Hauptmenü

Limoniidae Cervix Hautfalte

Begonnen von Jürgen H., Oktober 25, 2009, 21:25:34 NACHMITTAGS

Vorheriges Thema - Nächstes Thema

Ralf Feller

Lieber Herr Renz,
danke für das Lob. Ich würde mir wünschen Sie öfter hier zu lesen.
Ich habe einige hundert Serienschnitte, die aber noch nicht bearbeitet
sind um sie hier zu zeigen. Einige Strukturen sind mir leider immer noch
unklar. Das Buch von Jobling habe ich leider nicht, es war ja mal im
Netz verfügbar, aber seit Monaten komme ich in die Dateien nicht mehr rein.

viele Grüße und danke für die oft wertvolle Hilfe,
Ralf Feller

Jürgen H.

Lieber Herr Renz,

auch ich habe mich über Ihr Lob sehr gefreut: Dabei soll jedoch nicht unerwähnt bleiben, dass ich ja auch sehr viel Ihren Tipps aus einem längeren Telefongespräch verdanke, Sie erinnern sich? Zur Zeit probiere ich den kleinen Zusatz von Bienenwachs aus, die  Präparate sind jedoch noch nicht unter dem Mikrotom. Das wird auch für Ralf interessant sein: Sie meinten, Abrisse des Paraffins von der Chitinhülle beim Schneiden könnte man eventuell mit einer ganz kleinen Zugabe des weichen klebrigen Bienenwachses mindern.

Ich würde mich ebenfalls  sehr freuen, von Ihnen hier öfter zu lesen und danke Ihnen sehr für Ihre Hilfe.

Lieber Ralf, ich hoffe, ich habe mir einen Jobling aus dem Netz ergattert, antiquarisch. Wenn ich ihn tatsächlich bekomme, werde ich mich bei Dir melden, wenn Du Interesse hast.

Mikrogrüße

Jürgen


P.S. In meinen Schnittserien finde ich den Ausführungsgang zu den Mundwerkzeugen. Bei meinen Präparaten bin ich mir auch deshalb sicher, dass es sich um eine Drüse handeln muss. Wie sieht es bei Dir aus? Könntest Du auch einmal ein Bild mit etwas stärkerer Vergrößerung schießen?



Ralf Feller

Lieber Jürgen,
ich habe gerade heute wieder bei Amazon nach dem Jobling gesucht aber leider nicht gefunden-wo hast Du bestellt? Ich arbeite in der Nähe der FH-Niederrhein in Krefeld und werde es einmal über die Fernleihe versuchen, bin aber sehr an deiner Meinung interessiert wenn Du das Buch hast. Auch die Sache mit dem Bienenwachs interessiert mich-wo kaufst Du? Ich habe auch schon mal überlegt, nach den tollen Schnitten von gekühlten Paraffinblöcken für Dünnschnitte die Carsten vorgestellt, hat etwas ähnliches mit Kältespray zu versuchen. Du hattest auch mal vor Celloidin zu probieren,
ist was daraus geworden?

Eine schöne Woche, Ralf

Alfons Renz

Für alle Insekten-Morphologen,

und die, die es noch werden wollen, ist das Buch von Boris Jobling, 'Anatomical drawings of biting flies', (British Museum, ISBN 0-565-01004-2) eine wahre Fundgrube und ein Beispiel höchster Perfektion mikroanatomischer Darstellung, das ich gerne weiterempfehle:



Auf diesem Bild sind die 'drüsenfürmigen' Fettkörper unter der Stirn (f = frons) gut zu erkennen, in der großformatigen Originalabbildung natürlich noch viel besser.

Bezüglich der Probleme, hartes Chitin zu schneiden, gibt es eine ganz einfache Empfehlung: Man fixiere möglichst frisch geschlüpfte / gehäutete Individuen, deren Chitin noch nicht ausgehärtet ist. Das Fixiermittel dringt dann zugleich viel besser ein.

Bei aller Faszination des technischen Aufwands beim Einbetten, Schneiden und Färben: Die Auswahl des Materials und die richtige Fixierung sind entscheidend, alles Andere kann sukzessive optimiert werden.

Mit herzlichen Grüßen,

Alfons Renz

Jürgen H.

Hallo Herr Renz,

ja, die wunderbaren Zeichnungen von Jobling habe ich immer bewundert, so zeichnen würde ich auch gerne können. .

