Hauptmenü

Planarie semidünn

Begonnen von Holger Adelmann, November 16, 2010, 00:57:06 VORMITTAG

Vorheriges Thema - Nächstes Thema

Holger Adelmann

Liebe Kollegen,

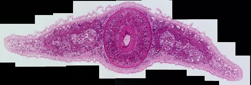
bei der Durchsicht meiner Lieder Präparate aus den 90ern fiel mir dieser Semidünnschnitt durch eine Planarie in die Hand (Spezies hat Lieder nicht angegeben).
Ich habe eine verkleinerte Vorschau unten angehängt.

Das mit dem 40er Plan Apo erzeugte Mosaik (ca. 16.600 x 5600 = 93 Megapixel) kann hier heruntergeladen werden (JPEG file im ZIP Archiv, sorry, habe alles andere ausprobiert, für die üblichen Wege war das File offenbar zu gross und wurde heruntergerechnet):
http://www.4shared.com/file/l4WKWpX1/planarie-mosaik.html.

Viel Spass beim erforschen, ich bin noch nicht dazu gekommen.
Herzliche Grüsse
Holger





Michael Plewka

hallo Holger,
das Bild ist einfach genial!

beste Grüße Michael Plewka

Fahrenheit

Lieber Holger,

das Mosaik ist wirklich faszinierend. Könntest Du vielleicht noch eine Beschriftung spendieren, um den Nichthistologen die einzelnen Gewebe näher zu bringen?  ;)

Herzliche Grüße
Jörg
Hier geht's zur Vorstellung: Klick !
Und hier zur Webseite des MKB: Klick !

Arbeitsmikroskop: Leica DMLS
Zum Mitnehmen: Leitz SM
Für draussen: Leitz HM

Holger Adelmann

Hallo Michael und Jörg,

vielen Dank erstmal. Zum Beschriften bin ich aus Zeitgründen noch nicht gekommen, ich bin auch kein Spezialist für diese Tiere, vielleicht hilft uns jemand im Forum aus?

Herzliche Grüsse
Holger