HISTOLOGIE: Die Movat-Pentachromfärbung (Penta=fünffach).

Begonnen von Ronald Schulte, März 24, 2016, 21:50:38 NACHMITTAGS

Vorheriges Thema - Nächstes Thema

Ronald Schulte


Angeregt durch ein Tipp von Peter Voigt zeige ich heute mal ein, für mich wenigstens, unbekannte Farbung: Die MOVAT Farbung.


Theorie von: ,Mikroskopie', Jahrgang 2, Nr. 4/2015, S. 204-208. M. Torzewski

Die Movat-Pentachromfärbung ist eine farbenprächtige Darstellung verschiedener zellulärer und extrazellulärer Gewebskomponenten.

Mit der Einführung polyklonaler und monoklonaler Antikörper zur Detektion spezifischer molekularer Komponenten in Geweben (Immunhistochemie) wurde das Ende der Ära der Dominanz histochemischer Färbemethoden eingeläutet. Dennoch haben histochemische Methoden nach wie vor eine Bedeutung in der Histologie, denn die üblichen bei der Immunhistochemie als Kernfärbungen verwendeten Gegenfärbungen bieten nur einen geringen Kontrast der verschiedenen nicht durch den jeweiligen Antikörper dargestellten Gewebskomponenten. Histochemische Färbungen hingegen erlauben bei Verwendung mehrerer Farbstoffe die gleichzeitige Darstellung vieler verschiedener zellulärer und extrazellulärer Gewebskomponenten. Eine dieser polychromatischen Färbungen ist die ursprünglich im Jahre 1955 von Movat (Henry Zoltan Movat, 1923 – 1995) beschriebene Pentachromfärbung [1], welche von mehreren Anwendern modifiziert [2, 3, 4, 5] und schließlich zu Elbadawi's Hexachromfärbung [6] weiterentwickelt wurde. Sie ermöglicht eine farbenprächtige Unterscheidung der verschiedenen Hart- und Weichgewebskomponenten. Dabei werden saure Glykoproteine (Glykosaminoglykane und Mucine) mit Alcianblau gefärbt, wobei alkalisches Ethanol zur Umwandlung von Alcianblau in ein wasserunlösliches blaugrünes Pigment, welches sich an Schwermetallionen sulfatierter Glykosaminoglykane ablagert, dient. Die Färbung der Zellkerne erfolgt mit Eisenhämatoxylin, diejenige des Zytoplasmas mit Brillant-Crocein-Säurefuchsin, und Safran du Gâtinais schließlich dient u.a. zur Färbung des kollagenen Bindegewebes.




–– Schnitte entparaffinieren;
–– Färben mit Alcianblau (20 min Raumtemperatur);
–– Spülen in Leitungswasser (5 Minuten);
–– Stabilisieren in alkalischem Ethanol (10ml Ammoniak auf 90 ml 96% iges Ethanol,5 Minuten);
–– Spülen in fließendem Leitungswasser (10 Minuten);
–– Eintauchen in Aqua dest.;
–– Kernfärbung in Weigerts Eisenhämatoxylin (10 Minuten);
–– Spülen in Aqua dest.;
–– Wässern in Leitungswasser (15 Minuten);
–– Färben mit Brillant-Crocein-Säurefuchsin (10 Minuten);
–– Kurz spülen in 0,5%iger Essigsäure;
–– Differenzieren in 5%iger Phosphorwolframsäure (20 Minuten);
–– Sorgfältig spülen (unter Schwenken) in 0,5%iger Essigsäure (2 Minuten);
–– Einbringen in 100% iges Ethanol (3 × 5 Minuten);
–– Färben mit Safran du Gâtinais (8 Minuten);
–– Spülen und Entwässern in 100%igem Ethanol (3 × 3 Minuten);
–– Über Xylol einschließen in z.B. Depex


Losungen:

Alcianblau,
1 g Alcianblau  in 1 ml Eisessig und 100 ml Aqua dest. Lösen.