Hier ersatzweise, mangels ausreichendem Zeichentalent, aber noch einmal mein Photo des "drüsigen" Gewebes:



Die Färbung ist hier Pseudoazan. Ich meine sagen zu dürfen: Fettgewebe ist das hier nicht. Oder?
Fettzellen sind mittig am unteren Bildrand gut zu erkennen. Auch aus einem anderen, leider sonst so misslungenen Schnitt, den ich mich deshalb nicht getraue zu zeigen, weiß ich, dass dieses hier quer geschnittene Organ etwa so aufgebaut ist, wie eine Weintraube: Mehrere Träubchen hängen in dorsal/ventraler Richtung an einem mittigen Ausführungskanal, der an den Mundwerkzeugen endet. Typischer Aufbau eines drüsigen Gewebes also.  Die Lage dürfte sich bei mir auch nicht unter der frons befinden, wie das Fettgewebe in der Zeichnung von Jobling, sondern eher unter dem Clypeus, ebenso bei Ralf Feller, glaube ich. Ich denke, die Schnittrichtung ist bei mir so, dass am unteren Bildrand die frons und oben der cypeus schräg angeschnitten erscheinen.

Mikrogrüße

Jürgen Harst

Alfons Renz

Lieber Herr Harst,

Ich stimme Ihnen zu: das sind Drüsen und keine Fettkörper!

Sie schreiben, die Speicheldrüsen lägen bei den von Ihnen untersuchen Stelzmücken (Limoniidae) im Prothroax -haben Sie diese Drüsen gesehen? Dann könnte es sich bei den unbekannten Drüsen nicht um die Speicheldrüsen handeln. Deren Ausführungsgänge müssten sich unterhalb des Pharynx (Cibariums) vereinigen und in der Mundhöhle endigen.

Grundsätzlich besitzen Insekten neben den Labialdrüsen (das sind die üblichen Speicheldrüsen, s.o.) noch paarige Maxillar- und Mandibeldrüsen, die aber jeweils nur bei einigen Familien ausgeprägt vorhanden sind, oft nur bei deren Larven.

Können Sie die Ausführgänge 'Ihrer' Drüse noch bis in die zugehörigen Mundwerkzeuge verfolgen?

Herzliche Grüße,

Alfons Renz


Jürgen H.

Lieber Herr Renz,

ganz herzlichen Dank für Ihre Bestätigung.

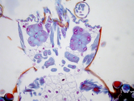
Den Ausführungsgang der Drüse kann ich nicht vollständig nachverfolgen, aber meine Schnittserie geht immerhin bis hier:



In der unteren Mitte ist wohl ein Stück des Pharynx oder des Cibariums zu sehen. Die Drüsen wandern beidseitig  des schräg getroffenen Nahrungskanals offenbar unter dem Clypeus in Richtung Mundwerkzeuge. Der gelbe Pfeil zeigt einen Ausführungsgang, der bereits in Richtung der Mundwerkzeuge verläuft und teils längs geschnitten ist. Bei der linken Drüse ist der Ausführungsgang hingegen noch quer getroffen. Da meine Schnittführung aber ziemlich schräg verläuft ist, ist, so glaube ich, beim roten Pfeil bereits wieder ein Stück Ausführungsgang zu sehen.

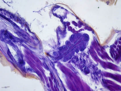
Und hier, zur Lage der Drüse, der misslungen gefärbte Längsschnitt durch das Insekt, der aber immerhin den traubenförmigen Aufbau der Druese  zeigt:




Meine Bemerkung, dass die Speicheldrüsen ja im Thorax lägen, bezog sich auf die Situation der Culex, bzw. diesen von Ralf Feller bereits früher einmal gezeigten Schnitt:




Diese Drüse habe ich allerdings bei meiner Mücke noch nicht gefunden. Wir haben beide vermutet, dass es sich bei dieser Drüse um die Speicheldrüse handeln müsste.

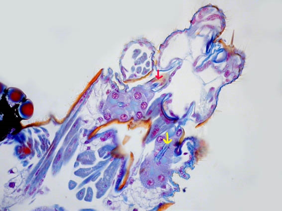
Ich glaube aber auch, dass das Gebilde, dass Ralf hier aus dem Kopfbereich zeigt:



wohl ebenfalls eine Drüse sein könnte, und zwar eine, die "meiner" Drüse homolog ist. Aber man müsste das Gebilde vielleicht einmal stärker vergrößert sehen.

Wenn es - in beiden Fällen - eine Mandibeldrüse oder Maxillardrüse ist, stellt sich allerdings die Frage, was hier ihre spezifische Funktion neben der  von der Speicheldrüse im Prothorax sein könnte.

Herzlichen Gruß und vielen Dank für Ihre freundliche Beurteilung.

Jürgen Harst