APS-C und Adaption am Zeiss-Endlich-Mikroskop, eine Testreihe

Begonnen von -JS-, Februar 24, 2013, 21:09:18 NACHMITTAGS

Vorheriges Thema - Nächstes Thema

-JS-

Liebes Forum,
dieser Beitrag ist leider etwas länger.
Er beschäftigt sich mit Tests unterschiedlicher Okulare sowie Abbildungsoptiken, die zur Verwendung an mit APS-Chip ausgestatteten DSLR's geeignet sein können.

Einführung:

Der Artikel ist gedacht für Mikroskopiker, die eine DSLR im APS-C Format besitzen und diese an einem Zeiss-Mikroskop der Endlich-Baureihe verwenden wollen. Im Gegensatz zum Vollformat, für das zu den Analog-Zeiten der Mikroskopie ja diverse Adapter im Handel erhältlich waren, ist es für das APSC-Format nicht einfach, an Mikroskopen der Endlich-Baureihe ein - am visuellen Bildkreis gemessen - möglichst verlustfreies Aufnahmeformat zu erhalten.
Daher wurde im hier vorgestellten Test versucht, durch entsprechende Kombinationen aus Okular und bildübertragendem Objektiv ("Relaisoptik") die entsprechenden Voraussetzungen zu erfüllen.
In der nachfolgenden Tabelle werden die in diesem Test verwendeten Kombinationen vorgestellt:



Die aufgeführten Kombinationen sind im Rahmen des hier vorgestellten Artikels lediglich als Anwendungsbeispiele unter Verwendung der zur Verfügung stehenden optischen Ausrüstung zu verstehen. Die oftmals für APSC-Adaptionszwecke als gut verwendbar empfohlenen Projektive befinden sich leider nicht in meinem Besitz.
Als Mikroskop kam ein Zeiss PHOMI II (mit Phototubus 47 30 24) zum Einsatz, bestückt mit einem Kondensor n.A. 0.63, LED-Beleuchtung (Luminus SST 50 W-WJ), den Objektiven PlanApo 10/0.32 und PlanApo 25/0.65. Vor jeder Aufnahme wurde die Köhler-Einstellung am Mikroskop geprüft und ggfs. korrigiert, und die Kondensorblende war, jeweils mit dem Bertrand-Fernrohr im Optovar kontrolliert, im Grundsatz maximal soweit geschlossen, daß sie gerade am äußeren Rand der hinteren Objektivpupille sichtbar wurde.
Der Test würde übrigens ohne Einschränkungen auch an einem mit entsprechendem Triple-Tubus ausgestatteten Mikroskop des Standard- oder WL-Typs durchführbar sein. Bei diesen Mikroskopen fällt der ja beim Phomi vorhandene Tubusfaktor 1,25 weg, und so würden sich die Ergebnisse hinsichtlich der 'Ausschnittsausbeute' bei diesen Mikroskop-Stativen noch ein wenig größer darstellen.

Aufstellung der zum Test herangezogenen Präparate:

