Botanik: Gemeiner Fenchel (Foeniculum vulgare) *

Begonnen von Fahrenheit, August 24, 2010, 20:22:00 NACHMITTAGS

Vorheriges Thema - Nächstes Thema

Fahrenheit

Liebe Pflanzenfreunde,

vor einigen Tagen habe ich von Mila einige Sprossstücke vom gemeinen Fenchel in AFE erhalten. Die daraus entstandenen Präparate möchte ich heute hier zeigen.

Der gemeine Fenchel (Foeniculum vulgare) ist die einzige Art der Gattung Foeniculum innerhalb der Familie der Doldenblütler (Apiaceae). Als Gemüse- Gewürz- und Heilpflanze ist er heute weltweit verbreitet. Ursprünglich ist er eine mediterrane  Kulturpflanze, die in Mitteleuropa gelegentlich verwildert und einen wärmebegünstigten Standort mit mäßig trockenem, nährstoff- und basenreichem Lehm- oder Lössboden benötigt.

Fenchel ist eine zweijährige bis ausdauernde krautige Pflanze, die Wuchshöhen über einem Meter erreichen kann. Typisch ist der würzig anisähnlich Duft, ein Hinweis auf die enthaltenen ätherischen Öle. Der runde Spross ist kahl und oft silbrig-bläulich beschlagen. Die zwei- bis dreifach gefiederten Laubblätter sind haarförmig geschlitzt.

Die als Gemüse gegessene Fenchelknolle besteht aus zwiebelähnlich zusammenliegenden Speicherblättern. Sie stammt jedoch nicht vom Gemeinen Fenchel, sondern vom Gemüsefenchel (Foeniculum vulgare var. dulce - Süßer Fenchel).  

Die Blütenstände des Fenchels sind doppeldoldig und bestehen bei einen Durchmesser von 5 bis 9 cm aus einer sehr variablen Anzahl Döldchen (6 bis maximal 40 Stück) an 2 bis 25 cm langen Stängeln. Diese wiederum enthalten eine ebenfalls stark variierende Anzahl Einzelblüten (14 bis über 30 Stück). Die zwittrigen Blüten sind fünfzählig mit einem Kelch aus hinfälligen Kelchzähnen. Die gelben, verkehrt-eiförmigen Kronblätter umschließen einen Kreis mit fünf freien, fertilen Staubblättern, in deren Mitte sich der sehr kurze Griffel befindet. Die kleinen Früchte sind mehr oder weniger zylindrisch zeigen fünf breiten Rippen.

Fenchel enthält ätherische Öle (Frucht: trans-Anethol, Fenchon, a-Pinen, Camphen, Myrcen, a- und ß-Phellandren, a-Terpinen, cis-Anethol, Limonen, Terpinolen, Estragol, p-Cymol; Kraut: a-Phellandren, a-Pinen, cis-Anethol, Myristicin, a-Terpinen, Limonen; Wurzel: Dillapiol, Myrcen, a- und ß-Pinen, a- und ß-Phellandren, a- und ß-Terpinen, Myristicin, cis-Ocimen, Anethol), Kieselsäure, Mineralsalze, Stärke, Vitamin A, B und C. Der Vitamin-C-Gehalt der frischen Pflanze (Blätter) pro 100 g Frischegewicht beträgt 247,3 mg. Fenchelhonig wird als traditionelles Hausmittel bei Erkältungen und bei Störungen des Magen-Darmtraktes eingesetzt.

Wer mehr wissen möchte, wir z.B. beim Wikipedia-Artikel zum Fenchel fündig.

Bild 1: Eine schöne Illustration aus Prof. Dr. Otto Wilhelm Thomé; Flora von Deutschland, Österreich und der Schweiz - 1885, Gera (www.biolib.de, public domain)


Geschnitten wurden die Sprossstücke nach der Objektfixierung mit AFE auf dem Handzylindermikrotom mit Einmalklingen im Klingenhalter. Die Schnittdicke beträgt ca. 50 µm.

