HISTOLOGIE: Nasenschleimhaut der Maus

Begonnen von Ronald Schulte, Januar 14, 2018, 16:19:41 NACHMITTAGS

Vorheriges Thema - Nächstes Thema

Ronald Schulte

Zwei stitch Bilder von ein Kunststoff Mausschnitt im Nasenbereich. Die Maus ist fünf Tagen alt.
Hoffentlich zeigt sich hier auch das die histologische Strukturen auch wunderschön sein können.
Die Nasenschleimhaut bekommt so eine riesenflache und so ist viel Platz für die Riechsinneszellen.

Dunkelblau ist die Nasenschleimhaut mit viele Riechzellen, Rosa ist Nasen Knorpel.
Detailbilder kommen später.


Bild 1, stitch von 40 Bilder, Leitz Plan Fluotar 10x, Kamera: Canon 700D, Farbung: Toluidin Blau in Natriumtetraborat.






Ein kleines Stückchen weiter geschnitten werden die erste Anschnitte von die Olfactory Lobes schon gut sichtbar.

Bild 2, stitch von 40 Bilder, Leitz Plan Fluotar 10x, Kamera: Canon 700D, Farbung: Toluidin Blau in Natriumtetraborat.




Gruße Ronald
Mikroskope:
Leitz Orthoplan (DL, AL-Fluoreszenz und Diskussionseinrichtung).
Leica/Wild M715 Stereomikroskop.
Mikrotom:
LKB 2218 Historange Rotationsmikrotom.

Fahrenheit

Lieber Ronald,

Deine Präparate und Aufnahmen sind wie immer fantastisch.
Ich freue mich schon auf Deine Erläuterungen anhand der Detailbilder.

Herzliche Grüße
Jörg
Hier geht's zur Vorstellung: Klick !
Und hier zur Webseite des MKB: Klick !

Arbeitsmikroskop: Leica DMLS
Zum Mitnehmen: Leitz SM
Für draussen: Leitz HM

Sascha D. F.

Hallo,

wieder einmal tolle Bilder. Wie hast du denn genau gefärbt?
LG
Sascha

Ralf Feller

Hallo Ronald,
tolle Bilder, hast du das Gewebe entkalken müssen?
Wie dick ist denn das Material vor der Infiltration?
Ist das Technovit, und wie dick hast du geschnitten?
Es ist sicher schwer einen so großen Schnitt faltenfrei aufzuziehen, wie ich inzwischen weiß.
Ich bin gespannt wie die Nervenzellen in Toluidin aussehen.

viele Grüße, Ralf

Jürgen H.

Wie gewohnt von Dir, lieber Ronald, hervorragende Bilder.

Ich sehe bei dieser Vergrößerung noch keine Becherzellen und kein Flimmerepithel. Liegt das nur an der Vergrößerung oder befinden die sich an anderer Stelle? Ich bin gespannt auf höhere Vergrößerung! Toll sind die methachromatischen Effekte des Toulidinblaus....

Schöne Grüße

Jürgen

Ronald Schulte

@Jörg,  das 'Stitchen' ist ziemlich viel Arbeit. Ich brauche meist mehrere Stunden um ein ,Stitch' her zu stellen und dann noch ist es nicht immer wie ich es wünsche. So wirkt ein großschnitt in Technovit, wie hier gezeigt, meist etwas flau in die Farben. Da ist ein z.B. AZAN Färbung viel schöner um zu Fotografieren. Problem bei Kunststoff ist immer das nur wenige Färbungen gelingen und dann sind die meisten Färbungen Blau in verschiedene tönen. Bei Kunststoff geht es um die Details und das sieht man eigentlich erst bei Vergrößerungen von 250x und mehr.

