Semidünnschnitte - noch mehr Bilder

Begonnen von Holger Adelmann, März 13, 2010, 13:25:12 NACHMITTAGS

Vorheriges Thema - Nächstes Thema

Holger Adelmann

Liebe Kollegen,

Ich bin immer wieder fasziniert von der Qualität und den Details, welche Semidünnschnitte (0.5 - 1 µm) nach Kunstharzeinbettung zeigen.
Ich habe schon einige Schnitte zuhause (allerdings [noch] nicht selbst gemacht), die sind immer wieder toll anzusehen, ich habe mal ein paar Fotos angehängt.
Auch sind die hierbei verwendeten Glasmesser sind offenbar recht einfach herzustellen, wenn man etwas Übung hat, das ist vielleicht einfacher als das aufwändige Schleifen und Abziehen von Metallmessern...
Auch das Aufziehen der Kunststoffschnitte scheint viel einfacher !

Jedenfalls habe ich Blut geleckt: Ich habe die Leitz Broschüre "Das Mikrotom" eben aus dem Schrank geholt und bin fleissig am Lesen. Werde mir wohl ein gutes Leitz Mikrotom anschaffen und in die Kunststofftechnik einsteigen.
Drückt mir mal die Daumen, ich hoffe später im Jahr die ersten eigenen Präparate einstellen zu können.

Vielleicht meldet sich ja auch jemand hier im Forum, der Erfahrung mit Kunstoffschnitten hat und mir ein paar gute Tips zu Einstieg geben kann ?

Herzliche Grüsse
Holger

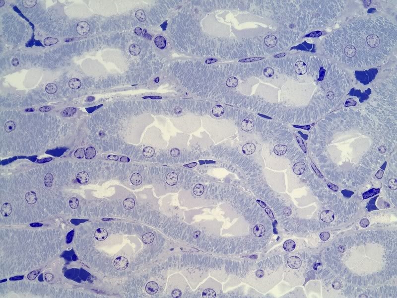
Nierentubuli, Eponschnitt, 0.5 µm, Leitz Orthoplan, Plan Apo 63/1.4


Nierentubuli, Eponschnitt, 0.5 µm, Leitz Orthoplan, Plan Apo 63/1.4


Nierentubuli, Eponschnitt, 1.5 µm, Leitz Orthoplan, Plan Apo 63/1.4



Florian Stellmacher

Lieber Holger,

ja, das ist wieder eine eigene Welt! Ich erinnere mich, dass in der Uni für den Kollgen, der sich schwerpunktmäßig mit der Infertilitätsdiagnostik beschäftigt hatte, Semidünnschnitte von Hodenbiopsien angefertigt und mit Toluidinblau gefärbt wurden. Ich selbst habe mich mit der Technik jedoch nie weiter beschäftigt, wenngleich die Resultate den Aufwand sicher rechtfertigen.

Ich bin gespannt, was Du berichten wirst!

Herzliche Grüße,
Florian
Vorwiegende Arbeitsmikroskope:
Zeiss Axioskop 2
Olympus BHS (DL, Pol, Multidiskussionseinrichtung)
Zeiss Axiophot (DIK und AL-Fluoreszenz)
Zeiss Axiovert (Fluoreszenz)
Wild M400 Fotomakroskop (DL, DF, AL, Pol)

Detlef Kramer

Lieber Holger,

der billigste Weg, zu der nötigen Infrastruktur zu kommen, ist nach einem gebrauchten Ultramikrotom und einem ausgemusterten Knife-Maker Ausschau zu halten. Diese Dinge werden in der Regel entsorgt, weil es dafür keinen funktionierenden Gebrauchtmarkt gibt. Die Glasstreifen muss man leider kaufen und sind teuer. Es sei denn, man lässt sich von einem Glaser eine 8 mm dicke Schaufensterscheibe in 25 mm breite Streifen brechen.

Die Technik selbst (Fixieren, Entwässern, Einbetten) ist kein Hexenwerk, allerdings braucht man essentiell einen Abzug, denn man muss mit so leckeren Chemikalien, wie OsO4 und Epoxid-Harz-Monomeren arbeiten, die ein gewisses Vergiftungs-Potential aufweisen.

Herzliche Grüße
Detlef
Dr. Detlef Kramer, gerne per DU

Vorstellung: Hier klicken

reblaus

Hallo Holger -

aus eigener Erfahrung (verdammt lang her ...)
1. Glasmesser mit Zange freihändig selber brechen (geht mit Übung, Werkzeug billig, Glas eventuell wg. Ausschuss teuer)
2. Messerbrechgerät - evt. selbstgebaut - verwenden (führt oft ein Eigenleben)
3. Die Sehnsucht nach einem Diamantmesser wächst ....
4. Zwei Mal Diamantmesser schleifen kost' so viel wie ein neues ...

