Blut im Dunkelfeld mit verschiedenen DF Kondensoren

Begonnen von Tausendblatt, März 05, 2017, 22:51:24 NACHMITTAGS

Vorheriges Thema - Nächstes Thema

Tausendblatt

Hallo,

ich wurde kürzlich gefragt, ob ich mal einen Vergleich von Blutaufnahmen mit unterschiedlichen Kondensoren incl. des Leuchtbildkondensors im Dunkelfeld machen würde. Hier ist er.
Motiv: menschliches Lebendblut;
Kondensoren:
1. Zeiss Achr.-Apl. 1,4 in DF Position, Aperturbereich 1,1 bis 1,4 - im Bild "DF" genannt
2. Zeiss Ultrakondensor, Aperturbereich 1,2 bis 1,4 - "UDF"
3. Zeiss Jena Leuchtbild-Kondensor, Aperturbereich ca. 1,35 bis 1,5 - "LBDF"

Die Bilder: Erste Probe mit Blitz







Zweite Probe ohne Blitz:







Details daraus:







Die Aufnahmen mit dem Ultrakondensor gefallen mir am besten, der Leuchtbildkondensor betont mir zu sehr die kleisten Partikel und ist deutlich lichtschwächer. 

Technik: Zeiss Standard 18; Blitz/ohne Blitz, Planapo 40/1,0Öl, ohne Abblendung; S-Kpl 16x/12,5; sichtbares Licht, Kameraadapter f=63mm; Canon EOS 5DII. Kondensoren und Objektiv mit Immersol 518N immergiert.

Beste Grüße
Jens





rhamvossen

#1
Hallo Jens,

Das Präparat war zu dick, die Erytrozyten sollten isoliert liegen. Sehe auch dieses Thema:

http://www.mikroskopie-forum.de/index.php?topic=25511.msg191259#msg191259

Beste Grüsse,

Rolf

Tausendblatt

#2
Hallo Rolf,

zugegeben, zu viel Schichtdicke... also ausstreichen oder mit physiologischer NaCl-Lösung verdünnen? Dein Präparat war scheinbar ein Ausstrich?
Sieht sehr gut aus.

Viele Grüße
Jens

Zitat von: rhamvossen in März 06, 2017, 12:34:20 NACHMITTAGS
Hallo Jens,

Das Präparat war zu dick, die Erytrozyten sollten isoliert liegen. Sehe auch dieses Thema:

http://www.mikroskopie-forum.de/index.php?topic=25511.msg191259#msg191259

Beste Grüsse,

Rolf

Rene

Hi Jens, thanks for this!
I agree, I also like the second image with the UDF condenser best (disclaimer: for this subject and this objective).

Now, you know what I'd like to see next  ;) ideally an image with an 1.4NA objective. As the RI of blood serum is below 1.35, I expect you're tweaking the Leuchtbild condenser, so that it will still give some circular oblique light just around the edge.  Otherwise there's something exotic like TIRF going on on the surface of the slide. In any case, it will yield interesting observations, as also Rolf shows with his images with oblique illumination!

BTW, I do assume you're using a liquid blood slide with coverslip, and not a smear?!

Best wishes, René

rhamvossen

Hallo Jens,

ZitatDein Präparat war scheinbar ein Ausstrich?

Nein, es war ein kleiner Tropf frisches Blut. Wichtig ist das der Tropf klein ist, damit die Chance grosser wird das die Zellen irgendwo im Präparat frei liegen. Beste Grüsse,

Rolf

Tausendblatt

#5
Hallo,

als Ergänzung noch ein paar Bilder mit 63/1,4er Objektiv.

1. Nativblut (zu dicke Schicht...), Leuchtbild-Kondensor



Detail daraus:



2. Blutausstrich, gefärbt (Pappenheim, danke an Karl und Sabine von der MAH Hannover), Leuchtbild-Kondensor



Detail daraus:



3. Blutausstrich, gefärbt (wie vor), Leuchtbild-Kondensor mit 14 mm Zentralblende unter dem Kondensor - so ist Dunkelfeld mit voller 1,4er Objektivapertur möglich (!)



Detail daraus:



Technik: Zeiss Standard 18; Planapo 63/1,4Öl, ohne Abblendung; S-Kpl 16x/12,5; Kameraadapter f=63mm; Canon EOS 5DII. Kondensoren und Objektiv mit Immersol 518N immergiert.

Zitat von: Rene in März 06, 2017, 13:11:35 NACHMITTAGS
...
BTW, I do assume you're using a liquid blood slide with coverslip, and not a smear?!
Best wishes, René

Hi René, thats right for my first post, blood smear (Blutausstrich) comes here, too.



Beste Grüße
Jens

Bob

Hallo zusammen,

bei unserem Treffen der Mikro Hamburg im November 2016 haben wir auch Blutausstriche fixiert, Pappenheim-gefärbt und eingedeckt.

Hier der Link zu einer schönen Arbeitsanleitung und Erklärung, die Ole Ammerpohl dazu verfasst hat: http://www.mikrohamburg.de/Programm/Protokoll_20161119.pdf

Das Treffen war wirklich ausgesprochen interessant und lehrreich. Blut und Pieksen ist sonst nicht meine starke Seite, aber ich habe ich auch hingetraut.

Eine kleine Überraschung gab es: Die Objektträger müssen außergewöhnlich sauber sein, um einen guten Ausstrich hinzubekommen. Rinigung in der Spülmaschine zeigte sich ausnahmsweise als unzureichend.

Viele Grüße,

Bob

Peter V.