@Sascha, die Färbung ist eigentlich sehr einfach durch zu fuhren. Mann bringt einige Tropfen Farbstoff auf, wartet eine unbestimmte Zeit, spult es ab mit AD, dann Differenzieren in AD um den Matrix zu entfärben und dann einfach Trocknen und eindecken. So kann z.B. eine AZAN Färbung (Paraffine Schnitt) schon mal ein ganzen Tag dauern, ein Kunststoff Schnitt zu Farben dauert mit eindecken nur ein viertel Stunde. Die unbestimmte Farbezeit liegt daran das es sehr abhängig ist von Schnittdicke, Farbtemperatur und Konzentration von die Farbstoff. So Farbe ich immer mit ein 1% Lösung von Toluidin Blau in 1% Tetraborat und die Konzentration Färbt schon richtig. Ich verdünne die Farbstoff meist so 1:4 mit AD.

@Ralf, Dieses Block enthalt nicht entkalktes Gewebe. Darum sind es nur fünf tagen alte Mauser und kein z.B. acht Tagen alte. Bei mir ist Fünf Tagen so ungefähr das Maximum. Entkalken mit EDTA habe ich noch nie getestet aber musste auch gehen. Das  Ethylendiamin-tetra-essigsäure (EDTA) steht im Schrank aber ist noch nie gebraucht.
Hier habe ein ganzen Kopf Fixiert und in Scheiben von ungefähr 3 mm geschnitten (in ein Petrischale in 85% Ethanol unter das Stemi). Handschuhe anziehen und mit ein altes Leica 818 hochprofil Messer lasst es sich bequem schneiden.
Ja hier habe ich in Technovt 7100 eingebettet. Die Schnittdicke ist hier 2µm. Meist kann ich am LKB Historange gut 1,5µm schneiden aber weil diesen Block so groß ist (6x6mm) wird das dünn schneiden immer schwieriger.
So ein großen Schnitt Faltenfrei auf zu ziehen ist sicher schwierig. Wie großer den Schnitt wie schwieriger das wird. Hier musst zu rechnen das ich so acht Schnitte brauche für einen die zufriedenstellend ist. Ich habe ein Block mit ein Sagittalen Schnitt durch ein ganzen Kopf und an sich ist den Schnitt Prima aber immer faltet es sich an mehrere stellen. Wenn man die Stellen aber einfach überschaut dann aber hast du ein Tollen übersticht. (Das übersehen ist für mich aber sehr schwierig).
Detailbilder werde ich morgen und übermorgen machen.


Gruße Ronald
Mikroskope:
Leitz Orthoplan (DL, AL-Fluoreszenz und Diskussionseinrichtung).
Leica/Wild M715 Stereomikroskop.
Mikrotom:
LKB 2218 Historange Rotationsmikrotom.

Ronald Schulte

@Jurgen, "Liegt das nur an der Vergrößerung..."? Stimmt genau, Flimmerepithel z.B. ist reichlich vorhanden. Kommt aber!

Grüße Ronald
Mikroskope:
Leitz Orthoplan (DL, AL-Fluoreszenz und Diskussionseinrichtung).
Leica/Wild M715 Stereomikroskop.
Mikrotom:
LKB 2218 Historange Rotationsmikrotom.

reblaus

Hallo Ronald -

Deine riesigen, landkarten-ähnlichen Schnitte beeindrucken mich (wie immer) kolossal und ich bin auf Details gespannt!

Viele Grüße

Rolf

P.S. EDIT: Hast Du soeben beantwortet! Da ich vom Mäusekopf nur ganz grobe Vorstellungen habe, wäre ich noch für einen Hinweis oder ein Skizze zur Schnittführung dankbar. Sagittal? Schräg?

Ralf Feller

Ronald,
eine Frage zur Präparation habe ich noch:
Du schreibst: in ein Petrischale in 85% Ethanol unter das Stemi?
Bringst du die dicken Scheiben sofort in 85% Ethanol, ohne vorher zu wässern?
Ich denke du nimmst immer deinen Formalin/Glutaraldehyd-Mix.

viele Grüße, Ralf

Ronald Schulte

Ralf,
Das stimmt auch. Die Tiere stammen schon auch eine Zucht aus 2015 und habe ich Fixiert, entwässert und dann gelagert in 80% Isopropanol. Dann kann man einfach in Ethanol 85% weiter machen.

