Fluoreszierende Latex Partikel in Makrophagen.

Begonnen von Ronald Schulte, Juli 05, 2014, 16:37:31 NACHMITTAGS

Vorheriges Thema - Nächstes Thema

Ronald Schulte


Ziel,
von mein Experiment: Beweisen das Makrophagen (Phagozyten) in die lage sind um Körperfremde Teile auf zu nehmen.

Bild1,
REM Aufnahme von ein Monozyt.



Einführung,
Monozyten, auch Monocyten (von altgriechisch μόνος monos ,,allein"), sind im Blut zirkulierende Zellen des Immunsystems und die Vorläufer der u. a. in den Geweben lokalisierten Makrophagen sowie eines Teils der Dendritischen Zellen. Ihre Aufgabe ist die Zerstörung körperfremder Strukturen durch Phagozytose und die Aktivierung der erworbenen Immunabwehr mittels Antigenpräsentation. Der wichtigste Speicherort für Monozyten ist die Milz. Die Monozyten gehören sowohl zum spezifischen als auch zum unspezifischen Abwehrsystem. Zirkulierende Monozyten haben eine Lebensdauer von 1 bis 3 Tagen, bevor sie ausdifferenzieren und in die Gewebe einwandern. Dort leben sie als Makrophagen für mehrere Wochen bis Monate weiter.


Makrophage,
Im Knochenmark entwickeln sich Monozyten und wandern in die Blutgefäße, in denen sie im Blutstrom durch den Körper zirkulieren. Kommen sie währenddessen in Kontakt mit Infektionen, sind sie wie neutrophile Granulozyten in der Lage, verstärkt in das betroffene Gewebe einzuwandern. Dort differenzieren sie unter Einfluss von Cytokinen und Erreger-Substanzen in Makrophagen.
Je nach Stimulierung können sie verschiedene Formen annehmen: Einige verkleinern stark ihr Cytoplasma und werden dann Epitheloidzellen genannt, wegen ihrer Ähnlichkeit zu epithelialen Zellen. Aktivierte Makrophagen können auch fusionieren und mehrkernige Riesenzellen bilden, um größere Fremdkörper zwecks Phagozytose zu umschließen. Um ihre Lokalisierung in verschiedenen Geweben zu beschreiben, wurden ihnen spezielle Bezeichnungen gegeben. So heißen sie in der Leber Kupffer-Sternzellen, in der Lunge Alveolarmakrophagen, mehrkernig und im Knochen vorkommend Osteoklasten, im Knorpelgewebe Chondroklasten, im Bindegewebe Histiozyten, im Glaskörper des Auges Hyalozyten und in der Plazenta Hofbauerzellen.

Materialen und Methoden,
Für mein Experiment hatte ich die Verfügung über THP-1 Zellen.
THP1 Zellen sind menschlichen Monozyten, die aus einem Patienten mit akuter monozytären Leukämie abgeleitet werden.
Die lebende Zellen können in ein Zucht leicht vermehrt werden und werden in viele Labors auf die ganze Welt gehalten.
Ich habe ein Holländischen Wissenschaftler bereitgefunden um für mich die Zucht vor zu nehmen (es fehlt mir da einfach an Labor Geräte, Labormateriale- und Finanzielle mitteln um die Stufen durch zu fuhren). Die Zucht ist durchgeführt in Runde (Ø8mm) PE Molds.
Ein Teil von diesen Zucht ist vier Tagen behandelt mit PMA (phorbol 12-myristate 13-acetate). Diesen Stoff regt die Monozyten an um sich zu Makrophagen zu Differenzieren. Die differenzierte Monozyten wurden dann über Nacht Inkubiert mit 1µm große Grün Fluoreszierenden Latex Partikeln.
Diese Latex Partikeln sind in verschiedene Grossen und Farben zu bekommen bei viele Firmen. Einige Beispiele: Sigma-Aldrich , oder Magsphere.
Die Proben wurden danach Gewaschen mit Phosphate buffered saline (PBS) und Fixiert in 4% Formaldehyde. Entwässerung folgte über drei Ethanol stufen (70%, 95% und 100%). Eingebettet wurde in Technovit 7100 und Epon.
Schnitte sind gemacht am `Reichert Jung Utracut E´ Ultramikrotom. Die benötigte Glasmesser sind gebrochen am `LKB 7800 Knifemaker´. Das Glasmesserbrechen ist hier im Forum auch zu beobachten.
Die Schnitte sind auf OT aufgezogen und leicht angefärbt mit Toluidin Blau. Eingedeckt wurde mit Depex (ist nahezu eigenfluoreszenz frei).
Die Fluoreszenz Emission liegt bei 535nm was gut passte bei mein Leitz H2 Filterblock.
An mein Leitz Orthoplan ist eine Auflicht Fluoreszenz Einrichtung (Ploemopack) montiert mit HBO 100w beleuchtung.


