HISTOLOGIE: Maus, sechs Tage alt, horizontaler Schnitt, Masson-Goldner-Färbung.

Begonnen von Ronald Schulte, Januar 21, 2022, 20:21:18 NACHMITTAGS

Vorheriges Thema - Nächstes Thema

Ronald Schulte


Ich hatte seit zwei Jahren nicht mehr durch ein Mikroskop geschaut, und nach einer Nachricht von Peter Voigt dachte ich, es wäre vielleicht mal wieder Zeit, ein Präparat zu betrachten.
Dieses Präparat möchte ich euch gerne vorstellen.
Dieser Schnitt stammt aus meinem ersten Mäusezucht-Wurf und ist ein horizontaler Schnitt von einer sechs Tage alten Maus. Die Mäuse wurden für mehrere Monate in Bouin fixiert. Damals wurde mir gesagt, dass eine lange Fixierung in Bouin nicht möglich sei, da sie die Zellmorphologie beeinträchtige. Ich weiß jetzt, dass man das Gewebe in Bouin mindestens sechs Monate lang ohne Nachteile fixieren kann. Natürlich wird es bestimmte Proteine geben, die man histochemisch nicht mehr nachweisen kann, aber das ist hier nicht wichtig. Der große Vorteil der langen Fixierung bei Bouin ist, dass die harten Knochen- und Knorpelanteile durch die Säurekomponente entkalkt werden und daher leicht geschnitten werden können. Auch die Färbung nach der Fixierung mit Bouin ist sehr bequem durchzuführen.
Nach dem Entwässern habe ich die Mäuse in Paraplast plus eingebettet. Der Zusatz von DMSO (Dimethylsulfoxid) optimiert die Penetration und erhöht die Schneidbarkeit.
Nachdem die Mäuse eingebettet waren, wurden sie mit einem etwas älteren, aber noch funktionierenden A&O 820 Rotationsmikrotom geschnitten.
Dieser Schnitt wurde dann nach dem Masson-Goldner-Protokoll gefärbt.
Nach der Dehydrierung wurde es Euparal eingebettet.
Die Bilder wurden mit einer Canon 700D auf einem Leitz Orthoplan aufgenommen.



Bild 1,

Übersicht über das Präparat.







