Hauptmenü

Eisen-Nachweis

Begonnen von Heiko, April 13, 2020, 21:57:58 NACHMITTAGS

Vorheriges Thema - Nächstes Thema

Heiko

Liebe Freunde hübscher Kristalle,

es ist für mich immer wieder erstaunlich, wie unsere Altvorderen variantenreich auf Ionen-Jagd gingen.
Hier habe ich ein Prozedere nachvollzogen, das Eisen-Ionen als Eisen(III)-thiocyanat-Pyridin zur Kristallisation bringt. Zur Struktur des Komplexes habe ich nichts finden können, wurde vielleicht nicht weiterverfolgt.
Mittels Polarisation aufgehübscht, ergeben sich schöne Kontraste zur roten ,,Mutterlauge":



Mit der Zeit werden die gelblichen, monoklinen Kristalle dann größer ...



... unter dem Deckglas leider kaum dicker, sodass immerhin ein Isogyren-Kreuz zu erhalten ist. Öffnet man dieses etwas ...



... riecht es nach Dispersion.

Viele Grüße,
Heiko 

A. Büschlen

Hallo Heiko,

mir gefallen die Farben und auf Bild 2 dieser mächtige Kristall. Mit welchem Objektiv hast du dieses Bild gemacht?

Viele Grüsse Arnold
Schwerpunkt z.Z.:
- Laub- und Lebermoose.
- Ascomyceten als Bryoparasiten.

witweb

Hallo Heiko,
schöne Aufnahmen.
Was waren deine Ausgangssubstanzen?
VG
Michael
Dieser Post wurde aus recycelten Elektronen erstellt
------------------------------------------------------------
Leitz Orthoplan
Zeiss Standard 18 mit Fluoreszenz-Auflichtkondensor IV FL
Lomo Biolam, Motic SMZ-168
Canon EOS 750D
https://mikrokristalle.net
https://www.youtube.com/@Mikrokristalle

Heiko

Hallo in die Runde.

Der Klunker wurde mit dem 40er abgebildet. Die Kristallisation ging aber munter weiter. Heute waren Exemplare dabei, die mit dem 50er nicht mehr komplett zu erfassen waren. Da zwei der ,,Zutaten" zu diesem ,,Gebräu", nämlich Eisen(III)-chlorid und Ammoniumthiocyanat hygroskopisch sind, ist bis jetzt noch Lösungsfilm vorhanden.
Heute nun sehe ich auch ein, dass in der Literatur von ,,rechtwinklig" die Rede ist, jedenfalls mehr oder weniger.
Und, mein Verdacht bezüglich einer Dispersion hat sich nicht bestätigt, denn diesmal hatte ich größere Kandidaten im Visier.


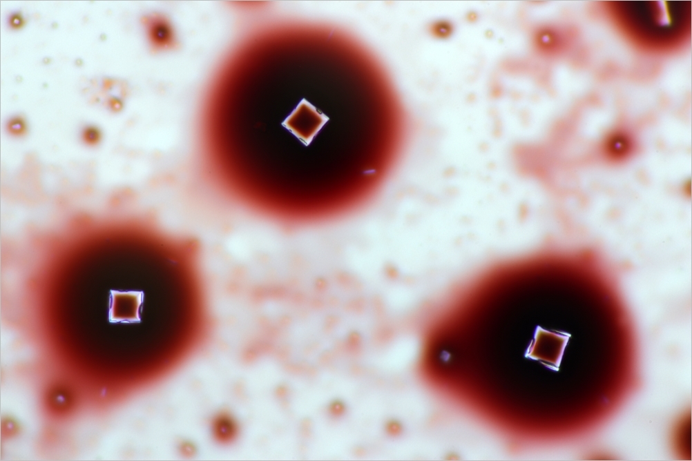
,,Quadrate" auf Lösungsresten


Seltsame Streifung, auch im nicht polarisierten Licht, ob da ,,Zutaten" knapp wurden?


rechte Winkel

Viele Grüße,
Heiko

Heiko

Hallo,

nun ändere ich meine Meinung doch noch einmal:



Viele Grüße,
Heiko

olaf.med

Ja, lieber Heiko, das nenne ich einmal Dispersion. Hier kann man sie "mit dem Krückstock tasten".

Herzliche GRüße,

Olaf
Gerne per Du!

Vorstellung: http://www.mikroskopie-forum.de/index.php?topic=4757.0

... und hier der Link zu meinen Beschreibungen historischer mineralogischer Apparaturen:
https://www.mikroskopie-forum.de/index.php?topic=34049.0

Heiko

Hallo in die Runde,

die etwas reißerische Aufmachung möge man verzeihen, aber die Kristalle sind klein, verwachsen – und bei solchen Motiven kann ich nicht widerstehen: Eisen(II)-dimethylglyoxim-Pyridin.



Viele Grüße,
Heiko

Reinhard

Hallo Heiko,

sehr schön dargestellte mikroskopische Eisennachweise.
Wie lange hat es gebraucht, bis Du den Pyridingestank aus Zimmer und Kleidung los geworden bist?  ;)

Viele Grüße
Reinhard
seit wann ist Kunst ein Fehler ?



-----------------------------------------------------
www.mikrochemie.net

Heiko

Hallo Reinhard,

Toleranz und Opferbereitschaft sind da gefragte Tugenden.  ;)
Aber das Resultat entschädigt:



Viele Grüße,
Heiko