HISTOCHEMIE: Glykogen, Amylase, PAS Reaktion

Begonnen von Ronald Schulte, Mai 11, 2014, 12:38:08 NACHMITTAGS

Vorheriges Thema - Nächstes Thema

Ronald Schulte

Vergangene Woche habe ich mal versucht um in ein Leber Schnitt Glykogen nach zu weisen und mit das Enzym Amylase wider zu entfernen.
Das ist zwar gelungen nur bleiben wohl was Fragen übrig! (wenn man sich mit nichts bemüht, hat man auch keine fragen; wenn man sich in Fragestellungen einlest, kommen vonselbst noch mehr fragen da)!

Glykogen: Das Glykogen (auch Glycogen, tierische Stärke oder Leberstärke) ist ein verzweigtes Polysaccharid (Vielfachzucker), das aus Glucose-Einheiten aufgebaut ist. Glykogen dient der kurz- bis mittelfristigen Speicherung und Bereitstellung des Energieträgers Glucose im menschlichen und tierischen Organismus. Auch Pilze verwenden diese Form der Energiespeicherung, während Pflanzen Stärke als Kohlenhydratspeicher benutzen. Der Vorgang des Aufbaus von Glykogen wird als Glykogensynthese bezeichnet, der umgekehrte Prozess des Glykogenabbaus als Glykogenolyse.
In Leber- und Muskelzellen wird bei einem Überangebot von Kohlenhydraten Glykogen aufgebaut, dessen Massenanteil in der Leber bis 20% beträgt.


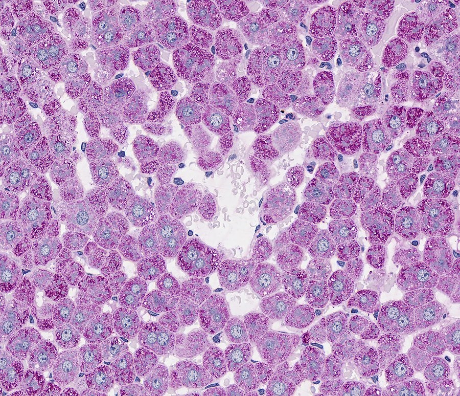
Bild 1 zeigt ein Leber Schnitt wo mit die PAS Reaktion Glykogen nachgewiesen wird.
Glykogen Färbt hier Purper/Rot.

Arbeitslauf (für Technovit Schnitte):

- Perjod-säure 1%, 30min;
- Spulen AD;
- Schiffs Reagenz, 30min;
- Spulen AD;
- Haematoxylin nach Gill, 10min;
- Kurz Spulen AD;
- Blauen in Leitungwasser, 10min;
- Spulen AD;
- Trocknen auf 60 Grad;
- Eindecken.






Bild 2 zeigt von das gleiche Block (einige Schnitte weiter) ein Leber Schnitt wo zuerst den Schnitt mit Speichel Inkubiert wurde. Nachher wurde die gleiche PAS Reaktion durchgeführt um zu sehen ob noch Glykogen nachgewiesen könnte.
Die Inkubierung wurde auf 37 Grad für eine Stunden in ein Feuchten Kammer im Wärmeschrank durch geführt.

Speichel-Amylase (auch α-Amylase 1, Ptyalin) heißen drei Enzym-Isoformen, die vom Menschen im Speichel produziert werden. Es handelt sich um dasjenige Enzym in allen Lebewesen, das Speicher-Kohlenhydrate wie Stärke und Glykogen über die Trennung von 1,4-α-D-Glykosidbindungen in seine Bestandteile zu spalten vermag. Bei vielen Wirbeltieren, so auch beim Menschen beginnt mit der Produktion des Enzyms im Speichel die Kohlenhydratverdauung.





Meine fragen sind natürlich:
Weil noch immer Purper/Rotes Material nach gewiesen wird:
1. habe ich zu kurz Inkubiert und somit ist das ganse Glykogen noch nicht vollständig abgebaut?
2. das Glykogen ist vollständig abgebaut und jetzt bleibt nur noch Material sichtbar was kein Glykogen enthält und können z.B. Lysosomen, Mitochondrien usw sein?


Grüße Ronald
Mikroskope:
Leitz Orthoplan (DL, AL-Fluoreszenz und Diskussionseinrichtung).
Leica/Wild M715 Stereomikroskop.
Mikrotom:
LKB 2218 Historange Rotationsmikrotom.

Heino Lauer

#1
Hallo Ronald,

neben Glykogen ergeben offenbar auch Lipofuszine eine PAS - positive Reaktion. Diese findet man bei manchen älteren Individuen als Abnutzungspigment unter anderem auch in Leberzellen (Bucher 1973). Vielleicht eine Erklärung für die, im Verhältnis zu Bild 1, schwach-positive Reaktion nach dem Speicheltest.

Herzlicher Gruß

Heino


Bucher 1973. Cytologie, Histologie und mikroskopische Anatomie des Menschen. 8. Aufl. Bern: Huber, 26, 89.


Leo van Griensven

Dear Ronald,

Formaldehyde could have fixated the glycogen within the cytoplasmic matrix which consists mostly of protein. As a result the amylase  may not have access to part of the glycogen.
Life of a scientist is hard; many experiments, even when well designed, never work.
Maybe longer amylase incubation would have effect.
Leo