Weigerts Eisenhämatoxylin,
Lösung A: 1 g Hämatoxylin in 100 ml 96%igem Ethanol lösen.
Lösung B: 1,16 g Eisenchlorid (FeCl3 ×6H20) und 1 ml 25%ige Salzsäure in 100 ml Aqua dest. lösen.
Gebrauchslösung: Lösungen A und B 1 : 1 mischen (nicht länger als 8 Tage haltbar).


Brillant Crocein-Säurefuchsin,
Lösung A: 0,1 g Brillant Crocein R in 0,5 ml Eisessig und 99,5 ml Aqua dest. lösen.
Lösung B: 0,1 g Säurefuchsin in 0,5 ml Eisessig und 99,5 ml Aqua dest. lösen.
Gebrauchslösung: 8 Teile Lösung A und 2 Teile Lösung B mischen (mehrere Monate haltbar).


Safran du Gâtinais,
6 g Safran du Gatinais in 100 ml 100%igem Ethanol lösen und vor Gebrauch in luftdicht verschlossener Flasche für 48 Stunden bei 50 °C im Brutschrank extrahieren (unter Luftabschluss haltbar).



Praxis,

Weil die Färbung ziemlich Kompliziert ist und lange dauert ist es sehr wichtig um alles gut zu planen (habe ich genug Glasbecher, Filter, Filterpapier, Pipetten usw). Ich finde es Praktisch um ein Farbe Straße zu bauen so das Mann kein Schritt verpasst. Ich stelle mich auch gerne eine Farbprotokoll Karte her wo ich Notizen machen kann und so meine eigene Farbung geboren wird.
Alle Farbstoffe sollten am Farbetag fertig sein. Das Safran kann am letzten Augenblick aus die warmeschrank geholt werden und Filtriert werden.
Ich hätte den ganzen Sonntag geplant und für acht schnitte war das auch notwendig.
Schon beim Frühstück bin ich angefangen um die Schnitte zu entparaffinieren. Xylen (Handwarm), 2-Propanol 100%, Ethanol 96%, 85%, 70%, 50% Aqua dest.  Ab zehn Uhr war es dann soweit das ich anfangen konnte mit das Alcian Blau. Erstmals zwei Schnitte zum testen von die Farbzeiten (die 20min Alcianblau z.B. ist eigentlich zu wenig. Eine halbe Stunde ist besser). Später nochmals zwei Schnitte und die letzte stufe vier Schnitte auf ein mal. Viel Arbeitsstufen aber es geht und ist es wieder Sonntagabend.

Geschnitten habe ich was Mauser die Bouin Fixiert sind. Ich Fixiere gerne was länger (einige Monate) weil dann das Pikrinsäure und Essigsäure die Knochen Dekalzifizieren. So kann ich auch bis zu acht Tagen alten Mauser gut Einbetten ohne Schneide Schwierigkeiten zu bekommen.

Hier die Resultaten:
Alle Bilder sind hergestellt am machtigen Leitz Orthoplan mit Moticam 2300 Kamera.
Beleuchtung: LED gebaut von Stefan Hiller
Einige Bilder sind Stitch Bilder die mit PS CS2 hergestellt sind.
Alle Bilder sind von acht Tagen alte Mauser.
Oben die Darmen, in die Mitte den Mastdarm und Rektum mit blaue Füllung, unten die Blau/Grüne Wirbel mit Nerven und Gans unten die Haut. 
Stitch von 25 Bilder mit ein Leitz plan fluotar 4x Objektiv.







Rechtsoben ist die Lunge zu erkennen. Gelb sind die Wirbel mit dazwischen viele Nerven. Unten ist Braunes fett und Muskelatur zu sehen.
Stitch von 44 Bilder mit ein Leitz plan fluotar 10x Objektiv.







Ein Detail von das vorige Bild.
1.  Lunge
2.  Nerven Quer rund Langs
3.  Wirbel
4.  Blutzellbildung
5.  Blutgefäß
6.  Muskelzellen







Ein weiteres Detail. Hier wird klar warum es so schwierig ist um in die nahe von die Wirbelsäule zu Operieren ohne Nerven zu beschädigen.