Gruße Ronald
Mikroskope:
Leitz Orthoplan (DL, AL-Fluoreszenz und Diskussionseinrichtung).
Leica/Wild M715 Stereomikroskop.
Mikrotom:
LKB 2218 Historange Rotationsmikrotom.

Ronald Schulte

Wie versprochen zeige ich hier noch einige Detail Aufnahmen von die zwei Frontale Mausschnitte.
Weil schon einige malen ein ,Olfaktory' Beitrag gemacht ist gebe ich hier nur die Links dazu: Begriffe wie, Cribriform plate, Mitral Zellen, Glomerulus, Riech Schleimhaut, Olfaktory usw werden da schon gezeigt und besprochen.

Histologie: Riechsinneszellen und Organ von Jacobson:  https://www.mikroskopie-forum.de/index.php?topic=7970
Von Kollege Holger Adelmann, Histologie: Rückenmark-Regeneration mittels "olfactory ensheathing cells": https://www.mikroskopie-forum.de/index.php?topic=21228.msg159141#msg159141



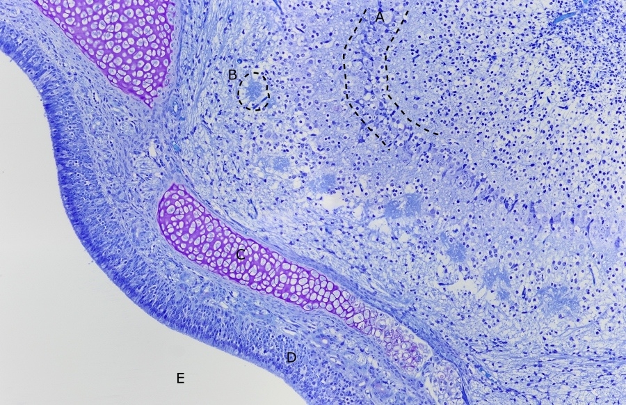
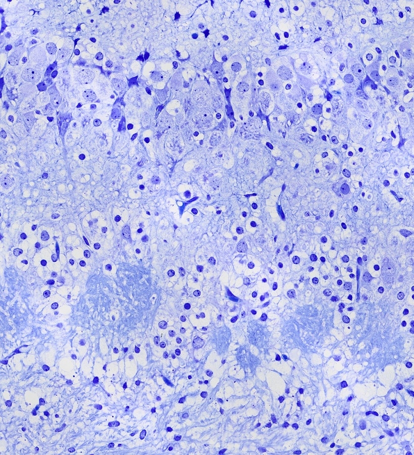
Bild 3, zeigt ein Übersicht von die Olfaktory stelle mit das Riech Schleimhaut.

A = Region mit Mitral Zellen;
B = Glomerulus;
C = Cribriform plate, Link zu Wikipedia https://en.wikipedia.org/wiki/Cribriform_plate
D = Riechschleimhaut, Link zu Wikipedia https://de.wikipedia.org/wiki/Riechschleimhaut
E = Lumen.






Bild 4, Stitch von 10 Bilder, Objektiv Leitz plan apo 63x na 1.4

Die Glomerulus ist gut zu erkennen so auch die Schicht mit Mitral Zellen.