Bild 2,
Leitz Orthoplan mit Installierten Ploemopack, HBO100 Beleuchtung und Diskussionseinrichtung.



Bild 3,




Bild 4,
THP-1 Monozyten. Epon Schnitt. Farbung Toluidin Blau. Objektiv Leitz Planapo 40x.




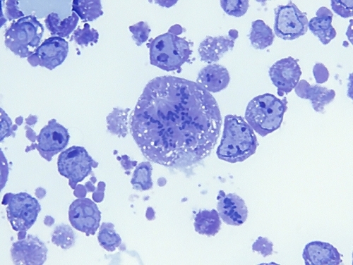
Bild 5,
THP-1 Monozyten. Technovit 7100 Schnitt. Farbung Toluidin Blau. Objektiv Leitz Planapo 63x.
Bemerke die Zellteilungen.




Bild 6,
THP-1 Monozyten. Technovit 7100 Schnitt. Farbung Toluidin Blau. Objektiv Leitz Planapo 63x.
Bemerke die Zellteilungen.




Bild 7,
THP-1 Monozyten. Technovit 7100 Schnitt. Farbung Toluidin Blau. Objektiv Leitz Planapo 63x.
Bemerke die Zellteilungen.




Bild 8,
THP-1 Monozyten. Technovit 7100 Schnitt. Farbung Toluidin Blau. Objektiv Leitz Planapo 63x.
Bemerke die Zellteilungen. Diese Zelle ist dreimal angeschnitten. Nächste Schnitt ist Bild 9.




Bild 9,
THP-1 Monozyten. Technovit 7100 Schnitt. Farbung Toluidin Blau. Objektiv Leitz Planapo 63x.
Bemerke die Zellteilungen. Diese Zelle ist dreimal angeschnitten. Nächste Schnitt ist Bild 10.




Bild 10,
THP-1 Monozyten. Technovit 7100 Schnitt. Farbung Toluidin Blau. Objektiv Leitz Planapo 63x.
Bemerke die Zellteilungen. Diese Zelle ist dreimal angeschnitten.




Bild 11,
Mit PMA differenzierte Makrophagen. Technovit 7100 Schnitt. Farbung Toluidin Blau. Objektiv Leitz Planapo 63x.




Bild 12,
Mit PMA differenzierte Makrophagen. Technovit 7100 Schnitt. Farbung Links Toluidin Blau.




Bild 13,
Mit PMA differenzierte Makrophagen. Technovit 7100 Schnitt. Farbung Links Toluidin Blau.




Bild 14,
Mit PMA differenzierte Makrophagen. Technovit 7100 Schnitt. Objektiv Leitz Planapo 40x.
Die Latex Partikels sind hier gut zu sehen.




Bild 15,
Mit PMA differenzierte Makrophagen. Technovit 7100 Schnitt. Objektiv Leitz Planapo 63x.
Die Latex Partikels sind hier gut zu sehen.



Viel Spaß beim Anschauen, grüße Ronald
Mikroskope:
Leitz Orthoplan (DL, AL-Fluoreszenz und Diskussionseinrichtung).
Leica/Wild M715 Stereomikroskop.
Mikrotom:
LKB 2218 Historange Rotationsmikrotom.

Florian Stellmacher

Lieber Ronald,

vielen Dank für diese tolle und absolut professionelle Arbeit. So etwas hat definitiv Journal-Qualität, und wir können uns sehr freuen, dass Du so eine wunderbare Arbeit "einfach so" in unserem Forum präsentierst!

