Hauptmenü

Limoniidae Cervix Hautfalte

Begonnen von Jürgen H., Oktober 25, 2009, 21:25:34 NACHMITTAGS

Vorheriges Thema - Nächstes Thema

Jürgen H.

Liebe Mitmikroskopiker,

An diesem Wochenende wollte ich doch mal versuchen, ob mein altes Leitzmessingmikroskop Jahrgang 1921 auch taugt, um Mikrophotos zu schießen.

Außerdem fiel mir in einem älteren Präparat von mir im Halsbereich meiner Hausmücke eine schöne Hautstruktur auf. Prinzipiell sind die Insekten zwar mit dem Außenskelett Chitinpanzer bedeckt. Aber zwischen den einzelnen Skleriten finden sich eben auch weichhäutige Bereiche, wie hier zwischen Kopf und Thorax . Und dort schlägt die Haut auch regelrechte Falten, die hier vom Kopf zum Thorax hin an dorsaler Stelle quer geschnitten sind. Der eigentliche Hals folgt also in der Schnittserie erst - längs geschnitten - später. Auffällig ist, dass die gesamte Haut mit einzelnen kleinen Chitininseln belegt ist, die mit unechten Haaren versehen sind. Dazwischen finden sich Lücken, die entweder weit auseinander klaffen oder stärker  nach innen einbuchten und dementsprechend an der Oberfläche klein sind.

Die Ausleuchtung war leider ziemlich unvollkommen, daher ist das Bild geputzt. Leider ist auch auf den ursprünglichen Photos ein Hotspot vorhanden, den ich etwas an den Rand gelegt habe und ebenfalls mit weggeputzt habe. Zur Beseitigung des Hotspots las ich, glaube ich, hier einmal einen Artikel, aber ich finde ihn nicht mehr. Kann mir jemand auf die Sprünge helfen? Hier stört er nicht, weil ich genügend Platz auf beiden Seiten hatte, aber immer ist das ja nicht der Fall...

Paraffinschnitt, Färbung Azankombination Chroma, 40er Objektiv.



Jürgen Boschert

Hallo,

zum Hotspot: es gab einen Artikel von Herrn Henkel, der im Mikrokosmos veröffentlicht wurde, den er allerdings auch in die Mikrofibel integriert hat. Dort werden Sie den Artikel also finden.

Beste Grüße !

JB
Beste Grüße !

JB

Fahrenheit

Lieber Jürgen,

ein sehr schönes Bild!

Auch wenn Du etwas Mühe hattest, kann man Deine Ausgangsfrage getrost bejahen!  :)

Interessant finde ich, dass die Gelenkhäute offensichtlich mit Chitin verstärkt sind - oder sind die von Dir beschriebenen Chitininseln anders zu deuten?

Herzliche Grüße
Jörg
Hier geht's zur Vorstellung: Klick !
Und hier zur Webseite des MKB: Klick !

Arbeitsmikroskop: Leica DMLS
Zum Mitnehmen: Leitz SM
Für draussen: Leitz HM

Jürgen H.

Herzlichen Dank, Jürgen Boschert, für den Hinweis. Jetzt weiß ich also, dass es richtig Arbeit gibt, denn eine saubere Köhlerbeleuchtung habe ich wohl eingestellt, so dass es nicht ganz einfach werden wird. Aber Klaus Henkel  gibt ja viele Lösungshinweise.

Lieber Jörg, mit den Chitininseln meine ich die quergeschnittenen braunen behaarten Stellen im Präparat. Aus anderen Schnitten weiß ich, dass diese Stellen an der Oberfläche rundliche Formen haben.

Die Bezeichnung Chitin kommt ja aus dem Griechischen und heißt nichts anderes als Panzer und so kommt es mir hier auch vor: Bei den Insekten gibt es wie bei den Rittern einen massiven "Brustpanzer" aus verschiedenen Teilen und einen "Helm" für den Kopf, aber eben auch Zwischenstücke, die die Beweglichkeit erleichtern, gewissermaßen die Kettenteile der Ritterrüstung. Diese Rüstung schlägt ganz offenkundig auch Falten, wobei mir nicht ganz klar ist, ob diese eigenartige Faltung der erhöhten Stabilität und Sicherheit dient oder der erhöhten Beweglichkeit.