Bild 5, Ein Zeichnung aus: The olfactory granule cell: From classical enigma to central role
in olfactory processing
,  von Gordon M. Shepherd.  http://homes.mpimf-heidelberg.mpg.de/~mhelmsta/pdf/2007%20Shepherd_2007_Brain-Research-Reviews.pdf






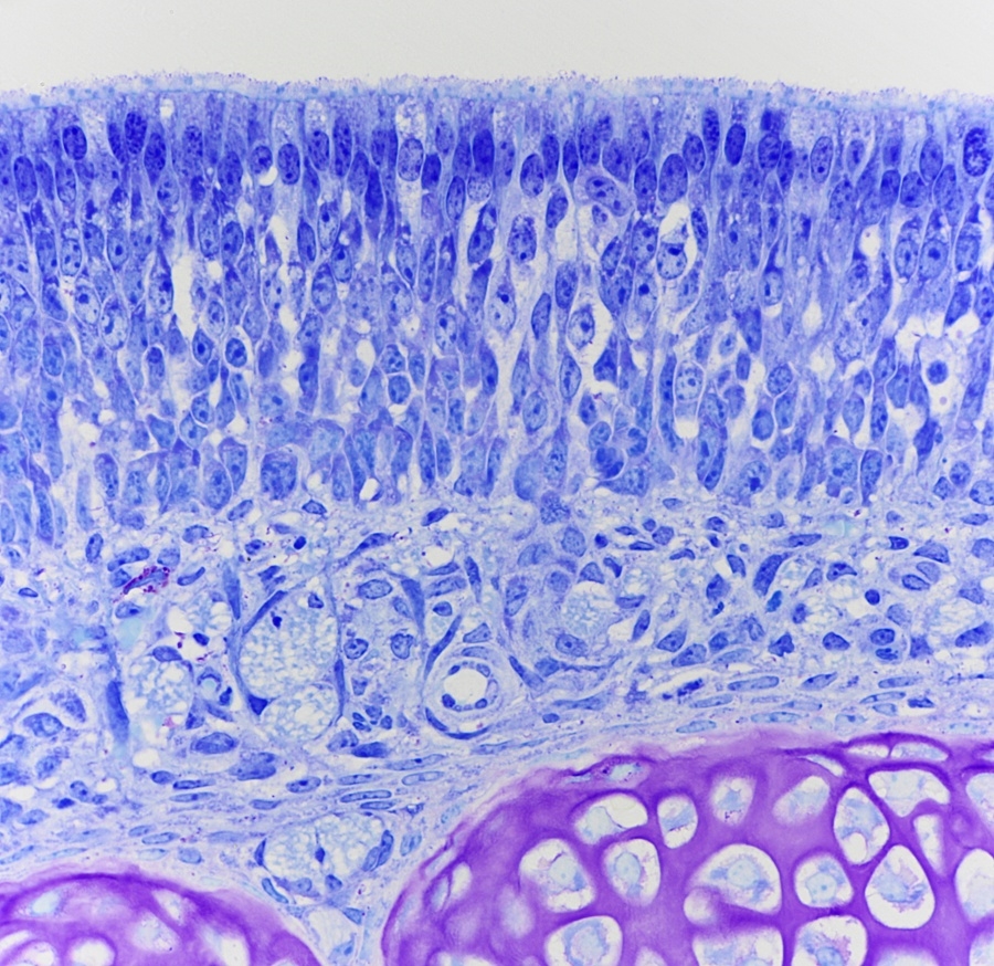
Bild 6, Die Riechschleimhaut. Objektiv Leitz plan apo 63x na 1.4







Bild 7, Sobotta Lehrbuch Histologie.






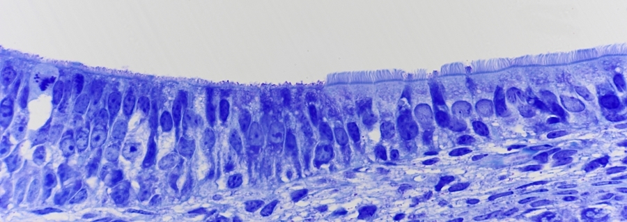
Bild 8, Nasen Schleimhaut mit große Zilien (Link Wiki https://de.wikipedia.org/wiki/Zilie).
Jürgen Harst hat gefragt ob auch Becherzellen wahr zu nehmen sind!
Die Becherzellen sind zwar nicht so ausgeprägt wie in z.B. den Enddarm aber doch sind sie da.







