GEOLOGIE: Miozäne Mikrofossilien von Mallorca

Begonnen von Holger Adelmann, Dezember 11, 2011, 13:08:25 NACHMITTAGS

Vorheriges Thema - Nächstes Thema

Holger Adelmann

Liebe Kollegen,

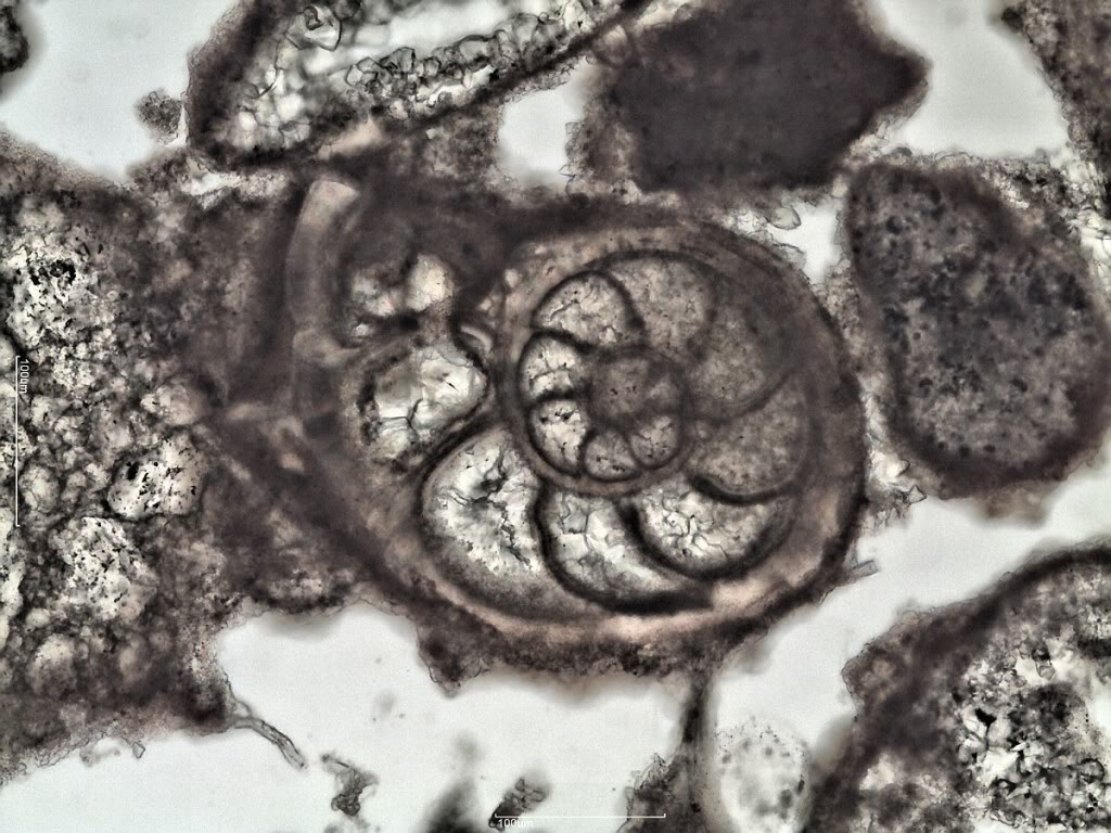
heute poste ich ein paar Aufnahmen zweier Dünnschliffe aus miozänen Gesteinen von Mallorca, die ich dieses Jahr auf einer kleinen Sammelexkursion während unseres Familienurlaubes aufgesammelt habe.

Idee und Aregung zu diesem Feldtrip hatte ich den Publikationen des bekannten Geologen Mallorcas, Luis Pomar entnommen (http://dct.uib.cat/pdi/pomar/),
aber auch von dieser netten Webseite:  http://sepmstrata.org/Miocene-Mallorca/MallorcaGallery_1.html

Im Süden Mallorcas befindet sich zwischen den beiden von mir aufgesuchten Fundpunkten Ses Olles und Valgornera der Riffkomplex der sogenannten Llucmajor Platform (Bild 1 gelbes Areal zwischen den beiden rot markierten Fundpunkten) aus dem oberen Miozän (vor ca. 7 Millionen Jahren).
Die dort anstehenden Riffkalke enhalten schöne Mikrofossilien, die sich nach chemischen Herauslösen, oder aber  - wie in meinem Fall - im Dünnschliff durch diese Gesteine offenbaren.

