Hauptmenü

Fulgensia fulgida *

Begonnen von Ralf, Mai 02, 2012, 21:48:49 NACHMITTAGS

Vorheriges Thema - Nächstes Thema

Ralf

Hallo,

während meines Osterurlaubs in der Provence hatte ich das Glück die (in Deutschland seltene) Fulgensia fulgida zu finden (Mourres de Forcalquier und am Croix de Provence). Hier meine Bearbeitung dieser schönen Flechte:

- Fundortfoto. Thallus bis 3 cm, Oberseite gelbweißlich, rosettig, deutliche Loben am Rand, innen zusammenhängend ohne Schuppenbildung. Photobiont coccoide Grünalgen. Apothecien häufig, 0,5 - 1,5 mm Durchmesser, rote Scheibe, mit Lagerrand. Sporen keulenförmig, 12 - 20 x 5 - 6 µm. Chemie: Apothecien K+ purpur-violett, Physcion
Auf (staubimprägniertem) Kalkgestein, Kalkmoosen in hellen Lagen, kollin.



- Nahansicht Apothecien und Lager.



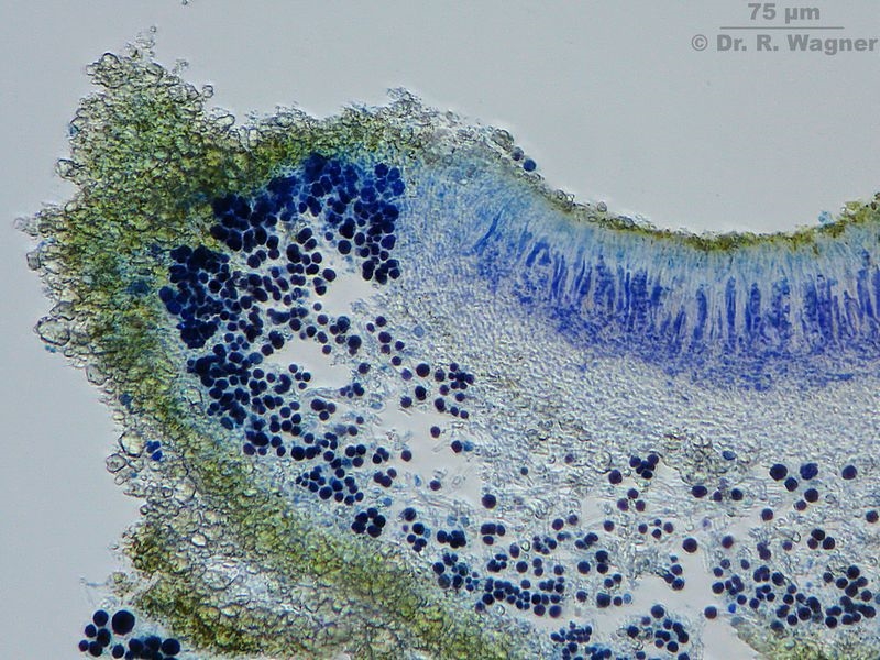
- Querschnitt Apothecium. Lagerrand und teilweise mit Eigenrand. Färbung mit Lactophenol-Methylblau-Acidfuchsin.



- Querschnitt Apothecium. Nahansicht Apothecienrand.



- Ascus mit Sporen. Ascus 8 sporig, amyloid, Teloschistes-Typ. Sporen keulenförmig, 12 - 20 x 5 - 6 µm.. Färbung mit Lugol.




rekuwi

Lieber Ralf,

ein schönes Urlaubsmitbringel zeigst Du uns hier! Da hat sich die Zeit in der Provence doppelt gelohnt.

Wie immer eine prima Dokumentation, mir gefällt die Übersichtsaufnahme besonders gut!

Liebe Grüße
Regi

Heiko

Déjà-vu, lieber Ralf,

vor vielen Jahren wurde mir einmal eine Bunte Erdflechten-Gesellschaft irgendwo im Thüringer Becken mit Fulgensia vorgestellt.

Danke.

Viele Grüße,
Heiko

Bernd Kaufmann

Hallo Ralf,

wunderschöne Bilder und tolle Dokumentation. Glückwunsch zu Deinem Fund und danke fürs Zeigen!
Viele Grüße
Bernd ©¿©
www.aquamax.de
Lieber per Du.

Rawfoto

Hallo Ralf

Danke für Deine tollen Beiträge, ich freue mich schon auf den Nächsten :-)

Ich bin in der Vergangenheit in vielen europäischen Ländern an Flechten vorbei gegangen, habe ihnen einen kurzen Blick gewürdigt und mich über die oberflächliche Schönheit gefreut.

Du zeigst mir aber eine total andere Seite dieser Wunderwerke und dafür bin ich wirklich dankbar, ich sehe diese jetzt mit anderen Augen da ich Deine Bilder im Hinterkopf mit mir führe ...

Liebe Grüße aus Wien

Gerhard
Gerhard
http://www.naturfoto-zimmert.at

Rückmeldung sind willkommen, ich bin jederzeit an Weiterentwicklung interessiert, Vorschläge zur Verbesserungen und Varianten meiner eingestellten Bilder sind daher keinerlei Problem für mich ...

Ralf

Hallo,

aufgrund eines Hinweises aus dem französischen Forum von JLouis (http://www.lenaturaliste.net/forum/viewtopic.php?f=125&t=11001) hat sich herausgestellt, dass meine ursprüngliche Bestimmung dieser Flechte als F. fulgens falsch war. Anhand der Sporenform wurde dies deutlich, es handelt sich eindeutig um F. fulgida. Ich habe den Beitrag daher jetzt entsprechend abgeändert. Dies ist ein schönes Beispiel dafür, dass man leicht zu Fehlbestimmungen kommt, wenn man vom entsprechenden Gebiet keine anständige Flora hat. In meinen Büchern, die sich alle auf nördlichere Lagen beziehen, wird F. fulgida nicht beschrieben!

Vielen Dank an alle für das Interesse an dieser Flechte. Ich hatte weiterhin noch vergesen zu erwähnen, dass die Bilder jetzt mit dem Axiolab-LED-Umbau von Bernd (Nomarski) aufgenommen wurden. Meiner Meinung nach sind alle Aufnahmen jetzt etwas besser als mit der Halogenbeleuchtung, insbesondere wegen der konstanten Farbtemperatur, die den Weißabgleich sehr erleichtert.

Bernd Kaufmann

Zitat
Vielen Dank an alle für das Interesse an dieser Flechte. Ich hatte weiterhin noch vergesen zu erwähnen, dass die Bilder jetzt mit dem Axiolab-LED-Umbau von Bernd (Nomarski) aufgenommen wurden. Meiner Meinung nach sind alle Aufnahmen jetzt etwas besser als mit der Halogenbeleuchtung, insbesondere wegen der konstanten Farbtemperatur, die den Weißabgleich sehr erleichtert.

Hallo Ralf,

Letzteres kann ich nur voll bestätigen. Fotografieren macht jetzt einfach auch mehr Spaß, es gibt weniger bis fast gar keine Fehlbelichtungen mehr und für eine Aufnahme ist es nicht mehr notwendig, die Beleuchtung wegen der Farbtemperatur bis zum Anschlag hochzufahren. Und der sonst obligatorische Blaufilter hat ausgedient. Vergisst man mal, die Beleuchtung auszuschalten, ist nicht gleich wieder ein teurer Lampentausch fällig und man muss auch nicht mehr darüber nachdenken, wie lange es noch Ersatzlampen für das Mikroskop gibt.
Viele Grüße
Bernd ©¿©
www.aquamax.de
Lieber per Du.