Für die Beweglichkeit würde ja vielleicht genügen, dass das "Kettenhemd" an den chitinfreien Stellen auseinander gezogen werden kann. Auffällig ist ja schon im Präparat, dass die Lücken zwischen den Chitininseln unterschiedlich groß sind, wahrscheinlich doch, damit der Hals die erforderliche Flexibilität erhält.  Aber bei meiner Mückenart ist das "Halskettenhemd" ja nicht nur einfach gestrickt, sondern offensichtlich auch gefaltet. Außerdem erscheinen an der Stelle der Fältelung die beiden Hautstücke doch fest miteinander verbunden zu sein, oder?  Anscheinend ist dies bei dieser Mückenart auch immer so, ich habe diese Art Fältelung jedenfalls in allen meinen Präparaten gefunden, die diese Stelle zeigen.

Wahrscheinlich gibt es am Hals auch Sinneszellen, damit das Insektenhirn über die jeweiligen Kopfbewegungen eine Rückkopplung erhält.

Mikrogrüße  Jürgen

P.S.

Lieber Jörg, die zweite Tranche Deines wandelnden Blattes ist eben unter dem Messer im Längsschnitt. Ich bin gespannt, ob es etwas wird, vor allem, ob die Präparate ohne die bisherigen stark anfärbbaren Partikel erscheinen.


Fahrenheit

Lieber Jürgen,

ja, so wie Du die Inseln beschreibst, habe ich sie mir anhand Deiner Bilder auch vorgestellt.

Ich habe hier gerade zwei Großlibellen in Formalin liegen (nichts zum Schneiden, die Tiere sind wohl den ersten kühlen Nächten zum Opfer gefallen und waren schon länger tot als sie mir von den Nachbarn gebracht wurden, die um mein Hobby wissen).
Diese habe ich mir unter dem Stemi angesehen und auf den Gelenkhäuten nichts vergleichbares erkennen können, allerdings reicht die Vergrößerung auch nur bis 70-fach.

Ich würde mal vermuten, dass die Falten nicht fest miteinander verbunden sind, da sich mir der Sinn einer solchen Form nicht erschließt. Es geht ja "nur" darum, Kopfpanzer und Brustpanzer flexibel und dicht mit einander zu verbinden.

Die Positionsermittlung über Sinneszellen in oder an den Verbindungshäuten stelle ich mir kompliziert vor. Welche 'Messgrößen' sollten da wie bewertet werden?
Die Dipteren haben doch eigentlich alle ein sehr großes Gesichtsfeld und sollten die relative Lage des Kopfes zum Körper auch optisch ermitteln können. Oder stelle ich da zu hohe Anforderungen an das Sehvermögen der Tierchen?

Auf die Längstschnitte des wandelnden Blattes freue ich mich schon sehr! Ich wünsche Dir - nicht ganz ohne Eigennutz - eine ruhige Hand und gutes Gelingen! ;)

Herzliche Grüße
Jörg
Hier geht's zur Vorstellung: Klick !
Und hier zur Webseite des MKB: Klick !

Arbeitsmikroskop: Leica DMLS
Zum Mitnehmen: Leitz SM
Für draussen: Leitz HM

Jürgen H.

