Hauptmenü

Seminar Bildverarbeitung

Begonnen von Holger Adelmann, November 21, 2010, 14:15:33 NACHMITTAGS

Vorheriges Thema - Nächstes Thema

Holger Adelmann


V A) 3-D Rekonstruktionen - Vorbedingungen

Wenn man mehrere optische Schnittebenen durch eine dreidimensionales Objekt auf verschiedenen Fokusebenen aufzeichnet, kann man daraus eine 3-Rekonstruktion des Objektes machen. Die 'antike' Version, indem man jedes (transparente) Foto auf eine Glasplatte bringt und dann die Glasplatten im jeweils korrekten Abstand zu einem Stapel montiert, wurde heute weitgehend durch die Verwendung von Software im Computer abgelöst.

Ich zeige heute ein Beispiel einer 3-D Rekonstruktion, welche die schönen mit Picolay zu erzielenden Ergebnisse ergänzen soll.
Man startet wie üblich mit einer Fokusserie des Objektes:

Bild 19 zeigt eine Serie von Aufnahmen einer versilberten Nervenzelle im Hellfeld in verschieden Fokusbereichen:


Bild 20 zeigt eine ausgewählte Ebene daraus:


Ein kurzer Videoclip zeigt den gesamten Stapel im Fokusdurchlauf:
http://www.flickr.com/photos/55075099@N06/5229320738/

Leider enthält jede Ebene noch unscharfe Anteile von Objektstrukturen aus darüber - oder darunterliegenden Fokusebenen. Diese sollte man möglichst entfernen, da sie einer korrekten 3-D Rekonstruktion im Wege stehen.
Die korrekteste und aufwendigste Möglichkeit bietet die 3-D Dekonvolution, dazu in einem späteren Artikel mehr.

Bild 21 zeigt, wie man sich mit einfacheren Mitteln behelfen kann um Out-of-Focus Information aus den einzelnen Schnitten zu entfernen:
Vom Bild wird zunächst eine tiefpassgefilterte Kopie erzeugt (oben rechts) welche dann über eine Minimum-Funktion mit dem Originalbild kombiniert wird (unten links). Diese Massnahme hilft, die scharfen, kontrastreichen Anteile im Bild besser hervorzuheben und abzugrenzen.
Danach wird ein Hochpassfilter angewendet. Das Ergebniss sieht man unten rechts. Diese bearbeiteten Ebenen sind nicht perfekt aber schon viel besser zur nachfolgenden 3-D Rekonstruktion geeignet.


V B) Die eigentliche 3-D Rekonstruktion

In einem sogenannten 3-D Renderer Programm kann man nun die Lücken zwischen den einzelnen Fokusebenen interpolieren, d.h. rechnerisch überbrücken, und mittels einem alpha-Kanal den entstandenen Block transparent machen und somit so weit erodieren ('abtragen'), dass man nur noch die interessierenden Strukturen erhält, im Beispiel hier den Zellkörper mit seinen Fortsätzen.

Bild 22 zeigt eine Rekonstruktion des zentralen Bereichs des Blocks mit dem Zellkörper, in 2 verschiedenen Winkeln gerendert, um so eine Stereoansicht zu erzeugen.


Bild 23 zeigt ein weitere Möglichkeit, welche solche Renderer Programme bieten: Man kann sogar in den Block und damit in die Objektrekonstruktion quasi hineinschneiden.


... wird fortgesetzt

wie immer viel Spass und Inspiration beim Ansehen. Kommentare willkommen, Fragen gerne auch wie bisher als PN.
Herzliche Grüsse
Holger





Jan Kros

Hallo Holger,

Herzlichen Dank für das nächste Teil.
Ich drucke alles aus damit ich das nochmals nachlesen kann.

Gruss
Jan


Heribert Cypionka

#17
Lieber Herr Adelmann,

auch ich möchte mich herzlich für diese schöne Darstellung der Grundlagen bedanken!
Die Ergebnisse des Renderings sind allerdings oft arg verfremdend. Ich habe mal aus Ihrem Bild 19 die 'Thumbnails' kopiert und für eine Hologramm-Darstellung mit PICOLAY verwendet (am besten zu betrachten durch eine Rot-Cyan-Brille). Irgendwie sieht das mehr nach Gliazelle aus (und ähnelt Ihren Originalen) - oder nicht?



Wenn Sie mir die Orignalbilder schicken oder es selbst mit PICOLAY versuchen, wird es garantiert noch viel besser.

