Botanik: Pinus pinaster und Wacker *

Begonnen von glory-js, Dezember 04, 2013, 16:57:10 NACHMITTAGS

Vorheriges Thema - Nächstes Thema

glory-js

Sooo.. hier nun meine Fragen. Ich schreibe meine Bachelor-Arbeit über histologische Untersuchungen an Pinus pinaster. Ich habe vom Samen bis 14-Tage alten Keimlingen alles mithilfe einer Paraffineinbettung geschnitten und anschließend mit 4 verschiedenen Färbungen (Wacker, Methylenblau/Lugol´sche Lösung, FCA, Ponceau-Azur II) gefärbt, um nähere Informationen über Erscheinungsbild, Veränderungen während der Keimung und Zellinhaltsstoffen zu bekommen. Ich bin jetzt mitten in meiner Auswertung und könnte etwas Hilfe gebrauchen. Ich finde meine Wacker-Färbungen toll, vorallem wenn man sie mit meinen anderen Schnitten vergleicht, denn man sieht echt super viel. Doch so manche Farbresultate stimmen nicht ganz mit dem überein was Wacker sagt. Daher will ich gar nicht zu viel darüber schreiben was ich so denke, sondern vielleicht will sich der ein oder andere ja mal meine Bilder ansehen und mir mal sagen was er/ sie so darüber denkt. Kann es auch sein das z.b. meine Fixierung bzw die Einbettung dafür verantwortlich ist, dass die Farben etwas anders ausfallen?


So und jetzt noch die entscheidene Frage, wie bekomme ich denn meine Bilder hier rein??  ;) ???
Liebe Grüße
Jessi

RainerTeubner

Mikroskop: Carl Zeiss Standard Universal
Bildbearbeitung: Gimp, Helicon focus und picolay
Kamera: Canon EOS 5D II

glory-js

#2











sooo mal sehen, ob das klappt :)

glory-js

so ich erklär mal kurz:

1. Bild: Embryo von P.Pinaster noch im Megagametophyten bei Keimungsbeginn
2. Bild: Keimling (Keimungsmedium Vermiculit) 7 Tage alt nach Beginn der Keimung
3. Bild: Keimling (Keimungsmedium Vermiculit) 13 Tage alt nach EInsetzen der Keimung
4. Bild: Nahaufnahme des ersten Bildes

Klaus Herrmann

Hallo Jessi,

meine Verständnisfrage: ist das praktisch die Spross-Spitze?
Zur Wackerfärbung: hast du die Lösungen selbst angesetzt nach der Original Vorschrift von Robin Wacker?
Kannst du das Färbeprotokoll bitte angeben.

Die Färbung sieht irgendwie "krank" aus, zu blass und Rot ausgezogen. Und dann hast du "Pickel" drin. Sind Deine Objektträger wirklich sauber? Das hatten wir mal in Wohldenberg, da hatten alle Präparate rote Pickel, das kam von unsauberen OT.
Kannst du noch was zur Mikroskopausrüstung sagen. Welche Kamera, wie adaptiert?
Mit herzlichen Mikrogrüßen

Klaus


ich ziehe das freundschaftliche "Du" vor! ∞ λ ¼


Vorstellung: hier klicken

glory-js

ja ist der apikale Bereich, wobei es mir nur selten gelungen ist das Sprossapikalmeristem mit in den Schnitten zu haben. (da bin ich einfach kein Profi ;-) )
Die Farblösungen sind direkt nach Robin Wacker zusammengesetzt und wir haben die bei uns im Labor über Morphisto bestellt.
habe die Schnitte aus 70% igem Alkohol aus der Rehydrierung genommen und dann 10 min mit Acridinrot gefärbt, 30 sec mit Acriflavin differenziert und 2 min mit Astrablau gefärbt. Danach sofort mit dem Entwässern begonnen und mit DPX eingedeckt.

Bei der Kamera müsste ich erstmal nachfragen, das weiß ich im Moment nicht. Kann auch wirklich sein, das ICH da diejenige war, die Kamera und Programm noch nicht so bedienen konnte, sodass dadurch vllt auch noch die Farbergebnisse verfälscht sind?!


Klaus Herrmann

Hallo Jessi,

wir pflegen hier im Forum ja so einen vorsintflutlichen verlängerten Kommunikationsstil  mit völlig unnötiger Anrede und ebenso unnötiger Grußformel.