Gruß
Rolf

Dieter Stoffels

#4
Hallo Holger,

leider ist das Herstellen von Semidünnschnitten nicht ganz so einfach, wie bisher hier beschrieben. Um gute Semidünnschnitte machen zu können, ist zunächst einmal ein motorgetriebenes Mikrotom mit Retraktion oder ein Ultramikrotom erforderlich. Derartige Geräte müssen sich in einem einwandfreien Zustand mit exakter Zentrierung und Wartung befinden. Solche Geräte sind am Gebrauchtmarkt nur sehr schwer zu erhalten. Zudem brauchst Du einen passenden Messerhalter. Hierbei kann mit speziellen Einwegklingen (Firma Kulzer), mit einem Diamanten oder mit Glasmessern geschnitten werden. Hierbei ist es nicht gleich, welche Art Glasstreifen zur Herstellung der Glasmesser verwendet werden. Ich empfehle Dir Glasstreifen von der Firma Leica zu beziehen. Diese sind zwar nicht ganz billig, liefern aber gebrochene Messer mit erstklassiger Schneide. Für den Kauf eines Messerbrechgerätes gilt das gleiche, wie für ein entsprechende Mikrotom. Am besten ist es ein überholtes Brechgerät bei einer renomierten Firma zu kaufen. Ein verschlissener Brecher liefert nur mangelhafte Messer. Häufig wird ausgeführt, dass Semis nur an Material anfertigbar sind, die in Epoxiden (z.B. Durcupan oder Araldit) eingebettet wurden. Dies liegt daran, dass im wissenschaftlichen Bereich die Semis zur Vorbereitung von Ultradünnschnitten hergestellt werden, die anschließend elektronenmikroskopisch untersucht werden sollen. Viel schönere Semis sind nach einer Einbettungen in Technovit o. a. herstellbar. Im Unterschied zu Epoxidharzschnitten lassen sich die Semis des Technovites nicht nur mit Toluidinblau, sondern mit verschiedenen, vor allem basischen Farbstoffen färben. Die Strukurerhaltung und der Informationsgrad von Semis ist der der Paraffintechnik im Bereich der Feinstrukturanalyse in jedem Fall überlegen. Im Unterschied zu Material, das in Epoxiden eingebettet wurde, lassen sich mit Technovit auch großflächige Dünnschnitte (ca. 1 Quadratzentimeter) mit Dicken von 2 Mikrometern ohne Probleme herstellen.

Zur Probenvorbereitung von Semis, die lichtmikroskopisch betrachtet werden sollen, ist es nicht erforderlich mit dem sehr giftigen Osmiumtetroxid zu arbeiten. Osmiumtetroxid wird eingesetzt um die Lipide in den Zellen durch chemische Vernetzung zu erhalten. Die Osmiumfixierung verschlechtert hierbei die Färbbarkeit der Semis enorm und verursacht häufig störende Fällungen auf den Schnitten. Für qualitativ hochwertige Semis ist es völlig ausreichend das Probenmaterial in Neutralformol zu fixieren. Dieses gilt aber nur, wenn keine elektronenoptische Untersuchung angeschlossen werden soll.

Das Schneiden von Semis auf einem nicht motorisch getriebenem  und mit einer Retraktion versehenem Schlitten- oder Rotationmikrotom oder der Gebrauch minderwertiger Glasstreifen oder verschlissener Brechgeräte führt rasch zur Frustration!

Viele Grüße!

Dieter




Holger Adelmann

Toll, dass ich in so kurzer Zeit schon so viele Tips bekommen habe - herzlichen Dank dafür !

@ Dieter:
Ja ich habe auch schon gelesen dass ein motorischer Antrieb und damit eine gleichmässige Schneidegeschwindigkeit wichtig für die Qualität der Semis sind.
Auch habe ich ebenfalls gelesen, dass Epon keinesfalls am Besten für Semis ist (sondern eher für EM Dünnschnitte), da die Blöcke oft sehr hart sind und ausserdem die langsame Gewebe-Eindringgeschwindigkeit nur sehr kleine Proben ermöglicht. Es wurde für Semis oft Metacrylat (also Plexiglasmonomer) empfohlen, danke auch für die Empfehlung re Technovit bzgl. Schneiden und späterem Färben !
Bzgl. Fixierung hatte ich an neutrales Formol, bzw. Perfusionsfixierung mit Glutaraldehyd gedacht.