1.  Gehirn
2.  Zentralkanal
3.  Nerven
4.  Blutgefäß
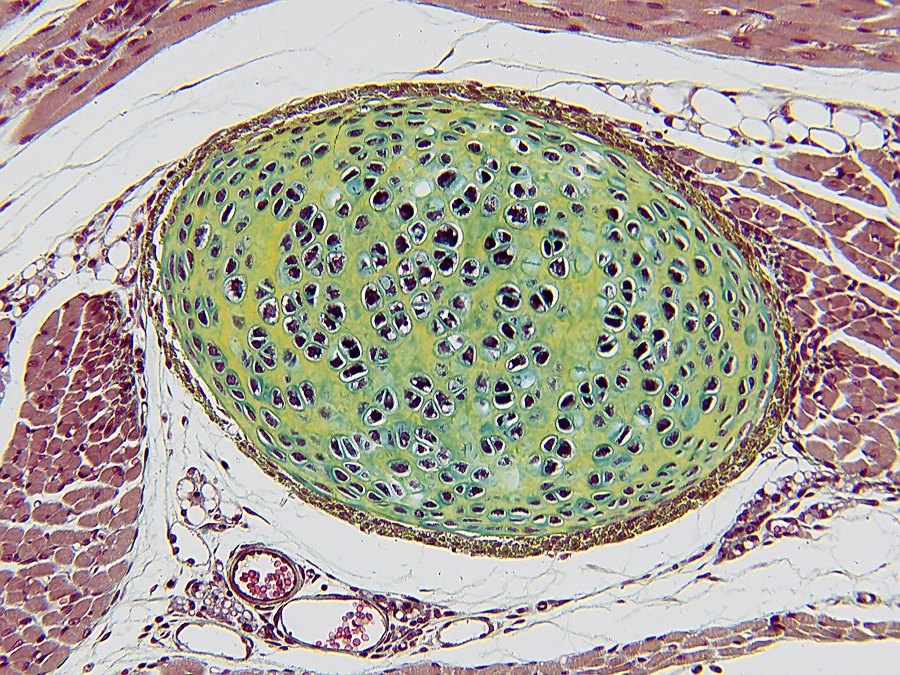
5.  Knorpel (Grün)
6.  Blutzellbildung
7.  Knochen (Gelb)







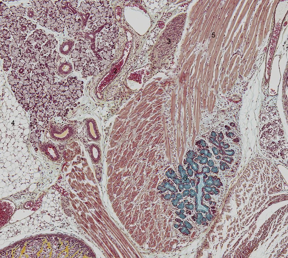
1.  Speicheldrüsen
2.  Blutgefäß
3.  Nerven
4.  Gelbes Fettgewebe
5.  Muskel
6.  Speicheldrüsen
7.  Rippe mit Blutzellbildung (Knochen Gelb)







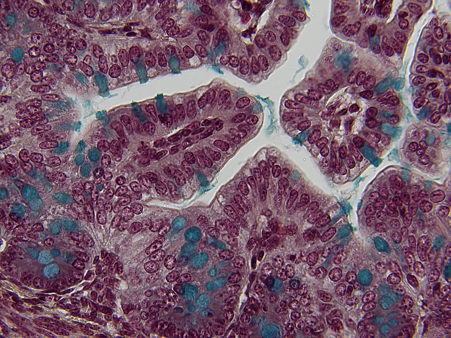
Speicheldrüsen in die Zunge.








Schleimbecherzellen in die Darmen.