1.) Objektmikrometer 2mm / 200 Teile (Aufnahmen mit PlanApo 10 und PlanApo 25)
2.) Testplatte von Peter Höbel, 200 µm Strichbreite (Aufnahmen mit PlanApo 10)
3.) Mikrotomquerschnitt einer Lilien-Wurzel, Präparat von Michael Dillberger (Aufnahmen mit PlanApo 10)
4.) Mikrotomquerschnitt eines Stängels von Urtica spec., befallen von Nesselseide, Präparat von Michael Dillberger (Aufnahmen mit PlanApo 25)
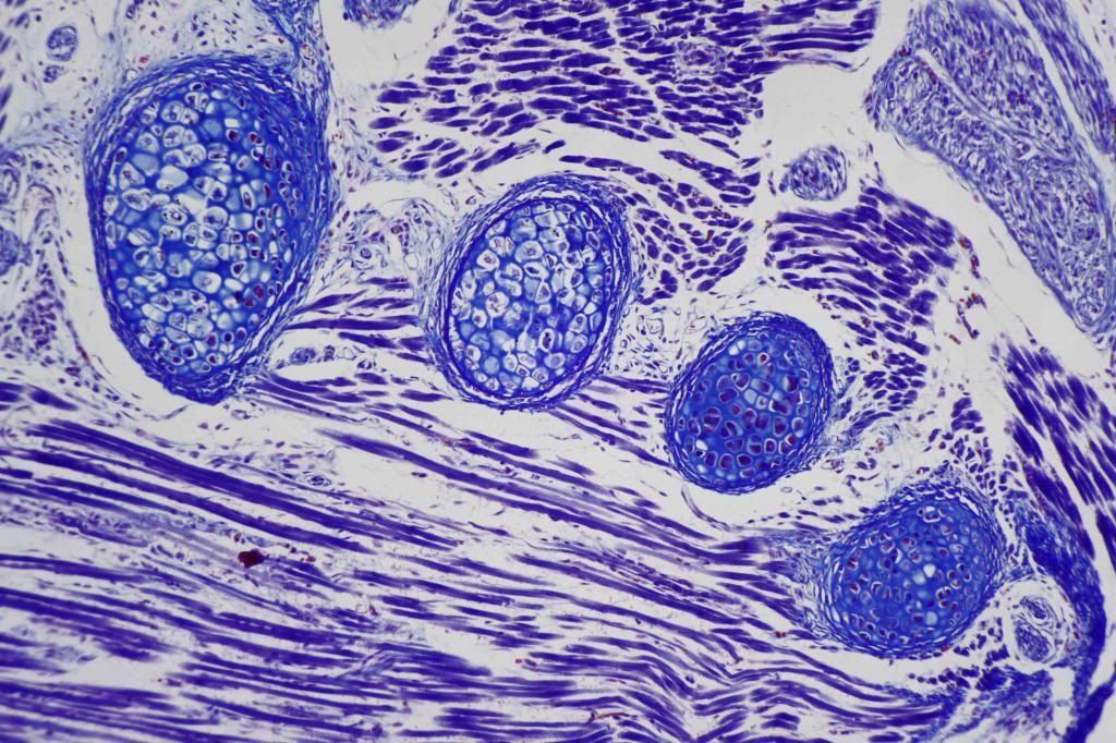
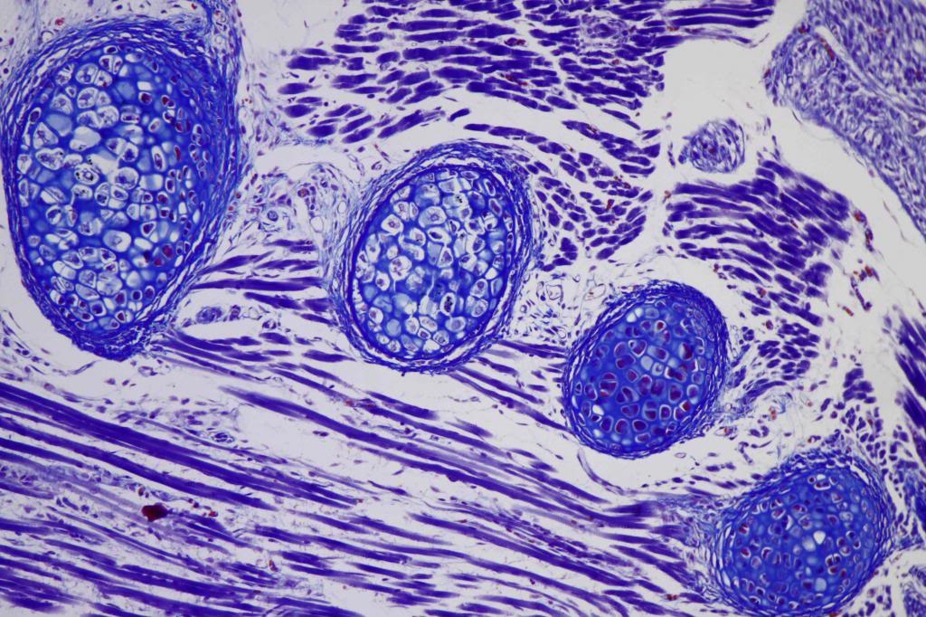
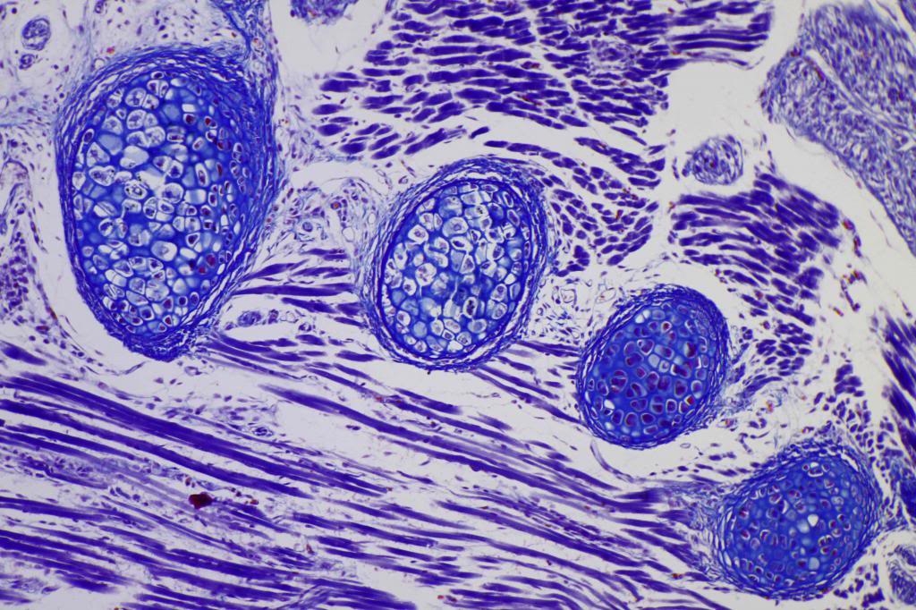
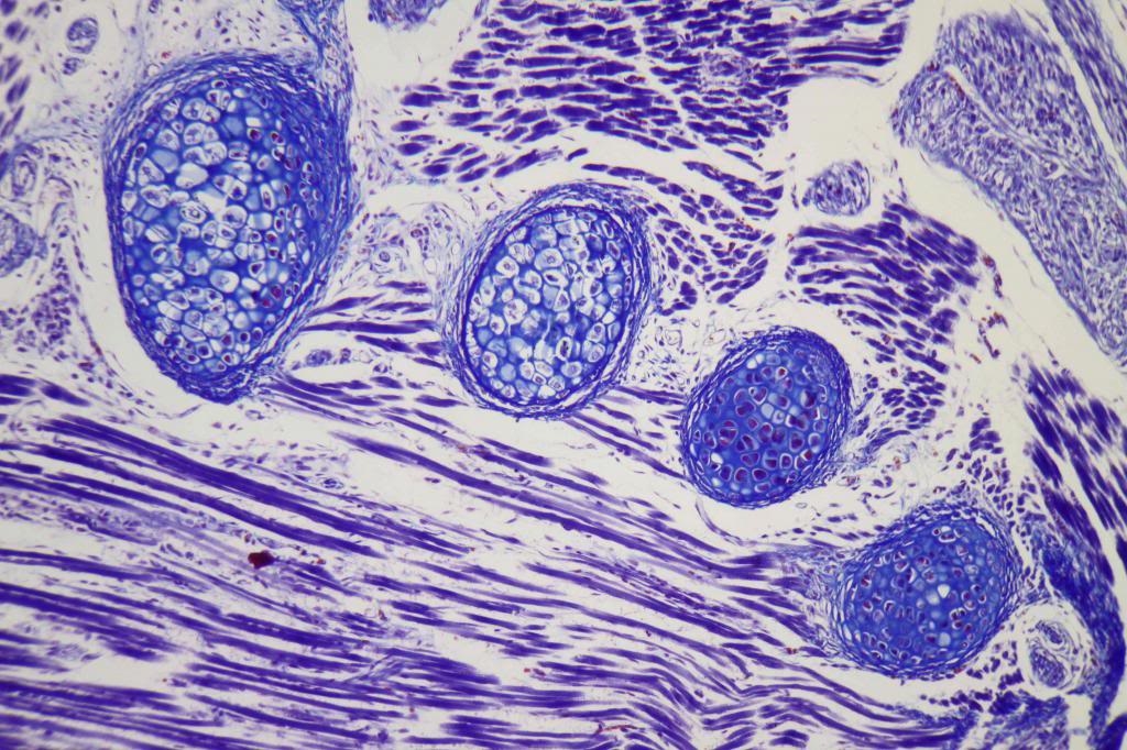
5.) Mikrotomschnitt eines Maus-Embryos, Rippenbereich, Präparat von Ronald Schulte (Aufnahmen mit PlanApo 10)

