Histologie: Abdomen einer Wespe 3 Ovariolen

Begonnen von Jürgen H., November 08, 2014, 20:48:51 NACHMITTAGS

Vorheriges Thema - Nächstes Thema

Jürgen H.

Liebe Mitmikroskopiker,

Mittlerweile bin ich mit dem Schneiden des Abdomens vom Rücken etwa in den mittleren Bereich des Abdomens gelangt.
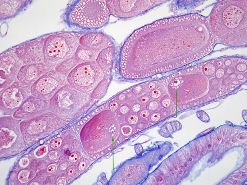
Hier tauchen einige Ovariolen auf:



In den Ovariolen oder Eiröhren bilden sich die Eier der Insekten aus. Die einzelnen Ovariolen sitzen dem Eileiter (Ovidukt), oft kammartig oder in Büscheln, mit kurzen Stielchen an. Auf dieses Stielchen folgt in jeder Ovariole das Vitellarium (Dotterstock von vitellus Eidotter), in dem die im Germarium (den Keimstöcken mit den Urgeschlechtszellen) gebildeten Eier mit dem Eidotter heranwachsen.  

Das folgende Schemabild zeigt den Aufbau der Ovariolen, der bei den Insekten in verschiedenen Formen vorkommt:



Mein Schnitt oben zeigt also den im Schemabild in der Mitte dargestellten Ovariolentyp, bei dem sich im Vitellarium Nährzellen NZ  und Eizellen EZ miteinander abwechseln. (polytrophe Ovariole). Bei diesem Typ entstehen also im Germarium aus den Urgeschlechtszellen bei der Mitose jeweils eine Eizelle und mehrere Nährzellen, die die Aufgabe haben, die Eizelle heranzubilden.

Im folgenden Bild sieht man schön, dass die Eizellen von einem Epithel umgeben sind, bei dem sich die Epithelzellen palisadenartig um das Ei (blauer Pfeil) anordnen. Zu den zugehörigen Nährzellen hin weist das Epithel jedoch eine Lücke auf (schwarze Pfeile). Diese Lücke wird in einem späteren Stadium der Eibildung geschlossen. Jeder Eizelle steht eine Vielzahl von Nährzellen (grüner Pfeil) gegenüber:



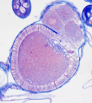
Im folgenden Bild zeigt sich, dass das Folikelepithel bereits das Chorion, die Eischale (oranger Pfeil),  heranbildet. Es erscheint hier als ein ganz dünnes, blau gefärbtes Häutchen.



Das folgende Bild gibt mir noch Rätsel auf. Es stammt aus einer in Richtung des Eileiters tieferen Schnittebene und ist aufgrund veränderter Färbetechnik etwas anders gefärbt:




Die Nährzellen liegen klein und ungeordnet im Vitellarium und wirken degeniert. Ebenso sind auch die Oozyten nicht als scharf abgegrenzte Eier erkennbar, ein Chorion ist nicht zu sehen und es erscheinen bläschenförmige Strukturen, die ich mit einem Fragezeichen versehen habe. Ist dies nun ein anderes früheres Stadium der Eibildung oder wie ich vermute, eine Degeneration? Die Frage entsteht leider auch deshalb, weil ich  mich um die nähere Bestimmung nicht weiter gekümmert habe. Ich wollte nur eine neue Präparationsmethode ausprobieren, und da kam mir die Wespe, die am Gartentisch erschien und mir ein Stück Schinken klauen wollte, dazu gerade recht.  Da sie aber an unserem Schinken interessiert war, kann es sich nur um vespula germanica oder um vespula vulgaris handeln. Ich möchte ausschließen, dass ich eine Königin erwischt habe, schon wegen des Größenunterschiedes. Also werde ich eine Arbeiterin von einer der beiden Arten geschnitten haben. Und nun frage ich mich, ob das letzte Bild eine Degeneration der Ovariolen einer Arbeiterin darstellen könnte.  Aus der Literatur entnehme ich jedenfalls, dass die Königin bei den  beiden genannten staatenbildenden Insekten durch Pheromone die Eibildung bei den Arbeiterinnen verhindert.

Schöne Grüße

Jürgen


Ronald Schulte

Jürgen,

Absolute hochleistung! Warum aber sehe ich kein Kern in die Eizelle? Die musste doch eigentlich da sein, kann aber auch sein das die Zelle so gross ist das der Kern zufällig nicht getroffen ist!
Diesen Paraffin Schnitt ist aber richtig dünn kommt mir so vor.

Kannst du mir mal was Seiten aus dein Buch einscannen so das ich sehen kann wo sich die Organe im Leib befinden? Vielleicht wäre es mal was um die in Technovit ein zu betten.

Grüße Ronald
Mikroskope:
Leitz Orthoplan (DL, AL-Fluoreszenz und Diskussionseinrichtung).
Leica/Wild M715 Stereomikroskop.
Mikrotom:
LKB 2218 Historange Rotationsmikrotom.