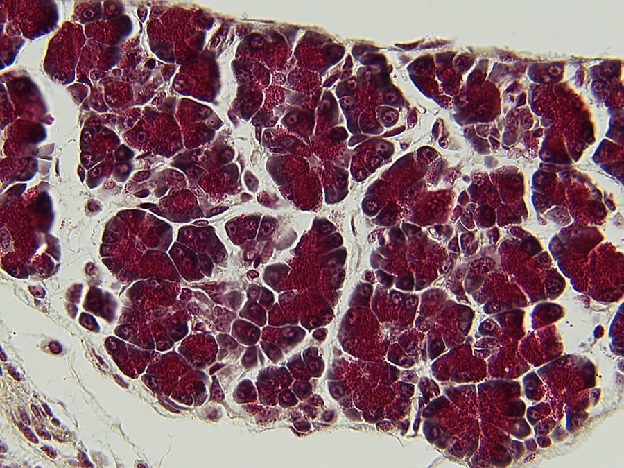
Rotes Zymogenes Granulat in die Pankreas.








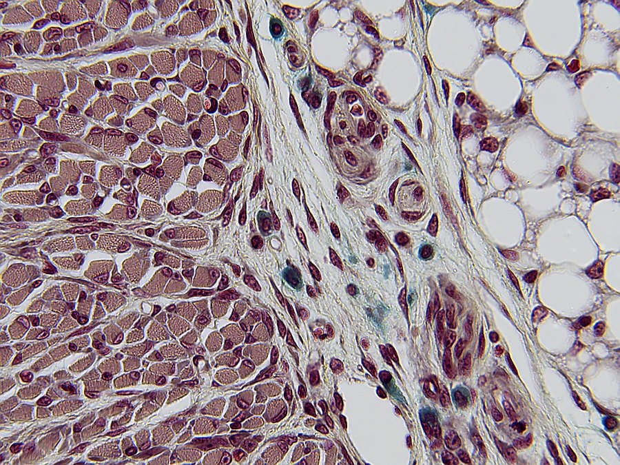
Links Muskelzellen quer geschnitten, rechts Fett mit Mastzellen wovon das Zytoplasma Blau gefärbt wird.








Gleichgewichtsapparat (Ampullae).








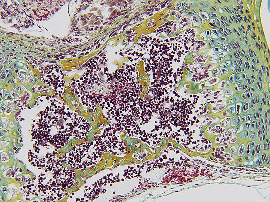
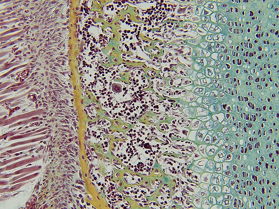
Rechts Knorpel, in die Mitte ist Blutzellbildung zu sehen mit ein grossen Megakaryozyte, Knochen ist Gelb, links Muskulatur.








Zahnbildung.








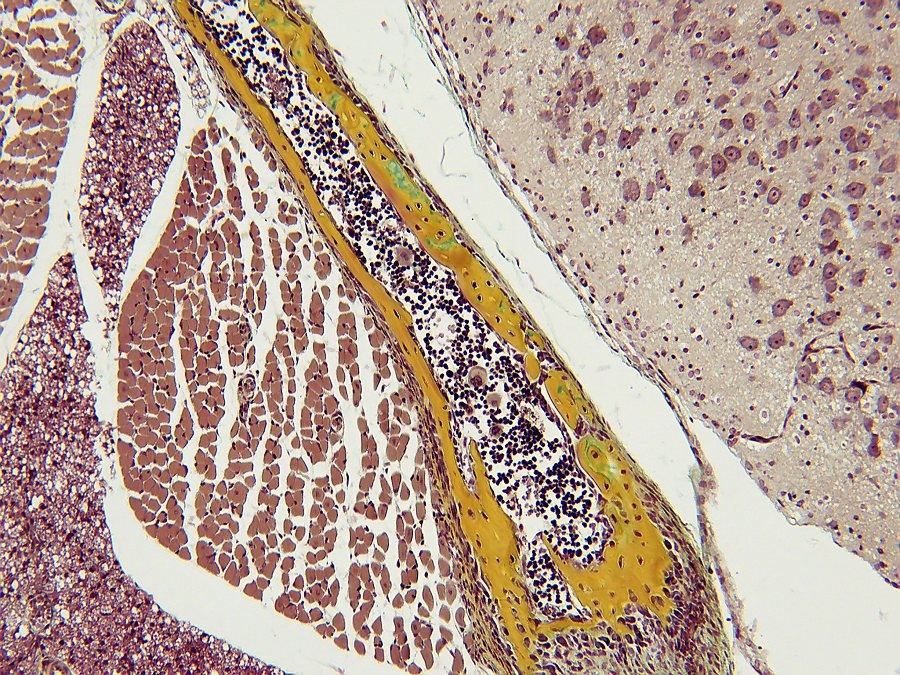
Rechts Gehirn, Knochen ist Gelb mit Blutzellbildung und Megakaryozyten, Links Braunes Fett und Muskel.