Es ergeben sich pro Messreihe aus der obigen Tabelle je 6 Einzelaufnahmen, die in der Folge vorgestellt werden.
Als Arbeitsreferenz wurde die Kombination aus Okular S-KPL 10x/20Br, dem Leitz Makro-Elmarit-R 60mm sowie einer Canon 5DMkII Vollformat-DSLR verwendet. Die mit dieser Adaption erzielten Ergebnisse werden im Abschnitt 3 des Beitrags zur Diskussion gestellt.


Zur Technik:

Die Adaption der Objektive zur Kamera hin erfolgte entweder über die Original-Bajonette oder mittels entsprechenden Adaptern (T2- bzw. Leitz-Canon-Bajonettadapter).
Die Verbindung des Objektives zum Mikroskop beruht auf einer Grundplatte mit per Gewinde höhenverstellbarer Okularaufnahmehülse, einem zum jeweils verwendeten Objektiv passenden Filtergewinde-Adapter sowie einer auf der Unterseite der Platte angebrachten Zeiss-Ringschwalbe. Die beiden Tessare sind (ähnlich wie beim Objektiv Zeiss 47 60 29) in ein Gehäuse mit T2-Gewinde am oberen und Zeiss-Ringschwalbe am unteren Ende verbaut, fokal zum Kamera-Chip auf 'unendlich' justiert.
Die Zeiss-Ringschwalbe der Objektiv-Adaptionen stellt über einen Klemmtubus 47 60 05 die Verbindung zum Fototubus 47 30 24 des verwendeten Phomi II her.
Diese für die Tests einheitlich verwendete Adaption ist sehr stabil und schließt bei Verwendung von live-view Fehlermöglichkeiten in Form von z.B. Verwackelungsunschärfen vollständig aus.
Die Aufnahmen wurden mittels live-view am Bildschirm vorbereitet (Ausschnitt, Schärfekontrolle, Weißabgleich und Belichtungseinstellung). Die Empfindlichkeit betrug bei allen Aufnahmen unverändert 100 ASA, Farbe und Kontrast wurden auf Canon-'Standard' belassen.


Die Bilder:

Obschon es manchmal schon gewaltig in den Fingern gejuckt hat, sind alle Bilder bis auf den von der Kamera vorgenommenen Weißabgleich sowie die für Photobucket notwendige Verkleinerung in keiner Form, Art und Weise nachbehandelt, farbverändert, nachgeschärft, kontrastiert, spektralverbessert oder entrauscht, um das Primärergebnis so zu zeigen, wie es der Chip resp. die Adaption geliefert hat.


Abschnitt 1: Okulare mit Vergrößerung 6,3x und 8x, Canon EOS 50D

In der Folge werden nun die mit den Okularen 6,3x und 8x erzielten Ergebnisse sowie unterschiedlichen Relaisoptiken zur Diskussion vorgestellt:

Kombination KPL6.3x/18Br mit Objektiv Zeiss 47 60 29 f=63mm

Objektmikrometer, PlanApo 10/0.32 (KPL 6.3x/18Br, Z 47 60 29)


Objektmikrometer, PlanApo 25/0.65 (KPL 6.3x/18Br, Z 47 60 29)


Testplatte n. Höbel, PlanApo 10/0.32 (KPL 6.3x/18Br, Z 47 60 29)


Lilienwurzel, PlanApo 10/0.32 (KPL 6.3x/18Br, Z 47 60 29)


Nesselseide, PlanApo 25/0.65 (KPL 6.3x/18Br, Z 47 60 29)


Maus, PlanApo 25/0.65 (KPL 6.3x/18Br, Z 47 60 29)



Kombination KPL8x/18BrBr mit Objektiv Zeiss Tessar f=45mm

Objektmikrometer, PlanApo 10/0.32 (KPL8x/18Br, T45mm)


Objektmikrometer, PlanApo 25/0.65 (KPL8x/18Br, T45mm)


