Hauptmenü

Embryologie Kaulquappe

Begonnen von Alf, Mai 07, 2021, 15:23:30 NACHMITTAGS

Vorheriges Thema - Nächstes Thema

Alf

In diesem Artikel zeige ich Schnitte durch eine frisch geschlüpfte Kaulquappe. Man erkennt die Entwicklung einiger Organe. Ich bin bei weitem kein Embryologie-Experte und für Ergänzungen/Korrekturen dankbar. Dieses sehr frühe Stadium der Entwicklung ist der Embryonalentwicklung des Menschen sehr ähnlich.

Der Schwanz fehlt, da die Kaulquappe bei der Entnahme schon tot war und keinen Schwanz mehr hatte.



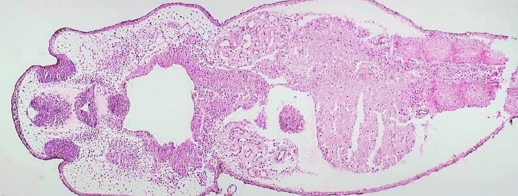
Übersichtsaufnahme


Übersichtsaufnahme


1 - neurale Schicht der Retina
2 - Pigmentschicht der Retina
3 - Entwicklung der Linse
4 - Ohrbläschen
5/6 - Hirnnervenkerne
7 - 3. Ventrikel 
8 - Diencephalon
9 - Medulla oblongata


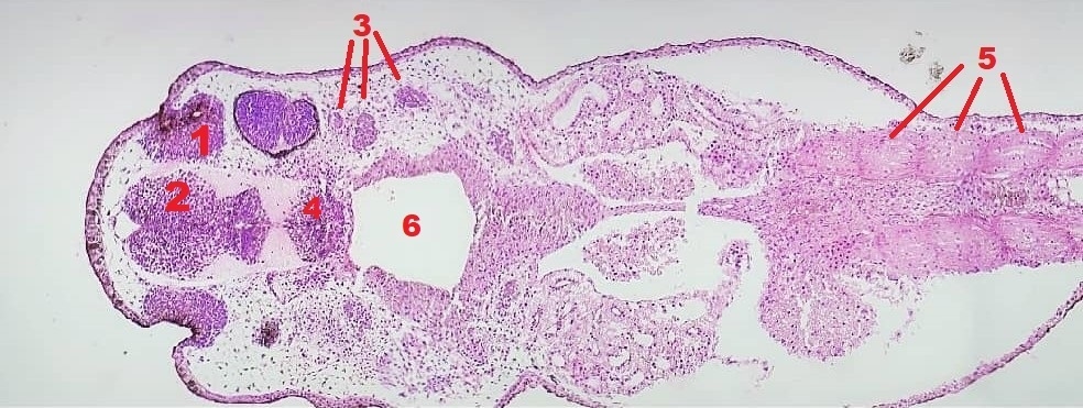
1 - Riechgrube
2 - Telencephalon
3 - Hirnnervenkerne
4 - Cerebellum
5 - Somiten
6 - Pharynx


Detailaufnahme Abdomen