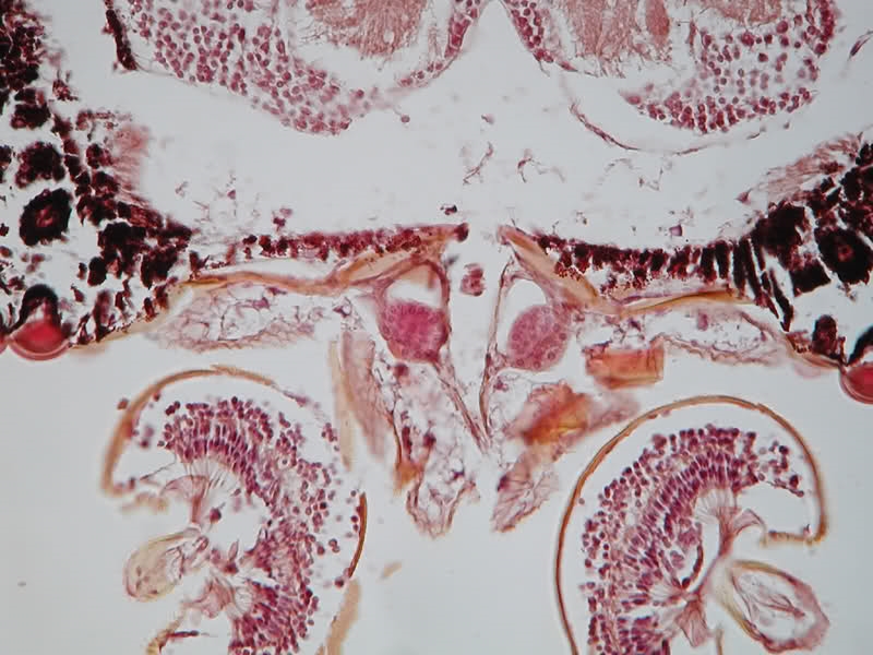
Liebe Mitmikroskopiker,

Hier noch einmal die "Hautfalten" aus einem neueren Schnitt aus dem Bereich des Halses meiner Stelzmücke. Diesmal in HE gefärbt:



Links quergeschnittene Muskulatur mit Zellkernen in der Mitte rechts die besagten Hautfalten, oben mittig eine kleinere verzweigte "Falte". Sehr eigenartig, finde ich und ich kann mir keinen Reim darauf machen. Die Literatur half mir nicht weiter. Sie besagt nur, dass in der Halsregion Cervikalien vorkommen, chitinöse Gebilde, die die Region des Halses stabilsieren. In der Regel sind diese Cervikalien paarig ausgebildet, aber auch eine Mehrzahl und eine kleinteilige Zergliederung ist denkbar. Nur dies hier? Eigenartig sind auch die feinen blau gefärbten Linien im Inneren der "Falten" besonders gut oben rechts zu sehen.

Weiß jemand einen Rat? Und wenn Ralf Feller mitliest: Hast Du Ähnliches bei Deiner Culex geschnitten?

Mikrogrüße

Jürgen



Fahrenheit

Lieber Jürgen,

das sieht ja wüst aus.  ;)

Kann es sein, dass die Strukturen aufgrund des gesunkenen Innendrucks im Insektenkörper so 'verschrumpelt' wirken?

Im Handbuch der Zoologie gibt es sehr schöne anatomische Zeichnungen, dort habe ich mich auch über meine Blattflöhe schlau gemacht und war begeistert z.B. von der Detailzeichnung zum Saugrüssel der Tierchen.
Wenn Du in einer Bibliothek Zugriff auf den passenden Band des Mammutwerks hast, könntest Du da mal schauen.

Herzliche Grüße
Jörg
Hier geht's zur Vorstellung: Klick !
Und hier zur Webseite des MKB: Klick !

Arbeitsmikroskop: Leica DMLS
Zum Mitnehmen: Leitz SM
Für draussen: Leitz HM

Jürgen H.

#7
Hallo Jörg,

Normalerweise sorgt der Chitinpanzer ja dafür, dass da nichts einschrumpeln kann :-)) Sonst schimpf ich auf den je eher, weil der beim Paraffinschneiden doch stets Schwierigkeiten macht. Hier hätte er vielleicht etwas Schrumpelei vermieden....

