HISTOLOGIE: Oberschlundganglion der Wespe?

Begonnen von Florian Stellmacher, März 09, 2010, 20:23:56 NACHMITTAGS

Vorheriges Thema - Nächstes Thema

Florian Stellmacher

Liebe Freunde der Histologie,

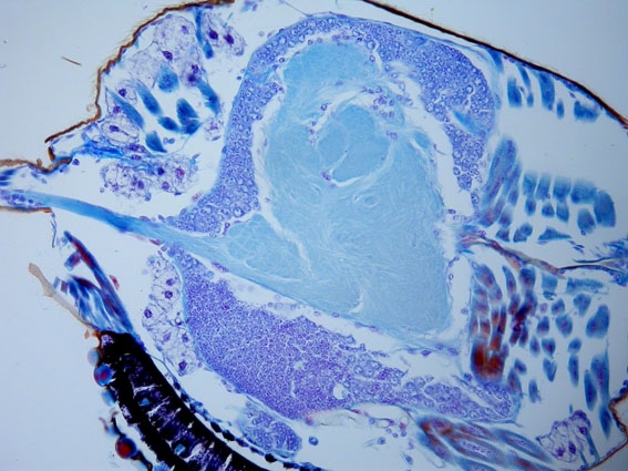
eben fand ich diese beiden Fotos auf meinem Rechner. Das Präparat stammt noch aus meiner Sturm- und Drang-Periode, in der ich versucht hatte, histologische Schnitte aus nahezu allem zu machen, was mir in die Quere kam. Der Schnitt ist, da ich den Wespenkopf nach Formalin-Fixierung und ohne Behandlung des Chitins entwässert und in Paraffin eingebettet hatte, recht dick geraten (gefühlte 25 μm). Die Färbung ist Einsenhämatoxylin-Eosin.

Nun weiß ich lediglich, dass Wespen ein Oberschlundganglion besitzen, das quasi das Gehirn des Insekts darstellt, ich weiß auch, dass dieses Ganglion wohl aus fusionierten Ganglien besteht und mit dem Strickleiternervenystem verbunden ist, mehr weiß ich aber auch nicht. Vielleicht kann einer unserer Insektenexperten etwas Licht in meine Finsternis bringen (und dabei die schlechte Schittqualität entschuldigen)?


25x


100x

Herzliche Grüße,
Florian
Vorwiegende Arbeitsmikroskope:
Zeiss Axioskop 2
Olympus BHS (DL, Pol, Multidiskussionseinrichtung)
Zeiss Axiophot (DIK und AL-Fluoreszenz)
Zeiss Axiovert (Fluoreszenz)
Wild M400 Fotomakroskop (DL, DF, AL, Pol)

Ralf Feller

Hallo Florian,
toll das sich ein Pathologe auch mal mit der Histologie von "nicht Menschen" beschäftigt. Der Schnitt ist ja nicht schlecht, vielleicht wirklich etwas dick, aber man erkennt gut den Aufbau des Nervengewebes. Für mich war das faszinierende an der Insektenhistologie, dass man einen ganzen Organismus auf einen Objektträger bekommt, und wenn man Serienschnitte macht, sieht man den Aufbau wie im CT. Vielleicht hast Du eine nette TA, die einmal Serienschnitte von Insekten für Dich machen kann. Ich muß das leider immer selbst besorgen.

Gruß Ralf

Jürgen H.

Lieber Florian,


Könntest Du einmal den gesamten Schnitt in der Übersicht zeigen? In welcher Ebene soll denn da geschnitten worden sein? Frontal?

Mikrogrüße

Jürgen

Florian Stellmacher

Lieber Jürgen,

die Fotos sind schon etwas älter und der Schnitt ist in irgend einer Kiste. Vielleicht finde ich ihn...

Ich glaube, die Schnittebene ist horizontal.

Herzliche Grüße,
Florian
Vorwiegende Arbeitsmikroskope:
Zeiss Axioskop 2
Olympus BHS (DL, Pol, Multidiskussionseinrichtung)
Zeiss Axiophot (DIK und AL-Fluoreszenz)
Zeiss Axiovert (Fluoreszenz)
Wild M400 Fotomakroskop (DL, DF, AL, Pol)

Jürgen H.

Lieber Florian,

Was mich schon wundert, ist die Färbung des Schnittes. Nun habe ich mit Eisenhämatoxylin/Eosin Färbungen keine Erfahrung, ich kenne nur reine Eisenhämatoxfärbungen oder H-E Färbungen mit Hämatoxylin Ehrlich oder Mayer. In allen mir bekannten Fällen würden sich um die Kopfganglien herum Perikarien zeigen, die sich blau bzw. grau anfärben. Das führt mich zu der weiteren Frage, was die rotbraun gefärbten Partien in Deinem Schnitt sein sollen. Auch habe ich keine Vorstellung davon, wie sich der Schnitt in den Körper des Insektes einordnen soll. Der Schnitt ist ja nun recht länglich. Gehe ich in einer horizontalen Richtung, sozusagen in Laufrichtung der Wespe durch den Kopf, würde sich imho ein anderes Erscheinungsbild ergeben, einmal von den Umrissen des Schnittes und weiterhin, weil dann die Augen wohl ziemlich sicher mit getroffen würden. Sie erstrecken sich seitlich weit über den Kopfbereich.