Herzliche Grüße,
Florian
Vorwiegende Arbeitsmikroskope:
Zeiss Axioskop 2
Olympus BHS (DL, Pol, Multidiskussionseinrichtung)
Zeiss Axiophot (DIK und AL-Fluoreszenz)
Zeiss Axiovert (Fluoreszenz)
Wild M400 Fotomakroskop (DL, DF, AL, Pol)

TPL

#2
Hoi Ronald,

Themen zu "Glibberkram" sind ja sonst nicht so mein Fall, aber was Du da als (auch noch gelungenes) Experiment zeigst, finde ich bewundernswert!
Danke
Thomas

Holger Adelmann

Das ist wieder toll, Ronald,

die Binnenstruktur der Makrophagen kommt sehr gut heraus, sind schon fast Bilder wie vom TEM !!
Für die Beobachtung der Fluoreszenz empfehle ich, den Diskussionstubus abzunehmen (schluckt viel von dem schwachen Fluoreszenz-Licht), dann wird das Bild noch brillanter.

Herzliche Grüsse,
Holger


Ronald Schulte

#4
@Florian,
Ja es wird schon besser aber muss wohl dazu Erzählen das es ohne Hilfe von die Uni von Wageningen (Link zu: prof.dr. Leo van Griensven) nicht gelungen wäre. Die Labor-Geräte und Materialien ist für Privat Gebrauch viel zu aufwendig.
Schön ist das ich die ganze Einbettung usw wohl selber machen könnte.

@Tomas,
Danke aber "Glibberkram" ist das gar nicht. Die Histologische Arbeiten sehen vielleicht was unerreichbar aus aber das ist es gar nicht. Einfach anfangen, Nase Stoßen und wider weiter gehen.

@Holger,
Danke. Die Brücke gebrauche ich beim Fluoreszenz auch nicht aber könnte kein anderes Bild finden wo ich das Ploemopack installiert habe. Auch bin ich sehr zufrieden das ich mich damals entschlossen habe um ein HBO100 zu kaufen. Der macht richtig Dampf! Gerade wenn es wünschlich ist um Auflicht mit durchlicht zu Kombinieren braucht man licht.

Grüße Ronald
Mikroskope:
Leitz Orthoplan (DL, AL-Fluoreszenz und Diskussionseinrichtung).
Leica/Wild M715 Stereomikroskop.
Mikrotom:
LKB 2218 Historange Rotationsmikrotom.

Peter V.

Lieber Ronald,

tolle Arbeit!!!

Viel mehr noch als die Fluoreszenzbilder bewundere ich Deine tadellosen Schnitte! Erstklassig! So etwas findet man in keinem der üblichen Histologie-Atlanten.

Herzliche Grüße
Peter
Dieses Posting ist frei von kultureller Aneigung, vegan und wurde CO2-frei erstellt. Für 100 Posts lasse ich ein Gänseblümchen in Ecuador pflanzen.

Ronald Schulte

@Peter,

Danke für dein Lob. Die Schwierigkeit hier war das nur eine Zellschicht im PE Mold da war die man nicht sehen kann im klaren Kunststoff. Normaleweise sieht man ja sehr gut wo sich das Gewebe befindet, hier war das nicht der Fall.
Dann kam natürlich das Problem das kein Raum war um das Block schön an zu schneiden. Die Zellschicht kam gleich in den ersten Schnitt.
Glücklicherweise hatte ich fünf Blocke um zu Probieren.

Grüße Ronald
Mikroskope:
Leitz Orthoplan (DL, AL-Fluoreszenz und Diskussionseinrichtung).
Leica/Wild M715 Stereomikroskop.
Mikrotom:
LKB 2218 Historange Rotationsmikrotom.

Fahrenheit

Lieber Ronald,

wie immer klasse und gerne mehr davon!

Herzliche Grüße
Jörg
Hier geht's zur Vorstellung: Klick !
Und hier zur Webseite des MKB: Klick !

Arbeitsmikroskop: Leica DMLS
Zum Mitnehmen: Leitz SM
Für draussen: Leitz HM

Jan Dunst

Hallo Ronald,

auch von meiner Seite ein Dankeschön und eine Gratulation zum zeigen dieser Arbeit. Außerordentlich gut.

