mikroskopische LEBEND-Untersuchung IN den Haarbälgen möglich???

Begonnen von Demodexi, März 17, 2014, 12:04:04 NACHMITTAGS

Vorheriges Thema - Nächstes Thema

Oecoprotonucli

#15
Hallo Alle,

Zitat von: Jürgen H. in März 21, 2014, 17:14:15 NACHMITTAGS
Es dürfte einige Probleme bereiten, die klitzekleinen Tierchen durch diverse Flüssigkeiten in ein Harz zu überführen. Vermutlich müsste man sie zunächst nach dem Fixieren im Stück ein wenig anfärben und irgendwie auf einer größeren schneidbaren Unterlage - unlöslich in den benötigten Flüssigkeiten - befestigen. Wenn jemand im Forum eine Idee hierzu hätte, würde mich diese Idee schon sehr interessieren.

Naja, zu klein können die Milben eigentlich nicht sein, schließlich kann man auch Einzeller in einen Block einbetten und dann schneiden. (@Demodexi: Wie groß waren die Viecher doch gleich? Du hattest es mal erwähnt, aber ich bin gerade zu faul zum Suchen.) Dann muss man halt schauen, welcher Schnitt gerade gut getroffen ist und sich diesen näher anschauen. Klar, vielleicht gibt es auch ein paar Tricks, die Milben gleich richtig im Block zu positionieren. Wahrscheinlich werden sie ja durch die Schwerkraft im Einbettungsmedium herabsinken, bevor es erstarrt.

Ich habe gerade mal ganz schnell gegoogelt und folgendes Paper gefunden:

http://www.ncbi.nlm.nih.gov/pubmed/16315233

Jing X(1), Shuling G, Ying L.
Environmental scanning electron microscopy observation of the ultrastructure of Demodex.
Microsc Res Tech. 2005 Dec 1;68(5):284-9.

Ist das der Chinese, den Du angeschrieben hast? Im Paper sollte auch die Präparationsmethodik für die Raster-Elektronenmikroskopie beschrieben sein. Vielleicht auch Hinweise für Schnitte??

Weiteres schnelles googeln (ohne dass ich irgendetwas genauer gelesen habe):

http://flylib.com/books/en/2.953.1.6/1/#_/term_
Dort suchen:
Figure 1.18 Demodex folliculorum mites in the follicular infundibulum.

Und weiter gegoogelt (faszinierende Fotos!):
http://i-heart-bugs.livejournal.com/22625.html?thread=228961

Viele Grüße

Sebastian
Ich benutze privat:
Leitz SM-Lux mit (LED-) Durchlicht und Phaco-Ausrüstung (ca. 1975-77)
Hensoldt Wetzlar Stereomikroskop DIAMAL (1950er Jahre)

Demodexi

Zitat von: Jürgen H. in März 21, 2014, 17:14:15 NACHMITTAGS
.... Diplomarbeit über eine andere Milbe, die sich auch mit den Ovarien beschäftigt. Auf dort dargestellte Weise könnte man auch bei der Haarbalgmilbe erforschen, wieviele Eier denn in den Ovarien angelegt sind.

ja genau SO was suche ich über Demodex....
hier gibt's was über das Verdauungssystem, habe aber nix über Eier gelesen (oder hab ichs überlesen?)

http://books.google.at/books?id=xdQUAAAAIAAJ&pg=PA187&lpg=PA187&dq=Digestive+system+Demodex&source=bl&ots=z-3RqKSCUb&sig=TYgUTfnNmF11acddFjsTCJtMESc&hl=de&sa=X&ei=nCG_Uor8IYHsswb97IGwDQ&ved=0CEgQ6AEwAg#v=onepage&q=Digestive%20system%20Demodex&f=false


ZitatNatürlich ließe das keinen direkten Schluss darauf zu, wieviele Eier tatsächlich zur Reife kommen und gelegt werden. Aber man erhielte - auch im Vergleich mit anderen Milben - zumindest eine wahrscheinliche Größenordnung.

vielleicht ist es so: sofern die Zahl "angelegen" 20-24 Eier "richtig" erforscht wurde (wo ich noch immer nicht die Studie davon gefunden habe. Vom "Desch" solls was geben, habe ich aber gestern auf der UNI nicht gefunden) und diese Zahl dann "umgedeutet" wurde in: Demodex legt 20-24 Eier - was vielleicht gar nicht stimmt, dass die alle auslegt....dann würde das für mich eine Erklärung sein, warum ICH in meinen Talgproben nicht annähernd so viele Eier finde.

ZitatAllerdings ist die geschilderte Präparation für einen Laien doch mehr als schwierig.

nein,nein, DAS kann ich nicht, das weiß ich!!!!



Demodexi

Zitat von: Oecoprotonucli in März 21, 2014, 18:36:34 NACHMITTAGS
Demodexi: Wie groß waren die Viecher doch gleich?