Jürgen H.

#2
ZitatWarum aber sehe ich kein Kern in die Eizelle? Die musste doch eigentlich da sein, kann aber auch sein das die Zelle so gross ist das der Kern zufällig nicht getroffen ist!
Diesen Paraffin Schnitt ist aber richtig dünn kommt mir so vor.

Ronald, Du bist ein guter Beobachter! Nun mag es sein, dass ich auf Grund der Schnittdicke (4 µ) tatsächlich immer daneben geschnitten habe. Ich glaube das nicht:

Was ich gefunden habe ist nämlich dieses hier, was meinem letzten Bild im ersten Beitrag in etwa entspricht:



Die Pfeile zeigen auf bläschenartige Strukturen. Bei dem Pfeil rechts befindet sich in der Mitte ein größeres Bläschen, das leer erscheint bis auf zusammengeronnene scharfrot gefärbte Strukturen (degeneriertes Chromatin?) Auffällig ist hier, dass das Epithel das Ei nicht mit palisadenförmigen Zellen umschließt. Ob es sich um ein Vorstadium handelt, kann ich nicht sagen.

Aber diese Ansammlung bläschenartiger Strukturen tritt auch auf, wenn die Oozyte von einem palisadenförmigen Epithel umgeben ist:



Diese Bläschen finden sich allerdings, wie am Schnitt ersichtlich, nicht nur an einer einzigen Stelle. Worum es sich dabei genau handelt, weiß ich nicht.



Die Beurteilung fällt mir schwer, da ich - noch - kein Vergleichsmaterial habe.




ZitatKannst du mir mal was Seiten aus dein Buch einscannen so das ich sehen kann wo sich die Organe im Leib befinden? Vielleicht wäre es mal was um die in Technovit ein zu betten.

Hier zunächst ein Bild, das auf Weber zurückgeht, einem hervorragenden Zeichner der Entomologie. So sieht das Ovarium bei den Hautflüglern aus.


O= Ovariolen
OC= Eileiter
AD= Akzessorische Drüse
V= Vagina
AF= After
Die Lage ergibt sich in etwa aus dieser Zeichnung aus dem Netz:



Für einen Technovitschnitt müsste man wohl das Ovarium komplett unter Ringer herauspräparieren, fixieren und dann einbetten. Meine Erfahrungen mit Technovit sind bei größeren Insekten alles andere als gut. Zum einen ist die Durchdringung durch den Insektenkörper mäßig. Die inneren Strukturen polymerisieren nicht gut. Zum anderen scheint es Wechselwirkungen zwischen dem Chitin und dem Glycolmethacrylat zu geben. Die Struktur des chitinösen Ineguments verändert sich jedenfalls. Außerdem gibt es gerne um das Integument herum ein silbrig glänzende (Luft?)-Schicht, die dafür sorgt, dass kein einheitlicher Schnitt entsteht.

Schöne Grüße

Jürgen

Ronald Schulte

Jürgen,

Danke für die Auskunft. Ich werde mal eine Wespe suchen (hier an die Küste sieht man die aber nicht so oft) und zerschneiden.

Was die Kern Bläschen sind weis ich auch nicht und auch die Zellen mit die vielen Nukleolen ist mir neu. Ich kenne zwar einigen Zellen, Hepatozyten im Leber z.B., die mehrere Kernen und Nukleolen haben aber so viele wie hier gezeigt ist mir neu.

Grüße Ronald
Mikroskope:
Leitz Orthoplan (DL, AL-Fluoreszenz und Diskussionseinrichtung).
Leica/Wild M715 Stereomikroskop.
Mikrotom:
LKB 2218 Historange Rotationsmikrotom.

Fahrenheit

Lieber Jürgen,

Deine "Wespen-Serie" finde ich klasse. Sehr lehrreich.
Vielen Dank dafür.

Herzliche Grüße
Jörg
Hier geht's zur Vorstellung: Klick !
Und hier zur Webseite des MKB: Klick !

Arbeitsmikroskop: Leica DMLS
Zum Mitnehmen: Leitz SM
Für draussen: Leitz HM

Jürgen H.

Lieber Ronald,

die Zahl der Nukleolen wundert mich auch. Wenn es denn welche sind und keine Artefakte. Die vielen größeren Punkte in den Nährzellen tauchen allerdings auch in einer schlichten Hämatoxylinfärbung auf.

Bei den Bläschen könnte es sich um sogenannte akzessorische Kerne handeln. Bei meiner Suche nach Lit. im Netz bin ich mittlerweile zu diesem Artikel gelangt:http://books.google.de/books?id=mtb8ZMRLLjcC&pg=PA191&lpg=PA191&dq=folia+biologica+49,+191&source=bl&ots=c3TATEHKbU&sig=8GDQlHrMmZuvy5GOCiteFpjtzOM&hl=de&sa=X&ei=nAhhVKPHCIf2OrPggbgN&ved=0CCcQ6AEwAQ#v=onepage&q=folia%20biologica%2049%2C%20191&f=false

Eine Darstellung in einem Kunststoffschnitt könnte sich demnach lohnen. Dazu kommen wir dann nächstes Jahr :-)



Lieber Jörg, danke für Deine auch Worte.

