Hyalodiscus scoticus in DIC/brightfield

Begonnen von Rene, Januar 27, 2017, 16:50:53 NACHMITTAGS

Vorheriges Thema - Nächstes Thema

Rene

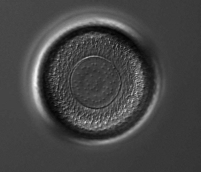
Got some samples in from a UK harbour this year (Hull) last year which got some of those typical Podosira/Hyalodiscus species. So I decided to spend some time preparing it in different orientations. The valve diameter of this marine diatom is 42um.

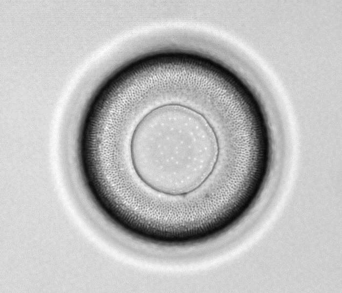
So valve upwards, sideways, girdle and valve downwards:


On my inverted with 20x/0.7 splanapo
topview:


sideview valve:


girdle:


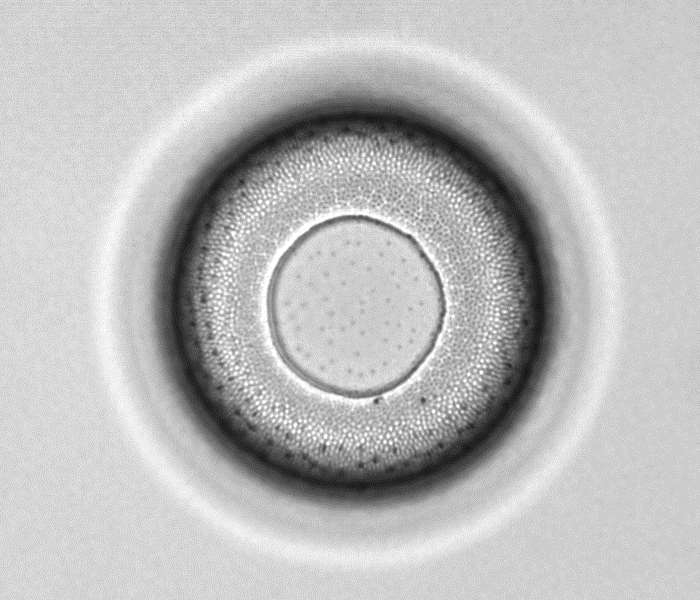
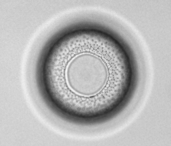
With the Polyvar I can get a bit better with the 40x/1.00 planapo
brightfield:




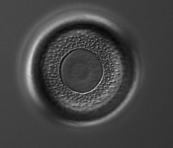
DIC



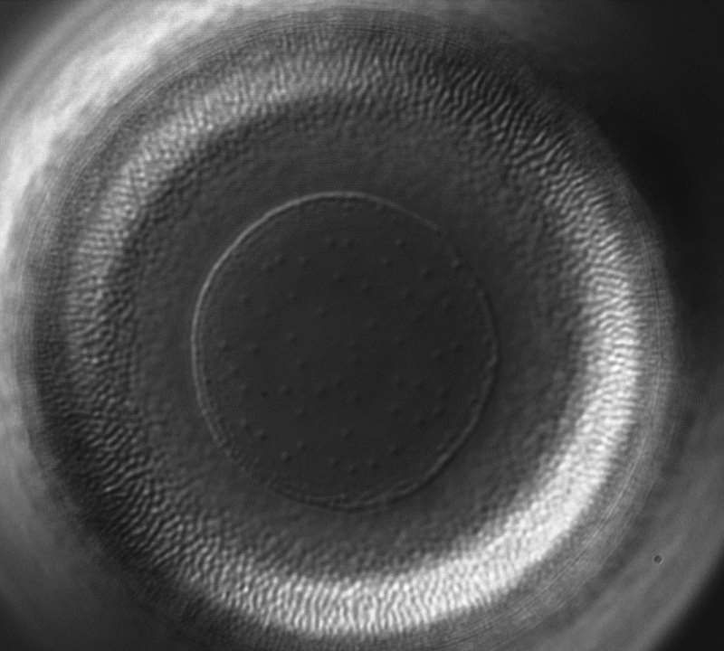
The DIC gives a muddy result, compared to the brightfield images. Also at maximum resolution it gives the same result with the 100x 1.32 planapo and waterimmersed condenser (NA1.3)

brightfield:


Circular oblique with the DF condenser (NA around 1.25):


DIC:



Again, a muddy result of the innerds of the valve, the network structure is well visible in brightfield, also with circular oblique (semi-darkfield). But in DIC it is hard to make sense of it.

Ergo, DIC is not the holy grail, and brightfield is not bad at all ;-)

Best wishes,

René

anne


JB

Zitat von: Rene in Januar 27, 2017, 16:50:53 NACHMITTAGS
The DIC gives a muddy result, compared to the brightfield images. Also at maximum resolution it gives the same result with the 100x 1.32 planapo and waterimmersed condenser (NA1.3)

Hi René,

Which Planapo did you use? The Zeiss and Leitz Planapos are the only ones I know with 100/1.32 but they are not intended for DIC (except maybe the Leitz *160 version). Was it a Reichert?

Best wishes,

Jon

Rene

Hi Jon, yep they are Reichert infinity objectives on a Polyvar.
Thanks, René

A. Büschlen

Hallo Jon,

zu deiner Frage:

The Zeiss and Leitz Planapos are the only ones I know with 100/1.32 but they are not intended for DIC (except maybe the Leitz *160 version).

möchte ich als Ergänzung auf den CF Nikon Plan Apo  100/1,40 Oil DIC  hinweisen.

Gruss Arnold
Schwerpunkt z.Z.:
- Laub- und Lebermoose.
- Ascomyceten als Bryoparasiten.

JB

Zitat von: A. Büschlen in Januar 30, 2017, 11:07:35 VORMITTAG
möchte ich als Ergänzung auf den CF Nikon Plan Apo  100/1,40 Oil DIC  hinweisen.

Hallo Arnold,

Vielen Dank!  :D  Das Nikon 100/1.40 DIC kenne ich noch nicht, aber das 60/1.40  DIC  funktioniert super!

Bei meiner Frage wollte ich nur herausfinden, welches 100/1.32 gemeint war (danke fuer die Info, Rene!), denn diese waren mir nur den Zeiss und Leitz bekannt. Insbesondere das Leitz 170 mm Pl Apo 100/1.32 hat sich in meinen Tests nicht fuer DIC geeignet (zu viel Spannung in den Linsen); das haette ein Grund fuer Renes Problem sein koennen.

Wobei die DIC-Aufnahmen eigentlich recht gut sind; das Problem koennte auch zu grosse Schichtdicke sein.

Beste Gruesse,

Jon