Kann man alles weg lassen, wenn man wenig Zeit hat.... :D

ZitatLabor über Morphisto
Da wäre interessant, wer der Hersteller laut Etikett ist. Wir hatten bei einem Treffen in diesem Jahr eine Pleite erlebt mit Wacker, bei dem die Acridinrot-Kompnente völlig unbrauchbar war.

Etwas präziser wäre schon gut: entwässert ??? wie womit wie lange...

Die Schnitte sind eigentlich ganz gut!

ZitatBei der Kamera müsste ich erstmal nachfragen
Und vielleicht auch beim Mikroskop und - ich wiederhole - auch wie sie adaptiert ist! :D

Die Pickel kommen auf jeden Fall nicht durch eine falsche Bedienung der Kamera! ;)
Mit herzlichen Mikrogrüßen

Klaus


ich ziehe das freundschaftliche "Du" vor! ∞ λ ¼


Vorstellung: hier klicken

Fahrenheit

Liebe Jessi,

das Acridinrot färbt ja vor allem verholzte Zellwände und davon dürfte es in dem zarten Alter Deiner Proben noch nicht all zu viele geben. Trotzdem hört sich "... habe ich sofort mit dem entwässern angefangen" ein bisschen nach stufenweisem entwässern an.
Wie auch immer solche Stufen aussehen: sie führen dazu, dass das empfindliche Acridinrot ausgezogen wird. Eventuell sind deswegen auch die Tracheiden nur sehr schwach rot angefärbt.
Ich selbst entwässere immer mit reinem Isopropanol in folgenden Schritten:
- Wasser vom letzten "Spülgang" sorgfältig absaugen, aber ohne dass die Schnitte antrocknen
- satt Isopropanol 100% darüber und sofort absaugen. Schnitte auf Objektträger: kurz (10 Sekunden) in frisches Isopropanol 100% eintauchen
- das gleiche zwei mal wiederholen (jeweils wieder in einer ausreichend großen Menge Isopropanol 100%)
- ersatzweise kann unter fließendem Isopropanol entwässert werden: OT leicht schräg stellen und aus der Pipette Isopropanol 100% für min. 30 Sekunden darüber laufen lassen
- dann 2 mal 4 Minuten, wieder in frischem Isopropanol 100% im Uhrglas oder bei Objektträgern im Tauchbad
Danach kann ohne weiteres in Euparal eingedeckt werden. Andere Harze benötigen ggf. noch eine Zwischenstufe in Xylol
Wichtig ist es, grundsätzlich frisches Isopropanol zu verwenden.

Die roten "Pickel" tauchen - wenn ich es richtig sehe - hauptsächlich in den Zellen des  Megagametophyten auf. Und da mit einem Gefälle von außen nach innen. Es wäre zwar sehr ungewöhnlich, aber könnten das Amyloplasten sein? Die werden normalerweise nicht vom Acridinrot gefärbt, aber hier sind ja Öle und/oder Harze im Spiel, die gerne ans Rot binden, wie man auch an den Epidermiszellen der älteren Nadeln sieht.

Ansonsten ist meiner Meinung nach an Schnitt und Färbung nichts auszusetzen.

Herzliche Grüße
Jörg

p.s.
Klaus hat schon recht: wir stehen hier auf so Sachen wie Anrede und Gruß.  ;D
Hier geht's zur Vorstellung: Klick !
Und hier zur Webseite des MKB: Klick !

Arbeitsmikroskop: Leica DMLS
Zum Mitnehmen: Leitz SM
Für draussen: Leitz HM

Detlef Kramer

Hallo Jessi,

mich würde interessieren, was eigentlich die wissenschaftliche Fragestellung deiner Arbeit ist. Die Schnitte und die Fotos finde ich sehr gut und die roten Pickel halte ich nicht für Artefakte. Ich würde Dir dann gerne versuchen zu helfen.