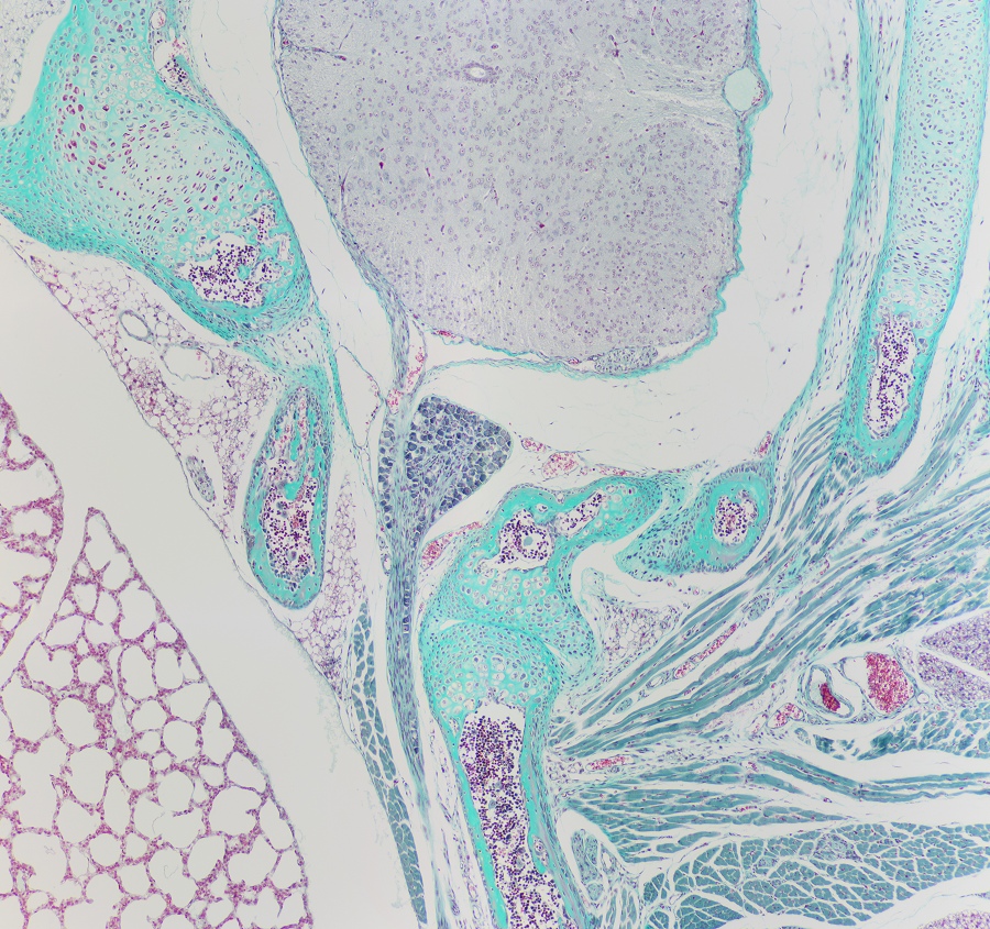
Bild 2,

Ein Stitch von 47 Bilder, Objektiv Leitz plan 4x

A = Haut mit Haarfollikeln;
B = Olfactory lobes, Geruch region im Großhirn;
C = Cerebrum, Großhirn;
D = Mittelohr;
E = Blutbildenes Knochenmark;
F = Braunes Fettgewebe;
G = Weisses Fettgewebe;
H = Rückenmark;
J = Spinalganglion;
K = Wirbel Knochen und Knorpel;
L = Muskelgewebe;
M = Lunge;
N = Diaphragma oder Zwerchfell;
O = Leber;
P = Rippen.

Ein großes Bild dieses Schnitts kann Hier heruntergeladen werden. Die Aufnahme hat eine Größe von 30000x15575 Pixeln und ist 100 MB groß.







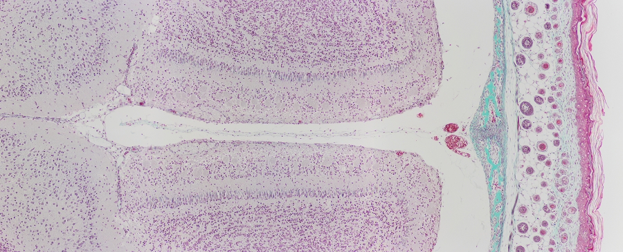
Bild 3,

Ein Stitch von 2 Bilder, Objektiv Leitz plan Fluotar 10x

Rechts die haut. In der Mitte sind die Haarfollikel und links der Schädelknochen zu sehen. Knochen und Knorpel sind in der Goldner-Färbung grün gefärbt. Das Bindegewebe ist sehr leichtgrün gefärbt, Links davon befinden sich Fettzellen. Weißes Fett ist in einem histologischen Schnitt in der Regel leer, weil das Fett durch die Alkoholreihe ausgewaschen wurde. Weiße Fettzellen sind immer dadurch gekennzeichnet, dass der Zellkern am Rande sichtbar ist.







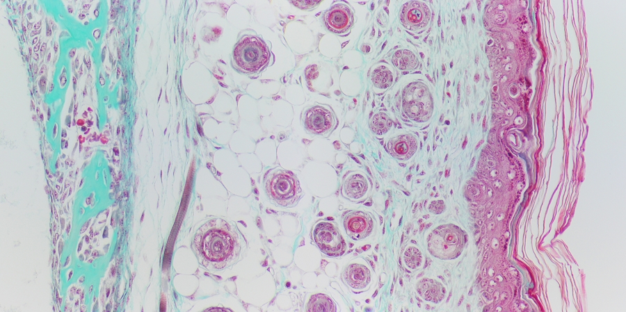
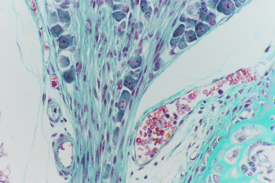
Bild 4,

Objektiv Leitz plan Fluotar 10x

Einige Haarfollikel sind bei Nagetieren sehr groß. Wie hier zu sehen ist, besteht sie aus einem Bindegewebsrand mit Muskelzellen und innerhalb dieses Randes aus einer Menge gut durchblutetem Nervengewebe. Dies sind die so genannten Whiskers (Schnurrhaare), die sehr empfindlich sind.







