HISTOLOGIE: Unbekannte Zellen im Leber! Könnte es Stamm(Oval)zellen sein?

Begonnen von Ronald Schulte, März 29, 2014, 12:38:15 NACHMITTAGS

Vorheriges Thema - Nächstes Thema

Ronald Schulte

Wer kann mich da helfen?
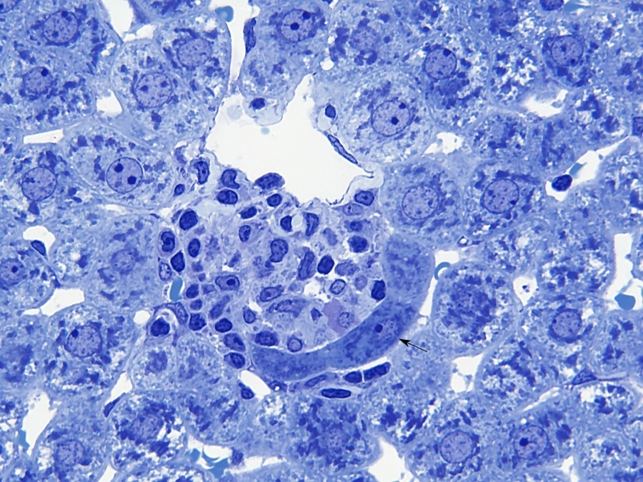
In ein Rattenleber Schnitt sehe ich ein, für mich unbekannte, Zell Region.


Leber, Objektiv Planapo 40x




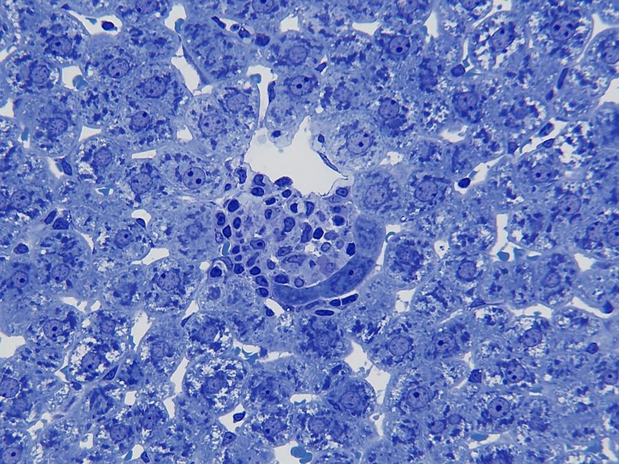
Leber, Objektiv Planapo 63x

Die Pfeile zeigt da? Vielleicht ein Neuron?



Grusse Ronald
Mikroskope:
Leitz Orthoplan (DL, AL-Fluoreszenz und Diskussionseinrichtung).
Leica/Wild M715 Stereomikroskop.
Mikrotom:
LKB 2218 Historange Rotationsmikrotom.

Ronald Schulte

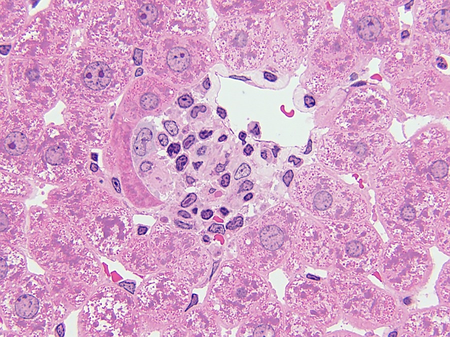
Ein weiteres Bild in HE Farbung.
Es könnte sich handeln um sogenannte 'Ovalzellen'. Stammzellen der Leber.


Leber, Objektiv Planapo 63x

Mikroskope:
Leitz Orthoplan (DL, AL-Fluoreszenz und Diskussionseinrichtung).
Leica/Wild M715 Stereomikroskop.
Mikrotom:
LKB 2218 Historange Rotationsmikrotom.

Leo van Griensven

Hallo Ronald,

Could this be an island of erythroid precursor cells ?
Ref. Ploemacher RE & van Soest PL. Cell and Tissue Research, 1977, 178 (4):435-461.

Beautiful pictures,

Leo van Griensven

Ronald Schulte


Hat denn keine eine Ahnung?
Könnte es tatsachlich Stammzellen der Leber sein?

Grüße Ronald
Mikroskope:
Leitz Orthoplan (DL, AL-Fluoreszenz und Diskussionseinrichtung).
Leica/Wild M715 Stereomikroskop.
Mikrotom:
LKB 2218 Historange Rotationsmikrotom.