Mikrogrüße

Jürgen

Florian Stellmacher

Lieber Jürgen,

ich merke schon - ich sollte auf jeden Fall den Schnitt heraussuchen. Soweit vielen Dank!

Herzliche Grüße,
Florian
Vorwiegende Arbeitsmikroskope:
Zeiss Axioskop 2
Olympus BHS (DL, Pol, Multidiskussionseinrichtung)
Zeiss Axiophot (DIK und AL-Fluoreszenz)
Zeiss Axiovert (Fluoreszenz)
Wild M400 Fotomakroskop (DL, DF, AL, Pol)

Holger Adelmann

Lieber Florian,

Ich denke dass der Schnitt etwas schraeg ist. Dennoch glaube ich, Strukturen wie z.B. Lobula und Medulla zu erkennen.
Schau doch mal hier nach: http://www.biocenter.oulu.fi/projects/weckstromvahasoyrinki.html.

Herzliche gruesse
Holger

Holger Adelmann

... ah und links im Deinem Bild koennte es sich um den Zentralbereich des Insektengehirns handeln. Die dort am Rand gelegenen runden Strukturen koennten sog. Pilzkoerper (engl: mushroom bodies) sein, welche Sitz der hoeheren Signalverarbeitung und des Lernens im Insektengehirn darstellen.

http://learnmem.cshlp.org/content/5/1/78.full.pdf+html

http://www.mikroskopie-forum.de/index.php?topic=2722.0

Naechtliche Gruesse
Holger

Florian Stellmacher

#8
Lieber Jürgen,

der Schnitt ist offenbar im Orcus verschollen! Ich hatte ihn vor Ewigkeiten einmal zum Fotografieren herausgelegt, da ich, um in einem Vortrag die Wirkung der Aperturblende zu zeigen, einmal einen wirklich viel zu dicken Schnitt fotografieren wollte; danach muss er dann irgendwo anderes als in einer meiner Insekten-Kisten gelandet sein...

Lieber Holger,

sehr interessante Publikationen, die ich eben überflogen habe. Das mit den Pilzkörperchen macht Sinn, ich habe eben noch weitere Bilder von Insektenpräparaten gemacht, die weitere Anteile des Insektengehirns zeigen. Sie stammen von der blauen Schmeißfliege, Paraffin-Schnitte nach Fixierung in Bouin.

Die Bildqualität bitte ich zu entschuldigen - ich habe die Fotos mit einer SONY Cyber-shot durch das Okular meines Zeiss Phomi II geknipst und die grauenhafte Vignettierung weggeschnitten (es wird wirklich Zeit, dass ich mir für zu Hause einmal eine vernünftige Kamera mit entsprechender Adaptation zulege  ;))

Bild 1: Pilzkörper

Masson-Goldner, Zeiss Planapochromat 10x

Bild 2: Pilzkörper mit Nerv

AZAN, Zeiss Planapochromat 10x

Bild 3: Pilzkörper mit Auge

AZAN, Zeiss Planachromat 2,5x

Bild 4: Auge mit Sehnerv und Muskel (Augenmuskel?), wahrscheinlich Teil der Mundwerkzeuge

HE, Zeiss Planapochromat 4x

Herzliche Grüße,
Florian


Vorwiegende Arbeitsmikroskope:
Zeiss Axioskop 2
Olympus BHS (DL, Pol, Multidiskussionseinrichtung)
Zeiss Axiophot (DIK und AL-Fluoreszenz)
Zeiss Axiovert (Fluoreszenz)
Wild M400 Fotomakroskop (DL, DF, AL, Pol)

Jürgen H.

Lieber Florian,

schöne Schnitte! Hast Du die Gehirne teilweise aus den Köpfen herausgeholt? Bild 1 und 2 sehen so aus? Oder was hast Du mit dem Chitin gemacht?  Der Nerv in Bild zwei wird wohl der Antennennerv aus dem Deuterocerebrum sein. Zum Vergleich hier der Kopf meiner Mücke:



Am Ausgang des Nerves in meinem Schnitt eine typische Glomerulistruktur, Stellen gehäufter Synapsenbildung, wie sie bei den Insekten  im Deuterocerebrum vorkommt. Sie erinnert an den Bezirk links in Deinem ersten Bild in diesem Thread, bei dem es sich ebenfalls um Glomerulistrukturen handeln könnte. Neben dem Deuterocerebrum finden sich solche Bezirke in den beiden Ventralkörpern oder in der Protocerebralbrücke und dem Zentralkörper. Das dürften die Kandidaten für diesen Bezirk in Deinem Bild sein. Die beiden rechten Nerväste, die in Deinem Bild zu sehen sind,  bringe ich aber nicht recht unter. Dass es sich hierbei um die Sehzentren (Lamina oder Medulla) handelt, glaube ich im Gegensatz zu Holger Adelmann nicht.