Bild 5,

Stitch von 6 Bilder, Objektiv Leitz plan Fluotar 10x

In den Riechkolben ist eine Schicht von Mitralzellen zu erkennen. Ich habe bereits 2014 einen Beitrag über den Riechkolben geschrieben. Mehr dazu ist Hier zu lesen.







Bild 6,

Objektiv Leitz plan Fluotar 10x

Detail von Bild 5.







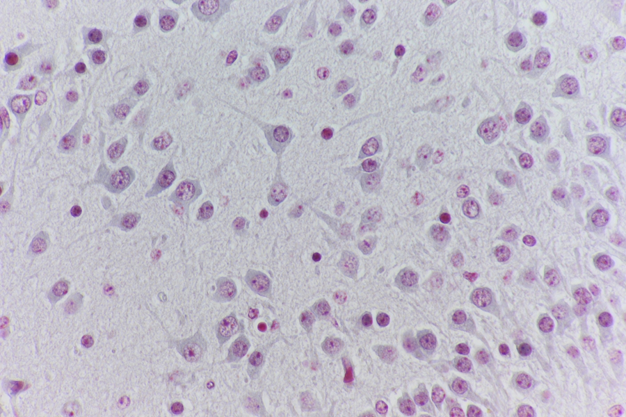
Bild 7,

Objektiv Leitz plan Fluotar 10x

Nervenzellen im cerebrum (Großhirn). Diese Nervenzellen haben einen Zellkern und oft ist auch ein Nukleolus zu sehen. Der Nukleolus ist als dunkelroter Punkt im Zellkern zu erkennen. Die Zellen haben Axone und Dendriten. Ich habe hier einen Beitrag über Nervenzellen in Epon geschrieben. https://www.mikroskopie-forum.de/index.php?topic=34021







Bild 8,

Stitch von 4 Bilder, Objektiv Leitz plan Fluotar 10x

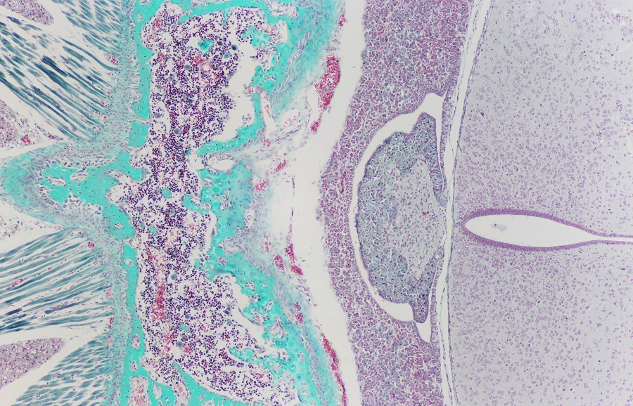
Rechts ist das Großhirn, in der Mitte bin ich mir nicht sicher, es könnte die Hirnanhangsdrüse (hypofyse) sein. Links: ein Wirbel mit vielen Blutzellen. Die Muskelzellen heften sich an die Wirbel (die Zellen sind dunkelgrün).







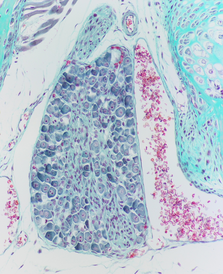
Bild 9,

Objektiv Leitz plan Fluotar 10x

Detail von Bild 8. Man beachte die großen Megakaryozyten mit ihren großen Zellkernen. Megakaryozyten sind die Erzeuger von Blutplättchen.







Bild 10,

Objektiv Leitz plan Fluotar 25x

Man beachte die großen Megakaryozyten mit ihren großen Zellkernen. Megakaryozyten sind die Erzeuger von Blutplättchen.







Bild 11,

Objektiv Leitz plan Fluotar 10x

Oben links und rechts braunes Fett. In der Mitte eine kleine Arterie mit zwei bis drei Schichten von Muskelzellen und roten Blutkörperchen im Lumen. Man beachte die vielen Endothelzellen (kleine rote Kugeln) am inneren Rand dieses Blutgefäßes. Unter der Arterie ist eine Begleitvene zu sehen. Die grünen Zellen auf der rechten Seite sind quer geschnittene Skelettmuskelzellen. Skelettmuskelzellen haben den Zellkern immer am Rand der Zelle, Herzmuskelzellen und glatte Muskelzellen haben den Kern in der Mitte der Zelle. In diesem Muskelgewebe sind auch eine kleine Arterie und zwei Venen zu sehen.