Bei mir habe ich gefunden: von 100 mikrom. bis auch schon mal fast 400, aber die 400 war eine Extremausnahme!
Durchschnitt bei mir: 200, 250 mikrom.
hier ein Vid. wo die Größe links unten eingeblendet ist:
http://www.youtube.com/watch?v=CRJ-iUWgW7Q&index=4&list=PLGkjaPcA1SDPofG9Xm8jCB3hIiXBENiDg


ZitatIst das der Chinese, den Du angeschrieben hast?

Von DEM sind die Fotos ein Hit! (ich habe die Studie zu Hause)
Nein,, das ist nicht DER den ich angeschrieben habe: DEN habe ich angeschrieben:

http://www.ncbi.nlm.nih.gov/pubmed/21479960
und zwar den "Zhao"
das ist die Studie, die die Demodex am längsten am Leben erhalten konnte


ZitatUnd weiter gegoogelt (faszinierende Fotos!):
http://i-heart-bugs.livejournal.com/22625.html?thread=228961

JA! die sind ja ein Hit!

Da ist auch angegeben, dass die Paarung der Demodex IN den Poren statt findet.

In anderen Beiträgen/Seiten liest man auch: Demodex krabbeln auf die Haut und paaren sich dort...dann wieder zurück in die Pore und dort Eiablage.

Das ist ja auch wieder so eine "Sache", wo ich mich - als totaler biologischer und mikroskopischer Laie - mal frage:
WIE erforscht man, ob sich Lebewesen IN der Haut paaren.

Auch wird oft angegeben: Demodex-Mann stirbt gleich nach der Paarung......das Weibi ein paar Tage nach der Eiablage.

Seht ihr WAS ich nicht verstehe?  Vorgänge, die IN der Haut sind...wie kann man die beobachten, so dass "man" (wer immer diese Aussagen in Umlauf gebracht hat) sicher sein kann, DASS es so ist.

Gibt's einen Demodex-Würfel mit Vermutungen auf jeder Seite und was dann oben auf ist, dass nehmen wir dann mal als Fakt an....oder so?

lg, Demodexi

Oecoprotonucli

#18
Zitat von: Demodexi in März 21, 2014, 20:26:55 NACHMITTAGS
Das ist ja auch wieder so eine "Sache", wo ich mich - als totaler biologischer und mikroskopischer Laie - mal frage:
WIE erforscht man, ob sich Lebewesen IN der Haut paaren.

Seht ihr WAS ich nicht verstehe?  Vorgänge, die IN der Haut sind...wie kann man die beobachten, so dass "man" (wer immer diese Aussagen in Umlauf gebracht hat) sicher sein kann, DASS es so ist.

Gibt's einen Demodex-Würfel mit Vermutungen auf jeder Seite und was dann oben auf ist, dass nehmen wir dann mal als Fakt an....oder so?

Hallo "Demo",

Du musst halt lesen, lesen, lesen (und Fachleute fragen), um das herauszufinden. Natürlich gibt es manchmal falsche Behauptungen und Gerüchte, die immer wieder abgeschrieben werden oder gar wie bei der "Stillen Post" noch verändert werden.

Es gibt aber wissenschaftlich die unterschiedlichsten Vorgehensweisen, um so eine Angabe zu machen. Die direkte Beobachtung ist eine davon. Aber Du siehst ja, dass man Raster-EM- Aufnahmen und Schnitte machen kann. Die Tiere sind dann fixiert und tot und zeigen eine Momentaufnahme. Wenn man in so einer Momentaufnahme zum Beispiel ein Demodex-Pärchen "in flagranti" bei der Kopulation in einer Talgdrüse sieht, kann man die Aussage machen, dass sie sich dort paaren. Nur mal so als Beispiel.

Manchmal sind es auch Vermutungen: Man hat etwas bei nahe verwandten Arten beobachtet und folgert dann, dass es ähnlich bei der untersuchten Art ist.

Und auch für die Schätzung, wieviele Eier im Ovar angelegt sind und wieviele letztendlich gelegt werden, braucht man Zusatzinformationen. Kann auch sein, dass ständig neue Eier nachgebildet werden und es dann noch viel mehr Nachkommen gibt. In einem mikroskopischen Schnitt wird man die Eier wohl leichter erkennen, als Du in Deinem Talggemisch unter dem Stereomikroskop.

Übrigens: der Artname geht üblicherweise auf einen Erstbeschreiber zurück. Für Demodex folliculorum zeigt Wikipedia zum Beispiel: (Simon, 1842), Owen.

Du suchst Dir dann also mal diese Erstbeschreibung oder ähnlich alte Literatur und liest dort nach. Oftmals sind dort schon wesentliche Merkmale der Tiere beschrieben. Die Altvorderen hatten viel Zeit, wenig Ablenkung und keinen Fernseher oder Handy und haben gründlich gearbeitet und gezeichnet. Ein paar Fehler haben sie gemacht und hatten eben keine elektronische Ausrüstung und biochemische Tricks - aber wie gesagt: Sie hatten manchmal auch eine gewisse Gründlichkeit und Genauigkeit, die man heute nicht immer antrifft.