Mit herzlichem Gruß

Heribert Cypionka

P.S: Ein neue Version, die besser dazu besser geeignet sein sollte als alle bisherigen, habe ich gerade ins Netz gestellt...  ;)

http://www.picolay.de




Holger Adelmann

Lieber Herr Cypionka,

das ist wirklich sehr schön geworden - selbst mit den niedrig aufgelösten Thumbnails, vielen Dank!

Ich sende Ihnen noch die Originale und freue mich schon - bestimmt mit anderen Forum-Mitglieder - auf ein noch besseres Ergebnis  ;)

Es ist in der Tat eine Neuroglia-Zelle, wie man leicht daran erkennen kann, dass alle dazu geposteten Bilder irgendwie den namen 'glia' im Dateinamen bzw. Link haben  ;D

Die neueste Picolay-Version werde ich mir direkt laden.

Herzliche Sonntagsgrüsse
Holger Adelmann


Heribert Cypionka

Lieber Herr Adelmann,

vielen Dank für die Originale! Die höher aufgelöste Animation war ich noch war ich noch schuldig - aber so viel besser ist sie gar nicht geworden.



Gerade bei 3D kommt es mehr auf die Zahl der Ebenen als auf Bildgröße an ...

Schönes Wochenende noch!

Heribert Cypionka

www.picolay.de


Holger Adelmann

Lieber Herr Cypionka,

das sieht doch sehr schön aus. Ich finde das Ergebnis deutlich besser.
Herzlichen Dank dafür und ebenfalls ein schönes Wochenende.
Ihr
Holger Adelmann

Holger Adelmann

#21
Liebe Kollegen,

heute setzte ich die Serie fort, sozusagen als kleines Weihnachtspräsent  ;D Wie immer viel Spass und Einsichten beim Ansehen und Durchlesen, Fragen zur Vertiefung, Literatur, etc wie immer gerne auch per PN.

Herzliche Grüsse & frohes Fest !
Holger

VI Nicht-Lineare Anpassungen des Bildkontrastes

VI A) Nicht-lineare Anpassungen des Histogramms

Neben den zu Beginn gezeigten linearen Manipulationen des Histogramms zur Veränderung von Bildhelligkeit und Bildkontrast, sowie der Gamma-Funktion zur Veränderung der Linearität von dunklen oder hellen Bildpartien gibt es noch andere Möglichkeiten, das Histogramm zu beeinflussen - jeweils auf die Bedürfnisse des Bildes abgestimmt.

Bild 24 zeigt einen Semidünnschnitt durch Lungengewebe. Die gezeigte Histogramm Transformation (x-Achse=Ausgangswert, y-Achse=Wert nach der Transformation) ist bestimmt durch einen steileren Verlauf (grüne Linie) in den mittleren Graustufen auf Kosten eines flacheren Verlaufs in den dunklen und hellen Partien. Als Konsequenz kommt es zu einer Kontrastverstärkung der mittleren Grautöne, bei gleichzeitiger Kontrastverringerung in den Lichtern und den Schatten.


Bild 25 zeigt ebenfalls einen Semidünnschnitt durch Lungengewebe. Die gezeigte Histogramm Transformation (x-Achse=Ausgangswert, y-Achse=Wert nach der Transformation) ist bestimmt durch einen steileren Verlauf in den dunklen und hellen Partien auf Kosten eines flacheren Verlaufs in den mittleren Graustufen. Als Konsequenz kommt es zu einer Kontrastverstärkung in den Lichtern und den Schatten, bei gleichzeitiger Kontrastverringerung in den mittleren Grautönen. Die entsprechenden Abschnitte des Ursprungsbildes vor der Transformation sind in roten Rähmchen eingesetzt.


VI B) Kontrastverbesserungen in Abhängigkeit der jeweiligen Pixel-Nachbarschaft (engl: local contrast enhancement)

Die in VI A gezeigten Verfahren werden allesamt auf das gesamte Histogramm angewendet, egal wo sich die jeweiligen Pixel befinden und wie ihre Nachbarpixel aussehen.
Man kann nun noch ein Verfahren anwenden, in dem eine nicht-lineare Kontrastverbesserung gemäss lokalen Umgebungsbedingungen gewählt wird, d.h. in einer Nachbarschaft von überwiegend dunklen Grautönen wird eine Histogramm-Transformation gewählt, die diesen dunkleren Bereich 'aufsteilt', also den Kontrast/Dynamikumfang in diesem Bereich gezielt verbessert, während in Nachbarschaften von mittleren Grauwerten das Histogramm in diesem Bereich steiler verläuft. Ebenso wird in hellen Pixelnachbarschaften die Kurve in den Lichtern gesteilt. Dadurch erhält man sehr differenzierte Bilder.