Nein im Ernst: Ganz sauber präpariert ist dieser Schnitt nicht, die Färbung ist etwas verwaschen, zu stark. Aber eines ist schon richtig: Im Inneren des Insekts muss Platz sein für die Bewegung der Hämolymphe. Da sind erhebliche Hohlräume. Und beim Paraffinpräparieren schrumpft alles doch etwas zusammen, weshalb es oft auch am Chitinpanzer Abrisse gibt, weil der nicht im gleichen Maße mitschrumpelt. Das hier gezeigte Präparat war nur das, bei dem ich das erste Mal auf diese Falten stieß. Man müsste sich das Insekt einmal näher von außen unter der Stereolupe ansehen.

Hier, etwas o.T. und nur nebenbei: Ein erster Querschnitt durch das Bein des wandelnden Blattes aus der neuen Schnittserie: Viel im Wesentlichen quergeschnittene Muskulatur bis auf die Stelle bei 5 Uhr, und überall  mit zentralen Zellkernen. Und mittig im Bein (und im Bild) ein Nerv. Was aber die eigenartige Struktur bei  3 Uhr ist? Keine Ahnung.... Auch hier sieht man, wie sich das Innere vom Chitin absetzt...



Es wird wohl noch etwas dauern, bis ich richtig im Körper bin.

Mikrogrüße

Jürgen

Fahrenheit

Lieber Jürgen,

das war auch mein Gedankengang: da bei nachlassendem Hämolymphendruck der Chitinpanzer nicht nachgibt, wird sich die Druckminderung zunächst durch Verformungen an den Gelenkhäuten bemerkbar machen.

Zu dem sehr schönen Bild vom Bein des wandelnden Blattes: welches Bein ist es denn? Vielleicht hast Du ein "Ohr" erwischt. Die Wandelnden Blätter haben, soweit ich weiss, ihre Höhrorgane auch in den Vorderbeinen. Und es wäre klar, wohin der Nerv verläuft.  :)

Herzliche Grüße
Jörg
Hier geht's zur Vorstellung: Klick !
Und hier zur Webseite des MKB: Klick !

Arbeitsmikroskop: Leica DMLS
Zum Mitnehmen: Leitz SM
Für draussen: Leitz HM

Jürgen H.

Hallo Jörg,

Nein, ein "Ohr" ist das nicht, das sieht anders aus. Es ist auch ein Schnitt durch die Coxa des mittleren Beines. Die Chordotonalorgane sind wahrscheinlich in der Tibia des Vorderbeines zu suchen. Leider habe ich an diese Möglichkeit nicht gedacht und habe vor dem Einbetten die Beine sämtlich weitgehend entfernt, damit die Flüssigkeiten und das Paraffin leichter eindringen kann. Das ist nun allerdings schade.

Schöne Grüße

Jürgen

Fahrenheit

Hallo Jürgen,

ja, das stimmt, die "Ohren" sind in der Tibia der Vorderbeine. Wie sagt der Kölner: "wat fot is, is fot".  ;D
Da kann man nichts machen.

Herzliche Grüße
Jörg
Hier geht's zur Vorstellung: Klick !
Und hier zur Webseite des MKB: Klick !

Arbeitsmikroskop: Leica DMLS
Zum Mitnehmen: Leitz SM
Für draussen: Leitz HM

Ralf Feller

Hallo Jürgen,
entschuldige bitte dass ich immer so wenig Zeit zum schreiben finde, obwohl
ich oft online bin. Ich bin sehr schreibfaul und lasse mich lieber von den
tollen Bildern hier im Forum berieseln.

Nun zu deiner Hautfalte; nein so etwas habe ich bei meinen Stechmücken
bisher nicht gefunden. Hast Du vielleicht eine Makroaufnahme die diese
Hautfalte zeigt?

Aber ich werde einmal in meinen Präparaten danach suchen.
Da ich, wie gesagt recht langsam bin, habe ich aber noch eine
Entsprechung zu Deinem Beitrag vom August gefunden.
Du hattest eine drüsige Bildung im Frontalbereich deiner
Mücken beschrieben. Da ich gerade eine Schnittserie
Abfotographiert habe, viel mir entsprechendes auch bei
meinen Stechmücken auf, eine Drüse im Frontalbereich.
Entspricht das etwa der Lage nach deinem Fund?
Schade dass die Herren Huber und Renz wohl nicht
mehr regelmäßig mitlesen, beide haben mir oft weiterhelfen
können. Vielleicht finde ich ja bald auch die Hautfalten
bei meinen Stechmücken.