Testplatte n. Höbel, PlanApo 10/0.32 (KPL8x/18Br, T45mm)


Lilienwurzel, PlanApo 10/0.32 (KPL8x/18Br, T45mm)


Nesselseide, PlanApo 25/0.65 (KPL8x/18Br, T45mm)


Maus, PlanApo 25/0.65 (KPL8x/18Br, T45mm)



Kombination KPL8x/18Br mit Objktiv Zeiss Tessar f=50mm

Objektmikrometer, PlanApo 10/0.32 (KPL8x/18Br, T50mm)


Objektmikrometer, PlanApo 25/0.65 (KPL8x/18Br, T50mm)


Testplatte n. Höbel, PlanApo 10/0.32 (KPL8x/18Br, T50mm)


Lilienwurzel, PlanApo 10/0.32 (KPL8x/18Br, T50mm)


Nesselseide, PlanApo 25/0.65 (KPL8x/18Br, T50mm)


Maus, PlanApo 10/0.32 (KPL8x/18Br, T50mm)



Abschnitt 2: Okulare mit Vergrößerung 10x, Canon EOS 50D

Nachstehend werden die mit den Okularen 10x sowie unterschiedlichen Relaisoptiken erzielten Ergebnisse zur Diskussion vorgestellt:

Kombination KPL10xW/20Br mit Objektiv Canon EF 35mm

Objektmikrometer, PlanApo 10/0.32 (KPL10xW/20Br, EF35mm)


Objektmikrometer, PlanApo 25/0.65 (KPL10xW/20Br, EF35mm)


Testplatte n. Höbel, PlanApo 10/0.32 (KPL10xW/20Br, EF35mm)


Lilienwurzel, PlanApo 10/0.32 (KPL10xW/20Br, EF35mm)


Nesselseide, PlanApo 25/0.65 (KPL10xW/20Br, EF35mm)


Maus, PlanApo 25/0.65 (KPL10xW/20Br, EF35mm)



Kombination S-KPL10x/20Br mit Objektiv Canon EF 40mm ('Pancake'

Objektmikrometer, PlanApo 10/0.32 (S-KPL10x/20Br, EF40mm)


Objektmikrometer, PlanApo 25/0.65 (S-KPL10x/20Br, EF40mm)


Testplatte n. Höbel, PlanApo 10/0.32 (S-KPL10x/20Br, EF40mm)


Lilienwurzel, PlanApo 10/0.32 (S-KPL10x/20Br, EF40mm)


Nesselseide, PlanApo 25/0.65 (S-KPL10x/20Br, EF40mm)


Maus, PlanApo 25/0.65 (S-KPL10x/20Br, EF40mm)



Kombination S-KPL10x/20Br mit Objektiv Leitz Elmarit-R 35mm

Objektmikrometer, PlanApo 10/0.32 (S-KPL10x/20Br, Elmarit-R35mm)


Objektmikrometer, PlanApo 25/0.65 (S-KPL10x/20Br, Elmarit-R35mm)


Testplatte n. Höbel, PlanApo 10/0.32 (S-KPL10x/20Br, Elmarit-R35mm)


Lilienwurzel, PlanApo 10/0.32 (S-KPL10x/20Br, Elmarit-R35mm)


Nesselseide, PlanApo 25/0.65 (S-KPL10x/20Br, Elmarit-R35mm)


Maus, PlanApo 25/0.65 (S-KPL10x/20Br, Elmarit-R35mm)



Abschnitt 3: Okular S-KPL 10x/20 Br, Objektiv Leitz Makro-Elmarit-R 60mm und EOS 5DMkII

Für einen Vergleich mit den APS-C-Bildern wird nachfolgend das mit der in der Abschnitts-Überschrift genannten Vollformat-Kombination erstellte Bildmaterial gezeigt.