Viele Grüße

Sebastian

P.S.: Du hast doch schon viel Literatur zusammengetragen und auch gelesen? Dann verstehe ich wiederum nicht, dass Du da nicht schon vieles nachvollzogen hast. In den ganzen Papers gibt es einen Methodenteil, in dem die jeweiligen Methoden beschrieben sind. Zugegeben: Nicht gerade immer für Laien verständlich und auch nicht immer in aller Ausführlichkeit. Aber deshalb musst Du Dich von Literaturstelle zu Literaturstelle hangeln, bis Du die gewünschte Info gefunden hast. So macht man das, wenn man nicht gerade Guttenberg heißt...  ;D
Ich benutze privat:
Leitz SM-Lux mit (LED-) Durchlicht und Phaco-Ausrüstung (ca. 1975-77)
Hensoldt Wetzlar Stereomikroskop DIAMAL (1950er Jahre)

Demodexi

Zitat von: Oecoprotonucli in März 21, 2014, 22:01:53 NACHMITTAGS
Natürlich gibt es manchmal falsche Behauptungen und Gerüchte, die immer wieder abgeschrieben werden oder gar wie bei der "Stillen Post" noch verändert werden.
Manchmal sind es auch Vermutungen: Man hat etwas bei nahe verwandten Arten beobachtet und folgert dann, dass es ähnlich bei der untersuchten Art ist.

danke.....vielleicht/anscheinend ist das so

Es ist für mich - als Demodex-Betroffene - ein wenig ärgerlich (sag ich jetzt mal) sehr oft absolute Falschangaben über Demodex zu lesen. Und einige/viele Leute glauben das alles (?), weils halt auf "Demodex"-Seiten steht. Damit kann man anscheinend ein gutes Geschäft machen (z.b. Demodex-Milbenspray für: Gewand, Bettwäsche. Es läuft auch das Gerücht, dass Demodex im Kopfpolster/Matratze sind und man sich von dort auch anstecken kann und eine ganz haarsträubende Aussage: man kann sich mit Demodex "anstecken", weil wenn ein Wind geht werden die Eier vom Gesicht von jemanden durch die Lüfte getragen und kleben sich dann an einer anderer Person fest....und einiges mehr)
Das hat jetzt alles nix mit meiner mikroskopischen Frage hier zu tun und "ja" ich weiß, dass im i-net viel Schwachsinn geschrieben wird.

ZitatDu hast doch schon viel Literatur zusammengetragen und auch gelesen? Dann verstehe ich wiederum nicht, dass Du da nicht schon vieles nachvollzogen hast. In den ganzen Papers gibt es einen Methodenteil, in dem die jeweiligen Methoden beschrieben sind. Zugegeben: Nicht gerade immer für Laien verständlich und auch nicht immer in aller Ausführlichkeit.
Natürlich habe ich bis vor 2 Wo hauptsächlich die Studien betr. Behandlung gelesen. Die betr. Grundlagenforschung bin ich noch nicht ganz durch bzw. habe einiges noch nicht in der med.Datenbank gefunden.
Über Ei/Eiablage habe ich bis jetzt noch nix gefunden.

ZitatAber deshalb musst Du Dich von Literaturstelle zu Literaturstelle hangeln, bis Du die gewünschte Info gefunden hast.
Das mache ich generell "so"!!
Auch bei Bücher, die ich kaufe (gleich im Geschäft mal hinten reingeschaut...und alles was mich dort noch interessiert, gleich bestellen)

AN ALLE:

Ich möchte mich hier bei Euch allen, die hier gepostet haben, recht herzlich für Eure Zeit und Mühe danken mir zu helfen !!

Leider habe ich keine wissenschaftliche Ausbildung und einige Fragen sind Euch vielleicht doch eher komisch vorgekommen. Aber ich bemühe mich mein Nichtwissen durch Recherchen und Fragen an Leut' die's vielleicht wissen könnten zu verbessern.

lg, Demodexi

Oecoprotonucli

Zitat von: Demodexi in März 22, 2014, 10:51:37 VORMITTAG
Es ist für mich - als Demodex-Betroffene - ein wenig ärgerlich (sag ich jetzt mal) sehr oft absolute Falschangaben über Demodex zu lesen.

Leider habe ich keine wissenschaftliche Ausbildung und einige Fragen sind Euch vielleicht doch eher komisch vorgekommen. Aber ich bemühe mich mein Nichtwissen durch Recherchen und Fragen an Leut' die's vielleicht wissen könnten zu verbessern.

Hallo Demodexi,

man merkt's ein wenig, dass Du ärgerlich bist... ist schon verständlich und ich jedenfalls kenne das, auch wenn es vielleicht um ein wenig andere Sachen geht. Aber wir hier können auch nicht so richtig was dafür - manch einer von uns würd ja gern ein Forschungsthema oder eine Stelle haben - aber die Gelder oder Arbeitsplätze dazu gibt's dann auch wieder nicht so einfach.