Viele Grüsse Ralf

Jürgen H.

#12
Lieber Ralf,

vielen Dank für das schöne Photo, ich denke, es ist exakt diese Drüse, sie entspricht im Aussehen und in der Lage sehr der meiner Limoniidae. In einem anderen Schnitt habe ich festgestellt, dass sie sich traubenförmig in dorsal ventraler Richtung erstreckt und ihr Ausgang bei den Musnwerkzeugen liegt. Bei der Biene befindet sich hier übrigens die Futtersaftdrüsen. Wozu bei unseren Mücken diese Drüsen dienen, habe ich bisher noch nicht herausfinden können. Die Speicheldrüsen liegen ja nun im Prothorax.

Liebe Mitmikroskopiker und speziell lieber Jörg

bei den neuen Schnitten durch Dein wandelnde Blatt habe ich einigermaßen verblüfft festgestellt, dass im Bereich zwischen Prothorax und Mesothorax ebenfalls die Hautfalten zu sehen sind.

Hier ein Übersichtsbild (Ich weiß, mit ungleichmäßiger Beleuchtung, aber wie bekomme ich die nun heraus?) 10er Objektiv, Hämatoxylin Ehrlich und Eosin Y



Die Falten sind oben rechts zu sehen.

Und hier mit dem 20er Objektiv:



Schön zu sehen ist an dieser Stelle, dass die Exocutikula, rötlich gefärbt, an der Stelle der Hautfalten aufhört. Möglicherweise dienen diese Hautfalten hier zum Schutz der nicht von sklerotisiertem Chitin bedeckten Stellen. In einem anderen Schnitt habe ich aber an dieser Stelle auch eine massive Pore gefunden, die vielleicht mit einem Drüsenausgang verbunden ist.

Überraschend an dem Übersichtsbild ist der Vorderdarm, der mehr oder weniger nur aus einer großen Höhle zu bestehen scheint.

Mikrogrüße

Jürgen Harst

Fahrenheit

Lieber Jürgen,

wie immer vielen Dank für die schönen Bilder! Ich freue mich, dass es jetzt mit meinem Wandelnden Blatt weiter geht.

Zwischen Prothorax und Mesothorax wäre zwischen dem ersten und zweiten Brustschild?

Ist es von der Orientierung her richtig, dass rechts die Oberseite und links die Bauchseite liegt oder liege ich da ganz falsch?  :)

Herzliche Grüße
Jörg
Hier geht's zur Vorstellung: Klick !
Und hier zur Webseite des MKB: Klick !

Arbeitsmikroskop: Leica DMLS
Zum Mitnehmen: Leitz SM
Für draussen: Leitz HM

Alfons Renz

Lieber Herr Feller,

Die von Ihnen vermutete 'Drüse' im Frontalbereich kann ich leider nicht genauer bestimmen: Das Frontalganglion ist es wohl nicht.

Im Jobling S. 52 (ich glaube, Sie haben dieses Buch?) ist ein Schnitt durch den Kopf von Aedes abgebildet, bei welchen unter der Frons ('f') ein ähnliches Gebilde zu erkennen ist. Bei diesem handelt es sich offenbar um Teile des Fettkörpers.

Am leichtesten lässen sich derartige morphologisch/topologische Fragen anhand von Serienschnitten klären - und dies ist ja auch der eigentliche Grund, weshalb man diese anfertigt.

Wenn Sie die benachbarten Schnitte analysieren, dürfte sich das Rätsel, ob Drüse (mit Ausführgang), Fettkörper (identische Zellen wie an anderen Stellen des Körpers) oder Nerven (Verbindung zu den Cerebralganglien) lösen lassen.

Viel Erfolg und alle Achtung und Anerkennung angesichts der hervorragenden Schnitte, die Sie und Herr Harst hier zeigen!!

Alfons Renz