Herzliche Grüße
Detlef
Dr. Detlef Kramer, gerne per DU

Vorstellung: Hier klicken

glory-js

#9
Hallo ihr lieben!!!
erstmal Danke für die Kommentare, mir hilft das wirklich sehr!!!  :) :) :)
also hier erstmal meine Fragestellung: histologische Untersuchungen von Pinus pinaster im Verlauf der zygotischen Keimung
meine Fragestellungen sind vor allem: wie verändert sich die Zellstruktur/ Zelldichte/ Integrität bzw die Zusammensetzung der Reservestoffe/ Metabolite im Hypokotyl nach Einleiten der Keimung? Gibt es Unterschiede zwischen Keimling und In-vitro? Und welche Färbemethoden sind einsetzbar?(Etablierung einer Färbemethode?)

Die Mikroskop- und Kamera-Einstellungen etc kann ich erst nächste Woche in Erfahrung bringen, wenn ich wieder in der Uni bin. Werde euch dann sofort schreiben.
Auch werde ich euch dann schreiben was genau auf dem Etikett zu lesen ist. Hoffentlich liegt es nicht daran, dass bereits die Farbe nicht gut ist!  :-\

Nein, ich habe nicht stufenweise entwässert, sondern die Schnitte sofort mit Isopropanol kurz bedeckt, sofort abgesaugt, dann 30 sek, 3 min, 4 min: Anschließend nochmal 4 min in Roticlear. War das vielleicht falsch?
Isopropanol war immer frisch! ;)

Genau, das dachte ich auch  ;D ;D ;D dass die rosa Punkte im Megagametophyten evtl Stärkekörner sein könnten!! Ich finde, man sieht eigentlich auch ganz schön, dass die Epidermis der Kotyledonen noch keine Rotfärbung zeigen, aber die zweiten und später dritten Nadelringe schon. Dies zeigt doch, dass dort erste Verholzung einsetzt, oder?

Liebe Grüße
Jessi

P.S. Falls ihr noch andere Bilder sehen wollt, auch anderer Färbungen, dann einfach Bescheid geben. Ich wollte jetzt noch nicht Allles mit Bildern "voll Müllen", wenns eigentlich keiner braucht und die Wacker-Färbung ist für mich und meine Arbeit auch die Wichtigste!

Fahrenheit

#10
Liebe Jessi,

nein, die Entwässerung ist so korrekt - zumindest in meine Augen.  ;)
Auch bei meinen Präparaten zieht das Rot besonders bei "schwierigen" Geweben schon mal etwas mehr aus, als ich das gerne hätte und junges Xylem gehört definitiv in die Katergorie "schwierig".

Hast du schon geprüft, ob es sich um Stärkekörner handelt? Lugol geht ja am eingedeckten Präparat nicht mehr, aber Polarisationskontrast sollte helfen. Die Anfärbung durch Acridinrot wäre dann m.E. schon in Richtung Artefakt einzuordnen. Detlef, bitte korrigiere, wenn ich hier falsch liege.

Die Epidermis der Nadeln verholzt m.E. nicht (Die Aussage ist falsch, was auch der Link auf die Einblättrige Kiefer zeigt, danke David!). Ich habe allerdings keine praktische Erfahrung mit der See-Kiefer. Als Beispiele kann ich aber Bilder von folgenden Schnitten anbieten:
Dahurische Lärche
Einblättrige Kiefer

Herzliche Grüße
Jörg
Hier geht's zur Vorstellung: Klick !
Und hier zur Webseite des MKB: Klick !

Arbeitsmikroskop: Leica DMLS
Zum Mitnehmen: Leitz SM
Für draussen: Leitz HM

David 15

#11
Hallo Jörg,

also, dass die Epidermis der Nadel nicht verholzt kann ich nicht bestätigen. Ich habe hier einige Nadelquerschnitte z.B die Edeltanne oder die Schwarzkiefer und diese haben eine verholzte Epidermis. Diese ''glitzert'' auch schön im polarisierten Licht. Oder liege ich hier völlig daneben ?

Viele Grüße
David
''Wir leben in einem gefährlichen Zeitalter. Der Mensch beherrscht die Natur, bevor er gelernt hat, sich selbst zu beherrschen.'' ( Albert Schweitzer)

Vorstellung: ''Hier''

Fahrenheit

#12
Lieber David,

Du hast natürlich Recht und der Beweis findet sich in dem von mir verlinkten Thread zur Einblättrigen Kiefer.
Schande über mich, ich war zu schnell - hab's oben korrigiert.

