Botanik: Wurzelspitzen Zwiebel *

Begonnen von Alf, November 09, 2019, 16:15:33 NACHMITTAGS

Vorheriges Thema - Nächstes Thema

Alf

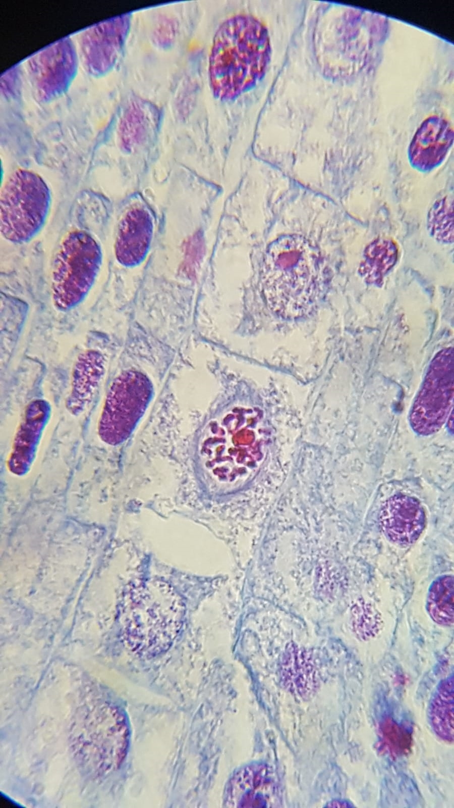
Ein paar Bilder einer Wurzelspitze von Allium cepa. Die Wurzelspitzen wurden um 23 Uhr entnommen, in AFE fixiert, entwässert, in Paraffin eingebettet und 3 Mikrometer dünn geschnitten. Gefärbt wurde ein Präparat mit Hämatoxylin-Eosin und das andere mit Azokarmin-Anilinblau.

2 Übersichtsbilder, HE gefärbt:



Anaphase:


Telophase, man erkennt die sich zwischen den Zellkernen ausbildende neue Zellwand:


Übersichtsbild Azokarmin-Anilinblau:


Interphase-Kerne, neben Prophase-Kernen:


Metaphase:


Telophase:



Alle Bilder wurden mit dem Handy durchs Okular geschossen, sind deshalb leider nur einen Bruchteil so ansehnlich wie in echt.

Bob

Hallo Alf,
die Präparate sind prima geworden! Mir gefällt, dass die Chromosomen sich kräftig gefärbt vom Rest der Zelle abheben, diese aber als Rahmen gut erhalten ist. Ich beschäftige mich seit einer Weile mit der Mitose in Zwiebelwurzelspitzen in Vorbereitung unseres nächsten Mikrotreffens, aber anhand von Quetschpräparaten. Ich habe die Tipps bekommen, dass die Zellteilungen morgens am intensivsten sind, und durch Cytokinine in Kokos-Wasser angeregt werden können. Nach meiner Erfahrung gibt es abends auch Teilungen, aber weniger als morgens.
Ein gutes Buch zu dem Thema ist: https://www.booklooker.de/B%C3%BCcher/Cyril-Dean-Darlington-L-F-La-Cour+Methoden-der-Chromosomenuntersuchung/id/A01UOlKB01ZZE?zid=q25iu4pu9btgq3n273ts52a6r5
Sehr praktisch ausgerichtet mit tausenderlei Rezepten, auch zu Paraffinschnitten. Die englische Originalfassung kann man auch online ausleihen (Keine Ahnung, wie das funktioniert)

Mit Paraffineinbettung möchte ich mich auch bald beschäftigen.

Viele Grüße,

Bob

Alf

Danke sehr Bob für deinen Tipp!

Hier noch ein Bild einer Prophase:


Fahrenheit

Lieber Alf,

sehr schöne Schnitte und die Teilungsstadien sind sehr gut zu erkennen.
ich habe den Beitrag gelistet,

Herzliche Grüße
Jörg
Hier geht's zur Vorstellung: Klick !
Und hier zur Webseite des MKB: Klick !

Arbeitsmikroskop: Leica DMLS
Zum Mitnehmen: Leitz SM
Für draussen: Leitz HM

Reinhard

Hallo Alf,

eine ebenso interessante wie schöne Dokumentation.
Bin gespannt auf weitere Arbeiten.

Viele Grüße
Reinhard
seit wann ist Kunst ein Fehler ?



-----------------------------------------------------
www.mikrochemie.net