@ Rolf:
Ich habe in einem Leitz Heft gesehen wie man solche Glasmesser bricht, ich stimme Dir zu dass das sicher Übung erfordert, aber preiswert ist. Ich investiere bestimmt in gutes Glas (wie ja auch schon von Dieter vorgeschlagen).

@ Detlev:
Ja, ein ausgemustertes Ultramikrotom scheint mir auch die beste Lösung (Präzision, motorischer Antrieb). Ich denke auch, gute Belüftung ist essentiell (besonders bei dem Metacrylat Monomer), wir Mikroskopiker vergessen das ja schon mal - z.B. auch im Umgang mit Xylol ...   ;D

@ Florian:
Deine schönen histologischen Bilder sind mir immer ein Ansporn  :)

Herzliche Grüsse nochmals
Holger

Holger Adelmann

Das ist eine Frage an Florian und andere Histologen:

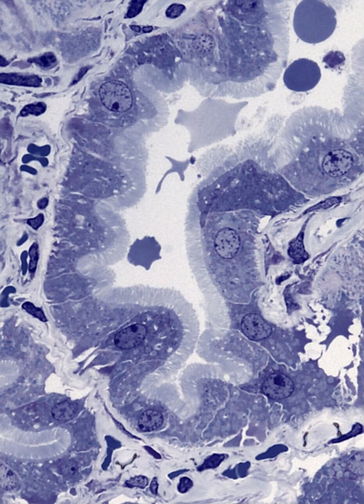
Im Bild Nr 2 in meinem ersten Post erkennt man rechts von der Mitte eine Nierentubuluszelle und daneben das angrenzende Bindegewebe.
Interessanterweise scheint es zwischen beiden einen besonders intensiven Kontakt zu geben, da offenbar Bindegewebsausläufer zapfenförmig in die Zelle hereinreichen !
Ich habe so etwas noch nie gesehen, vielleicht kann jemand helfen ? Jedenfalls ein interessantes Strukturdetail wie ich finde.

Ich habe den Bereich nochmals im angehängten Bild herausvergrössert.

Herzliche Grüsse
Holger




Florian Stellmacher

Lieber Holger,

dazu feht mir im Moment die Idee, Deinen Eindruck teile ich jedenfalls. Meine Bücher stehen im Institut, daher komme ich erst am Montag dazu, der Sache einmal nachzugehen.

Herzliche Grüße,
Florian
Vorwiegende Arbeitsmikroskope:
Zeiss Axioskop 2
Olympus BHS (DL, Pol, Multidiskussionseinrichtung)
Zeiss Axiophot (DIK und AL-Fluoreszenz)
Zeiss Axiovert (Fluoreszenz)
Wild M400 Fotomakroskop (DL, DF, AL, Pol)

Dieter Stoffels

#8
Hallo Holger,

bei der von Dir gezeigten Struktur handelt es sich sehr wahrscheinlich um ein sogenanntes basales Labyrinth. Hierbei handelt es sich um tiefe fingerförmige, manchmal verzweigte  Einstülpungen der Zellmembran in das Zytoplasma der Nierentubuluszelle. Auf diese Weise wird  die zur Resorbtion befähigte Oberfläche der Zelle stark vergrößert.

Viele Grüße!

Dieter

Detlef Kramer

Hallo,

... also handelt es sich um Microvilli? Das sind interessante Strukturen, denn diese fingerförmigen Ausstülpungen müssen ja durch ein intrazelluläres Skelett stabilisiert werden, das aus Strukturproteinen, den sog. Mikrotubuli bestehen, aus  denen wiederum u.a. auch der Geißelapparat aufgebaut ist.

Bei Pflanzen gibt es übrigens ein Äquivalent, das Wandlabyrinth der sog. Transfer-Zellen, wobei es sich dabei um Einstülpungen handelt, die mit Zellulose aufgefüllt werden. Der Sinn ist aber der Gleiche: Vergrößerung der relativen Oberfläche der Plasmamembran.