Leider ist eine erste Färbung nach Wacker W3A misslungen. Assimilationsparenchym und Eckenkollenchym der ungebleichten Schnitte waren völlig überfärbt und im Hellfeld fast undurchsichtig. Auch eine Färbung mit Etzold Grün nach Brügmann zeigt diesen Effekt:

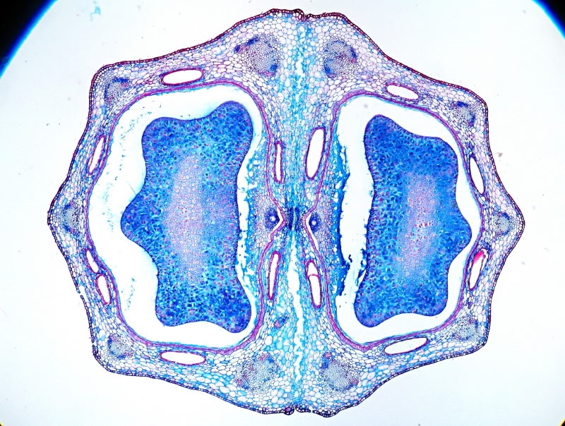
Bild 2: Sprossquerschnitt gefärbt mit Etzold Grün, Vergrößerung 50x, Stapel aus 5 Bildern


Erst die Färbung mit AcriBEN (Brillantkresylblau, Acriflavin und Eosin/Nelkenöl) brachte mehr Durchblick:

Bild 3: Sprossquerschnitt gefärbt mit AcriBEN, Vergrößerung 50x, Stapel aus 5 Bildern


Ein wenig näher heran, wieder beide Färbungen:

Bild 4: Ausschnitt aus dem Sprossquerschnitt, Etzold Grün, Vergrößerung 100x, Stapel aus 6 Bildern


Bild 5: Ausschnitt aus dem Sprossquerschnitt, AcriBEN, Vergrößerung 100x, Stapel aus 6 Bildern


Und noch ein Leitbündel, ebenfalls gefärbt mit Etzold Grün und AcriBEN:

Bild 6: Leitbündel, Etzold Grün, Vergrößerung 200x, Stapel aus 6 Bildern


Bild 7: Leitbündel, AcriBEN, Vergrößerung 200x, Stapel aus 5 Bildern


Damit auch die Anatomie zu ihrem Recht kommt, zum Schluss noch mal ein Bild mit Beschriftung der einzelnen Gewebearten:

Bild 8: Bild 5 mit Beschriftung

SK : Sekretkanäle
Ep : Epidermis mit aufliegender Cuticula
EK : Eckenkollenchym, ein Festigungsgewebe, dass aber nicht wie das Sklerenchym verholzt ist
AP : Assimilationsparenchym (Palisadenparenchym)
SK : Sklerenchymkappe (?)
Pl  : Phloem
MP: Markparenchym  
Tr : Trachee
XlP: Xylemparenchym

Diesmal bin ich mit den Färbeergenissen nicht wirklich zufrieden und muss neidlos anerkennen, das die Arbeit von Bernard im "Le Naturaliste" deutlich besser gelungen ist.

Anregung und Kritik sind wie immer willkommen!

Herzliche Grüße
Jörg
Hier geht's zur Vorstellung: Klick !
Und hier zur Webseite des MKB: Klick !

Arbeitsmikroskop: Leica DMLS
Zum Mitnehmen: Leitz SM
Für draussen: Leitz HM

rekuwi

Lieber Jörg,

warum so überkritisch!? Ich finde die Schnitte einfach (ebenso wie viele hier auch von anderen schon gezeigten) bewundernswert. Da könnte ich vor Neid erblassen. Ich freue mich immer wenn so was Schönes gezeigt wird und sage: toll, einfach toll. Ich hätte nicht die Geduld so dünne Schnitte zu machen, ganz abgesehen von den langwierigen Färbe- und Einbettprozeduren.
Und durch die Beschriftungen wird dann irgendwann bei genügender Wiederholung auch endlich die Pflanzenanatomie "eingetrichtert".

Dankbare Grüße
Regi

Mila

#2
Liebe Regi,

deswegen lasse ich Jörg das machen ;) ;D


Lieber Jörg,

ich freue mich sehr über diesen Beitrag zum Fenchel. Schön, ein Pflänzlein aus dem Kamilarium so toll präpariert zu sehen. Inzwischen sind auch die Früchte soweit, also falls Du möchtest... ;) Die Früchte eignen sich sehr gut als Arzneimittel gegen Blähungen oder als schleimlösende Droge bei dem sog. produktiven Husten.

Die Schnitte sind toll und schön gefärbt, einfach klasse und  werden Einzug in "Klasse" (:D) halten.