Bild 9, Übergangszone von Nasen Schleimhaut (Rechts) und Riechschleimhaut (Links).






Bild 10, Nasen Schleimhaut mit große Zilien.






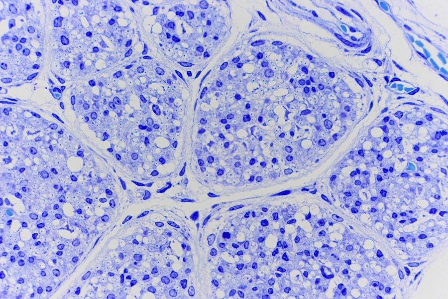
Zugabe, Bild 11, Nervenfaserbündel (periphere Nerven).
Die Quergeschnittene Axone sind wie kleine Blaue Punkte zu beobachten.




Viel spaß beim Anschauen.
Mikroskope:
Leitz Orthoplan (DL, AL-Fluoreszenz und Diskussionseinrichtung).
Leica/Wild M715 Stereomikroskop.
Mikrotom:
LKB 2218 Historange Rotationsmikrotom.

Fahrenheit

Lieber Ronald,

danke für das Update! Wie immer sehr interessant und lehrreich zu lesen.

Herzliche Grüße
Jörg
Hier geht's zur Vorstellung: Klick !
Und hier zur Webseite des MKB: Klick !

Arbeitsmikroskop: Leica DMLS
Zum Mitnehmen: Leitz SM
Für draussen: Leitz HM

Jürgen H.

#12
Lieber Ronald,

in Deinen Beiträge kann man sich stundenlang verlieren. Ich finde es absolut bemerkenswert, wie einige Foristen hier mit viel Liebe zum Detail, Wissen und präparatorischer Kunst hervorragende Beiträge verfassen, in die sie enorme Zeit investieren.

In Deinem Bild 6 meine ich als ziemlich kleine Pünktchen, die Riechköpfchen, zu sehen, aus denen die Zilien der Riechsinneszellen hervorgehen? Hingegen vermisse ich die Bowmandrüsen, die Du in einem anderen Beitrag schon einmal so schön dargestellt hast?

Die Glomeruli finde ich auch bei meinen Insekten. Nach der Literatur schwankt deren Zahl dort zwischen 10- 100, ist also vergleichsweise niedrig.  Die Glomeruli bilden bei den Insekten einen Teil des Deuterocerebrums, liegen also bereits unmittelbar im Gehirnbereich. Die eigentlichen Geruchsrezeptoren befinden sich hingegen verhältnismäßig weit entfernt auf den Antennen, mit den Glomeruli verbunden über die Antennennerven. Wie bei Deinen Mäusen findet in den Glomeruli die sortierende Verschaltung der Eingangsneuronen statt.  Demnach werden also die Glomeruli bei Deinen Mäusen als vorgelagerte Gehirnteile zu betrachten sein?

Bei den Schabenmännchen gibt es ca 100.000 Rezeptorneuronen pro Antenne, von denen gut ein Drittel !! auf sexuelle Lockstoffe entfallen. Alle diese Rezeptoren sind auf nur 200 Glomerulineurone veschaltet, so dass es also ein hohes Maß an kovergenter Verschaltung von vielen Rezeptoren auf wenige Ausgangsneurone der Glomeruli gibt, hilfreich, um die Effektivität des Riechens zu erhöhen.

Ich habe gelesen, dass der Mensch ca. 30 Millionen Riechsinneszellen besitzt, die ständig aus den Basalzellen erneuert werden. Mich würde zu Vergleichszwecken interessieren, wieviele Mitralzellen beim Menschen vorhanden sind. Gibt es dazu eine Schätzung?

Schöne Grüße und vielen Dank für Deine Beiträge!