Ein schwacher Trost, wenn man Dir erzählt, "sei froh, dass es Dir nicht noch schlechter geht": Stell Dir vor, auch über AIDS und andere Krankheiten kursieren Gerüchte und Unwahrheiten und werden sogar von einem gewissen Nobelpreisträger ein wenig gefördert - da wird es lebensgefährlich und Du solltest vielleicht über ein paar Unwahrheiten über Demodex im Internet hinwegsehen.

Vielleicht schaffst Du und andere Betroffene es ja noch, die entsprechende Forschung anzustossen...  ;) Oder Du findest die Infos doch noch.

Das soll jetzt nicht der Abschluss Deiner Fragen sein - aber ich persönlich habe an diesem Wochenende auch noch andere Dinge vor...

Besten Gruß

Sebastian
Ich benutze privat:
Leitz SM-Lux mit (LED-) Durchlicht und Phaco-Ausrüstung (ca. 1975-77)
Hensoldt Wetzlar Stereomikroskop DIAMAL (1950er Jahre)

Oecoprotonucli

Hallo "Demo",

ich habe noch einmal ein bißchen herumgestöbert und folgendes gefunden:

Fluoreszenzmikroskopischer Nachweis von mehr als 100 Eiern am Längsschnitt von Demodex folliculorum:
Jahns, A. C. and Alexeyev, O. A. (2012), Direct visualization of a gravid Demodex mite in human skin biopsy. JDDG: Journal der Deutschen Dermatologischen Gesellschaft, 10: 358. doi: 10.1111/j.1610-0387.2012.07878.x
(Die Autoren könntest Du anschreiben)

Lebenszyklus:
Spickett SG. Studies on Demodex folliculorum Simon (1842). I. Life history. Parasitology 1961; 51: 181–192.
Hier sollte das mit der Eiablage und Paarung beschrieben sein, wenn auch die nächste Literaturangabe sagt, dass es nicht vollständig geklärt ist

Reviews (Übersichtsartikel):
Lacey N, Kavanagh K, Tseng SC.: Under the lash: Demodex mites in human diseases. Biochem (Lond). 2009 Aug 1;31(4):2-6.

Lacey N. · Ní Raghallaigh S. · Powell F.C.: Demodex Mites – Commensals, Parasites or Mutualistic Organisms? Dermatology 2011;222:128–130 (DOI:10.1159/000323009)

Nichtinvasive Untersuchung in vivo, ohne Haut zu entfernen, direkt auf der Haut mit Reflectance Confocal Microscopy (Auflicht-Laser, "optische Biopsie"):

http://www.vivascope.de/konfokale-laserscanmikroskopie.html

Sattler, E.C., Maier, T., Hoffmann, V.S., Hegyi, J., Ruzicka, T. and Berking, C. (2012), Noninvasive in vivo detection and quantification of Demodex mites by confocal laser scanning microscopy. British Journal of Dermatology, 167: 1042–1047. doi: 10.1111/j.1365-2133.2012.11096.x
(Die deutschen Autoren könntest Du anschreiben)

Sattler, E.C., Maier, T., Hoffmann, V.S., Ruzicka, T. and Berking, C. (2013), Noninvasive in vivo detection and quantification of Demodex mites by confocal laser scanning microscopy: reply from the authors. British Journal of Dermatology, 169: 213–215. doi: 10.1111/bjd.12281

Calzavara-Pinton, P., Longo, C., Venturini, M., Sala, R. and Pellacani, G. (2008), Reflectance Confocal Microscopy for In Vivo Skin Imaging. Photochemistry and Photobiology, 84: 1421–1430. doi: 10.1111/j.1751-1097.2008.00443.x

Slutsky JB, Rabinovitz H, Grichnik JM, Marghoob AA. Reflectance Confocal Microscopic Features of Dermatophytes, Scabies, and Demodex. Arch Dermatol. 2011;147(8):1008. doi:10.1001/archdermatol.2011.193.

Besten Gruß

Sebastian
Ich benutze privat:
Leitz SM-Lux mit (LED-) Durchlicht und Phaco-Ausrüstung (ca. 1975-77)
Hensoldt Wetzlar Stereomikroskop DIAMAL (1950er Jahre)

Demodexi

Zitat von: Oecoprotonucli in März 22, 2014, 14:05:49 NACHMITTAGS
Aber wir hier können auch nicht so richtig was dafür -

OH! es tut mir leid, wenn mein Demodex-Falschmeldungen-Gejammere evtl. so angekommen ist, dass ich hier bei Euch jetzt nicht DIE Lösung für meine Fragen bekommen. Bitte...nein!! Im Gegenteil!! Habe von Euren Post wirklich sehr viel gelernt!