Herzliche Grüße

Detlef
Dr. Detlef Kramer, gerne per DU

Vorstellung: Hier klicken

Ralf Feller

Liebe Kollegen,
vor einiger Zeit habe ich versucht die Semidünnschneidetechnik für
meine Insektenhistologie einzusetzen. Um es vorweg zu nehmen, der
Versuch war nicht sonderlich erfolgreich weil die Kunststoffe das
Chitinaußenskelett nicht gut durchdringen.
Tierisches und pflanzliches Gewebe ließen sich aber mit recht
gutem Erfolg verarbeiten, obwohl an einem herkömmlichen
Rotationsmikrotom kaum Schnittbänder zu gewinnen waren wie
in der Paraffinhistologie. Ein Ultramikotom mit Wasserwännchen
ist hier immer noch top. Wenn man aber kein Ultramikrotom hat,
so geht auch ein stabieles!!! schweres Rotationsmikrotom, wobei
das größte Problem die Probenbefestigung am Probenarm ist.
Weil relativ ungiftig, nicht zu hart und wasserpermeabel, habe
ich mich für Technovit 8100 entschieden.
Die Proben werden formalinfixiert, entwässert, wobei der letzte
Schritt reines Aceton sein sollte. Nun müssen die Proben, es
funktioniert bei mir nur mit sehr kleinen Proben, mit dem
Technovit unter ständiger Bewegung infiltriert werden. Die
ständige Bewegung der Probe ist wichtig. Ich habe die
Gewebestückchen dazu in ein verschlossenes Plastikröhrchen
gebracht und eine Nacht an einen rotierenden Grillspieß
gebunden (wie Schaschlik aber ohne Hitze).
Die infiltrierten Proben kamen dann mit Polymerisator
gemischt in ein Eppendorf-Cup, das sich auf einem
Halter in Eiswasser befand (die Polymerisation soll in
der Kälte erfolgen-das ganze dann über Nacht in den Kühlschrank)



Das Blöckchen wird dann mit einem ,,Dremel-Kleinschleifgerät"
(ALDI 29,50E) zurechtgeschnitten und mit Sekundenkleber
auf eine Metallschraube, die in den Mikrotomhalter passt
geklebt (alle anderen Probenhalter funktionierten nicht weil
sich die harte Probe immer schnell löst).





Mit einem neu geschliffenen D-Messer ließen sich dann 1µm
Schnitte gewinnen und auf der Wärmplatte aufkleben.
Ich habe Toluidinblau, HE und Acridinfluoreszen
ausprobiert, alles hat funktioniert. Habe allerdings immer
von ca. 10 Schnitten 9 verloren (ein Ultramikrotom ist
weniger frustrierned), aber es geht.

Beispiel Rattendarm






Grüsse aus dem Ruhrgebiet,
Ralf

Holger Adelmann

Liebe Kollegen,

nochmals herzlichen Dank für die tollen Beiträge !

@ Ralf:
Vielen Dank für die tolle Fotostrecke   :) und den Tip mit dem Technovit (wie auch schon von Dieter Stoffels weiter unten empfohlen), ich werde wohl nach einem gebrauchten Ultramikrotom schauen ...

@ Dieter:
Das mit dem basalen Labyrinth ist ein guter Tip den ich weiterverfolge.

@ Detlev:
Die Mikrovilli sieht man sehr schön auf der im Detailbild linken, dem Lumen zugewandten Seite (apikal). Die dortigen Mikrovilli erzeugen in der Tat eine enorme Oberflächenvergrösserung. Ich nehme mal an das es sich hier um den proximalen Tubuls der Nierenschleife handelt http://de.wikipedia.org/wiki/Nephron, auf der vergrösserten Oberfläche sitzen alle möglichen Transportsysteme und molekulare Pumpen.

Herzliche Grüsse
Holger

Dieter Stoffels

Hallo Holger,

vielleicht noch einige kurze Ergänzungen. Wenn Du tatsächlich nur Semis für die Lichtmikroskopie herstellen möchtest, sind Glasmesser nicht erforderlich! Ich schneide Semis in Technovit 7100 seit vielen Jahren mit Einwegklingen. Die Einwegklingen beziehe ich von der Firma Heraeus-Kulzer. Diese bieten ein komplettes Set (Einwegklingehalter, Einwegklingen, Einbettform, Technovit) an. Dieses Set ist nicht billig, aber ein guter und ausreichender Einstieg in die Semidünnschnitttechnik. Solltest Du beabsichtigen ein gebrauchten Ultramikrotomen zu kaufen, würde ich Dir eine Suche nach einem Mikrotomen der Serien OM U1 - U3 der Firma C. Reichert (heute Leica; ein häufig ausrangiertes Gerät der Universitäten) empfehlen. Meiner Meinung nach wäre es sinnvoller ein gebrauchtes, motorisiertes Rotationsmikrotom mit Retraktion zu kaufen. Mit diesem Mikrotom  können auch großflächige Semis geschnitten werden. Beim Gebrauch von Glasmessern ist die absolute Schnittfläche durch die Breite der Glasmesserschneide leider auf wenige Milimeter beschränkt!

Viele Grüße!

Dieter