Objektmikrometer, PlanApo 10/0.32 (S-KPL10x/20Br, Makro-Elm.-R 60mm, EOS5D)


Objektmikrometer, PlanApo 25/0.65 (S-KPL10x/20Br, Makro-Elm.-R 60mm, EOS5D)


Testplatte n. Höbel, PlanApo 10/0.32 (S-KPL10x/20Br, Makro-Elm.-R 60mm, EOS5D)


Lilienwurzel, PlanApo 10/0.32 (S-KPL10x/20Br, Makro-Elm.-R 60mm, EOS5D)


Nesselseide, PlanApo 25/0.65 (S-KPL10x/20Br, Makro-Elm.-R 60mm, EOS5D)


Maus, PlanApo 25/0.65 (S-KPL10x/20Br, Makro-Elm.-R 60mm, EOS5D)



Liebes Forum, zunächst einmal ein ganz herzliches Dankeschön für das Durchstehen dieses "Bildmarathons".
Das vorgestellte Material kann - wie bereits gesagt - nur beispielhafte Ergebnisse beinhalten. Dazu sind die denkbaren Alternativen für eine Adaption einfach zu vielfältig in allen ihren möglichen Kombinationen.
Dennoch dürfte sich aus dem hier Gezeigten genügend Material für Vergleiche ergeben, welches vielleicht dem einen oder anderen Leser bei einer Entscheidung hinsichtlich der angedachten oder geplanten Adapterkombination helfen kann.

Auf eine abschließende Bewertung der Ergebnisse wird an dieser Stelle zunächst ganz bewußt verzichtet.
Hierzu wäre es schön, wenn sich Derartiges aus der Diskussion ergeben würde.

Als kleiner Anhaltspunkt sei jedoch schon im Vorwege gesagt, daß die Schulnote "sehr gut" für keine der hier vorgestellten Adaptionen vergeben werden kann - bedauerlicherweise auch für die in Abschnitt 3 vorgestellte sog. "Referenz" nicht.

Vielen Dank für die Geduld sowie für's Lesen und: Herzlichen Gruß
Joachim

... bevorzugt es, ge_Du_zt zu werden ...

TPL

Lieber Joachim,
ich bin schwer beeindruckt: danke für so eine wohlstrukturierte und mit guten Abbildungen versehene Dokumentation! Das ist einmal wirklich wohl aufbereitetes "Futter" ohne lästige Mastanteile ;). Die bildlichen Beispiele finde ich sowohl technisch angemessen als auch praxisnah gewählt. Für mich ist das nicht nur hilfreich sondern absolut vorbildlich und deshalb: DANKE!

Über die von Dir ins Auge genommene Zielgruppe hinaus wird dieses Thema (Anpassung einer APS-C-Camera an ein Mikroskop) zunehmend auch für die inzwischen "Systemkamera" genannten Modelle ohne Reflexspiegel (Sony, Fujifilm, etc.) interessant. Sowenig diese Kameras für die Verwendung am Mikroskop gedacht sind, so sehr könnte deren Sensor-Gestaltung dafür besonders geeignet sein...

Herzliche Grüße
Thomas

Winfried Todt

Hallo Joachim,

eine wirklich gelungene Arbeit, die es verdient, dass man sich die Zeit zur Auswertung und zum Betrachten nimmt.
Ich habe mir erlaubt, Deine Bilder in eine verkleinerte Übersicht zu bringen.



Es bleibt jetzt dem Betrachter überlassen, welche Kombination ihm besser gefällt. Letztlich dürfte es auch wie so vieles im Leben auf einen Kompromiss hinaus laufen, denn die Leitz Elmarit Objektive haben ja auch ihren Preis.

Herzliche Grüße
Winfried

JB

Hallo Joachim,

Eine beindruckende Zusammenstellung. Die Auswertung macht mir aber Probleme. Worauf "muss" man denn achten? Als Photographie-Laie kann ich kaum zwischen Zufallsprodukten (etwas unterschiedliche Belichtung; etwas unterschiedliche Farbtoene) und echten Verbesserungen unterschieden.

Im Moment sind fuer mich alle Kombinationen, bis auf den Bildausschnitt, gleich gut (eine gute Nachricht fuer alle, die kein S-Kpl Okular haben). Alle sind scharf und variieren nur in den Farbtoenen. Und wenn die Referenz (Abschnitt 3) kein "sehr gut" erhaellt, wie saehe dann bloss ein "sehr gut" aus??

Beste Gruesse,

Jon

-JS-

#4
Herzlichen Dank für die bisher gegebenen Antworten.

