der sehr kleinen Eiern, die vom Wind verweht werden, z.T. riesige Finnenblasen (Hytiden) in den Organen der Zwischenwirte. Zu den Zwischenwirten zählt in Ausnahmefällen auch der Mensch.



aus: Frank/Lieder, "Taschenatlas der Parasitologie", Kosmos Verlag 1986



mehrkammerige Hyatide in der Leber, Mensch; aus: Böcker, Denk, Heitz, "Pathologie", Urban & Fischer 2001

In den Hyatiden bilden sich durch Sprossung unzählige Protoscolices (Cysticercen), die sich bei Aufnahme durch einen Endwirt im Darm zu adulten Echinococcen endwickeln.



Hyatidenwand quer mit sprossenden Protoscolices



Zwei Protoscolices (Cysticeri) mit innenliedendem Zahnkranz

Die Diagnose eines Echinococcusbefalls eines Menschen erfolgt bedingt durch die langsame Entwicklung der Hyatide und den unspezifischen Beschwerden meist sehr spät (bis zu 10 Jahren nach Infektion). Nicht selten endet eine Infektion beim Mensch tödlich (trotz Therapie oder Operation).

Wesentlich gefährlicher ist eine Infektion mit Echinococcus multilocularis. Hier entwickeln sich die Protoscolices nicht in einer geschlossenen Finnenblase, sondern durchwuchern wie ein Pilzgeflecht durch eine freie Sprossung der Protoscolices die Zwischenwirtorgane.

Da eine operative Entfernung des Geflechts nicht möglich ist, kann bei einer frühzeitigen Diagnose eine medikamentöse Therapie helfen. Meistens endet eine Infektion aber tödlich.

Zur Vorbeugung einer Infektion sollte man in den Verbreitungsgebieten von Echinococcus keihn Waldbeeren in Bodennähe oder Pilze sammeln oder verzehren.


Jürgen Boschert

Hallo,

nur zur Begrifflichkeit: heißt das korrekt nicht Hydatide ?

Gruß !

JB
Beste Grüße !

JB

Choms

Hallo Herr Borchert,

Sie haben recht: Korrekt Hydatide.

Gruß aus Schwäbisch Gmünd
Andreas

Robert Götz


Zum Echinococcus hier ein (leider sehr schlechtes) Bild, das ein Häkchen dieses Bandwurms zeigt.
Gefunden in einer Leberzyste, Routinefall.






Choms

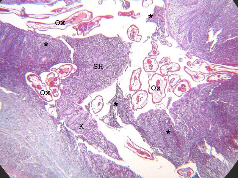
Hallo Holger und Florian,

in Ergänzung zu Euren Oxyurisbeiträgen habe ich nach meinem Präparat gesucht und bin fündig geworden:

Ein massiver Befall des Wurmfortsatzes mit Oxyuren, der eine entzündliche Reaktion in der Schleimhaut verursacht hat.



Man sieht zahlreiche Anschnitte der Madenwürmer -Ox- (längs und quer), die z.T. in die Schleimhaut -SH- eingedrungen sind. In der Schleimhaut zwischen den Krypten -K- eine deutliche Ansammlung von Entzündungszellen - ebenso wie im Lumen -*-.



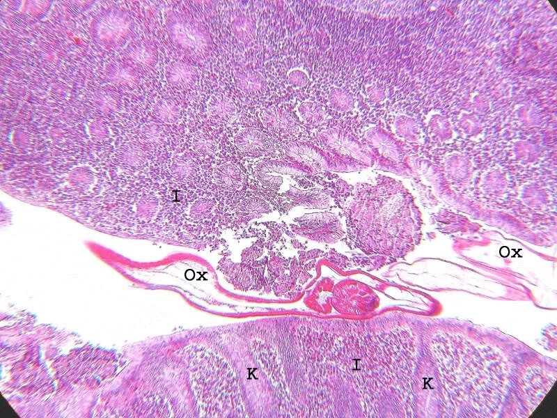
Hier in einer stärkeren Vergrößerung die starke Infiltration -
- der Darmschleimhaut mit Entzündungszellen.

Gruß aus Schwäbisch Gmünd
Andreas