Knochen ist Gelb mit Blutzellbildung und Megakaryozyten.








Knochen ist Gelb, Drüsen Blau, Blut Rot.






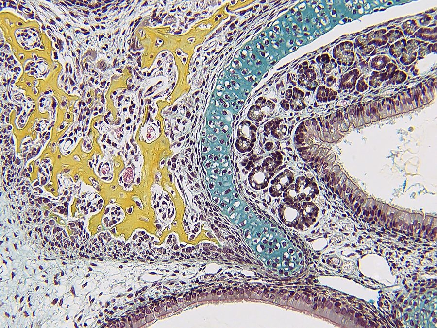
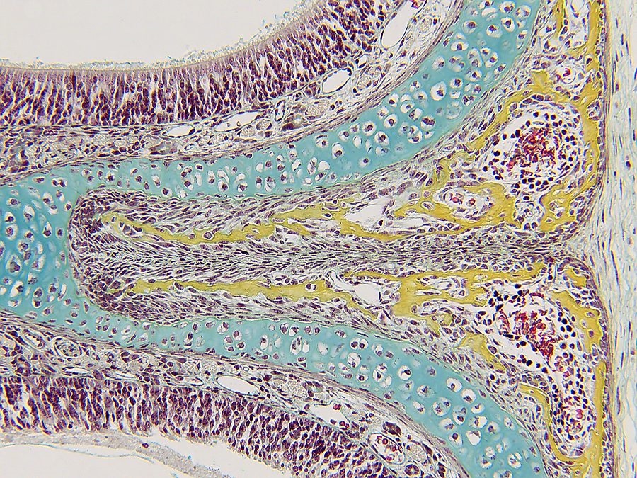
Anfang von die Nasenscheidewand (lateinisch Septum nasi).








Die Nasenscheidewand (lateinisch Septum nasi) mit an beiden Seiten das Riechepithel.








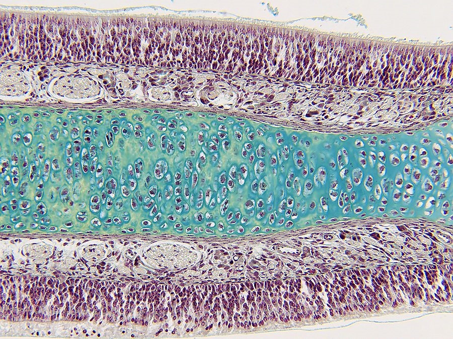
Lungen gewebe mit Cartilagines tracheales (Knorpelringen) und respiratorisches Epithel.








Knochen (Gelb), Knorpel (Grün), Drüsen und respiratorisches Epithel.








Vomeronasales Organ und respiratorisches Epithel.















Drüsen.








Rippe quer.