#7
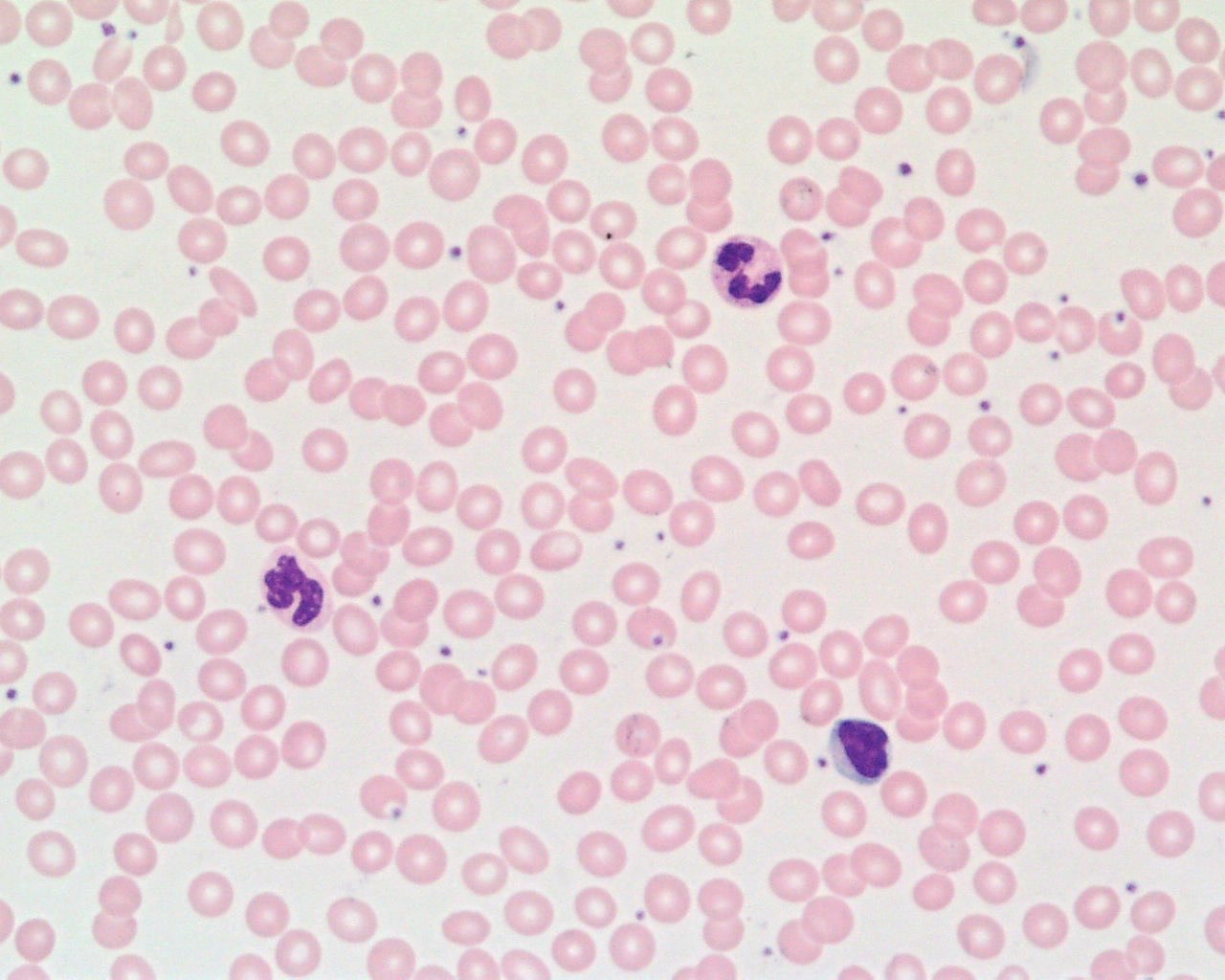
Hallo Jens,

die "Blutausstriche" sind aber eher...hmm.."Blutmatsch"! So sollte ein Blutausstrich aber nicht aussehen! Die Zellen liege zu nahe beieinander und sind ja völlig deformiert. Eigentlich sieht ein Blutausstrich so aus (mal abgsehen von Hellfeld/Dunkelfeld):



Herzliche Grüße
Peter

Dieses Posting ist frei von kultureller Aneigung, vegan und wurde CO2-frei erstellt. Für 100 Posts lasse ich ein Gänseblümchen in Ecuador pflanzen.

Tausendblatt

Hallo Peter,

danke für den Kommentar, ist ja nicht so, dass ich hier nur Lobhudeleien haben will. ;-)
Deine Kritik ist nachvollziehbar... ich glaub' ich übe das mit dem Blut jetzt erstmal...

Beste Grüße
Jens
Zitat von: Peter V. in März 07, 2017, 22:45:38 NACHMITTAGS
Hallo Jens,

die "Blutausstriche" sind aber eher...hmm.."Blutmatsch"! So sollte eine Blutausstrich aber nicht aussehen! Die Zellen liege zu nahe beieinander und sind ja völlig deformiert...
Herzliche Grüße
Peter

JB

Zitat von: Peter V. in März 07, 2017, 22:45:38 NACHMITTAGS
die "Blutausstriche" sind aber eher...hmm.."Blutmatsch"! So sollte ein Blutausstrich aber nicht aussehen! Die Zellen liege zu nahe beieinander und sind ja völlig deformiert.

Hallo,

Der Ausstrich koennte natuerlich anders aussehen, aber Matsch ist es auch nicht. Die Rouleaux-Bildung ist normal und kann experimentell leicht induziert werden (hohe Proteinkonzentration wie Gelatineloesung). https://de.wikipedia.org/wiki/Geldrollenbildung

Beste Gruesse,

Jon