Hauptmenü

kameraadaption billig

Begonnen von biokai, Oktober 13, 2011, 20:46:25 NACHMITTAGS

Vorheriges Thema - Nächstes Thema

biokai

liebe mikroskopiker, wärtige und werdende mikrofotografen,

nachdem ich hier einige weile nach einer möglichst billigen methode gesucht habe, um mikrofotos zu machen, bin ich auf dieses thema gestosen: https://www.mikroskopie-forum.de/index.php?topic=9804.0
das mit dem drehen ist für mich natürlich nicht durchführbar, auserdem wollte ich keine teile irreversibel verbinden. es gab da allerdings noch den hinweis von nomarski auf dieses teil: http://www.ebay.de/itm/Digital-Kameraadapter-fernrohr-Kamera-Adapter-/200639794924?pt=Optik_Zubeh%C3%B6r&hash=item2eb7104eec
rolleis gab es leider gerade nirgendwo für 37 euro, also wandt ich mich an amazon, wo die kamera dann doch glatt vom postmonster gefressen wurde und nie wieder gesehen ward!
als billige alternative musste also eine gebrauchte medion 41066 mit 5,16 MP herhalten. gabs bei ebay für 10.01 euro ink. versand, netzstecker, kabel, akkus und ein akkuladegerät.
das ganze sieht dann so aus:


adapter


am mikroskop


und die hochwertige kamera  ;)

so,
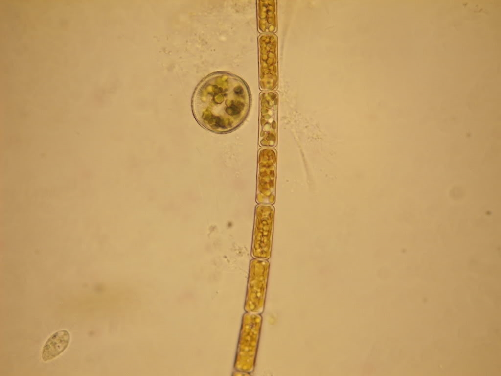
jetzt noch ein paar testbilder:


Pinus spec. blatt querschnitt, zeiss standard 14, 10x objektiv


spaltöffnung, zeiss standard 14, 40x objektiv


verschiedene süswasserbewohner, zeiss standard 14, 40x objektiv


diverse algen, leitz sm, 40x objektiv


Taxus baccata frucht, stereo beck kassel cbs, 2x objektiv

die kamera richtig vor das okular zu bringen ist etwas fummelig, aber wenn die einstellung stimmt, kann munter fotografiert werden.
für mich auf jeden fall ein gutes preis/leistungs verhältnis für menschen, die eher ihre objekte dokumentieren wollen als einen hohen künstlerischen anspruch verfolgen.
herzliche grüse,
kai

Nomarski

#1
Endlich mal jemand, der meine Ratschläge befolgt.  8)

So sperrig hätte ich mir das Gestell nun auch nicht vorgestellt. :-[
Aber wie heißt es so schön: Nur das Ergebnis zählt. Und das ist doch schon recht ordentlich ausgefallen.
Und das bei den Schlüsselloch-Okularen!  8)

Schöne Grüße
Bernd

Peter V.

#2
Hallo Bernd,

ZitatSo sperrig hätte ich mir das Gestell nun auch nicht vorgestellt.

Aber mit einer Säge läßt sich die Sperrigkeit des Teils schon deutlich reduzieren.

Hezrliche Grüße
Peter
Dieses Posting ist frei von kultureller Aneigung, vegan und wurde CO2-frei erstellt. Für 100 Posts lasse ich ein Gänseblümchen in Ecuador pflanzen.

Nomarski

#3
Lieber Peter,

ZitatAber mit einer Säge läßt sich des Teils schon deutlich reduzieren.

Ja, das kann man. Aber für die abgesägten Teile bekommt man leider vom Kaufpreis nichts vergütet.


Elegantere Adaptionen, die gegen ein Abendessen zu haben wären, sind ja hier nicht gefragt.

Viele Grüße
Bernd

Klaus Herrmann

ZitatElegantere Adaptionen, die gegen ein Abendessen zu haben wären, sind ja hier nicht gefragt.


Weil sie leider nicht angeboten werden.

Das kommt drauf an.