Herzliche Grüße
Mila

Nachtrag: in Bild 8, könnten das nicht Kanäle für das ätherische Öl sein, was Du als SK bezeichnet hast? Auch z.B. bei Bild 4 zu sehen...

Fahrenheit

Liebe Regi,

das Bessere ist des Guten Feind. Und Bernards Färbung ist eindeutig besser gelungen, da keine Bereiche überfärbt sind und auch die einzelnen Zellen des Palisadenparenchyms fein heraus kommen. Leider bin ich des Französischen nicht mächtig, ich kann also im Zweifel nicht nachlesen, wie er genau gearbeitet hat.

Trotzdem danke ich Dir für Dein Lob und es freut mich auch, dass Dir die Beschriftung der Gewebearten hilft.  :)

Liebe Mila,

auch Dir vielen Dank! Besonders natürlich für die fixierte "Rohware" aus dem Kamilarium.  ;D

Wie Du gehe ich davon aus, dass die ätherischen Öle des Fenchels von den Begrenzungszellen der Sekretkanäle gebildet werden. Ich vermute jedoch, dass auch die Zellen des Assimilationsparenchyms Öle enthalten und dies die Ursache für die Überfärbung ist.
Bezeichnenderweise zieht das Eosin/Nelkenöl der AcriBEN Färbung dort nicht auf. Die Zellen sollten nämlich eigentlich rötlich erscheinen.

Bleichen z.B. mit Klorix könnte da helfen. Fenchel scheint aber recht empfindlich zu sein - beim Versuch habe ich mir eine Charge Schnitte in Stückchen mazeriert - trotz kurzer Einwirkzeit von ca. 5 Minuten unbrauchbar.  >:(

Wenn Du Früchte übrig hast, nehme ich sie gerne, vielen Dank für Dein Angebot!

Natürlich freue ich mich, wenn Du meine Bilder in Deinem Unterricht verwenden kannst. Bedien' Dich!  :)

Herzliche Grüße
Jörg
Hier geht's zur Vorstellung: Klick !
Und hier zur Webseite des MKB: Klick !

Arbeitsmikroskop: Leica DMLS
Zum Mitnehmen: Leitz SM
Für draussen: Leitz HM

Klaus Herrmann

#4
Lieber Jörg,

sehr schöne Bonner Klüngelei, die Du hier demonstrierst. Von Mila getrieben und unterstützt hast Du wieder ein Lehrbuchstück abgeliefert.

Bernard sagt zur Technik selten was, ganz am Anfang hat er sich mal bedankt für mein Etzold grün, das er in größeren Mengen konsumiert. Seine Färbungen sind wirklich fast ausnahmslos gelungen - wenn man berücksichtigt, dass er die botanische Histologie erst durch meine Bilder angeregt begonnen hat. Davor gab es bei den französischen Kollegen wenig Bereitschaft sich mit dieser Färbung auseinander zu setzten, aber jetzt gibt es einige, die sie verwenden.
Er beschreibt auch die "caneaux sécréteurs" (Plural von "canal") die im Parenchym und im Ploem reichlich vorkommen. Kann man auch ohne vertiefte Sprachkenntnisse erraten ;)
Die Stomata sind hier ebenfalls unscheinbar, aber er hat eines im Detail gezeigt.

Er fixiert mit AFE und bleicht normalerweise auch mit Klorix - ob in diesem Fall kann ich nicht sagen, werde ihn aber fragen!

Ich denke bei Krauters Präparaten ist auch ein Fenchelfrüchtchen dabei, wenn ja werde ich - ausser Konkurrenz - eines ablichten.

Edix: hier habe ich gefragt  http://www.lenaturaliste.net/forum/viewtopic.php?f=125&t=6293
Mit herzlichen Mikrogrüßen

Klaus


ich ziehe das freundschaftliche "Du" vor! ∞ λ ¼


Vorstellung: hier klicken

Fahrenheit

Lieber Klaus,

vielen Dank für Dein Lob!

Getrieben hat mich die liebe Mila nicht. Ich hatte Sie um Fenchel aus dem Kamilarium gebeten, da ich in Bernards Beitrag die Anatomie mit den ausgeprägten Eckenkollenchymen und den nicht sklerifizierten Sklerenchymkappen ( ;D) auf den Leitbündeln sehr interessant fand. Aber geklüngelt haben wir schon, das ist im Rheinland so üblich.  ;D ;D

Die Fachbegriffe im Französischen sind nicht das Problem, sie klingen ja recht ähnlich und man sieht im Bild, was gemeint ist.
Der Fließtext ist aber eine unüberwindliche Hürde für mich. Daher vielen Dank für Deine Hinweise zu Bernards Technik.

