HISTOPATHOLOGIE: Akute Appendizitis.

Begonnen von Ronald Schulte, Dezember 04, 2016, 11:43:21 VORMITTAG

Vorheriges Thema - Nächstes Thema

Ronald Schulte

Heute mal ein Paraffin Block von eine Entzündung aus die Pathologie Sammlung die ich bekommen habe aus das Labor von Robin Wacker.

Akute Entzündung des Wurmfortsatzes des Blinddarms!




Zitat Wikipedia,

Unter einer Appendizitis wird eine Entzündung des Wurmfortsatzes des Blinddarms verstanden. Im deutschen Sprachraum wird dieses Krankheitsbild medizinisch unkorrekt als Blinddarmentzündung bezeichnet. Ist tatsächlich der Blinddarm (medizinischer Fachbegriff das Caecum bzw. eingedeutscht Zäkum oder Zökum) entzündet, wird in der Fachsprache von einer Typhlitis gesprochen.






Klinik. Das Klinische Bild ist durch einen raschen Verlauf gekennzeichnet (innerhalb von Stunden kann es einer Perforation kommen). In einer frühen Phase kann die Entzündung noch lokalisiert sein: Nur ein umschriebener Bereich der Appendix ist entzündlich verändert. Aus diesem Grunde sollten immer drei Gewebsproben Des Organs untersucht werden (Basis, Mitte und Spitze).



Das Block ist geschnitten am A&O 820 Mikrotom mit Leica 818 Hochprofil Mikrotommesser.
Die Schnitte wurden im Wasserbad gestreckt und am OT aufgezogen. Auf eine Wärmebank trockne ich die Schnitte auf 45 Grad für einige Stunden und lagere die OT dann in Präparatmappen aus Pappe.

Die ausgeführte Färbung ist die Standard Haematoxyline/Eosin Färbung (Haematoxyline nach Weigert hat mein Vorzug aber das muss nicht sein).

Die Bilder sind wie immer am Leitz Orthoplan gemacht mit Moticam 2300 Kamera.



Stitch aus 42 Bilder. Objektiv: Leitz plan Fluotar 4x.
Färbung: Haematoxyline/Eosin.





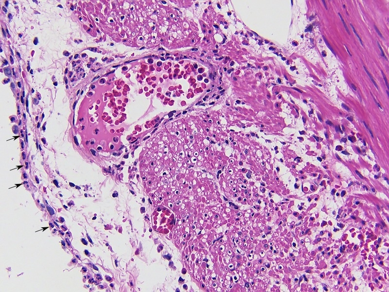
Objektiv: Leitz plan Fluotar 25x.
Färbung: Haematoxyline/Eosin.

Pfeilen zeigen reichlich Granulozyten.






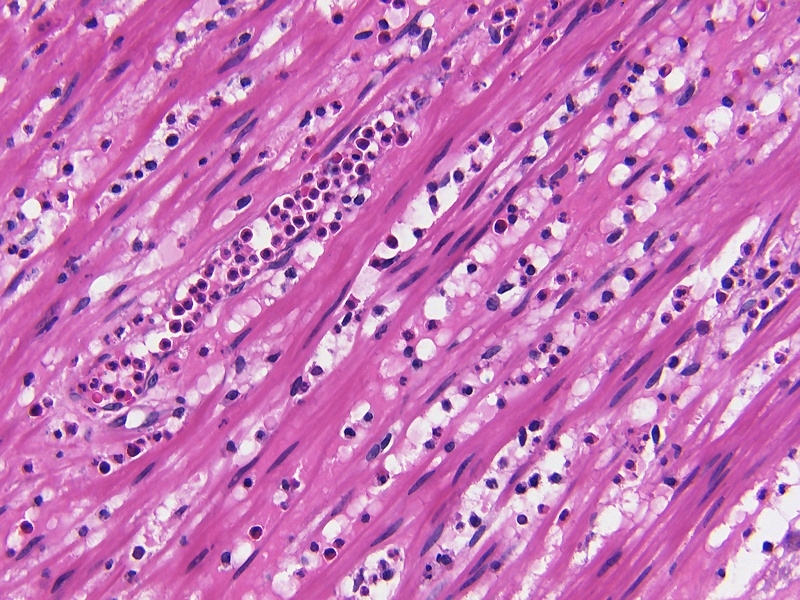
Objektiv: Leitz plan Fluotar 25x.
Färbung: Haematoxyline/Eosin.

Muskelgewebe mit reichlich Granulozyten.






