Amphipleura Pellucida - so nach und nach wurde es was!

Begonnen von Bob, März 19, 2017, 18:59:53 NACHMITTAGS

Vorheriges Thema - Nächstes Thema

Bob

Hallo zusammen,

seit einer Weile häufen sich ja hier die Berichte über die Diatmee Amphipleura Pellucida. Tausendblatt-Jens war so nett, mir eine Wasserprobe aus der Kraterquelle Bad Nenndorf zu schicken, damit ich auch die Möglichkeit bekomme, mich mit diesem anspruchsvollen Mikro-Objekt zu befassen.
Da mein Chemie-Labor nur sichtbar wird, wenn meine Frau gerade nicht in der Küche ist, sind meine Möglichkeiten des Reinigens beschränkt. Ich zwei Verfahren angewendet:
1. 1 Minute Clorix, dann auswaschen
2. EDTA, auswaschen, Pankreatin in Pufferlösung, wieder auswaschen

Ein Vergleich der Ergebnisse zeigte, dass beide Methoden saubere Schalen liefern, Methode 2 aber die Schalen oft nicht voneinander trennt.
Eingedeckt habe ich erst in Naphrax später in Pleurax.

Objektive 60-90-100, Apertur 1,4 -1,3 - 1,25
Achromatisch-aplanatischer Kondensor Apertur 1,4, geölt
Kardioid-Kondensor unbekannter n.A.
Zeiss Jena NF - Vielknopfmikroskop

Amphipleura P. lebedig:


Erstes Foto der gereinigten Diatomee - wenig Struktur zu sehen:


Zum Vergleich eine andere Pinnularia, deutlich mehr Kontrast:


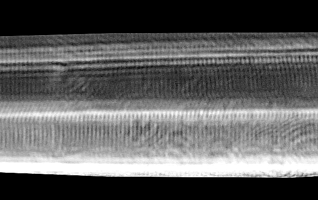
Erstes Bild, wo Streifung sichtbar wird (unten) Eingedeckt in Naphrax


Diatomee war etwas dreckig, wird durch Beleuchtung betont: Aber: Streifung schon ganz gut erkennbar, ab hier in Pleurax eingedeckt


Aufnahme mit gewöhnlichem 100er 1,25 Achromat - die bunte Fahne verrät den wild dezentrierten Beleuchtungsstrahlengang:


Auf grünen Farbkanal beschränkt, Bild etwas geputzt:


zwei Details daraus:



Nicht getrennte Schalen in Seitenlage, offenbar Interferenzfarben - mir gefällts:


Es war mit einigem Probieren verbunden, bis ich zu den letzten Ergebnissen kam.
Gebracht hat es dann letztlich wohl die Lichtführung, die verbesserte Lage der Schalen im Präparat und das Medium mit dem geringfügig höheren Brechungsindex. Am Ende reichte der bescheidene 100er Achromat von Zeiss West.
Das Experimentieren hat mir Spaß gebracht, und ich habe wieder ein paar Sachen dabei gelernt.

Viele Grüße,

Bob

Tausendblatt

Moin Bob,

die Präparate sind wohl gut geworden, danke für's Zeigen...

//Aufnahme mit gewöhnlichem 100er 1,25 Achromat - die bunte Fahne verrät den wild dezentrierten //Beleuchtungsstrahlengang...

Trotzdem gefällt mir die Aufnahme am besten.

//Kardioid-Kondensor unbekannter n.A.

Die Apertur wüsste ich auch gern.
Der Kardioidkondensor wurde 1925 mit einem engeren Aperturbereich als vorher neu herausgebracht:
Modell "Kardioid Kondensor 1925" in der Veröffentlichung* dazu bezeichnet ihn sein Designer Henry Siedentopf mit Ap. 1,3 und schreibt etwas schwammig weiter, es sei vorteilhaft einen engen Aperturbereich ab 1,22 zu haben, und das über 1,33 wegen des wässrigen Mediums nicht möglich sei.

Die Ausführungen der 1930er Jahre, wie auch aus der Nachkriegszeit (DDR) scheinen sich vom Strahlengang nicht vom 1925er zu unterscheiden. Eventuell weiss jemand vielbelesenes mehr?

Beste Grüße
Jens

* Lit.: Kolloid-Zeitschrift; December 1925, Volume 37, Issue 6, pp 327–335; Ueber Neuerungen zur Dunkelfeldbeleuchtung; Henry Siedentopf

peter-h

Hallo Bob,

willkommen im Club der Auflöser. Ja, aller Anfang ist schwer.
Um wirklich saubere und geteilte Schalen der A.p. zu bekommen ist wohl nur eine recht problematische Aufbereitung möglich. Mit allen Stufen dauert es bei mir gut 8 Tage und dann erst kann geprüft werden, ob das Probenmaterial auch geeignet ist. Danach dann viele weitere Tage mit Trocknung usw. der Präparate.


So sieht eine Probe nach über 2 Wochen Bearbeitung nun bei mir aus.

Weiter viel Erfolg
Peter

anne

Hallo Auflösungsfans,
habe hier noch einen älteren aber interessanten Beitrag gefunden.

http://www.mikroskopie-forum.de/index.php?topic=1692.15

lg
anne