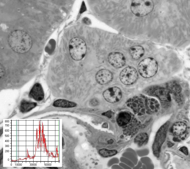
Bild 26a zeigt einen Semidünnschnitt durch Nierengewebe. Das Bild ist RAW, d.h. nicht geschärft und keine Helligkeits, Kontrast oder Gammaanpassungen.
Das in der unteren Ecke angegebene Histogramm zeigt, dass sich eine weitere lineare Kontrastverbesserung verbietet, da die Pixel bereits den gesamten Dynamikumfang des Bildes ausnutzen und somit eine lineare Kontraststeigerung zum Clipping führen würde (Clipping wird in einen früheren Beitrag dieser Serie erklärt).

Bild 26b zeigt das gleiche Bild, nun aber nach Anwendung einer Kontrastverbesserung basierend auf lokalen Kriterien.
Das in der unteren Ecke angegebene Histogramm zeigt, dass trotz der differenzierten Kontraststeigerung kein nennenswertes Clipping entstanden ist.
Das Bild weist nun sehr guten Kontrast in hellen, mittleren und dunklen Partien auf ! Viele Details, wie z.B. die Mitochondrien in der mittleren Zelle, sind deutlich besser sichtbar.


Bild 27a und b zeigen den Einsatz der lokalen Kontrastverbesserung an einem Farbbild (Nebenhoden der Maus; Schnitt und Färbung von Ronald Schulte). Man sieht, dass der Algorithmus neben der Kontrastverbesserung auch zu einer Farbveränderung führen kann, die aber nicht unangenehm sein muss.










Jan Kros

Hallo Holger

Danke für diese letzte Beitrag, ich habe mich sehr darüber gefreut.
auch für dich schöne Feiertagen und alles Gute für 2011

Herzlichen Gruss
Jan Kros

Holger Adelmann

Ich bringe diesen alten Thread mal wieder nach vorne da er vielleicht für einige neu und interessant sein könnte.

Viel Spaß damit,
Holger

Holger Adelmann

#24
Was ich hier noch ergänzen möchte ist der Umgang mit Objekten die einen zu hohen Dynamikumfang für die Kamera haben. Häufiges Problem z. B. in der Durchlicht-POL Mikroskopie.

Bild 1 zeigt ein solches Problem. Der rosafarbene Kristall in der Mitte ist schon überbelichtet (das Histogramm zeigt entsprechend Clipping am rechten Ende), die dunklen Partien sind hingegen abgesoffen, d.h. unterbelichtet, da ist kaum Detail erkennbar (das Histogramm zeigt entsprechend auch Clipping am linken Ende). Die Bildinformation im Clipping ist natürlich nicht wieder herstellbar und somit verloren.

Eine Lösung bietet die Aufnahme mit reduziertem Gamma (falls die Kamerasoftware dies erlaubt). Bild 2 zeigt eine Bildaufnahme mit Gamma = 0.64. Das Bild ist nun insgesamt flau und komprimiert, das Histogramm zeigt aber kein Clipping und somit erhaltene Bildinformation in den Schatten und den Lichtern.

Bild 3 zeigt dann das Ergebnis einer Bildbearbeitung mit einem local contrast enhancement (habe ich weiter unten im Thread beschrieben). Kostenlos ist das CLAHE PlugIn für das ebenfalls kostenlose und mächtige ImageJ. Ich verwende bei CLAHE die Einstellungen Blocksize=255, histogram bins=256, maximum slope 2 oder 3 (dies steuert die Stärke des Effektes, 2 reicht oft schon aus)
Der Fortschritt der Bearbeitung läuft erkennbar von oben nach unten durchs Bild.

Bild 4 schließlich zeigt das fertige Bild, ohne Clipping und so kontrastreich und klar wie im Okular zu sehen.

Viel Erfolg,
Holger



Florian D.

Lieber Holger,

tolle Serie! Ich muss später unbedingt nachsehen, ob es diese Gamma Einstellung auch in meiner Canon gibt.

Viele Grüsse
Florian