Zitat...auch über AIDS und andere Krankheiten kursieren Gerüchte und Unwahrheiten und werden sogar von einem gewissen Nobelpreisträger ein wenig gefördert - da wird es lebensgefährlich und Du solltest vielleicht über ein paar Unwahrheiten über Demodex im Internet hinwegsehen.
Wissenschaftliche Unwahrheiten finde ich in jedem Fall/Bereich schlimm! Und wenn's um lebensgefährliche Auswirkungen geht, natürlich um so schlimmer.

Gestern war hier z.b. ein neues Post über "Parasit im Blut". Der Thread war dann schon geschlossen und ich konnt nix mehr reinschreiben. Ich habe bei meinen Eigenblutuntersuchungen nach ein paar mal angucken schon "gecheckt", dass DAS nie und nimmer stimmen kann, was das so bei Enderlein behauptet wird (und habe das auch unter mein Lebendblut-Vid geschrieben, dass ich bei nur "einem" Bluttröpfchen so ziemlich alle Krankheiten haben müsste, was da von Enderlein angegeben wird, was ich da in meinem Blut gesehen habe....und regelmäßig sehe).
Und Ihr hier im Forum habt in anderen Threads sehr ausführlich die Themen Enderlein erklärt und damit einen Beitrag zur "Aufklärung" der Gerüchte und Unwahrheiten beigetragen.

Ich habe als Demodex-Pat. mit meinen laufenden (oft 2-3 tägigen, manchmal täglichen) Mikroskopkontrollen eine Möglichkeit auch ein bissal was zur Aufklärung vom Demodex-Humbug bei zu tragen. Sonst kann man ja einem (Demodex)Pat. viel "aufschwatzen"...nur jetzt gibt's halt jemanden, der einiges selbst untersuchen kann und die Infos an die Demodex/Akne-Pat. weiter gibt. Das ist halt mir, in meinem kleinen Bereich, ein Anliegen.



Demodexi

#23
Zitat von: Oecoprotonucli in März 23, 2014, 12:05:24 NACHMITTAGS
ich habe noch einmal ein bißchen herumgestöbert und folgendes gefunden:

D A N K E !!!!!!!!!!!!!!!!!!!!!!!!  

ZitatNachweis von mehr als 100 Eiern am Längsschnitt
nein...mich trifft ja gleich der Schlag...100 Eier

ZitatLacey N. · Ní Raghallaigh S. · Powell F.C.: Demodex Mites – Commensals, Parasites or Mutualistic Organisms? Dermatology 2011;222:128–130 (DOI:10.1159/000323009)
die habe ich auch schon gefunden (stand nix wegen Ei drinnen)

Ich habe bei der med.Datenbank alles mit "Demodex" (in allen möglichen Schreibvarianten/auch Engl.) eingegeben, ABER die tollen von dir da ...mit den 100 Eiern,, etc. war da nicht drinnen.
WO suchst DU? (nur dass ich in Zukunft auch dort selbst suche)


ZitatNichtinvasive Untersuchung in vivo, ohne Haut zu entfernen, direkt auf der Haut mit Reflectance Confocal Microscopy (Auflicht-Laser, "optische Biopsie"):
das mit der Auflicht-LaserUntersuchung habe ich zwar selbst schon entdeckt, habe es aber nur für die Untersuchung von Demodex-Bestand verstanden.
Und habe diese Untersuchungsart auch gleich in's Akne-Forum in meinen Demodex-Thread geschrieben, weil dort viele Leute ein Problem haben überhaupt mal fest zu stellen oder fest gestellt bekommen (vom HautA. Einem Pat. wurde gesagt: Haut muss tiefer ein/aufgeschnitten werden, dann Entnahme und dann Vernähen und es kann Narbe bleiben. Na im Gesicht braucht so was sicher keiner und es gibt auch andere Demodex-Untersuchungsarten.)
Aber ich werde mir die links genau durchlesen


NEUIGKEITEN von: mehrere Eier in Demodex-Bauch??
Anscheinend hat der Demodex-Gott mein Gejammere über die Ei-Frage gehört und einen kleinen "Hinweis" geschickt (kleiner Scherz)
Gestern bei der Talgprobe habe ich, zum ersten Mal seit ich ab Nov. 2013 Talg entnehme, eine (oder 2) Demodex gefunden, mit vielleicht 3 Eiern im Bauch.

Bei der ersten Demodex im Video habe ich zu erst nur das große Ei gesehen. Aber nach der Studie, die mir Jürgen H. über die Diplomarbeit von einer anderen Milbe geschrieben hat, sehe ich (mit viel Fantasie, weil Fachwissen hab ich kein's) vielleich noch 2-3 Eier im "Ansatz"(?). Habe bei dem großen Bildausschnitt dann Pfeile hin gemacht.

Andrerseits steht aber in dieser Studie auch: dass man Ei-Bestimmung mit Durchlicht fast nicht machen kann, weil die Demodex-Innenschichten oft so dicht sind, dass man da nicht durch sehen kann.
Diese erste Demodex im Vid. habe ich schon vor längerer Zeit mal aufgenommen (so Jänner vielleicht), habe sie mir aber jetzt noch mal genauer angesehen.