@ TPL: Lieber Thomas, vielen Dank für Dein Lob. Zu den von Dir angesprochenen Systemkameras fehlen mir aber leider die Kenntnisse, um die Umsetzungsmöglichkeiten des hier vorgestellten Tests auf solche für die Verwendung am Mikroskop zweifellos sehr interessanten Geräte bewerten zu können.

@ Winfried Todt: Danke für die Arbeit, welche Du Dir mit der verkleinerten Gegenüberstellung der Ergebnisse gemacht hast. Es wird in diesem Stil noch ein paar erläuternde Bilder von mir geben, die als eine Art von Hilfestellung für eine Bewertung genutzt werden können.

@JB: Hallo Jon, wie ein 'sehr gut' aussehen würde, wüsste ich auch gern :-)
Worauf z.B. zu achten sein sollte, wird im nachstehenden Bild dargestellt.



Von jeder im Artikel für den APS-Chip vorgestellten Kombination wurde in diesem Bild hierfür ein Ausschnitt der Abbildung des Objektmikrometers (aufgenommen mit PlanApo 25/0.65) in der Größe 1676 x 200 Pixel gezeigt, und zum Vergleich an der linken Bildseite jeweils der äußerst linke, der mittlere und der äußerst rechte Strich in einem ca. 3x vergrößerten Ausschnitt, ursprünglich 30 x 60 Pixel groß.
Hier werden die Qualitätsunterschiede hinsichtlich der Farb-Aberrationen recht deutlich sichtbar.
Weitere zusammenfassende Ergebnisbilder in ähnlichem Stil werden folgen, ich möchte hierzu nur um ein wenig Geduld bitten.

Viele Grüße
Joachim
... bevorzugt es, ge_Du_zt zu werden ...

Michael W.

Hallo Joachim,

vielen Dank für diese aufschlussreiche Vergleichsreihe. Da hast du dir ja wirklich viel Mühe gegeben. Da du penibel darauf geachtet hast, immer den gleichen Bildausschnitt bei möglichst gleicher Beleuchtung zu fotografieren, kann man die verschiedenen Adaptionen schön miteinander vergleichen.

Die letzte gezeigte Zusammenstellung (Objektmikrometer-Vergleich) ist für einen schnellen Überblick natürlich sehr gut geeignet. Da kann man schön erkennen, was brauchbare Resultate liefert und wovon man besser die Finger lassen sollte.

Hast du vielleicht schon mal daran gedacht, so eine Zusammenstellung auch von einem der Pflanzenschnitte zu machen? Mit so einem "Handzettel" könnte man z.B. die Schärfe und die allgemeine Bildqualität der vielen Testaufnahmen besser miteinander vergleichen. So muss man zwischen den einzelnen Bildern immer wechseln.

Wenn du Interesse hast, kann ich auch eine "Beurteilung" der Testreihe machen (mit verschiedenen Paramtern wie z.B. CA, Schärfe, Ausleuchtung, etc.). Da ich das aber tabellarisch auswerten müsste, kann das ein wenig dauern.

Viele Grüße
Michael
Am liebsten per "Du"

-JS-

#6
Hallo Michael,
ZitatHast du vielleicht schon mal daran gedacht, so eine Zusammenstellung auch von einem der Pflanzenschnitte zu machen?
dran gedacht habe ich schon, aber leider haben sich gegenwärtig andere wichtige Projekte mit Nachdruck bemerkbar gemacht, so bitte ich um ein wenig Geduld.
ZitatWenn du Interesse hast, kann ich auch eine "Beurteilung" der Testreihe machen (mit verschiedenen Paramtern wie z.B. CA, Schärfe, Ausleuchtung, etc.)
Das Interesse daran besteht mit absoluter Sicherheit !
Allerdings möchte ich Dich darum bitten, mit Deiner abschließenden Bewertung resp. der tabellarischen Darstellung noch ein wenig zu warten, bis auch eine bildhafte Übersicht der einzelnen Darstellungen zum Maus-Präparat gezeigt worden ist.
Ich meine nämlich, daß dieses Bildmaterial mit seiner gerade mal 5µm betragenden Schnittstärke es wert ist, in die Beurteilung mit übernommen zu werden.
Herzlichen Gruß
Joachim
... bevorzugt es, ge_Du_zt zu werden ...