Jürgen

Ronald Schulte

@Jürgen, danke für deine Worte aberrrr, weiter geht es;

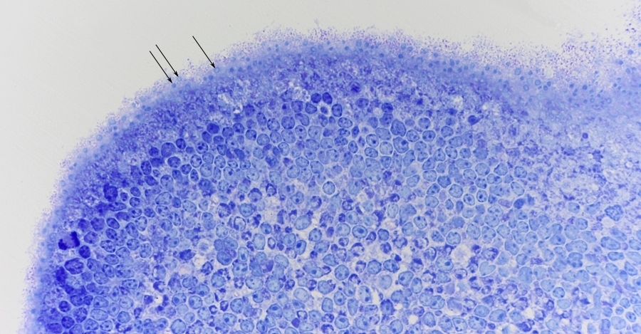
- Hier ein Bild von das Epithel welche ziemlich schräge ist angeschnitten. Gut daran ist das man die oberste Schicht gut beobachten kann. Problem ist nur zu verstehen was man sieht.
Da meine ich die ,Riechblaschen' zu erkennen wie leicht Blaue Tröpfchen (drei Pfeilen). Ob es aber wirklich so ist oder dass es nur ist was man hofft zu sehen kann ich nicht beurteilen. Am Mikroskop aber deutlich zu erkennen.


Bild 12,  Respiratorisch Epithel schräg angeschnitten. Objektiv Leitz Plan apo 63x na 1.4.





Etwas Theorie ist hier zu lesen:

Respirationsorgane. A. Nase.  Normale Anatomie. Von W. KOLMER, Wien.

Seite 13

Link: https://link.springer.com/chapter/10.1007/978-3-642-91754-7_2

Zitat
Die Riechzellen sind an der Peripherie des Korpers gelegene, im wesentIichen spindelformig geformte, bipolare Zellen, von gangIiosem Charakter, sie entsenden einen peripheren Fortsatz zur Oberflache, der inzwischen den Korpern der Stutzzellen ausgesparten Rinnen bis zur Oberflache verlauft und hier aus dem Mosaik der Limitans externa, mit einem kleinen Kopfchen, dem Riechblaschen hervorragt, auf welchem eine Anzahl winzigster Basalkorperchen und von ihnen ausgehend, kurze wahrscheinIich unbewegIiche Riechharchen sich befinden.
Ende Zitat

- Die Bowman Drusen sehe ich im Schnitt noch nicht. Kann auch sein das ich nicht weiß wie die in Kunststoff aussehen. Das ist ein weiteres Problem wo ich mit Leben muss. Hat man eine Frage zum Paraffin Schnitt dann ist eine Antwort zu bekommen nicht so schwer. Kunststoff aber bleibt es meist ziemlich ruhig mit eine Antwort!

- Anzahlen von Mitral Zellen bei Menschen ist mich unbekannt. Vielleicht aber meldet sich ein Mund/Kehl/Hals Arzt die da was mehr zu erzählen hat.

Gruße Ronald
Mikroskope:
Leitz Orthoplan (DL, AL-Fluoreszenz und Diskussionseinrichtung).
Leica/Wild M715 Stereomikroskop.
Mikrotom:
LKB 2218 Historange Rotationsmikrotom.

Jürgen H.

Ja, Ronald, genau diese Pünktchen meine ich als Riechköpchen zu identifizieren. Und zwar auch in Bild 6, wo sie sich im Gewimmel der Zilien fast verstecken.

Inzwischen habe ich gelesen, dass Deine Mäuse ca. 1000 Glomeruli besitzen müssten. Zum Menschen habe ich noch nichts gefunden.


Meine Quelle ist hier:

http://kaylab.uchicago.edu/manuscripts/Kay_Stopfer_2006.pdf

Ein schöner, wenn auch leider für Hobbybiologen schwer verdaulicher Artikel zur Signalverarbeitung in den Glomeruli bei Vertebraten und Invertebraten.

Schöne Grüße und Danke

Jürgen