Objektiv: Leitz plan Fluotar 25x.
Färbung: Haematoxyline/Eosin.






Objektiv: Leitz plan Apo 40x.
Färbung: Haematoxyline/Eosin.

Makrophagen mit Zelltrummer. Die Berliner Blau Reaktion war Negativ so hat kein dreiwertiges Eisen.






Diapedese (Zitat Wikipedia),
Unter einer Leukodiapedese, versteht man das Hindurchtreten von Immunzellen (Monozyten, Makrophagen, Granulozyten, Lymphozyten) durch die Innenauskleidung (Endothel) der kleinen Blutgefäße (Arteriolen, Kapillaren und Venolen). Bei starker Blutstauung können auch rote Blutkörperchen (Erythrozyten) austreten. Diese Form der Diapedese bezeichnet man als Erythrodiapedese.
Die Leukodiapedese ist ein hochkomplexer Vorgang, bei dem die Kommunikation zwischen Mediatoren außerhalb zu Veränderungen des Zellskeletts führen. Der genaue Mechanismus ist bislang noch nicht aufgeklärt. Viele intrazelluläre Proteine wie Profilin, Gelsolin, Thymosin und Aktin spielen dabei eine Rolle. Auch müssen sich die Zellen vor den eigenen katalytischen Enzymen schützen. Dazu tragen sie Rezeptoren, die beispielsweise die Elastase in einer solchen Form binden, die das aktive Zentrum von der Zellmembran weg weist.







Objektiv: Leitz plan Apo 40x.
Färbung: Haematoxyline/Eosin.

Die vier Pfeilen zeigen einige Granulozyten die Austreten.




Viel Spaß beim anschauen, grüße Ronald
Mikroskope:
Leitz Orthoplan (DL, AL-Fluoreszenz und Diskussionseinrichtung).
Leica/Wild M715 Stereomikroskop.
Mikrotom:
LKB 2218 Historange Rotationsmikrotom.

Dr. Jekyll

Lieber Ronald,

Die Weiterverarbeitung des Materials ist Dir sehr gut gelungen und die Bilder sind klasse. Auch die Dokumentation ist sehr schön und informativ👍, weiter so ich hoffe da kommt noch mehr in dieser Richtung. Gewebeproben hast Du ja reichlich😊

Beste Grüße🔬
Harald

P.S.: Es wäre schön, wenn von den anderen Empfängern des histopathologischen Materials aus Robin Wackers Labor noch ein paar weiter verarbeitete Präparate gezeigt würden. Kommt vielleicht noch 😉?

Beste Grüße
Harald

Ralf Feller

Lieber Ronald,
auch von mir Danke und großen Respekt vor Deiner Arbeit, die ich sehr schätze.
Die Arbeit ist klasse und die Beschreibung auch.

Lieber Harald,
nun habe ich ja von Dir auch zahlreiche Wackerblöckchen bekommen, danke
noch mal. Leider dauern die familiären Probleme an. Daher nur in Kürze ein
paar Appendixschnitte eines Blöckchens von Robin Wacker ohne große
Vorbereitung gepostet und daher unbeschriftet.

Die Schnittqualität (Leitz Rotationsmikrotom 1212 mit C-Messer) ist nicht
so gut wie bei Ronald, der ja Meisterrang besitzt, und auch die HE-Färbung
ist nicht so knackig. Aber das Forum soll ja helfen besser zu werden.
Die Aufnahmen am Orthoplan mit Eos 700D.

Der Block ist beschriftet mit Appendix.
Ich dachte jetzt kommt ein normaler Appendix, aber schon in der
Übersicht zeigt sich ein deutlicher Durchsatz der Mucosa bis in
das Meso mit Entzündugszellen, die sich auch im Lumen finden.
Schön zu sehen ist auch die Hypertrophie der sekundären
Lymphfollikel. Ich gehe also hier auch von einer Appendicitis aus.

Appendix mit Meso

Zahlreiche Entzündugszellen in der Mucosa und im Lumen

Sekundärfollikel

Sekundärfollikel


Kritik ist willkommen und erwünscht, besonders von Ronald.