Ich habe vor ein paar Tagen zur Feier des Hochzeitstags mit meiner Frau schön gepflegt gegessen für 195.- Euronen

Dafür kann man von mir einen eleganten Adapter haben! ;)
Mit herzlichen Mikrogrüßen

Klaus


ich ziehe das freundschaftliche "Du" vor! ∞ λ ¼


Vorstellung: hier klicken

biokai

#5
Zitat von: Safari in Oktober 14, 2011, 12:55:16 NACHMITTAGS
Zitat von: Nomarski in Oktober 14, 2011, 09:41:27 VORMITTAG
Elegantere Adaptionen, die gegen ein Abendessen zu haben wären, sind ja hier nicht gefragt.

Weil sie leider nicht angeboten werden.


wilfried hatte das in dem rollei thema angeboten (und er scheint nicht so teuer zu speisen wie klaus  ;))

für meine derzeitige technische ausrüstung ist der mikroskopadapter ebay edition aber vollkommen ausreichend. auserdem hat er den vorteil an allen mikroskopen mit den verschiedenen okularen angebracht werden zu können und auch die kameras sind auswechselbar, was mir im moment relativ wichtig ist, da ich nicht für immer bei der medion bleiben will (obwohl sie besser ist, als ich erwartet hatte).
elegantere adaptionen sind natürlich trotzdem immer gefragt.
herzliche grüse,
kai

Nomarski


Zitatwillfried hatte das in dem rollei thema angeboten (und er scheint nicht so teuer zu speisen wie klaus  )

Also ich habe auch schon so eine Adaption gegen ein Abendessen beim preiswerten Griechen gebaut. Aber wegen so ein paar Mettklöpsen und Pommes dazu komme ich nicht extra nach Nürnberg gefahren. :D :D :D

reblaus

Hallo -

die dezente Erwähnung von schnödem Geld im Forum, insbesondere MM, fand ich immer schon banal -

wie wäre es, wenn wir ganz auf Naturalienwirtschaft umstellen würden?

Getränke natürlich extra ....

Viele Grüße

Rolf

Klaus Herrmann

Hallo Rolf,

über Geld spricht man nicht... man hat es ;D 8) ;D

ZitatGetränke natürlich extra ....

Ich werde darauf zurückkommen, wenn die Schnitte von gestern Abend trocken sind und ich über den tollen Kurs "Reben schneiden" berichte.

Du wurdest übrigens auch lobend erwähnt - war ja schließlich in Hohenheim!  ;)
Mit herzlichen Mikrogrüßen

Klaus


ich ziehe das freundschaftliche "Du" vor! ∞ λ ¼


Vorstellung: hier klicken

Nomarski

#9
Zitat von: Safari in Oktober 15, 2011, 00:36:18 VORMITTAG
Zitat
Aber wegen so ein paar Mettklöpsen und Pommes dazu komme ich nicht extra nach Nürnberg gefahren. :D :D :D


In Franken gibt es schon etwas anderes zu essen wie Mettklöpse und Pommes (was ist das eigentlich für ein merkwürdiges Gericht?), neben fränkischer Küche gibt es auch recht gute Italiener.


Nun wirds aber langsam OT, aber wenn du es nicht anders haben willst: Pizza-Bringdienste haben wir hier auch. Und es gibt auch noch andere Automobilfritzen als dein Porsche und Mercedes, in dessen Werkskantinen man gut durchgefüttert wird.
-----------------------------------------
Nochmal zu der Kameraadaption an sich: Ist nicht das Schönste und Eleganteste, erfüllt aber wie auch bewiesen seinen Zweck. Da sie variabel ist, ist die leider dadurch auch etwas sperriger. Aber da bereits schon angekündigt wurde, daß die Kamera demnächst gewechselt wird, lassen sich widerum die verschedenen Ab- und Anschlußmaße problemlos anpassen. Und bei dem Preis lohnt sich das Selberbauen auch nicht!

