Botanik: Sedum Spurium Ausbuchtungen? *

Begonnen von Ronald Schulte, April 09, 2016, 16:56:10 NACHMITTAGS

Vorheriges Thema - Nächstes Thema

Ronald Schulte

Voriges Jahr habe ich mal zum Experiment eine Knospe von ein Sedum Spurium in Kunststoff eingebettet um zu sehen wie sich das Schneidet.
Ja das geht aber mehr auch nicht. Ist nicht so wunderschön wie sich Histo- oder Pathologisches Gewebe einbetten lasst.
Diesen Schnitt ist dann das beste was ich daraus machen kann und sehe da selbstverstandlich Sachen die ich noch nie gesehen habe.
Wurde gerne mal wissen was die viele Ausbuchtungen für Dingen sind und wofür die da sind.







Diese Knospe ist so 5x5 Millimeter gross.






Detail.






Ausbuchtung






Quer geschnitten.





Hoffe das einer es weist, grusse Ronald
Mikroskope:
Leitz Orthoplan (DL, AL-Fluoreszenz und Diskussionseinrichtung).
Leica/Wild M715 Stereomikroskop.
Mikrotom:
LKB 2218 Historange Rotationsmikrotom.

liftboy

Hallo Ronald,

alle Achtung! Da brauchst Du Dich aber nicht verstecken; das sind Schnitte vom Besten.
Bei den "Ausbuchtungen" handelt es sich vermutlich um Emergenzen (eine Art Blatthaare); da werden andere Foristen mehr zu sagen können.
Wie es aussieht, bist Du, glaube ich, der erste der es geschafft hat, so etwas quer zu schneiden.
Faszinierende Bilder.

Grüße
Wolfgang
http://www.mikroskopie-forum.de/index.php?topic=785.msg3654#msg3654
LOMO-Service
Das Erstaunen bleibt unverändert- nur unser Mut wächst, das Erstaunliche zu verstehen.
Niels Bohr

Detlef Kramer

Lieber Ronald,

Wolfgang hat recht!

1. Deine Schnitte und Fotos sind exzellent!
2. Es handelt sich um Drüsenhaare, die wenn sie berührt werden ein Sekret frei setzen, das für eventuelle Schädlinge giftig bzw. vertreibend wirkt.

Bitte mach weiter so in der Botanik!

Herzliche Grüße
Detlef
Dr. Detlef Kramer, gerne per DU

Vorstellung: Hier klicken

HDD

#3
Hallo Ronald

Ein exzellenter Schnitt. Man sieht, dass dahinter die jahrelange Erfahrung eines Histologen steckt. ;D
Meine Gratulation zu dieser hervorragenden Arbeit.

Herzliche Grüße
Horst-Dieter

Hans-Jürgen Koch

Lieber Ronald,

die Schnitte sind excellent.
Wie hast Du die Knospe gefärbt ?

Gruß

Hans-Jürgen
Plants are the true rulers - Pflanzen sind die wahren Herrscher.

<a href="http://www.mikroskopie-forum.de/index.php?topic=2650.0" target="_blank">Hier geht es zur Vorstellung</a>

Gerne per "Du"

koestlfr

Hallo Roland!

"Ja das geht aber mehr auch nicht." Ist das fishing for compliments?

Spass beiseite, tolle Schnitte! Einziger Nachteil, dadurch dass du sehr dünn geschnitten hast fehlt der 3D-Eindruck der Zellen....

Liebe Grüße
Franz
Liebe Grüße
Franz

Klaus Herrmann

Ronald,

gleich ein gelungener Start in die pflanzliche Histologie. Und das Beispiel, das du dir ausgesucht hast ist klassisch für eine Paraffineinbettung - ohne hätte man nur Blütensalat. Der dünne Schnitt ist hier nicht groß von Nachteil, weil die Drüsenköpfchen sehr zahlreich sind und so klein, dass genügend davon ganz drauf kommen.

