Hauptmenü

Zeiss Jena Apo 10/0.30

Begonnen von rhamvossen, September 24, 2010, 20:15:48 NACHMITTAGS

Vorheriges Thema - Nächstes Thema

rhamvossen

Hallo,

Ich habe einen silberen Zeiss Jena Apo 10/0.30 bekommen, siehe das Bild unten. Weiss jemand aus welchen Ära das Objektiv sein könnte? Ich nehme an dass dieses silberen Objektiv später gemacht wurde als die Kupfer versionen? Ich benutze das Objektiv zusammen mit die Lomo Wasser immersion Objektiven und das Zeiss Jena Apo 20/0.65.



Das Bild des Zeiss Jena 10x halte ich für sehr gut und es ist eine Freude dieses Objektiv in Dunkelfeld oder schiefe Beleuchtung für das Leben im Wasser tropfen zu verwenden. Unten ein Bild von unter anderem Algen, schiefe Beleuchtung mit das Zeiss Jena 10x.



Herzliche Grüßen,

Rolf

Ulf Titze

#1
Hallo Rolf,

in Rostock sagten wir immer, solche Objektive stammten noch aus "Friedenszeiten"! Das ist ein "kurzes" Objektiv, also mit 33mm Abgleichlänge. Diese Baureihe gehört in den Zeitraum 1940-1960, also an die schwarzen Mikroskope der L-Serie, mit deren Flagschiff Lumipan. Die N-Serie der 60er Jahre hatte schon 45mm Abgleichlänge.

Wenn das Objektiv in Ordnung ist gibt es keinen Grund, es wegen des Alters in Ruhestand zu schicken. Das Exemplar, das ich mal hatte, wies eine recht starke Bildfeldwölbung auf, die für meine Zwecke ungünstig war. Aber die Qualität der Abbildung war erstaunlich!

Grüße

Ulf

"Do not worry about your problems with mathematics, I assure you mine are far greater." (A. Einstein)

"Komm wir essen Opi!" - Satzzeichen können Leben retten!!!

rhamvossen

Hallo Ulf,

Vielen Dank für deinen Kommentar. Das 10x Apo ist in Ordnung und ich habe viel spass damit, es zeigt auch wie wertvoll ein gutes 10x ist für Wasser Organismen. Das andere Zeiss Jena Objektiv, das 20/0.65 ist signifikant älter, nicht? Wenn ich Recht habe ist das ein Objektiv irgendwo aus der 30er jahre. Auch mit dieses Objektiv is die Bildfeldwölbung da aber die Bild Qualität ist spitze. Ich bin immer wieder beeindruckt wie gut die alte Objektiven sein können. Aber ich denke das man damit Glück haben muss. Grüße,

Rolf

Dr. Timo Mappes

Hallo zusammen,

das klar lackierte Messingobjektiv stammt aus Mitte der 1920er. Wie mit allen Optiken entscheidet auch bei antiken Objektiven die Sorgsamkeit im Umgang mit den Systemen (und nicht zuletzt deren richtige Lagerung über die Jahrzehnte!), welche Leistung sie noch heute aufweisen. Wenn man wirklich einen Blick in die Vergangenheit beim Mikroskopieren von Wasserorganismen werfen möchte, würde ich dringend empfehlen einen Zeiss Planktonsucher zu finden. Dieses hochkorrigierte Objektiv wurde 1898 von Hans Harting für Zeiss berechnet und vorgestellt [1], später wurde es als Objektiv Pl geführt. Es hat eine geringe numerische Apertur (0.11) und einen Arbeitsabstand von 36 mm, das Bild ist frei von Astigmatismus. Das Objektiv reicht in seiner Leistung an jene der Apochromate der Zeit heran.

Beste Grüße
Timo Mappes

Referenz

[1] Harting, Hans (1898) Ein neues Mikroskopobjectiv für zoologische und andere biologische Untersuchungen unter Wasser. Zeitschrift für wissenschaftliche Mikroskopie und mikroskopische Technik XV: pp. 1-2
Prof. Dr.-Ing. Timo Mappes
Deutsches Optisches Museum
Carl-Zeiss-Platz 12
07743 Jena

*************************
privat:
Museum Optischer Instrumente
www.musoptin.com

Die erste vollillustrierte deutschsprachige Seite zur Geschichte der Mikroskope für die Wissenschaft im 19. & frühen 20. Jahrhundert

rhamvossen

Hallo Timo,

Vielen Dank für diese Informationen. Beste Grüße,

Rolf

Rene

Nice one, Rolf. My Jena Ng came with lenses of this 33mm series, and according to the institutes administration they were purchased between '67 and '69 (slightly older than me then). I wouldn't know about the age of the 20x, but I have a similar silver one, and I believe they are similar to the LOMO copies. My 20x is not great contrastwise, possibly due to the slight delamination from the edge. But it works very well on my zeiss dic scope, in fact best of all other lenses in this range that I tried (leitz 22/0.65 achro, Zeiss plan neofluar 25/0.8, Olympus 20/0.7). Even though the zeiss needs a tube lenght adapter in order to bring it up to 45mm.

Best wishes, Rene

rhamvossen

Hi Rene,

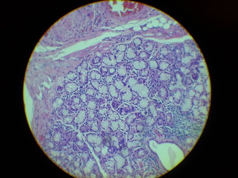
Yes the 20x Apo is also a nice objective, mine has a little bit less contrast than a more recent objective. Below a comparison of the Zeiss Jena 20x Apo and a more recent 20x Kyowa achromat. The difference in field curvature is very obvious. Still, contrast wise, the old Apo is not that bad.

20x Apo:



20x Kyowa:



Best regards,

Rolf