Bild 1 - Geologische Übersichtskarte von Mallorca mit den beiden von mir aufgesuchten Fundstellen



Der Fundort Ses Olles befindet sich an der Küste bei der Urbanisation sa Moreria südlich von S'Arenal. Dort an der Küste wurden aus den miozänen Kalksteinen früher grössere Stücke zu Bauzwecken herausgesägt, man sieht direkt an der Wassergrenze schöne rechteckige Meerwasserpools in denen es sicht bestimmt gut schwimmen lässt.
Bilder vom Fundort auch hier: http://sepmstrata.org/Miocene-Mallorca/pages/022-Ses-Oleles-Open-Shelf.html

Bild 2 - Lage des Fundortes Ses Olles (aus Google Maps)



Die Urbanisation Valgornera befindet sich direkt östlich des bekannten Ferienortes Cala Pi an der Südküste Mallorcas. Hier fand ich schönes, zu ca. 80% aus Foraminiferen und Radiolarien bestehendes miozänes Gestein in einem Barranco (trockener Flusslauf), der an der bezeichneten Stelle ins Meer mündet. Dort gibt es im Gestein auch viele grosse Muscheln.

Bild 3 - Lage des Fundortes bei Valgornera (aus Google Maps)



Viel Spass beim Anschauen & herzliche Grüsse
Holger


Mikrofossilien von Ses Olles (gekreuzte POL Filter)








Mikrofossilien von Valgornera (Hellfeld)












Fahrenheit

Lieber Holger,

vielen Dank für die tollen Aufnahmen und die interessante Dokumentation dazu.
Kannst Du etwas zu den versteinerten Lebewesen sagen? Manche Formen erinnern an Diatomeen und Foraminiferen?

Herzliche Grüße
Jörg 
Hier geht's zur Vorstellung: Klick !
Und hier zur Webseite des MKB: Klick !

Arbeitsmikroskop: Leica DMLS
Zum Mitnehmen: Leitz SM
Für draussen: Leitz HM

Klaus Herrmann

#2
Hallo Holger,

da stand ich auch schon und habe die ausgesägten großen Löcher im Stein bewundert, aber nicht an Foraminiferen gedacht - Muscheln habe ich wohl gesehen! Das nächste Mal, wenn wir am Ballermann einen drauf machen ziehe ich anschließend mit dem Hämmerchen los! ;D

Edit:Eine Frage zum chemischen Herauslösen: womit? Sind die Fossilien nicht auch aus "Kalkstein"?

Schöne Schliffe. Das 5. von unten könnte ein Seeigelstachel sein.
Hier ein rezenter:

Mit herzlichen Mikrogrüßen

Klaus


ich ziehe das freundschaftliche "Du" vor! ∞ λ ¼


Vorstellung: hier klicken

Holger Adelmann

Hallo Jörg & Klaus

ich denke es sind überwiegend Foraminiferen, bis auf den einen Seeigelstachel den ich auch für so etwas halte.

Auflösen kann man Gesteine schon, die darin enthaltenen Mikrofossilien sind oft etwas dolomitisiert bzw auch verkieselt. Allerdings muss man vorsichtig sein Klaus, da gebe ich Dir recht.
z.B. wird acetatgepufferte Essigsäure empfohlen, reine Essigsäure oder gar Salzsäure ist natürlich zu scharf. Die Einwirkungszeit sollte so kurz wie nötig sein, zusätzliche mechanische Lösung durch regelmässiges Schütteln während des Vorganges hilft.

Klaus, wenn Du nochmals da bist: Ich habe die schönsten Proben aus den härteren Bänken in dem kalkig-weissen Profil des Weges direkt über dem kurzen, sehr steilen Teil der Küste gesammelt (Dort steht auch eine runde Metallsäule mir unbekannter Funktion). Die weichen, mergeligen Partien aus dem Profil am weg lassen sich bestimmt auch gut auf Mikrofossilien schlämmen, habe ich aber nicht gemacht.