Ist die Färbung Toluidinblau?

Beim Verschreiber deines Namens durch Franz ist mir aufgefallen, dass das ja ein Anagramm ist Ronald-Roland
Mit herzlichen Mikrogrüßen

Klaus


ich ziehe das freundschaftliche "Du" vor! ∞ λ ¼


Vorstellung: hier klicken

Ronald Schulte

#7
@Klaus, die Ronald-Roland story kenne ich schon 56 Jahre, wird sich nicht ändern aber macht mir auch nichts!

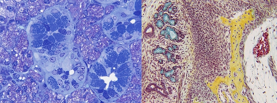
Danke für euren lob aber besonders ist es wirklich nicht. Das Problem hier liegt bei die Einbettung in Kunststoff. Ich habe das hier mit Technovit 7100 gemacht und anders wie bei Tierisches Material, bleibt das Technovit nicht 100% kleben an das Pflanzenmaterial. Wenn ich z.B. ein Teil Gehirn nehme dann wird das mit das Kunststoff ein gemeinsames Block Material was sich dann auch unproblematisch schneiden lasst bis zu 40-50 Nanometer. Eine Pflanze aber, und auch das Chitin von Insekten, wird nicht ein Block. Ein Ovar z.B. von eine Heuschrecke kann unproblematisch eingebettet werden weil es kein Chitin hat.
Die Färbung hier ist Toluidin Blau und das ist auch Material bedingt so. Kunststoff lasst sich mit nur wenige Farbstoffen Farben. Toluidin und z.B. Methylen, Fuchsin sind Prima. Die Stoffe sollten basisch sein und wird meist mit Borax hergestellt. Auch einige Reaktionen wie die PAS Reaktion und Berliner Blau Reaktion gelingen mit Kunststoff aber vieles mehr nicht.
Wenn man schöne Farbige Schnitte möchte dann ist Paraffin die Lösung. Mit Paraffin aber kann man nicht so dünn schneiden und somit gehen viele Details verloren.
Franz schreibt sogar über das Fehlen von 3D Eindruck! Das stimmt genau aber das ist mit Kunststoff auch sehr unerwünscht.

Hier mal zwei Beispiele von Kunststoff und Paraffin. Links ist Kunststoff, wenig Spektakulär aber Detailreich. Rechts ist Paraffin, Riesig Spektakulär aber nur zu gebrauchen für Übersichten und allgemeinen Eindruck.







LG Ronald
Mikroskope:
Leitz Orthoplan (DL, AL-Fluoreszenz und Diskussionseinrichtung).
Leica/Wild M715 Stereomikroskop.
Mikrotom:
LKB 2218 Historange Rotationsmikrotom.

koestlfr

Hallo Ronald!

Entschuldige, das macht die doofe Autokorrektur - ich sollte sie deaktivieren...

Liebe Grüsse
Franz
Liebe Grüße
Franz

Fahrenheit

Lieber Ronald,

auch in der Botanik spitze! :)

Danke für den interessanten Beitrag, den ich in die Liste Botanik übernommen habe.

Herzliche Grüße
Jörg
Hier geht's zur Vorstellung: Klick !
Und hier zur Webseite des MKB: Klick !

Arbeitsmikroskop: Leica DMLS
Zum Mitnehmen: Leitz SM
Für draussen: Leitz HM

Oecoprotonucli

Hallo Ronald,

ja, ich finde gerade dadurch, dass der Schnitt so dünn ist, wird er so gestochen scharf und filigran. Das ist doch hier kein Nachteil!

Tolle Sache!

Du beschreibst, es sei problematisch - aber wo soll man das Deinen Schnitten denn ansehen?

Viele Grüße

Sebastian
Ich benutze privat:
Leitz SM-Lux mit (LED-) Durchlicht und Phaco-Ausrüstung (ca. 1975-77)
Hensoldt Wetzlar Stereomikroskop DIAMAL (1950er Jahre)