Bei den hier gezeigten Keimlingen ist's dafür aber wohl noch zu früh. Da würde ich gerne noch mal ein Bild mit höherer Vergrößerung sehen.

Herzliche Grüße und Danke für den Hinweis auf meinen Fehler
Jörg
Hier geht's zur Vorstellung: Klick !
Und hier zur Webseite des MKB: Klick !

Arbeitsmikroskop: Leica DMLS
Zum Mitnehmen: Leitz SM
Für draussen: Leitz HM

glory-js

Hallo ihr,
da bin ich ja froh, dass ich doch keinen Fehler bei der Entwässerung gemacht habe. Da bin ich doch sehr perfektionistisch gewesen und habe wirklich versucht mich an alle Regeln zu halten und genau zu arbeiten. Habe auch vorher mit verschiedenen Färbezeiten rumexperimentiert um für mein Gewebe optimale Ergebnisse zu bekommen...
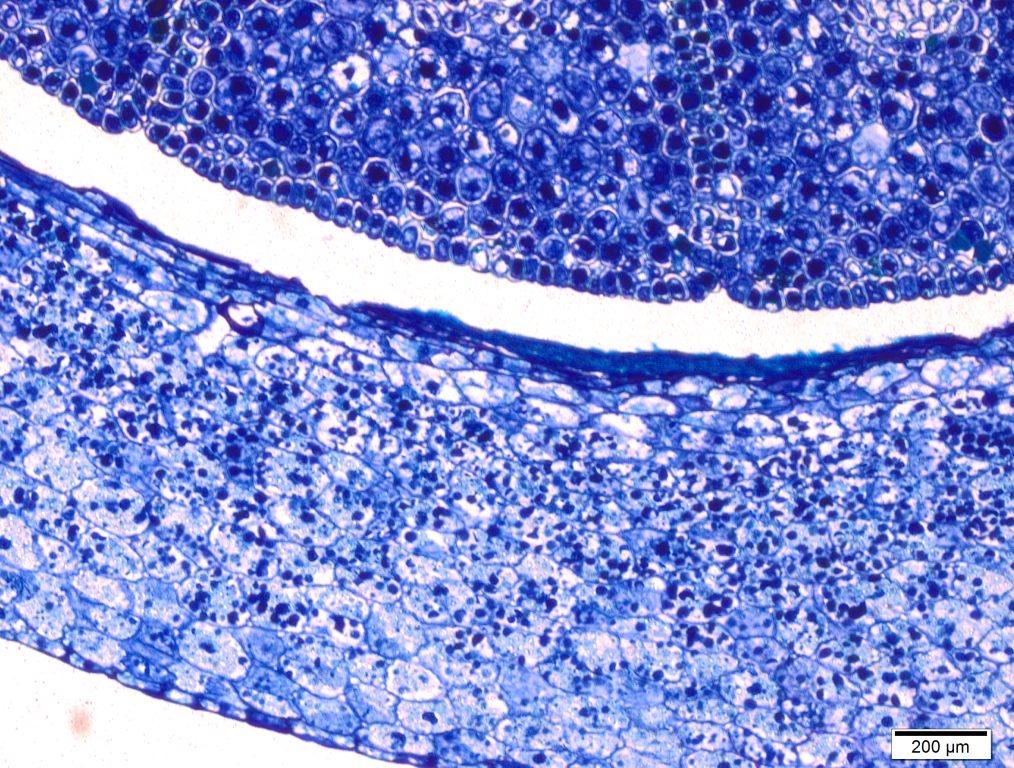
zur Frage mit den Stärkekörnern: ich kann euch hier nur noch die Färbung mit Methylenblau und Lugol des Embryos im Megagametophyten anbieten


hilft das weiter?

Liebe Grüße und noch einen schönen Abend

Klaus Herrmann

Hallo Jessi,

hilft das weiter?
Schwer zu beurteilen durch die zusätzliche Färbung mit Methylenblau.
Ungefärbt im polarisierten Durchlicht wäre sicher besser. Oder noch schöner: mit sehr verdünntem Lugol färben, dass die Stärke nur hellblau wird und dann zusätzlich Pol.
Mit herzlichen Mikrogrüßen

Klaus


ich ziehe das freundschaftliche "Du" vor! ∞ λ ¼


Vorstellung: hier klicken