Heino Lauer

Lieber Ronald,

leider kann ich nicht viel Erhellendes zur Beantwortung Deiner interessanten Frage beitragen.

Nur soviel habe ich finden können: Die Ovalzellen, so sie überhaupt anzutreffen sind,  sind offenbar im Periportalfeld angesiedelt (Burt2012). Zumindest  würde dies Deine Annahme nicht stützen, obwohl von der Zellform her einiges dafür sprechen würde.

Hast Du eine Übersichtsaufnahme, auf der man einen größeren Präparatbereich übersehen kann?

Herzlicher Gruß

Heino


Burt 2012. MacSween`s Pathology of the Liver. 6th ed. Edinburgh: Churchill Livingstone Elsevier, 48.

Christian L.

Guten Tag Ronald

Überwältigend die Aufnahmen der Leberzellen.
Könnte es sein, dass es sich bei den unbekannten Zellen um etwas pathologisches handelt? Nicht das ich mich damit auskenne, ist nur so eine Überlegung.

Herzliche Grüsse
Christian

Ronald Schulte

@Christian,

Danke für dein Lob!


@Heino,

Ich weis auch nicht sicher ob es Ovalzellen sind aber könnte sein!
Habe auch schon gedacht das es vielleicht eine Erythropoese (ein Vorgang der Bildung und Entwicklung der Erythrozyten (rote Blutkörperchen)) sein könnte.
Ein Bild aus das Artikel das Leo gemeint hat ist hier zu sehen. Nur sehe ich die Mitotische Figuren, noch, nicht.



Grüße Ronald
Mikroskope:
Leitz Orthoplan (DL, AL-Fluoreszenz und Diskussionseinrichtung).
Leica/Wild M715 Stereomikroskop.
Mikrotom:
LKB 2218 Historange Rotationsmikrotom.

Heino Lauer

Hallo Ronald,

beim Menschen kommt die Hämatopoese in der Leber bald nach der Geburt zum Erliegen (Benninghoff 2003). Wenn das bei der Ratte ähnlich ist, und Dein Präparat von einem adulten Individuum stammt, was ich bisher angenommen habe, sehen wir hier keine Stadien der Blutbildung.

Wenn es nicht zuviel Mühe macht, wäre eine Übersicht möglicherweise wertvoll.

Herzlicher Gruß

Heino


Benninghoff; Drenckhahn 2003: Anatomie. 16. Aufl. München: Urban & Fischer; Band 1, 698.

Ronald Schulte

Heino,

Bild habe ich noch nicht aber kann ich Heute- oder Morgen Abend herstellen.

Grusse Ronald
Mikroskope:
Leitz Orthoplan (DL, AL-Fluoreszenz und Diskussionseinrichtung).
Leica/Wild M715 Stereomikroskop.
Mikrotom:
LKB 2218 Historange Rotationsmikrotom.

Ronald Schulte

Heino,

Hier mal ein grosseres Bild von der Leber.
Färbung ist natürlich eine HE. Der Schnitt kommt aus Technovit 7100.
Stitch von 40 Bilder mit das 63x Objektiv.
De gesuchte Zellen befinden sich in der Mitte.

Wenn du möchtest könnte ich auch ein Zoomify von dieses Bild herstellen. Dann kannst du die Strukturen in Detail ansehen.



Grusse Ronald
Mikroskope:
Leitz Orthoplan (DL, AL-Fluoreszenz und Diskussionseinrichtung).
Leica/Wild M715 Stereomikroskop.
Mikrotom:
LKB 2218 Historange Rotationsmikrotom.

Heino Lauer

Hallo Ronald,

herzlichen Dank für das Bild! Ein Stitch mit dem 63er Objektiv - Du hast Dir viel Arbeit gemacht. Eine Zoomify-Variante wäre natürlich für uns alle eine tolle Bereicherung. Meine Hoffnung war, das sich ausserhalb des im ersten Bild sichtbaren Bereiches, aber durchaus noch in der Nähe der fraglichen Zellen, ein Gallengang findet. Dies würde die Annahme, das es sich um Ovalzellen handelt, stützen. Leider erkenne ich nicht andeutungsweise einen Gallengang. Siehst Du im übrigen Präparat Periportalfelder? Ähnlich denen der menschlichen Leber?

Herzlicher Gruß

Heino