Ab min. 2,19 kommen die 2 Demodex, die ich gestern tot gefunden habe.

Ab min. 3,47 wieder eine Aufnahme, die schon ein paar Wochen her ist. Aber wo anscheinend eine ultra kurze D.folliculorum zu sehen ist - sonst sind die immer sehr lang - mit 1 Ei.

Oder: Auch (die kurzen) D.brevis haben manchmal pfeilspitzenförmige Eier ??

Hier das Video (gleich auf HD drücken, sonst Bild grauslich)
http://www.youtube.com/watch?v=vT624k3NF0Y&list=UUqBRoPG9yURuL42QnzF63Uw

lg, Demodexi

Jürgen H.

Liebe Demodexi,

Schönes Video!

Schau Dir einmal bitte das hier an:



Dargestellt sind verschiedene Ovarientypen bei den Insekten. Eine Vielzahl von Ovariolen hängt in verschiedener Weise an den Ovidukten an. Ich gehe davon aus, dass es auch bei den Milben so oder so ähnlich ähnlich aussieht.


In den Ovariolen findet die eigentliche Eientwicklung statt. Die findest Du z.B. hier dargestellt:

http://www.spektrum.de/lexika/showpopup.php?lexikon_id=9&art_id=47833&nummer=19629



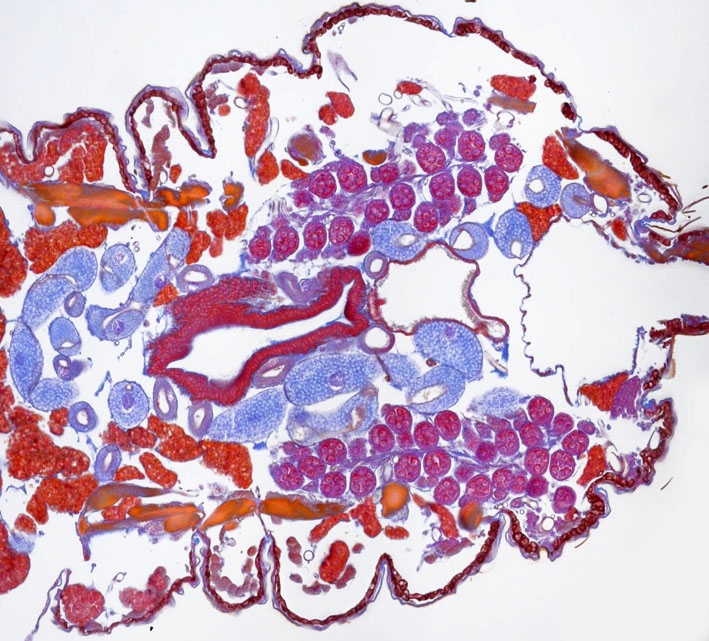
Als Schnitt - durch eine Kriebelmücke - siehst Du die paarigen Ovarien z.B. hier :


Die Ovariolen (im Bild blaurote Kügelchen) sind quer geschnitten, und liegen traubenartig am Ovidukt an, der als blaues fädiges Gebilde zu sehen ist . Die kreisrunden blauroten Kügelchen sind also Querschnitte durch die Ovariolen, nicht die Eier!.

So ähnlich wird es vermutlich auch bei Deiner Haarbalgmilbe sein.

Schöne Grüße

Jürgen

Demodexi

Zitat von: Jürgen H. in März 23, 2014, 17:22:36 NACHMITTAGS
Schau Dir einmal bitte das hier an:.........

So ähnlich wird es vermutlich auch bei Deiner Haarbalgmilbe sein.

Lieber Jürgen, recht herzlichen Dank für Deine Mühe! Das ist alles gut verständlich für mich. (und alleine hätte ich mich wahrscheinlich zu einem Deppen gesucht, bis ich "solche" Bilder und Erklärungen finde)

Mir ist klar, dass ich das als nur Durchlichtmikroskop-Guckerin bei den vielen Glitzerkügelchen, die da im Demodex-Bauch sind
Foto: http://www.flickr.com/photos/multiwellensittich/12176410945/in/photostream/
nie und nimmer selbst feststellen kann, wie viele Eier da angelegt sind.

Ich werde mir mal die Studien, die mir der Sebastien geschrieben hat, besorgen und durchackern und mal gucken was "die" schreiben.....wieviele Eier "angelegt" sind oder gelegt werden (können), etc.

Also....so im täglichen Leben, wenn mir jemand wirklich sehr, sehr geholfen hat, bedanke ich mich immer mit einem kleinen Dankeschöngeschenk.
Jetzt habt  Ihr hier keine z.b. Kaffeekassa, einen Gutschein für ein Eisgeschäft kann ich auch nicht hinterlegen.

Ich kann mich auch nicht mit einer "Gegenleistung" bedanken.