Grüße aus Mülheim-Ruhr, Ralf

Ralf Feller

Hallo Ronald,
ich habe etwas vergessen, mein Färbeprotokoll.
Vielleicht hast Du Verbesserungsvorschläge?
HE Färbeprotokoll

1.   Tissue-Claer       4 min
2.   Xylol         4 min
3.   Xylol         4 min
4.   Isopropanol      4 min
5.   Bioethanol abs   4 min
6.   Ethanol 96%      4 min
7.   Ethanol 85%      4 min
8.   Etanol 70%      4 min
9.   Ethanol 50%      4 min
10.   Leitungswasser   4 min
11.   AQ dest eintauchen
12.   Hämalaun       5 min
13.   AQ dest eintauchen
14.   HCl Alkohol       3-5x eintauchen (wichtig)
15.   Leitungswasser   eintauchen
16.   Ammoniak      eintauchen
17.   Leitungswasser    15 min
18.   Eosin mit spur Essig    9 min
19.   AQ dest eintauchen
20.   Ethanol 70%       max 1 min
21.   Ethanol 96%      4 min
22.   Isopropanol
23.   Isopropanol Küvette    4 min
24.   Xylol          2 min
25.   Xylol          2 min
Gruß Ralf

Dr. Jekyll

Lieber Ralf,

Vielen Dank dass Du so prompt reagiert hast und auch etwas schönes von deiner Arbeit zeigst.
Auch deine Bilder finde ich klasse und freue mich dass das Außgangsmaterial noch zu solch tollen Ergebnissen führt.
Immerhin sind die Gewebeproben schon Jahrzehnte alt. Da juckt es mich in den Fingern mich auch langsam einmal an den Paraffinblöckchen zu vergreifen. Eine kleine Auswahl habe ich ja noch in Reserve😊 Allerdings beschäftige ich mich zur Zeit mit Diatomeen-Legen und das ist sehr zeitraubend.
Aber solange hier Arbeiten wie die von dir und Ronald zu sehen sind brauche ich mir die Mühe ja nicht machen. Es wäre auch die Frage ob ich das so gut hin bekäme👍

Noch eine Frage zu deinem Protokoll. Warum gehst Du vom Tissue-Clear in Xylol? Zumindest bei meinen botanischen Schnitten gehe ich direkt in Isopropanol und das funktioniert recht gut.

Herzliche Grüße
Harald
Beste Grüße
Harald

Jürgen H.

Lieber Ronald, lieber Ralf,

Wunderschön klare histologische Bilder habt ihr beide eingestellt, herzlichen Dank dafür. Ob man die etwas zurückhaltendere blassere, oder die kräftigere Eosinfärbung bevorzugt, ist wohl eher Geschmacksfrage. Gut differenziert erscheint imho das Gewebe in beiden Darstellungen.

Was mich überrascht hat, sind die umfangreichen Zotten, die bei Deinem Bild, Ronald, ins Darmlumen ragen.

Hättest Du noch eine nähere Aufnahme eines Sekundärfollikels?

Schöne Grüße

Jürgen

Ronald Schulte

Ralf,

Ich finde deine Farbung Prima in Ordnung. Das Haematoxylin gerade genug und das Eosin genau gut. Nur sehe ich Eosin Flecken und die haben eine Ursache. Siehe Tekst.