In meinem Bild in der oberen Hirnhälfte in der Mitte rechts jedenfalls der Zentralkörper und rechts dahinter die Protocerebralbrücke. Neben dem Zentralkörper links aufsteigend und den Zentralkörper überdeckend ein Pilzkörper.





Mikrogrüße


Jürgen

Florian Stellmacher

#10
Lieber Jürgen,

ZitatHast Du die Gehirne teilweise aus den Köpfen herausgeholt?

nein - ich hatte die Organe nicht aus dem Chitin herausgelöst, der leere Hof beruht auf Schrumpfungsartefakten. Da war ich einfach etwas blauäugig und vor allen neugierig an die Sache heran gegangen, ohne wirklich zu wissen, wie man Insekten für die Histologie vorbereiteten muss. Ich kann mir vorstellen, dass ich hinterher das "zerfledderte" Chitin vom Schnitt gekratzt habe, genau weiß ich das aber nicht mehr, denn das Präparat ist 15 Jahre alt. Man sieht aber noch Chitinreste: die schwarzen Striche sind nicht etwa Staub auf den Deckglas sondern Material im Block/Präparat.

Ich sehe schon, dass so ein Insektenhirn eine komplexe Angelegenheit ist, und ich lese andächtig, wie Ihr Experten die Strukturen benennt. An de facto vergessenen Schnitten habe ich so schon wieder vieles gelernt (mir fielen heute auch noch Schnitte durch Nacktschnecken, Blutegel, Kellerasseln usw. in die Hände...)

Herzliche Grüße,
Florian

P.S.: Dein Schnitt läßt aber im Vergleich doch die Hand des Insekten-Profis erkennen (aber Mücken haben auch nicht so einen dicken Schädel, oder?)
Vorwiegende Arbeitsmikroskope:
Zeiss Axioskop 2
Olympus BHS (DL, Pol, Multidiskussionseinrichtung)
Zeiss Axiophot (DIK und AL-Fluoreszenz)
Zeiss Axiovert (Fluoreszenz)
Wild M400 Fotomakroskop (DL, DF, AL, Pol)

Manfred Melcher

Florian,

Bild 4 von der blauen Schmeißfliege beschreibst Du mit "Auge mit Sehnerv und Augenmuskel". Welche Aufgabe hat ein Augenmuskel bei einem Komplexauge? Ich dachte Insektenaugen sind unbeweglich. Oder mache ich einen Denkfehler?

Liebe Grüße

Manfred

Florian Stellmacher

Lieber Manfred,

das wundert mich ja auch! Aber was ich sehe, ist ein Skelettmuskel (also ein wilkürlich innervierter, quergestreifter Muskel) der unmittelbar am Auge ansetzt. Daher habe ich den Muskel erst einmal so genannt. Was für eine Aufgabe er wirklich hat, weiß ich nicht. Sicher wissen es die Experten?

Herzliche Grüße,
Florian
Vorwiegende Arbeitsmikroskope:
Zeiss Axioskop 2
Olympus BHS (DL, Pol, Multidiskussionseinrichtung)
Zeiss Axiophot (DIK und AL-Fluoreszenz)
Zeiss Axiovert (Fluoreszenz)
Wild M400 Fotomakroskop (DL, DF, AL, Pol)

Manfred Melcher

Hallo Florian,

vielen Dank für die rasche Antwort. Ich glaube der Muskel hat nichts mit Augentätigkeiten zu tun. In der Kopfkapsel sind viele Muskeln für die Bewegung der Mundwerkzeuge befestigt. Auch in Augennähe. Im Schnittbild eines Ameisenkopfes liegt die Ansatzstelle eines Dilatators in der Nähe des Auges. Vielleicht handelt es sich hier um einen vergleichbaren Muskel. (gesehen im Lehrbuch der Entomologie, Konrad Dettner/Werner Peters, Seite 49, 2. Auflage.

Liebe Grüße

Manfred

Florian Stellmacher

Lieber Manfred,

Du hast Recht, da macht anders keinen Sinn!

Herzliche Grüße,
Florian
Vorwiegende Arbeitsmikroskope:
Zeiss Axioskop 2
Olympus BHS (DL, Pol, Multidiskussionseinrichtung)
Zeiss Axiophot (DIK und AL-Fluoreszenz)
Zeiss Axiovert (Fluoreszenz)
Wild M400 Fotomakroskop (DL, DF, AL, Pol)