Hauptmenü

Chaga (Inonotus obliquus) *

Begonnen von Leo van Griensven, Oktober 10, 2013, 15:05:42 NACHMITTAGS

Vorheriges Thema - Nächstes Thema

Leo van Griensven

Dear fellow microscopists,

A while ago I obtained  a black hardly recognizable piece of Birch stem, that was identified by an expert as a "conk" of the polypore basiodiomycete Chaga (Inonotus obliquus).  It seems more or less comparable to a teratoma and contains wood mixed with mycelium and even organs as a hymenium with pores. The dark color is caused by large amounts of melanin induced by the fungus which make this "conk" contain a high concentration of anti-oxidants. Chaga is a famous folk medicine in Russia and further east and is said to prevent and/or cure various diseases.
I thought it interesting to have a look inside and cut off a few small pieces at random because it was unrecognizable, black, dry and very hard. I put in 96% ethanol for few days and then proceeded for Technovit 7100 embedding. I made some 2-4 um thick sections that you can see here. The first two are not stained. 3-5 are toluidine blue stained and number 6 is a try to stain Technovit sections with Etzold.  

1.
2.
3.
4.
5.
6.

You will agree that Chaga has an interesting histology.

Enjoy.

Leo van Griensven

Fahrenheit

Dear Leo,

thank You for this interesting sections of the Chaga in his "habitat".
I must admid: as I'm no mushroom specialist it's hard for me do divide plant cells and mycelium in most of the pictures.
So I kindly ask for a labled picture.  ;)

Many thanks in advance and best regards
Jörg


 
Hier geht's zur Vorstellung: Klick !
Und hier zur Webseite des MKB: Klick !

Arbeitsmikroskop: Leica DMLS
Zum Mitnehmen: Leitz SM
Für draussen: Leitz HM

Leo van Griensven

Dear Jorg,

I wish it were that easy. Chaga is a case of pure pathology and the original structure of the host is destroyed. The Inonotus conk is produced from the bark upon severe infection by the fungus that invades phloem vessels and causes parenchymal cell occlusions (Blanchette, 1982). What is seen here  is a late result of disease. We can recognize sklerenchyme fibers (light blue) and dark brown cell contents, even in the lumen of the fibers. Most likely this is melanin.
When looking in Etzold stained slides we can see  a little more . In the right upper corner you will see loose hyphae, which are aggregated in the structures towards the centre, that give the impression that they were formed within cells although no walls are visible. The foam like structures within cells are not simply holes in sieve plates as  they also occur within the lumen of fibers ( will be shown asap) but rather bubbles within a melanin depot. This is hypothetical but the massive presence of fungi and the obvious degradation of the fiber tissue which should be accompanied by high CO2 production makes me think that melanin is formed and solidified while CO2 is produced, resulting in bubbles.
There are many plant  histology experts in this microscopy-forum. I would like to hear some opinions, because I am not an expert. I enjoy discussion
I will show some more pictures as soon as possible.

Best regards,
Leo

Ref: Blanchette R.A. (1982) Progressive stages of discoloration and decay associated with the Canker-Rot fungus, Inonotus obliquus, in Birch. Phytopathology 72:1272-1277.


Leo van Griensven

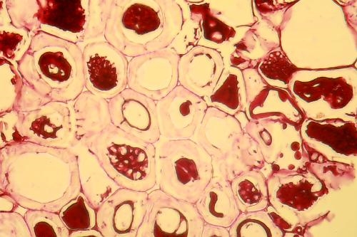
This picture is a PAS stained section of Chaga which show fibers with varying cell wall thickness. The lumen contains aggregated hyphae and melanin (?) like material. Again at obj 20x like the larger TB stained picture before.

Leo

Fahrenheit

Dear Leo,

many thanks for Your explanation! This makes things a little bit easier.

Best regards
Jörg
Hier geht's zur Vorstellung: Klick !
Und hier zur Webseite des MKB: Klick !

Arbeitsmikroskop: Leica DMLS
Zum Mitnehmen: Leitz SM
Für draussen: Leitz HM