1.   Tissue-Claer       4 min  , ist mir unbekannt. Ich setze die Schnitte so im Xylol und genau so wie du in zwei Stufen. Im Winter ist es gunstig um das Xylol was auf zu warmen. Wenn das Xylol richtig Kalt ist löst sich das Paraffin immer noch aber wenn es so 20-25Grad ist geht es Schneller und voral Besser.
2.   Xylol         4 min
3.   Xylol         4 min
4.   Isopropanol      4 min
5.   Bioethanol abs   4 min
6.   Ethanol 96%      4 min
7.   Ethanol 85%      4 min
8.   Etanol 70%      4 min
9.   Ethanol 50%      4 min
10.   Leitungswasser   4 min, Diese Stufe ist so wie ich weis nicht notwendig.
11.   AQ dest eintauchen, Nicht nur eintauchen aber die Schnitte mussen auch einige Minuten im Wasser verbleiben weil das letzte Ethanol versetzt werden muss.
12.   Hämalaun       5 min, Bei mir wurde 5 Minuten zu lange sein aber deine Schnitte sind gut gefarbt so ist es in Ordnung.
13.   AQ dest eintauchen
14.   HCl Alkohol       3-5x eintauchen (wichtig), ist mir nicht bekannt. Ich Spule das Hamalaun mit AD grundlich und tauche die Schnitte dann im Leitungswasser fur 10 oder 15 Minuten. Einige Tropfen Ammoniak zufugen ist notwendig wenn das Leitungswasser zu sanft ist. PH 8 ist Perfekt und meist genugen dann ein oder zwei Tropfen Ammoniak aus den Baumarkt auf 100 Ml Wasser.
15.   Leitungswasser   eintauchen
16.   Ammoniak      eintauchen,
17.   Leitungswasser    15 min
17A AQ dest eintauchen. Das Basische Wasser muss weg sein. Hier kannst du die Schnitte auch was Länger halten wenn das sein muss. Wegen kaffee Pauze oder so!
18.   Eosin mit spur Essig    9 min, Ich sehe ziemlich viele Eosin Flecken. Könnte sinnvoll sein mal dein Eosin zu Filtrieren.
19.   AQ dest eintauchen, Hier nicht nur tauchen sondern richtig im Wasser schwenken um das uberschussige Eosin los zu werden. Das kann auch die Flecken verursachen.
20.   Ethanol 70%       max 1 min, Mache ich auch so. Nachdem du es 9 Minuten gefarbt hast ist es ja etwas uberfarbt. Das sollte auch sein und im 70% kannst du es Prima Differenzieren. Im 96% Ethanol geht dann noch etwas Eosin ab aber nicht ehr so vieles. Das Isopropanol stopt dann die Differenzierung.
21.   Ethanol 96%      4 min
22.   Isopropanol
23.   Isopropanol Küvette    4 min, sicher nicht kürzer wahlen. Alle Wasser muss raus. Ich wechsele mein Iso richtig oft. Kostet ja wenig.
24.   Xylol          2 min, nicht kürzer, ich nehme hier 2x 4 Minuten Minimal. Länger schadet nichts und das letzte Wasser und Iso muss weg.
25.   Xylol          2 min

Dein Block ist schöner wie meines sehe ich. Allerdings habe ich noch mehrere davon so kann die auch mal Probieren. Ich sehe auch Entzundungszellen im Lumen. Ist dein Schleimhaut auch unterbrochen?

Grusse Ronald
Mikroskope:
Leitz Orthoplan (DL, AL-Fluoreszenz und Diskussionseinrichtung).
Leica/Wild M715 Stereomikroskop.
Mikrotom:
LKB 2218 Historange Rotationsmikrotom.

Ralf Feller

Lieber Harald,
zu deiner Frage zum Tissue-Clear (für die Kollegen die es nicht kennen
= Xylolersatz) kann ich nur sagen, ich benutze es zum Entparaffinieren
weil ich so viel davon habe, also um Xylol zu sparen. Histologische
Schnitte die nur über Tissue-Clear entparaffiniert werden schmieren
beim Färben etwas. Zum Einbetten in Paraffin ist es aber klasse weil das
tierische Gewebe nicht härtet.
Deine eingeschlossenen Foraminiferen, die du mir geschickt hast sind
übrigens klasse. Ich hoffe über Weihnachten die Sande näher untersuchen
zu können.

@ Jürgen,
ich glaube gelesen zu haben das du auch Semidünnschnitte von deinen
Insekten machst, wenn das so ist würde mich sehr interessieren wie das
bei Insekten geht (Methode, Mikrotom). Aber eigentlich brauchst du das
nicht bei deinen hervorragenden wissenschaftlichen Paraffinschnitten.

@ Ronald,
danke für die Überarbeitung meines Färbeprotokolls, große Teile daraus
habe ich von dir abgeschrieben, aber die neuen Hinweise sind interessant.
Epitheldurchbrüche habe ich an diesem Block noch nicht gefunden, aber
an anderen Blöcken. Ich hatte eigentlich gehofft mal einen nicht entzündeten
Appendix zu sehen, aber alle Präparate die ich habe sind mehr oder weniger
Entzündlich verändert, sonst hätte man sie sicher nicht herausgeschnitten.
Ich habe immer noch die Semidünnschnitte die du mir mal geschickt
hast und ich bin immer noch begeistert, es haben sich allerdings kleine
Kristalle im Einschuss gebildet (nicht viele).
An dem Appendix interessieren mich besonders die Lymphfollikel
und eine Differenzierung der Zellen währe spannend. Du hast mir
mal einen Semi der Milz geschickt, da erkennt man die Zellen gut.
Kennst du Technovit 8100? Der ist wassergänig, man kann Histo-
chemie machen und auch FITC-Antikörper darauf setzen. Ich
habe mal eine Kiste geschenkt bekommen, mein Stahlmesser wurden
aber schnell stumpf und ich habe kein Mikrotom mit Retraktion.