Es gibt aber das Prinzip der "Freundlichkeitskette" auf Englisch: "pay it Forward" und auf diesem Wege möchte ich mich durch Hilfestellungen an andere Menschen bei Euch bedanken.
Wer die Freundlichkeitskette nicht kennt:
hier ein Film darüber: http://de.wikipedia.org/wiki/Das_Gl%C3%BCcksprinzip
das pay it Forward/Freundlichkeitskette ist von einer Dame wirklich erfunden/in die Welt gesetzt worden und auf Grund dessen ist dann der Film gemacht worden.

Mir gefällt diese Idee sehr und ich praktiziere sie auch. Man muss nicht immer für etwas eine Bezahlung bekommen.
Davon habt jetzt Ihr hier nix. Ich will damit nur ausdrücken, dass ich Eure Hilfestellung wirklich sehr hilfreich finde und es auch nicht selbstverständlich ist, dass man/Ihr doch einige Zeit zum Zusammenfinden der Infos investiert habt.

lg, Demodexi  (was ich dann bei den Studien wegen der Eierfrage herausgefunden habe, werde ich berichten)

Oecoprotonucli

Zitat von: Demodexi in März 23, 2014, 19:21:38 NACHMITTAGS
Ich werde mir mal die Studien, die mir der Sebastien geschrieben hat, besorgen und durchackern und mal gucken was "die" schreiben.....wieviele Eier "angelegt" sind oder gelegt werden (können), etc.

Hallo Demo (sorry, aber ich finde den Kurznamen einfacher, und Deinen richtigen Namen hast Du ja nicht verraten ;) ),

mach Dir jetzt nicht alle Arbeit dreifach - wo Du uns nun schon angesteckt hast, kann ich Dir die nun auch per Mail schicken.

Wichtig für das Verständnis ist noch das folgende Paper:

Desch CE, Nutting WB: Morphology and functional anatomy of Demodex folliculorum (Simon) of man. Acarologia 1977; 19(3): 422–462.

Abstract
The morphology and anatomy of D. folliculorum adults, and selected members of the genus Demodex Owen, were detailed to the cellular and cell product level. Functional attributes of each anatomical system were discussed as ascertained from preserved and living material. Anatomical details for eggs, larvae, protonymphs, and nymphs were presented under each system (as for above) category. These structures were also discussed for functional properties. An extended synopsis was appended to provide an overview of structural, functional and developmental features of D. folliculorum which should serve as models for other members of this genus.


Das gibt es nicht online und weil Du nun so demodexmäßig gebohrt hast, bin ich gerade dabei, es bei der Bibliothek (subito) zu bestellen. Das kostet allerdings 6 Euro.

Das gleiche mache ich auch noch mit dem

Spickett SG. Studies on Demodex folliculorum Simon (1842). I. Life history. Parasitology 1961; 51: 181–192.


In meinem Städtchen Berlin gibt es die Journals zwar in der Bibliothek, so dass ich auch hinfahren und kopieren könnte, dazu bin ich im Moment aber zu ungeduldig bzw. das kostet auch wieder Zeit. Also zahle ich nun die 12 Euro.

Da ich die Dokumente auch als PDF bekomme, kannst Du sie dann auch von mir haben, wenn ich sie erhalten habe (die anderen gleich/bald). Das machen wir per PN (persönlicher Nachricht) hier, OK?

Ich hoffe dann mal, dass mir auch irgendwobei mal (z.B. in diesem Forum) von irgendwem geholfen oder ein guter Preis gemacht wird, wenn ich mal wieder Hilfe brauche...

Vielleicht hat hier zum Beispiel jemand den folgenden Mikroskosmos-Artikel von 1976 und scannt eine Kopie für uns ein:

Streng, R.: Die Haarbalgmilbe des Menschen: Demodex folliculorum. Mikrokosmos, July 1976, 65 (7)

Schönen Abend

Sebastian
Ich benutze privat:
Leitz SM-Lux mit (LED-) Durchlicht und Phaco-Ausrüstung (ca. 1975-77)
Hensoldt Wetzlar Stereomikroskop DIAMAL (1950er Jahre)

Demodexi

Zitat von: Oecoprotonucli in März 23, 2014, 20:42:35 NACHMITTAGS
Hallo Demo (sorry, aber ich finde den Kurznamen einfacher, und Deinen richtigen Namen hast Du ja nicht verraten
Demo is eh gut. Ich habe generell eine Art i-net-Paranoia (ich habe auf keiner meiner Foto/Video-Seiten meinen Namen), das soll nicht unhöflich sein....ich habe halt in dieser Weise einen kleinen "Poscha" (=wienerisch, meint: Vogel)

Zitat
Desch CE, Nutting WB: Morphology and functional anatomy of Demodex folliculorum (Simon) of man. Acarologia 1977; 19(3): 422–462.
genau DAS habe ich in einer Studie bei den Quellenangaben unten gefunden und mich vorigen Donnerstag auf der Uni zu einem Deppen gesucht....war nicht zum finden in der Datenbank (oder ich zu doofe zum richtig suchen)