Herzliche Grüsse
Holger




Holger Adelmann

Ich habe noch mal in Schliffen von beiden Fundstellen nachgesehen, Klaus, ich denke es gibt da einige Seeigelstachel.
LG
Holger

Valgornera



Ses Olles (die Übersicht zeigt, wie dicht auch dieses Gestein mit Mikrofossilien durchsetzt ist, es besteht nahezu aus diesen)
Unten rechts wiederum ein solcher Stachel, wie ich meine







Rawfoto

Hallo Holger

Unglaublich wie produktiv Du bist, wo nimmst Du nur die Zeit her :-))

Ist wieder absolut toll geworden, danke für's Zeigen ...

:-)

Gerhard
Gerhard
http://www.naturfoto-zimmert.at

Rückmeldung sind willkommen, ich bin jederzeit an Weiterentwicklung interessiert, Vorschläge zur Verbesserungen und Varianten meiner eingestellten Bilder sind daher keinerlei Problem für mich ...

Dr. Jekyll

#6
Hallo Holger, hallo Klaus,

es gibt auf Mallorca nicht nur sehr schöne Mikrofossilien!!!
Auch sehr schöne rezente Foraminiferen-Arten sind an einigen Stränden in großen Mengen
zu finden. Packt beim nächsten Mallorcaurlaub das Schippchen und das Eimerchen ein,
es lohnt sich.

Viele Grüße

Harald

P.S.: Holger, die Fotos sind wie immer klasse!!!
Beste Grüße
Harald

Klaus Herrmann

Hallo Harald,

ich habe schon ganze Eimerchen voll davon. In der Bucht von Alcudia am Ostrand, wo nicht so viel los ist gibt es jede Menge.
Und in Spanien läuft man noch nicht Gefahr wegen Diebstahl von Altertümern ins Gefängnis zu kommen, wie in Griechenland oder der Türkei. >:(
Mit herzlichen Mikrogrüßen

Klaus


ich ziehe das freundschaftliche "Du" vor! ∞ λ ¼


Vorstellung: hier klicken

Dr. Jekyll

Lieber Klaus,

von Alcudia habe ich noch kein Material.
Vielleicht könntest Du mir gegen Erstattung der Portokosten eine kleine Portion (ca. 1 Fotodöschen)
aus deinem Eimer spendieren ;D
Würde mich sehr freuen.

Herzliche Grüße

Harald

Beste Grüße
Harald

Klaus Herrmann

Lieber Harald,

habe dem Labordiener soeben einen Erinnerungszettel geschrieben! Er hat auch am WE nicht frei, so dass es sicher erledigt wird! ;D
Mit herzlichen Mikrogrüßen

Klaus


ich ziehe das freundschaftliche "Du" vor! ∞ λ ¼


Vorstellung: hier klicken

Klaus Herrmann

Lieber Harald,

der Labordiener war noch da und hat gleich nachgeschaut, aber er kam zurück mit der Auskunft, dass er auf meine Anweisung ein großes Marmeladeglas voll Sand weggeworfen hat bei der letzten Aufräumaktion, weil ich gesagt haben soll wir brauchen Platz. Da kann er sogar recht haben. Ich bin dann selber runter - ich zahl ihn ziemlich mies, da kann man um diese Zeit nichts mehr erwarten - und hab dir eine kleine Probe Foraminiferen aus der Kreide abgefüllt. Sie sind winzig, du brauchst beim Stemi mindestens 90fach. Sonst Auflicht mit einem 10er Objektiv DF ist gut oder Schieflicht von der Seite oben.
Schon im Postausgang. Die 20.- Porto verrechnen wir später, wenn du wieder einen halben Liter Etzold bestellst! 8)
Mit herzlichen Mikrogrüßen

Klaus


ich ziehe das freundschaftliche "Du" vor! ∞ λ ¼


Vorstellung: hier klicken

Dr. Jekyll

Lieber Klaus,

ich danke dir !!!

Herzliche Grüße
Harald

P.S.: Ich beneide dich um deinen Labordiener ;D
        Kompetentes Personal ist rar ;)
Beste Grüße
Harald