HISTOLOGIE: Nasenschleimhaut der Maus

Begonnen von Ronald Schulte, Januar 14, 2018, 16:19:41 NACHMITTAGS

Vorheriges Thema - Nächstes Thema

Ronald Schulte

Jürgen,

Prima Artikel und ja es ist nicht einfach zu lesen aber doch verstehen ich jetzt was mehr von die ORN's (Olfactory Receptor Neurons).
Was ich verstehe dann sind die Receptoren, Glomeruli, Mitral Zone und das Komplette Olfaktory bei z.B. die Mucke eingebaut in die Antennen und laufen die Nerven dann ins Gehirn?
Doch sehr Interessant zu lesen das beide Tiergruppen (Insekten und Wirbeltiere) die gleiche Aufbau haben, nur anders eingebaut. Prinzip ist aber gleich.

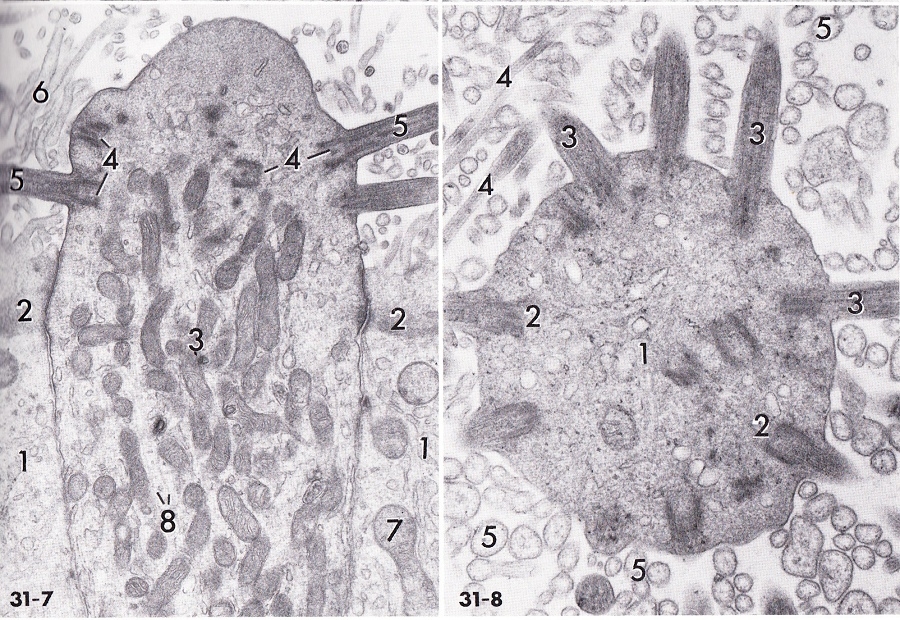
Zu die leicht blaue Pünktchen in Bild 6 und 12 kann ich jetzt auch sagen das ich mehr und mehr denke das es die Receptor Neuron Endigung vorstellt woraus die Haare wachsen wo die Duft Moleküle haften können. Ich habe einige scans gemacht aus mein: An Atlas Of Histology von Johannes A.G. Rhodin (Isbn-13: 978-0195019445). Ein was älteres buch aber für mich immer noch sehr interessant. Es hat viele EM Bilder aber die Struktur fangt immer an mit LM Bilder und alle Bilder sind beschriftet (Buch ist noch immer zu bekommen!).
Daraus aber denke ich auch feststellen zu können das es sich tatsachlich handelt um Olfactory vesicles. Erstaunt mich wie wenig Bilder im Netz zu finden sind. Wohl Paraffin Schnitte von das ganze Epithel aber Details sind sehr sparsam und meist nur als Zeichnung zu sehen.










Grusse Ronald
Mikroskope:
Leitz Orthoplan (DL, AL-Fluoreszenz und Diskussionseinrichtung).
Leica/Wild M715 Stereomikroskop.
Mikrotom:
LKB 2218 Historange Rotationsmikrotom.

Jürgen H.

#16
Lieber Ronald,

es ist geradezu großartig, wie die elektronenmikroskopischen Bilder mit Deinen Sems übereinstimmen.

Hier noch ein Übersichtsbild zu Deinen hervorragenden Schnitten aus Dudel Menzel Schmidt Neurowissenschaft, 2. Aufl.Berlin 2001:



Und aus dem selben Buch ein Übersichtsschema, das die Situation bei den Insekten zeigt:



Dargestellt ist links ein Antennenstück der Schabe, wobei angedeutet ist, dass ca. 36.000 Sensillen der Erkennung von Sexuallockstoffen dienen, und die restlichen der Erkennung anderer Geruchsreize (Futter, etc). Rechts hingegen ist die Verschaltung in den Glomeruli dargestellt, wobei die Erregungsmuster der Sexuallockstoffe in einem gesonderten Makroglomerolus MG verarbeitet werden.

Die Rezeptoren befinden sich also auf den Antennen, von dort läuft der Antennennerv ins Gehirn zu den Glomeruli, die von den einzelnen Sinneszellen herührenden Reize werden dort gebündelt und weiter an das übrige Gehirn, bei den Diptera vor allem an die Pilzkörper gegeben.

Zur Veranschaulichung der Lage bei den Insekten habe ich noch ein paar alte Bilder von mir aus meinem Computer gezogen. Zunächst ein Wespenfühler mit einigen Sinneszellen. Am unteren Bildrand der dicke Antennennerv:




Sodann ein Übersichtsbild des Gehirns einer Stielaugenfliege, der Antennennerv kommt von rechts (ein Stückchen auch von links..):



Und zur besseren Darstellung der Glomeruli etwas näher herangezoomt:



1 ist der Antennennerv, der zu den Glomeruli 2 führt. Weil der frontale Schnitt nicht ganz exakt senkrecht zur Laufrichtung steht, ist hier der Antennennerv nur rechts zu sehen, der linke kommt ein paar Schnittfolgen später. Ich hoffe, man kann ganz gut die knäulige Struktur der Glomeruli erkennen. 3 zeigt die Kommissur, die die beiden Gehirnhälften zum Abgleich verbindet. Das Tier muss ja wissen, ob das Futter rechts oder links liegt.... Und 4 ist schließlich der dicke Nervenstrang, der zu dem linken Pilzköper führen wird, rechts ebenfalls, wenn auch undeutlicher zu sehen.

Die Schnitte sind 5 µ stark und Azan gefärbt. Eine bessere Detailgenauigkeit wäre mit Kunststoffschnitten und einer Karnovskyfixirung  sicher zu erreichen, dazu müsste ich allerdings erst einmal das Gehirn herauspräparieren.

Schöne Grüße

Jürgen


Ronald Schulte

Jürgen,

Ich denke das wir jetzt mit einige Sicherheit sagen können das es Riechköpfchen sind, toll!
Jetzt musste ich nochmal das Epithel aus eine Adulten Maus aus präparieren aber das ist nicht so einfach. So einfach wird es auch nicht sein um das Gehirn bei deine Mucken aus zu präparieren. Großen Vorteil ist das genug Mucken vorhanden sein!
Ja mit Einbettung in Kunststoff zeigt sich sicher mehr Detail aber deine AZAN ist auch wirklich nicht schlecht. So sieht man im Netz auch nie ein Insekten Gehirn, top!

Gruße Ronald
Mikroskope:
Leitz Orthoplan (DL, AL-Fluoreszenz und Diskussionseinrichtung).
Leica/Wild M715 Stereomikroskop.
Mikrotom:
LKB 2218 Historange Rotationsmikrotom.