Hauptmenü

Haar im DF

Begonnen von icho_mann, November 16, 2008, 22:15:10 NACHMITTAGS

Vorheriges Thema - Nächstes Thema

Alfons Renz

Lieber Herr Herrmann,

Wunderschöne Bilder, über die ich mich ganz besonders freue, denn genau die selben Präparate habe ich heute morgen meinen Studenten im Kurs gezeigt. Und falls Sie das Präparat des Nasenflügels in Ihrem Kasten haben: Darin kann man in den Haarfollikeln sogar einige Demodex-Milben entdecken. Gerne würde ich ein Bild zeigen, habe aber noch nicht herausgefunden, wie ich es hier einfüge.

Herzliche Grüße,

Alfons Renz

Jürgen H.

Lieber Herr Renz,

herzlichen Dank für Ihre Nachricht, ich werde dem nachgehen. Wo mein Schwiegergroßvater studiert hat, weiß ich leider ( noch) nicht.

Das Einfügen eines Bildes ist sehr einfach, wenn sie es auf einem Server, z.B. einer homepage, abgespeichert haben. In der zweiten Zeile der icons, die über dem Text erscheinen, wenn man eine Antwort schreibt, steht als zweites von links ein kleines Kästchen, auf dem ein stilisiertes Bildchen für "image" dargestellt ist. Klicken Sie hierauf: Dann erscheint ein doppeltes img img . Setzen Sie  zwischen das img img die Adresse Ihres Bildes.

Lieber Herr Herrmann, das sind phantastische Bilder!

Jürgen Harst

Klaus Herrmann

Lieber Herr Harst,

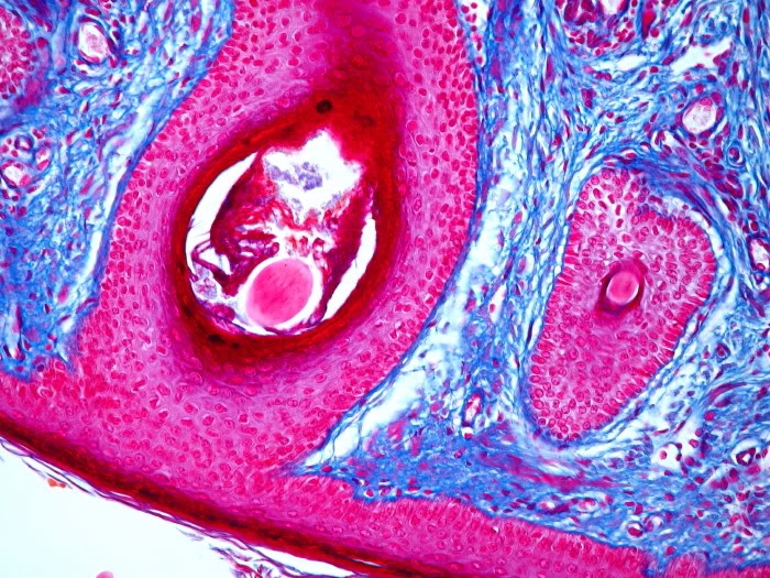
ich glaube auch, dass Ihr Präparat auf Glimmer geklebt ist. Wenn Sie es mit gekreuzten Polfiltern anschauen muss der Glimmer hell werden, wenn er nicht zufällig exakt in Auslöschstellung steht.

Ihr Präparat gefällt mir fast noch besser als meines. Der Kandidat war wohl jünger, weil die Haare nicht hohl sind.

Es ist mir schon aufgefallen, dass die Canon Rottöne sehr kräftig bringt. Aber auch visuell sind diese Präparate in Azan von einer unglaublichen Farbintensität und das nach ca 80 Jahren. Eindeckmittel war damal meines Wissens Canadabalsam.

# Herr Renz: der Nasenflügel ist auch da; muss ich mir noch ansehen!

Zum Abgewöhnen noch die Vergrößerung des Querschnitts ( könnte man den Stier wütend machen :D )


Mit herzlichen Mikrogrüßen

Klaus


ich ziehe das freundschaftliche "Du" vor! ∞ λ ¼


Vorstellung: hier klicken

Jürgen H.