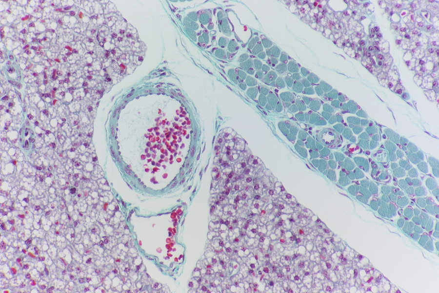
Bild 12,

Stitch von 4 Bilder, Objektiv Leitz plan Fluotar 10x

Oben wird das Rückenmark quer durchgeschnitten. Von diesem Rückenmark aus verlaufen zahlreiche Nervenbündel (Ganglien) vom Rückenmark zu den Organen und Muskeln. Sie treten aus und laufen zwischen den Wirbeln. Ein Hernie zum Beispiel ist eine Verwachsung der Wirbel, die dazu führt, dass die Ganglien eingeklemmt werden und schmerzen.
Unterhalb des linken Lungengewebes.







Bild 13,

Objektiv Leitz plan Fluotar 25x

Ausschnitt aus Bild 12. Viele Nervenzellen mit ihren langen Dendriten reichen über das Rückenmark hinaus. Die Dendriten sind als dünne Fasern zu erkennen, die von Schwann-Zellen umgeben sind. Diese Schwann-Zellen bilden einen dünnen Mantel um die Dendriten. Die vielen Zellkerne sind als längliche rote Kerne zu erkennen.







Bild 14,

Stitch von 6 Bilder, Objektiv Leitz plan Fluotar 25x

Querschnitt durch eine Extremität. Der Knochen hat eine hellgrüne Farbe. Im Inneren werden viele Blutzellen gebildet. Das Ganze ist von Muskelzellen umgeben, die hier hauptsächlich quer geschnitten sind.







Bild 15,

Stitch von 4 Bilder, Objektiv Leitz plan Fluotar 10x

Eine große Arterie, die aus vielen Schichten von Muskelzellen besteht.







Bild 16,

Stitch von 2 Bilder, Objektiv Leitz plan Fluotar 10x

Großes Ganglion, quer durchgeschnitten. Die Nervenzellen haben einen großen Zellkörper (Perikaryon) mit einem großen Zellkern und oft einem ausgeprägten Nukleolus. Rechts und links sind Blutgefäße mit roten Blutkörperchen zu sehen.





Ich hoffe, es gefällt euch.
Die Histologie ist ein sehr umfangreiches Wissen über viele Gewebe und Zelltypen. 

Grüße aus Franeker, Niederlande, Ronald
Mikroskope:
Leitz Orthoplan (DL, AL-Fluoreszenz und Diskussionseinrichtung).
Leica/Wild M715 Stereomikroskop.
Mikrotom:
LKB 2218 Historange Rotationsmikrotom.

Fahrenheit

Lieber Ronald,

wie immer fantastisch!
Die Masson-Goldner-Färbung differenziert die Gewebe sehr schön.
Danke fürs Zeigen!

Herzliche Grüße
Jörg
Hier geht's zur Vorstellung: Klick !
Und hier zur Webseite des MKB: Klick !

Arbeitsmikroskop: Leica DMLS
Zum Mitnehmen: Leitz SM
Für draussen: Leitz HM

micromax

Hallo Ronald,

es ist schön wieder einmal etwas von Dir im Forum zu sehen. Auch wenn ich von den biologischen Schnitten nichts verstehe, so sehe ich doch, dass sie mit großer Sorgfalt angefertigt und vor allem auch mit bester Qualität mikroskopiert und fotografiert wurden.

Es freut mich, wenn wir wieder mehr von Dir zu sehen und hören bekommen.

Viele Grüße
Thomas

Diana1982

Lieber Ronald,

Eines meiner absoluten Lieblingstestpräparate ist mir kürzlich kaputt gegangen.
Weggeworfen habe ich es nicht und nehme es weiterhin gerne, auch wenn es nicht mehr so gut vom Präparateschieber bewegt werden kann.