Es ist schon zum Staunen, wie diese Riesenzellen von Eiern gebildet werden. Sie wachsen von ihrer Entstehung im Germarium auf ein Vielfaches der Größe an. Dass sie hierzu Hilfszellen oder Nährzellen gebrauchen können, liegt auf der Hand.

Noch faszinierender finde ich, dass und inwieweit die Eientwicklung bei den Arbeiterinnen der sozialen Insekten unterdrückt wird. Bei manchen Arten kommt es zur Eiablage von Eiern, die verfüttert werden, bei anderen nur zur Eientwicklung und -ablage, wenn die Königin nicht mehr vorhanden ist.

Wenn jemand noch weitere Lit. speziell zur Suppression der Eientwicklung bei der Arbeiterkaste der echten Wespen kennen sollte, bitte ich um Nachricht. Das scheint mir ein sehr spannendes Thema zu sein.

Schöne Grüße

Jürgen

Ronald Schulte

#6
Jürgen,

Die AN (Accessory neclei) kommen, so lese ich, auch vor in andere Insekten Ovaria so konnte vielleicht eine weibliche grosse Fleischfliege auch schon reichen.
Was vielleicht möglich wäre ist um nicht das Ganze Körper sondern das Auspraparierte Ovarium ein zu betten (wenn ich die Speicheldrussen von eine Drosophila Larve finden und auspraparieren kann muss dieses auch gehen denke ich). Diese weiche Teile in Kunststoff musste sich doch leicht schneiden lassen.
Was mir nur noch nicht klar ist, ist die genaue Funktion von die AN aber das kann ich sicher irgendwo noch finden.
Ich werde mal weiter recherchieren aber du hast ein Interessantes Thema 'angeschnitten'.

Grusse Ronald
Mikroskope:
Leitz Orthoplan (DL, AL-Fluoreszenz und Diskussionseinrichtung).
Leica/Wild M715 Stereomikroskop.
Mikrotom:
LKB 2218 Historange Rotationsmikrotom.

Ronald Schulte

Jürgen,

Hier noch ein, mäßiges, Bild aus ein Artikel von Ovarien von Brasilianische Bienen. 'a' sind dann die accessory nuclei.

Artikel heißt: "A comparative study of the ovaries in some Brazilian bees". Link ist: Brazilian bees





Grüße Ronald
Mikroskope:
Leitz Orthoplan (DL, AL-Fluoreszenz und Diskussionseinrichtung).
Leica/Wild M715 Stereomikroskop.
Mikrotom:
LKB 2218 Historange Rotationsmikrotom.

Jürgen H.

Vielen Dank, lieber Ronald, für diese Nachricht. Auch die Bläschen meiner Wespenovariole liegen ja in der anterioren  Region der Oozyten, wie es in Deinem Artikel beschrieben wird, so dass sich der Verdacht erhärtet, dass es sich auch bei denen tatsächlich um akzessorische Nuklei handelt. Ob man deren typische doppelwandige Struktur in einem Technovitschnitt herausbekäme? In meinen Paraffinschnitten kann ich sie noch nicht erkennen. Die Geschlechtsöfnung befindet sich normalerweise zwischen dem 8 und 9 Segment Man muss also wohl mit einer scharfen Dumontpinzette zwischen das 7 und 8. Segment gehen und das 8. fassen und ziehen um die Ovarien hinaus zu bekommen. Fleischfliege müsste natürlich statt Wespe gehen. Mich interessiert allerdings noch besonders das Aussehen des Ovars einer Arbeiterin einer staatenbildenen Wespe.

Auch die Vielzahl von Nukleoli in den Nährzellenkernen scheint ja ordnungsgemäß zu sein ;-)

Ein schöner Aufsatz!

Grüße Jürgen

Ronald Schulte

Jürgen,

Ich denke auch das es tatsachlich AN sind.
Ich wollte die Fliege oder Wespe eigentlich so Komplett wie möglich einbetten so wie hier im Bild gezeigt. Das Chitin dann nicht mit einbetten aber alle Gewebe so Komplett wie möglich zu behalten. Ob das gelingt weis ich natürlich nicht aber ein versuch Kost ja nichts, nur Zeit.



Grüße Ronald
Mikroskope:
Leitz Orthoplan (DL, AL-Fluoreszenz und Diskussionseinrichtung).
Leica/Wild M715 Stereomikroskop.
Mikrotom:
LKB 2218 Historange Rotationsmikrotom.

Jürgen H.

Lieber Ronald,

das sieht doch ausgezeichnet aus! Ich bin sehr gespannt!

Schöne Grüße

Jürgen