#33
Lieber Herr Renz und Herr Hermann, liebe Mitmikroskopiker,

Noch ein Wort zu dem von mir eingestelltem Präparat und auf Ihre Nachfrage, Herr Renz:

Das Präparat ist an der Uni Köln etwa Anfang 1930 entstanden. Ein Glimmerblättchen als Grundlage des Präparates halte ich für unwahrscheinlich. Ich kann keinerlei Reaktion auf gekreuzte Polfilter erkennen, auch nicht in verschieden Lagen. Außerdem spricht der Rand  an der eingerissenen Stelle - meine ich - nicht für ein Glimmerplättchen:



Das sieht überhaupt nicht kristallin aus. Welche Methode da zum Aufbringen des Präparates verwendet worden ist, weiß ich nicht. Ich lese allerdings, dass es nicht nur die Glimmerblättchenmethode gab. Romeis schreibt, dass alternativ Präparate großflächig auf Glasplatten aufgebracht wurden. Sie durchlaufen dann nach dem Färben den üblichen Prozeß bis zum Alkohol Xylol, werden kurz mit Filterpapier abgetupft und dann mit einem Lack überzogen. Der Lack wird getrocknet und nach dem Trocknen mit dem Präparat abgezogen, sodann in die einzelnen kleinflächigen Präparate zerschnitten.

Hierzu würde der eingerissene Rand passen.


Schließlich fällt auf, dass das Präparat an der linken Seite und an der Oberseite eine Umrandung aus einem durchsichtigen Stoff zu besitzen scheint. Rechts hingegen ist das Präparat scharf abgeschnitten. Eine Umrandung ist hier nicht erkennbar. Unten wirkt es zerfasert, wie abgerissen. Auch das passt zu der Beschreibung im Romeis, an dieser Stelle könnte der Lack auf der Glasplatte klebengeblieben sein.

Ob Sie meine Einschätzung teilen?

Herr Herrmann, ich bin gespannt auf das Nasenflügelpräparat, womöglich mit einem "Besiedler".

Herzliche Mikrogüße

Jürgen Harst

P.S. Die Internetverbindung zu dem Bild scheint im Augenblick nicht zu funktionieren; jetzt ist mir Deine Bemerkung von gestern, Bernhard, auch erklärlich: ich sehe zur Zeit kein Bild.

Klaus Herrmann

#34
Hallo Alfons

jetzt habe ich den Nasenflügel rausgesucht und bin ratlos. Ich sehe Drüsengewebe(?) Talg(?) - auf dem unteren Bild am rechten unteren Rand - Haare und ... Wenn ich daneben liege bringe ich das Präparat morgen mit - dann öffnest Du mir die Augen!

Wie zuvor knallige Azanfärbung. Beides mal mit dem 20er.









Aber ob da einer schmarotzt?

## Herr Harst, wenn Sie keinen Effekt im Pol haben, dann sind es auch keine Glimmerblättchen. Nur im Schwabenland wird auf höchstem Niveau gearbeitet! ;) Wir verkaufen sogar unser Bodenseewasser an amerikanische Schwindelinvestoren, die jetzt Pleite sind - wodurch das Wasser teurer wird. Das ist aber wirklich OT ???
Mit herzlichen Mikrogrüßen

Klaus


ich ziehe das freundschaftliche "Du" vor! ∞ λ ¼


Vorstellung: hier klicken

Jürgen H.

Lieber Herr Herrmann,

würden Sie mir - einem armen Rheinländer - bitte den Gefallen tun und einmal ein Übersichtsbild des Nasenflügels hier hineinstellen?

Mikrogrüße


Jürgen Harst

Klaus Herrmann

Hallo Herr Harst,

das weis ich nicht, ob ich das kann, der ist riesig! Fassen Sie sich mal an die Nase ;D da hat man schon ordentlich was in der Hand!
Mal sehen vielleicht am Makroskop. Jetzt geh ich aber erst mal drüber schlafen! ;)
Mit herzlichen Mikrogrüßen

Klaus


ich ziehe das freundschaftliche "Du" vor! ∞ λ ¼


Vorstellung: hier klicken

Jürgen H.

Lieber Herr Herrmann,

ich bitte um Entschuldigung für meine unpräzise Ausdrucksweise. Mit Nasenfügel meinte ich nur das gleiche Bild mit einem 4er oder 5er, vielleicht auch einem 10er aufgenommen, so dass man von der nach außen gewandten Epidermis etwas weiter nach innen sehen kann.

Herzlichen Mikrogruß

Jürgen Harst

Klaus Herrmann

Lieber Herr Harst,

einfache Aufgaben erledigen wir für arme Rheinländer sofort und gerne!

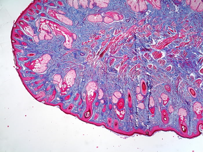
Zitatgleiche Bild mit einem 4er oder 5er, vielleicht auch einem 10er aufgenommen, so dass man von der nach außen gewandten Epidermis etwas weiter nach innen sehen kann.