hinrich husemann

#10
Hallo "Billig-Adapter",
wenn auch etwas verspätet: Vielleicht noch mal wieder zurück zum ursprünglichen Thema! Wenn auch schon früher mal angesprochen: Spiegelreflex-Digi adaptiert auf altem Vergrößerungs-Stativ oder auch Selbstbau-Stativ + Kamera-Adapter für astronom. Fernrohr berührungslos (aber abgeblendet) über senkrechtem Stutzen eines Trino-Tubus.
Kamera Olympus E-420 mit ZOOM-Objektiv 17,5 mm bis 45 mm über Brillen-Okular Kpl 10x/18; Objekt: Objektmikrometer ; Objektiv Planachromat 25/0,45 PH 2.  Bilder in Hellfeld, PH und Dunkelfeld jeweils bei Kamera-Objektiv-Brennweite von 17,5 mm und 35 mm.
Anmerkung: Bei den Bildern mit 17,5 mm macht sich bei PH und DF erwas störend bemerkbar, dass die Teilstriche des Mikrometers nicht ganz genau senkrecht stehen und die senkrechte Fluchtlinie der Pixel des Bildschirms etwas schneiden. Beim direkten Blick durch das Okular ist das natürlich nicht gegeben.)



 17,5 mm HF
 35 mm  HF

 17,5 mm  PH
 35 mm  PH

 17,5 mm DF
 35 mm DF

Relativ preiswert und sehr flexibel, mit vielen Kameras machbar.
Freundliche Mikrogrüsse
H. Husemann

Microflash

#11
Sehr interessante Kamera-Adaption! Von der Fotografie kommend weiss ich allerdings, dass diese Art der "normalen" Zoom-Objektive nicht die besten sind, um Mikrofotografie zu betreiben. Ich vermute, dass Dein Adapter an den Objektivfilterring angeschraubt ist. Je nach Durchmesser des Filterrings koennte man ja auch ein schnelleres Festbrennweitenobjektiv (d.h. kleinere Blendenzahl unter f/2.8 ) ansetzen, das weit besser waere zu diesem Gebrauch.

Aenderung: Ich las gerade, dass das Objektiv beruehrungslos mit dem Adapter verbunden ist. Ist mir nicht klar, wie das unter Ausschluss des Lichteinfalls von aussen funktioniert. In jedem Fall koennte man dann aber darin andere Objektive einsetzen.

Beste Gruesse,
Martin

Zitat von: hinrich husemann in Oktober 18, 2011, 17:21:44 NACHMITTAGS
Hallo "Billig-Adapter",
wenn auch etwas verspätet: Vielleicht noch mal wieder zurück zum ursprünglichen Thema! Wenn auch schon früher mal angesprochen: Spiegelreflex-Digi adaptiert auf altem Vergrößerungs-Stativ oder auch Selbstbau-Stativ + Kamera-Adapter für astronom. Fernrohr berührungslos (aber abgeblendet) über senkrechtem Stutzen eines Trino-Tubus.
Kamera Olympus E-420 mit ZOOM-Objektiv 17,5 mm bis 45 mm über Brillen-Okular Kpl 10x/18; Objekt: Objektmikrometer ; Objektiv Planachromat 16/0,35 PH 2.  Bilder in Hellfeld, PH und Dunkelfeld jeweils bei Kamera-Objektiv-Brennweite von 17,5 mm und 35 mm.
Anmerkung: Bei den Bildern mit 17,5 mm macht sich bei PH und DF erwas störend bemerkbar, dass die Teilstriche des Mikrometers nicht ganz genau senkrecht stehen und die senkrechte Fluchtlinie der Pixel des Bildschirms etwas schneiden. Beim direkten Blick durch das Okular ist das natürlich nicht gegeben.)



Relativ preiswert und sehr flexibel, mit vielen Kameras machbar.
Freundliche Mikrogrüsse
H. Husemann

hinrich husemann

#12
Hallo,
zunächst zum Ausschluss des Lichteinfalls: Die schwarze - verschiebbare - "Tasse" unter dem Objektiv (im rechten Bild am besten sichtbar) überdeckt berührungslos den Abstand zwischen unterem Ende des Kameraobjektivs und dem Okular und hält so auch Seitenlicht fern. Man schiebt erstere natürlich etwas höher als im Bild angegeben (dort ist sie zur Demonstration etwas tiefer gestellt). Das reicht 100%ig. Der mechanische Nicht-Kontakt zwischen Kamera und Mikroskop hat auch Vorteile.
Zum Kamera-Objektiv: Die niedrigere Blendenzahl einer damit "schnelleren" Festbrennweite spielt - das ist den meisten Fotografen fremd - hier normalerweise keine bildverbessernde oder die Belichtungszeit bestimmende Rolle. Die engste und damit bestimmende Stelle im Lichtbündel der Abbildung ist hier die Austrittspupille des Mikroskops über dem Okular. Deren Durchmesser liegt aber nur in der Größenordnung von etwa 1 mm ; die Objektivblende hat hier also keinen praktischen Einfluss auf die Bildqualität und die Belichtungszeit. Wenn sie zu eng gestellt ist, kann sie aber unter Umständen vignettierend wirken; insbesondere dann, wenn die Austrittspupille nicht hoch genug über der Augenlinse des Okulars liegt (deshalb sind hier Brillenträger-Okulare zweckmäßig). Hauptsächlich aus diesem Grunde hat man u. U. mit ZOOM-Objektiven Schwierigkeiten; weniger wegen der Qualität von deren Optik.
Freundliche Mikrogrüsse
H. Husemann