Die Stoma habe ich ebenfalls entdeckt, eines ist z.B. direkt oberhalb des Striches zum Markparenchym. Ich muss die Tage mal schauen, ob ein wirklich fotogenes dabei ist.  :)

Über ein Bild von Krauters Fenchelfrüchten hier im Thread würde ich mich sehr freuen - und Mila sicher auch.  ;)

Herzliche Grüße
Jörg
Hier geht's zur Vorstellung: Klick !
Und hier zur Webseite des MKB: Klick !

Arbeitsmikroskop: Leica DMLS
Zum Mitnehmen: Leitz SM
Für draussen: Leitz HM

Klaus Herrmann

Lieber Jörg,
hatte den einzigen Sommertag in dieser Saison zu einem Kurzausflug an den Bodensee genutzt - muss offensichtlich wieder reichen bis nächstes Jahr! ;)

Aber Bernard hat geantwortet inzwischen:

ZitatJe ne fais pas de fixation et j'utilise l'hypochlorite de sodium du commerce (je pense 30% environ) pendant vingt minutes.
J'ai remarqué que c'était peut être un peu long, j'ai tendance à diminuer maintenant (15 minutes).
Peut être que ce traitement provoque un gonflement de certaines parois cellulosiques comme celles des collenchymes.
Amitiés. Bernard.

Er hat Klorix unverdünnt 20 min lang einwirken lassen ohne Fixierung davor! Er meint auch das sei vielleicht etwas lang und reduziert jetzt auf 15 min. Scheint mir aber immer noch sehr radikal, weil 30%ig!


 
Mit herzlichen Mikrogrüßen

Klaus


ich ziehe das freundschaftliche "Du" vor! ∞ λ ¼


Vorstellung: hier klicken

Ronald Schulte

Jörg,

Es ist zwar nicht mein Arbeitsfeld aber die aufnahmen finde ich gut gelungen.
Mache weiter so!

Grüße Ronald
Mikroskope:
Leitz Orthoplan (DL, AL-Fluoreszenz und Diskussionseinrichtung).
Leica/Wild M715 Stereomikroskop.
Mikrotom:
LKB 2218 Historange Rotationsmikrotom.

Wolfram Weisshuhn

Hallo Jörg,

als Nicht-Botaniker möchte ich zu o.g. Fenchelart bemerken, daß ich diesen Fenchel im Garten anbaue und die Fenchelkerne ernte, trockne und als Tee verwende. Man kann aus den Kernen auch einen alkoholischen Auszug, z.B. mit Kornschnaps, herstellen, etwas Zucker hinzufügen und man hat so einen wohlschmeckenden Schnaps in der Hausapotheke.

Und nun kommt der entscheidende Punkt: Dieser Fenchel hat keine Knolle, die man als Gemüsefenchel verarbeiten kann. Und umgekehrt ?

mfG

Wolfram Weisshuhn

Fahrenheit

#9
Lieber Klaus,

schön, das Du für mich nachgefragt hast, vielen Dank! 20 Minuten unverdünnt! Ich hatte das fixierte Material für 10 bis 15 Minuten im 1:4 verdünnten Klorix und die Schnitte vielen schon auseinander. Vor dem Fixieren bleichen werde ich auch mal probieren.

Hattest Du schon Gelegenheit, Deine Präparate zu sichten? Auf einen Schnitt durch die Frucht bin ich sehr gespannt.

Schee is am See, gelle!

Lieber Ronald,

herzlichen Dank für Dein Lob!

Lieber Wolfram,

Du hast Recht, vielen Dank für die Korrektur. Die Fenchelknolle, die eigentlich keine Knolle ist sondern eben aus verdickten Blattscheiden  besteht, wird vom Gemüsefenchel (Foeniculum vulgare var. dulce) gewonnen und nicht vom Gemeinen Fenchel (Foeniculum vulgare).