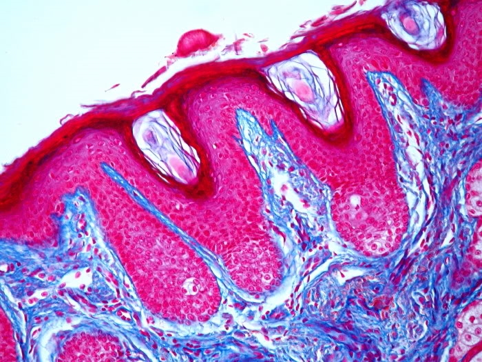
mit dem 2,5er:





mit dem 5er:





und nun noch nur zur Demo mit dem Glimmerblättchen. Man sieht an der Schnittkante die von Alfons Renz erwähnten Einzellamellen des Glimmers, der ja vollkommene Spaltung in der Vorzugsrichtung aufweist.





Mit herzlichen Mikrogrüßen

Klaus


ich ziehe das freundschaftliche "Du" vor! ∞ λ ¼


Vorstellung: hier klicken

Klaus Herrmann

Hallo zusammen,

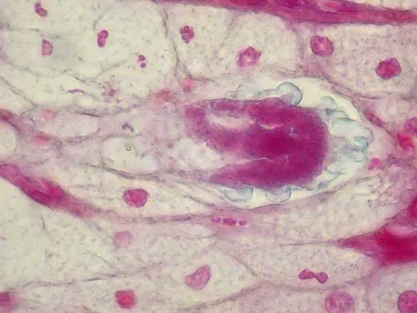
Alfons Renz hat mir ein Bild der Milbe geschickt aus einem Nasenflügelpräparat. Man muss wie so oft wissen, was man sucht, und wie es aussieht, sonst sieht man den Wald vor lauter Bäumen nicht mehr!

Mit herzlichen Mikrogrüßen

Klaus


ich ziehe das freundschaftliche "Du" vor! ∞ λ ¼


Vorstellung: hier klicken

Jürgen H.

Lieber Herr Herrmann,

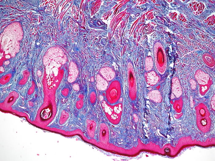
ein armer Rheinländer ist ihnen durchaus dankbar ;-). Und nun sieht man auch schön die Talgansammlungen in ihrem Präparat, nicht wahr? Die waren bei der vergrößerten Aufnahme noch nicht dabei, da sie in tieferen Schichten liegen.

Zum armen Rheinland: Ich habe gestern auch noch  Präparate in meinem Präparatekasten entdeckt, dass auf Glimmer aufgezogen ist. Wir sind lernfähig :-)

Mikrogrüße

Jürgen Harst

Jürgen H.

Noch eines lieber Herr Herrmann,

wenn ich das richtig aus Ihrem ersten Bild im letzten Beitrag heraus interpretiere, sind die Talgdrüsen - ziemlich zentral am besten zu sehen - eiförmig gestaltet und von Bindegewebe umgeben. Ist das richtig?

Mikrogrüße
Jürgen Harst

Klaus Herrmann

 Also ich würde ja zu gerne eine tolle Word-Datei von Alfons Renz hier einfügen, aber das geht nicht, obwohl da Bilder drauf sind, die eine schöne Erklärung geben für alles was man sieht bei den Schnitten.

Aber das mit den Talg-Drüsen stimmt schon , das sind die hellen wolkigen Gebilde.

ZitatZum armen Rheinland: Ich habe gestern auch noch  Präparate in meinem Präparatekasten entdeckt, dass auf Glimmer aufgezogen ist. Wir sind lernfähig :-)


Na wenn die mal nicht im Württembergischen hergestellt wurden? ;)
Mit herzlichen Mikrogrüßen

Klaus


ich ziehe das freundschaftliche "Du" vor! ∞ λ ¼


Vorstellung: hier klicken

Alfons Renz

Lieber Herr Harst,

Die Demodex-Milbe sitzt zwischen den Zellen der Talgdrüse wie besagter 'Vogel im Hanfsamen'. Der fettlösliche Talg wird bei der Präparation herausgewaschen. Deshalb wirken fetthaltige Zellen/Gewebe bei der üblichen Einbettung optisch leer und sind kaum gefärbt.

Eine Beschreibung des Präparats schicke ich Ihnen separat. Word-Dateien mit Bildern kann man hier wohl nicht präsentieren.

Freundliche Grüße,

Alfons Renz

Jürgen H.

Lieber Herr Renz,

ich bin gespannt.

Worddateien mit Bildern lassen sich hier wohl nur eingescannt als Gesamtbild präsentieren.

Herzlichen Gruß

Jürgen Harst