Microflash

Zitat von: hinrich husemann in Oktober 18, 2011, 19:33:13 NACHMITTAGS
Hallo,
zunächst zum Ausschluss des Lichteinfalls: Die schwarze - verschiebbare - "Tasse" unter dem Objektiv (im rechten Bild am besten sichtbar) überdeckt berührungslos den Abstand zwischen unterem Ende des Kameraobjektivs und dem Okular und hält so auch Seitenlicht fern. Man schiebt erstere natürlich etwas höher als im Bild angegeben (dort ist sie zur Demonstration etwas tiefer gestellt). Das reicht 100%ig. Der mechanische Nicht-Kontakt zwischen Kamera und Mikroskop hat auch Vorteile.

Danke fuer die Klaerung des Sachverhalts, das macht nun Sinn!

ZitatZum Kamera-Objektiv: Die niedrigere Blendenzahl einer damit "schnelleren" Festbrennweite spielt - das ist den meisten Fotografen fremd - hier normalerweise keine bildverbessernde oder die Belichtungszeit bestimmende Rolle. Die engste und damit bestimmende Stelle im Lichtbündel der Abbildung ist hier die Austrittspupille des Mikroskops über dem Okular. Deren Durchmesser liegt aber nur in der Größenordnung von etwa 1 mm ; die Objektivblende hat hier also keinen praktischen Einfluss auf die Bildqualität und die Belichtungszeit. Wenn sie zu eng gestellt ist, kann sie aber unter Umständen vignettierend wirken; insbesondere dann, wenn die Austrittspupille nicht hoch genug über der Augenlinse des Okulars liegt (deshalb sind hier Brillenträger-Okulare zweckmäßig). Hauptsächlich aus diesem Grunde hat man u. U. mit ZOOM-Objektiven Schwierigkeiten; weniger wegen der Qualität von deren Optik.

Das ist so nicht richtig. Sehr wohl spielen auch hier Unterschiede in der Bauweise zwischen einfacheren Zoom- und besseren Festbrennweitenobjektiven eine Rolle. Festbrennweitenobjektive haben eine andere Zahl und Anordnung von Linsengruppen im Objektiv, die extra so konstruiert sind, dass Vignettierungen und Bildfehler vermieden werden, auch bei offener Blende.

Mit besten Gruessen,
Martin

hinrich husemann

#14
Bei der Mikrofotografie mit der "objektivbehafteten" Kamera durch das Okular - kommt ja hauptsächlich bei Mikroskopen mit Endlich-Optik in Frage - spielt das Kamera-Objektiv im Grunde nur die Rolle eines "Bildversetzers". Das eigentliche Bild ist ja schon vorhanden. Wenn sie im dunklen Zimmer ohne Kamera überm Okular des Trinos an die Zimmerdecke blicken, sehen Sie dort  - vorausgesetzt Ihre Mikroskopbeleuchtung hat genügend "Power" - dort das fast scharfe Bild (die Entfernung ist eben noch nicht ganz "unendlich") in quasi Okularprojektion. Das Kamera-Objektiv verlegt es nur noch von dort in die kürzere Entfernung seiner eigenen Brennebene; wirkt also nur noch als Bildversetzungs-"Linse" und macht an sich nur aus dem Okular ein Projektiv. Die weitaperturigen Objektiven für eigene Bilderzeugung "angezüchteten" Eigenschaften werden dafür gar nicht voll gebraucht, zumal die großen Aperturen wegen der kleinen Austrittspupille des Mikroskopsgar nicht genutzt werden (Dafür gibt es Beispiele.)
Freundliche Mikrogrüsse
H. Husemann