Hier ein wenig Warenkunde (http://www.familie-im-web.de/familie/rezepte/produktwissen/fenchel.html) als Beleg:
ZitatFenchel wird in verschiedenen Sorten angebaut. Das, was wir an der Fenchelpflanze  gemeinhin als "Gemüse" schätzen gelernt haben, sind die oberirdischen, zwiebelförmig verdickten Blattscheiden (Unterblätter) des Gemüsefenchels (botanisch 'Foeniculum dulce'), einer kleinen, untersetzten Pflanze (bis zu 30 cm hoch).

Ich hab's oben korrigiert!

Da Mila mir ja Fenchelsamen angeboten hat, werde ich den Aufgesetzten auf alle Fälle einmal ausprobieren. In wie weit der Samen vom F. dulce genau so wie der des F. vulgare genutzt weren kann, kann ich nicht sagen - da fehlt mir leider die Erfahrung.  

Herzliche Grüße
Jörg

Edit: Die Angabe Foeniculum dulce im obigen Zitat ist nicht ganz korrekt, es muss heissen Foeniculum vulgare var. dulce. Danke Günter.
Hier geht's zur Vorstellung: Klick !
Und hier zur Webseite des MKB: Klick !

Arbeitsmikroskop: Leica DMLS
Zum Mitnehmen: Leitz SM
Für draussen: Leitz HM

Fahrenheit

#10
Liebe Pflanzenfreunde,

anbei das versprochene Bild einer Spaltöffnung:

Bild 9: Spaltöffnung (Stoma) in der Epidermis eines Fenchelsprosses, AcriBEN, Vergrößerung 400x, Stapel aus 5 Bildern.


Das Stoma ist einschließlich der Nebenzellen an der Schnittstelle ca. 39 µm breit, eine Schließzelle hat einen Durchmesser von ca. 9,5 µm.
Die Atemhöhle dahinter ist ca 23 µm breit und ca. 20 µm tief.

Herzliche Grüße
Jörg
Hier geht's zur Vorstellung: Klick !
Und hier zur Webseite des MKB: Klick !

Arbeitsmikroskop: Leica DMLS
Zum Mitnehmen: Leitz SM
Für draussen: Leitz HM

Klaus Herrmann

Hallo Jörg,

gefällt mir ausnehmend gut das Stoma! Und so ein überzeugendes Bild! ;)

Ich hatte etwas zu rödeln, aber des Fenchelfrüchtchen steht oben auf meiner Liste der to do´s!
Mit herzlichen Mikrogrüßen

Klaus


ich ziehe das freundschaftliche "Du" vor! ∞ λ ¼


Vorstellung: hier klicken

Mila

Guten Abend,

es handelt sich hier nicht um
Zitat von: Wolfram Weisshuhn in August 27, 2010, 13:39:41 NACHMITTAGS
Fenchelkerne

sondern um Früchte, die den Samen beinhalten, wenn wir doch schon botanisch korrekt sein wollen ;)

Viele Grüße
Mila

Klaus Herrmann

#13
Lieber Jörg,

nun habe ich wenigstens die oberste Prio erledigt. Das Früchtchen vom gemeinen Fenchel quer; Etzold - leider nicht von mir, sondern von Herrn Krauter aus seinem Nachlass vor dem Mülleimer gerettet .
Planneo 5; als Kondensor habe ich ein KPL 10/20 verwendet, das eine bessere Leuchtdichte hat, als mein Kondensor mit abgeklappter Frontlinse.

Mein Familienzauberer steht mir erst morgen wieder zur Verfügung, deshalb darf sich gerne ein Könner an das "Reinigen" machen. Die Vignettierung kommt von meinem unkonventionellen "Kondensor"

Mit herzlichen Mikrogrüßen

Klaus


ich ziehe das freundschaftliche "Du" vor! ∞ λ ¼


Vorstellung: hier klicken

Fahrenheit

Lieber Klaus,

danke für das Bild von Herrn Krauters Schnitt durch eine Fenchelfrucht!

So wie ich das Bild deute, gibt es in der Fruchthülle viele sehr große Sekretgänge und eine einzellige sklerifizierte (?) Endodermis zur Samenkammer hin.
Ein für mich sehr interessantes Präparat.

Herzliche Grüße
Jörg
Hier geht's zur Vorstellung: Klick !
Und hier zur Webseite des MKB: Klick !

Arbeitsmikroskop: Leica DMLS
Zum Mitnehmen: Leitz SM
Für draussen: Leitz HM