Nun weiß ich, wer es gemacht hat  :)
Die gleichen tollen Farben!

Ich hatte es damals von Peter zusammen mit anderen Präparaten geschenkt bekommen als ich mein allererstes Orthoplan gekauft hatte.

Schön, dass Du wieder da bist!

LG Diana
Leitz Orthoplan
Leitz Diavert
Leica DMR
Olympus SZX12

www.microscopia.de

Bob

Hallo Ronald,
tolle Schnitte und wunderhübsche Färbung!
Hast Du auch wieder Lust bekommen, neue Mikroskopie-Projekte zu beginnen?

Viele Grüße,

Bob

Peter V.

Hallo Ronald,

welch Freude, wieder einmal etwas von Dir zu sehen und zu lesen! Du hast es ja seinerzeit zu höchster Perfektion bei der Anfertigung von histologischen Schnitten und deren Färbung gebracht.

Herzliche Grüße
Peter


Dieses Posting ist frei von kultureller Aneigung, vegan und wurde CO2-frei erstellt. Für 100 Posts lasse ich ein Gänseblümchen in Ecuador pflanzen.

Ralf Feller

Hallo Ronald,

ich kann mich hier nur anschließen,
schön wider etwas von dir zu hören
und ich hoffe auf mehr.
Du warst für mich immer Grund mich mehr mit der histologischen Technik zu beschäftigen.

LG Ralf

reblaus

Hallo Ronald -

tolle Schnitte und Färbung - Bouin erinnert mich an meine ersten Färbungen vor 62 Jahren im Zoologische Großpraktikum - ist da nicht Pikrinsäure drin?

Ich habe ja an einigen Deiner etwas einfacher gefärbten Präparate Panoramen geübt - aber ich fürchte, dass die jetzigen Präparate wohl nicht zum Verkauf stehen  :-X

Viele Grüße

Rolf

Ronald Schulte

@Jörg,
Ja, diese Differenzierung ist sehr schön, aber das liegt auch an der Fixierung mit Bouin. Armin Eisner schreibt auf seiner Website: Die Färbung gelingt besonders gut nach Fixierung mit Bouin.

@Thomas,
Danke.

@Diana,
da hast du den Täter tatsächlich gefunden. Ich habe Peter eine Handvoll Misserfolge gegeben, weil er immer etwas daraus machen konnte. Ich habe diese Färbung beseitigt, weil sie hoffnungslos überfärbt ist, soweit ich das beurteilen kann.

@Bob,
Jetzt, da sich das Ende von Corona abzeichnet, können wir wieder etwas mehr reisen, und ich habe bereits einen Termin mit zwei Niederländischen Histologen vereinbart. Dann werden wir uns eine Ratte und ein paar Mäuse kaufen, um ein paar schöne Teile zu fixieren. In einem Pathologiezentrum, das über alle Geräte und die gewünschte Geschwindigkeit verfügt, dauert es nur wenige Tage, bis die Schnitte bereits auf dem Objektträger gefärbt sind; bei uns dauert es Monate, aber auch das ist kein Problem. Es ist wichtig, sie gut zu fixieren, sie gut zu entwässern und sie perfekt mit Paraplast zu infiltrieren. Das ist der einzige Weg, um einen guten Schnitt zu bekommen. Das steht für dieses Jahr auf dem Programm.

@Peter,
Danke, es kann aber immer besser werden. Besonders das Fotografieren mit meiner 700D ist nicht mehr so optimal wie mit meiner Moticam. Natürlich liefert die 700D viel schönere Farben, aber die Moticam war beim Fotografieren viel besser. Leider ist dies auf dem großen Stichbild deutlich zu sehen. Es ist nicht anders.

@Ralf,
Danke, ich fühle mich geehrt.

@Rolf,
Ja, das Fixiermittel von Bouin ist voll von Pikrinsäure.
Für die Herstellung von 100 ml Bouin benötigen Sie:
- 71,43 ml wachshaltige Pikrinsäurelösung
- 23,81 ml Formaldehyd 40
- 4,76 ml eisessig
Mikroskope:
Leitz Orthoplan (DL, AL-Fluoreszenz und Diskussionseinrichtung).
Leica/Wild M715 Stereomikroskop.
Mikrotom:
LKB 2218 Historange Rotationsmikrotom.