Viele Grüße, Ralf

Ronald Schulte

@Ralf,

Was hast du den für material was du schneiden mochtest? Technovit 8100 kenne ich nur am Namen. Das wird glaube ich aus die Schnitten entfernt und dann kann man etwas mehr Farben wie bei Technovit 7100. Das ist einfach zu verarbeiten nur sind die Färbungen ziemlich eingeschränkt. Was ich so Interessant an Technovit finde ist das ein Hobbyist, so wie ich bin, es bearbeiten kann und die Schnitte liefern sehr Detailreiches Material. Ich habe auch mit Epon gearbeitet und damit kann man noch dünner schneiden nur bei mir geht das einfach nicht gut. Ich bleibe schreckliche Schrumpfungen sehen wenn ich die gefärbte schnitte eindecke. Habe schon vier bis fünf Harze getestet aber es bleibt.
Ein entzündliche Appendix habe ich auch in Technovit eingebettet. Davon bekomme ich immer schnitte die hier und da eine falte bekommt. Den Grund dazu ist denke ich das die Elastische Faser immer in eine Richtung im Wasser strecken. Ich konnte mal was schnitte für dich herstellen.

Gruße Ronald
Mikroskope:
Leitz Orthoplan (DL, AL-Fluoreszenz und Diskussionseinrichtung).
Leica/Wild M715 Stereomikroskop.
Mikrotom:
LKB 2218 Historange Rotationsmikrotom.

Ralf Feller

@ Ronald,
ich kenne Technovit 7100 nicht. Vor vielen Jahren habe ich an der Uni mit Epon Elektronenmikroskopie gemacht. Die Semidünnschnitte (Vorschnitte) haben mich im Lichtmikroskop immer sehr beeindruckt, tolle Auflösung, aber eben nicht so differentiell färbbar wie Paraffinschnitte. Dann
habe ich bei Kulzer über Technovit gelesen, und meine Wahl viel auf Technovit 8100 wegen der Beschreibung das das Material wassergänig ist, und ich dachte man kann die Schnitte so verarbeiten wie Paraffinschnitte (z.B. auch Histochemie machen, Peroxidasefärbung auf Granulozyten, B- und T-Lymphozyten mit Antikörpern markieren). Ich habe einige Flaschen Technovit 8100 von Leica geschenkt bekommen und damit geschnitten, leider konnte ich mit meinem Leitz 1212 und Stahlmessern nur wenige gute Schnitte gewinnen. Die Schnitte waren aber gut mit HE, PAS und anderen Spezialfärbungen zu färben. Aus Mangel an Zeit habe ich dann doch kein neues Mikrotom gekauft. Ich untersuche, auch als Hobby, viele Knochenmärker und Lymphfollikel. Die Milzschnitte die du mir mal geschickt hast sind ganz toll, doch ist es schwer bestimmte Zellen zu identifizieren denn es gibt ja so weit ich weis keinen Atlas für Semidünnhistologie. Also denke ich das vielleicht Spezialfärbungen helfen könnten oder vielleicht Antikörper (sind gar nicht so teuer verglichen mit dem Preis von guten Mikroskopen und Mikrotomen). Es ist einfach nur so eine Idee. Vor ein paar Wochen hat mir ein Student aus dem Forum Semidünnschnitte vom Knochenmark geschickt, Pappenheim gefärbt wie ich das auch mache. Schön, aber ich konnte die Zellen nicht identifizieren weil ich keinen Atlas habe. Am Appendix und anderem lymphatischen Gewebe interessieren mich besonders die Zellen in den Lymphfollikeln und ihre Interaktion mit den Gefäßen. Ich kann mal sehen ob ich noch eine brauchbare Flasche Technovit 8100 finde, wenn ja kann ich dir etwas schicken. Appendix semidünn würde mir natürlich sehr gefallen. Auch die Lungenschnitte die du mir mal geschickt hast zeigen Details die man sonst kaum in Paraffin sehen kann.

viele Grüße aus Mülheim-Ruhr, Ralf

Ronald Schulte

#10
Ralf,

Ich werde im kommenden Weihnachtsurlaub mal sehe ob ich was Schnitte von den Appendix in Kunststoff schneiden kann. Ich habe auch noch was Darm liegen die noch nie angeschnitten wurde. Da sind auch bestimmt Lymphfollikel drin.

Gruße Ronald
Mikroskope:
Leitz Orthoplan (DL, AL-Fluoreszenz und Diskussionseinrichtung).
Leica/Wild M715 Stereomikroskop.
Mikrotom:
LKB 2218 Historange Rotationsmikrotom.