ZitatDas gleiche mache ich auch noch mit dem

Spickett SG. Studies on Demodex folliculorum Simon (1842). I. Life history. Parasitology 1961; 51: 181–192.
von dem Simon habe ich auch DAS in Quellenangaben gefunden, aber nicht in der Datenbank gefunden. Aber ich glaub, das muss in einem Zeitschriftenkatalog sein (oder so)
"morphology and functional anatomy of demodex folliculorum (Simon) of man.
June 1978

und das detto:
the reproductive anatomy of demodex folliculorum (Simon) , keine Jahrangabe


ZitatDas machen wir per PN (persönlicher Nachricht) hier, OK?
ja natürlich! da müsstest DU mich mal per PN anschreiben, dann kann ich zurück (als Namensverweigerer kann ich hier nicht in andere Profile rein und pn anschreiben)

ZitatIch hoffe dann mal, dass mir auch irgendwobei mal (z.B. in diesem Forum) von irgendwem geholfen oder ein guter Preis gemacht wird, wenn ich mal wieder Hilfe brauche...
Wenn du mal nach Wien kommst (Urlaub, beruflich): bist eingeladen, bzw. hast eine private Reiseführerin
(vielleicht fällt mir auch noch irgendein "Guti" ein, womit ich mich sonst bei dir bedanken kann)

Mensch....ich weiß gar nicht was ich sagen soll, freu mich nur sehr, sehr über Dein Angebot!!!

bin schon a bissal müde und mach für heute Schluss. Meine 2 Vogelbuben versuchen gerade neben mir (in ihrem Schlafhaus) zu schlafen und ich störe sie mit meinem Getippsle. Meine Vögel haben ein eigenes Vogelzimmer nur für sie alleine ....und ich darf auch drinnen wohnen (und i-net ist halt im Vogelzimmer).

Auch schönen Abend und dankschön noch mal,
Demodexi

Oecoprotonucli

#28
Zitat von: Demodexi in März 23, 2014, 21:12:41 NACHMITTAGS
genau DAS habe ich in einer Studie bei den Quellenangaben unten gefunden und mich vorigen Donnerstag auf der Uni zu einem Deppen gesucht....war nicht zum finden in der Datenbank (oder ich zu doofe zum richtig suchen)

Hallo "Demo",

also ich wär auch schon etwas beleidigt, wenn Du die Sachen genauso schnell finden und besorgen würdest wie ich. Literatursuche ist ein Thema für sich und gehört ja ebenfalls zur wissenschaftlichen Ausbildung und man eignet sich über die Jahre Tricks an*... Außerdem gibt es da ein paar technische Hilfsmittel und ich bin froh, dass ich im Moment noch einen Uni-Zugang online habe. Das wird aber bald zuende sein, man kann sich ja nicht ewig als Student ausgeben...  ;) . Es muss ein entsprechender Arbeitsplatz her, oder ich muss mich in Zukunft ebenfalls physisch in die Bibliothek bewegen...

Vielleicht komme ich auf Deine Angebote irgendwann zurück, Danke! Schön wäre einfach noch, wenn allgemein das Bewusstsein dafür da wäre, dass wissenschaftliche Arbeit nicht kostenlos ist, sondern Arbeit und Investition erfordert - wenn Du zum Arzt gehst, zahlt's die Krankenkasse (da steht dann so etwas wie "ausführliche Beratung, auch telefonisch" auf der Rechnung). Fühl Dich aber jetzt nicht schlecht - ich habe natürlich meine wissenschaftliche Ausbildung und Hilfestellungen von Anderen auch nicht komplett aus eigener Tasche bezahlt, sonst wäre ich noch ärmer als sowieso schon  ;) . Ein Privatuni-System haben wir ja hier schließlich noch nicht...

Viele Grüße

Sebastian

* In den Bibliotheken gibt es oft Kursangebote dazu und die Mitarbeiter sind auch meist sehr hilfsbereit - hast Du sie denn nicht angesprochen?
Ich benutze privat:
Leitz SM-Lux mit (LED-) Durchlicht und Phaco-Ausrüstung (ca. 1975-77)
Hensoldt Wetzlar Stereomikroskop DIAMAL (1950er Jahre)

Oecoprotonucli

Zitat von: Demodexi in März 23, 2014, 21:12:41 NACHMITTAGS
und das detto:
the reproductive anatomy of demodex folliculorum (Simon) , keine Jahrangabe

...kann man auch über zwei Schritte vollständig ergoogeln!:
Desch, C.E. Jr.: The reproductive anatomy of Demodex folliculorum (Simon). Acarology VI / editors, D.A. Griffiths and C.E. Bowman. Chichester : E. Horwood, 1984. p. 464-469.

Gute Nacht

Sebastian
Ich benutze privat:
Leitz SM-Lux mit (LED-) Durchlicht und Phaco-Ausrüstung (ca. 1975-77)
Hensoldt Wetzlar Stereomikroskop DIAMAL (1950er Jahre)