Bob

Hallo Ronald,
da sehe ich schon ein paar Mikroskopiker sehr zufrieden aus der Tierhandlung kommen....  ::)

Kleiner Hinweis für alle: Ein Mitglied unserer Gruppe war mal wegen einer Anleitung auf unserer Webseite wegen Anwendung unzulässiger Tötungsmethoden bei der Polizei angezeigt worden. Die Anzeige war von einer Dame gestellt worden, die so weit ich erinnere selbst an einer Hochschule arbeitete und ein naturwissenschaftliches Studium absolviert hatte. Es kam nichts dabei heraus da die beschriebenen Aktivitäten im Zusammenhang mit der dem Studium des Verfassers in den 60er Jahren entstanden und damals zeitgemäß waren. Aber man sollte schon aufpassen, was man in dieser Richtung veröffentlicht, und in welche geschichtliche Epoche man die Handlung platziert. ;D 

Viele Grüße,

Bob

liftboy

Hallo Bob,

ZitatDie Anzeige war von einer Dame gestellt worden, die so weit ich erinnere selbst an einer Hochschule arbeitete und ein naturwissenschaftliches Studium absolviert hatte.

Wissen schützt vor Irrsinn nicht! Ähnliche Argumente werden von den Querdenkern vorgebracht (oder Enderlein).
Der Herrgott hat halt einen großen Tiergarten :-)
Das WIE macht den Unteschied! Schlachte ich jetzt eine ganze Population ab (möglichst noch geschützte Tiere/Pflanzen) um meine "Sammlung" zu vervollständigen, oder verwerte ich für wissenschaftliche Zwecke das ganze Objekt.
Zur Zeit erstelle ich Dauerpräparate von Daphnia. Dazu beschaffe ich mir Material aus der Zoo-/Tierfutterhandlung und fische keinen Teich leer. Über die Versuchstiere in Unternehmen regt sich kaum einer auf; dient ja auch dem Profit.
@Ronald
mach weiter so; Deine Arbeit ist bewundernswert und ein Wissenszuwachs für alle!

Grüße
Wolfgang
http://www.mikroskopie-forum.de/index.php?topic=785.msg3654#msg3654
LOMO-Service
Das Erstaunen bleibt unverändert- nur unser Mut wächst, das Erstaunliche zu verstehen.
Niels Bohr

Peter V.

Hallo,

na ja, mit dem Tierschutz ist es schon etwas kurios: Das Töten einer Maus nach vorheriger sanfter Betäubung ist - sagen wir mal - problematisch. Das Aufstellen von Mausefallen nicht, das Füttern von als Hobby gehaltenen Schlangen mit lebenden Mäusen (die schreckstarr vor Todesangst im Terrarium sitzen) ebenso nicht und Abermillionen Hühner verbringen ihr ganzes Leben unter Qualen, damit die Discounter Billigähnchen in die Truhe legen können, Eier für einen Spottpreis anbieten können..ach ja, dann gibt es ja noch die Abermillionen männlichen Küken, die im Schredder landen. Wölfe dürfen artgerecht Ponys auf Weiden zerfetzen....
Man darf einfach nicht darüber nachdenken - wie über so vieles nicht.

Hezrliche Grüße
Peter
Dieses Posting ist frei von kultureller Aneigung, vegan und wurde CO2-frei erstellt. Für 100 Posts lasse ich ein Gänseblümchen in Ecuador pflanzen.

Bob

Hallo zusammen,
ich denke, dass eine Maus, die als Mikroskoppräparat endet und der Öffentlichkeit gezeigt wird, eher zu einer Zunahme der Wertschätzung gegenüber der Natur als zu einer Verrohung führt. Die kuriose Geschichte habe ich erwähnt, damit man im Blick behält, dass es immer irgendeinen unfzufriedenen Menschen gibt (man könnte sich den in seiner Armseligkeit in den schillernsten Farben ausmalen...), der aus Langeweile versucht, einen ans Bein zu pinkeln. Mich hat das damals total überrascht, vor allem als der (unser) Anwalt die Verursacherin festgestellt hat.

Viele Grüße,

Bob