Ich erinnere mich gerne an Phagozytose-Studien mit Insektenzellen während den frühen Semestern meines Studiums zurück. Glücklicherweise mussten wir da nichts schneiden, ich habe kein Händchen für soetwas. Wir haben uns eines Tricks bedient um dennoch nur die "gefressenen" Partikel oder Bakterien/Hefen zu erkennen. Mit Trypanblau kann man beispielsweise FITC quenchen, da dies jedoch in lebende Zellen nicht eindringt wird nur alles außerhalb der Zelle in der Fluoreszens geändert. Man hat also außen grün und innen orange.

Mittels schneiden hat man aber natürlich den absolut stichfesten Beweis das etwas in der Zelle ist.

Schöne Grüße,
Jan

Ronald Schulte

@Jan,

Danke für dein Lob.  Das schneiden war hier nicht das größte Problem. Das schwierigste war das einbetten von die Einzelzellen. Sicher sind viele verloren gegangen beim Spulen, Technovit wechseln usw aber glücklicherweise sind genug über geblieben.

Grüße Ronald
Mikroskope:
Leitz Orthoplan (DL, AL-Fluoreszenz und Diskussionseinrichtung).
Leica/Wild M715 Stereomikroskop.
Mikrotom:
LKB 2218 Historange Rotationsmikrotom.

Ralf Feller

Hallo Ronald,
das ist ein ausgezeichneter Beitrag, einfach gut!!!
Ich stehe oft vor dem Problem solche Makrophagen / aktivierte Mesothelzellen im Aszites (freie Flüssigkeit im Bauchraum) von Tumorzellen zu unterscheiden. Ich verwende dazu nach Pappenheim gefärbte Ausstriche. Oft ist das sehr schwer. Ich frage mich schon lange ob Deine Semidünnschneidetechnik diagnostisch helfen kann. Bekannt ist mir das nur bei Nierenerkrankungen (Glomerulonephritis). Meine Arbeitsgebiete sind Hämatologie und Mikrobiologie. Ich habe einige wenige Dünnschnitte von Knochenmarkspräparaten gesehen, war beeindruckt, konnte diese Präparate aber aus Mangel an Erfahrung nicht genug deuten. Ich glaube aber das diese Technik viel Potential hat. Der große Nachteil ist nur das die Arbeit so aufwendig ist. Stufenschnitte dauern glaube ich sehr lange.
Danke für Deine Anregungen.

Gruß aus Mülheim-Ruhr, Ralf

Ronald Schulte

Ralf,
Danke für dein Lob. Ja ich denke auch das es für die Pathologie viel zu aufwendig und voral viel zufiel an zeit kostet. Der Patient möchte ja auch mal ein Befund hören und nicht ewig warten. Ich könnte aber mal ein Fixiertes Knochenmark Punktat für dich einbetten und Schneiden. Kein Problem.

Grüsse Ronald
Mikroskope:
Leitz Orthoplan (DL, AL-Fluoreszenz und Diskussionseinrichtung).
Leica/Wild M715 Stereomikroskop.
Mikrotom:
LKB 2218 Historange Rotationsmikrotom.

Rawfoto

Hallo Ronald

Absolut Beeindruckend was Du da geschafft hast, Gratulation ...

Liebe Gruesse

Gerhard
Gerhard
http://www.naturfoto-zimmert.at

Rückmeldung sind willkommen, ich bin jederzeit an Weiterentwicklung interessiert, Vorschläge zur Verbesserungen und Varianten meiner eingestellten Bilder sind daher keinerlei Problem für mich ...

Eckhard

Hallo Ronald,

den Glückwünschen für Deine Arbeit schliesse ich mich vorbehaltlos an. Grandios! Ich finde es wunderbar, dass wir Amateure, mit Enthusiasmus und Ideenreichtum (Spieltrieb) solch wunderbare Einblicke in die Natur liefern.

Herzliche Grüsse aus Berlin,
Eckhard

Zeiss Axioscope.A1 (HF, DF, DIK, Ph, Pol, Epifluoreszenz)
Nikon SE2000U (HF, DIK, Ph)
Olympus SZX 12 (HF, DF, Pol)
Zeiss Sigma (ETSE, InLens SE)

www.wunderkanone.de
www.penard.de
www.flickr.com/wunderkanone