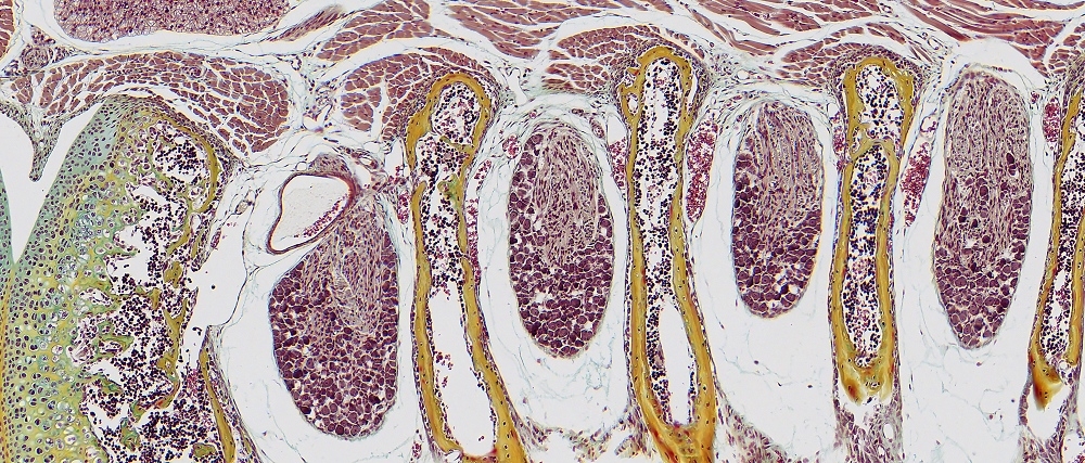
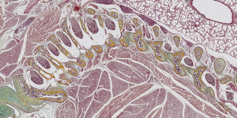
Wirbel mit Blutzellbildung.








Wirbel mit Blutzellbildung.





Viel Spaß beim Anschauen, Gruße Ronald
Mikroskope:
Leitz Orthoplan (DL, AL-Fluoreszenz und Diskussionseinrichtung).
Leica/Wild M715 Stereomikroskop.
Mikrotom:
LKB 2218 Historange Rotationsmikrotom.

Dr. Jekyll

Hallo Ronald,

Super Präparate und tolle Bilder👍

Beste Grüße
Harald
Beste Grüße
Harald

Heiko

Hallo Ronald,

kann nur erahnen, welche Akkuratesse hinter dieser Arbeit steht.

Viele Grüße,
Heiko

Peter V.

Lieber Ronald,

Wahnsinn! Tolle Präparate, tolle Färbung, tolle Aufnahmen! Sicher enorm viel Arbeit, die ja schon mit der Beschaffung der diversen Chemikalien und dem Ansetzen der Lösungen sowie der Planung des diffizieln Arbeitsablaufs anfängt. Aber sie hat sich gelohnt!!!

Herzliche Grüße
Peter
Dieses Posting ist frei von kultureller Aneigung, vegan und wurde CO2-frei erstellt. Für 100 Posts lasse ich ein Gänseblümchen in Ecuador pflanzen.

reblaus

Hallo Ronald -

Peter hat mir das Wort "Wahnsinn" leider schon von den Lippen (bzw. von den Fingern) genommen - bleibt mir nur noch: "IRRE!"

Viele Grüße

Rolf

Peter Reil

Hallo Ronald,

das ist wirklich bewundernswert!
Super, danke für's Zeigen.

Freundliche Grüße
Peter
Meine Arbeitsgeräte: Olympus BHS, BHT, CH2, CHK, Olympus SZ 30, antikes Rotationsmikrotom

koestlfr

Hallo Ronald!

....., ich tu mir schon schwer , neue Superlative zu finden, .....

Einfach umwerfend!

Einzige Anregung, einige Darstellungen schreien nach Panoramen!

Begeisterte Grüße
Franz
Liebe Grüße
Franz

Hans-Jürgen Koch

Plants are the true rulers - Pflanzen sind die wahren Herrscher.

<a href="http://www.mikroskopie-forum.de/index.php?topic=2650.0" target="_blank">Hier geht es zur Vorstellung</a>

Gerne per "Du"

carypt

lieber Ronald ,
Eine beeindruckende Arbeit . Erstaunlich , daß sich die Drüsen (Glucoproteine) so unterscheiden und identifiziert werden können .
Es sind lehrende Bilder , dennoch hoffe ich , daß Tiere spalten Dir nicht allzu viel Spaß macht . Ein leichter Grusel beschleicht mich  :D. Aber das muß wohl so sein .
grüße carypt


Michael L.

Hallo Ronald,

Danke für diese hervorragende Dokumentation mit den beeindruckenden Resultaten!

Gruß,

Michael

Klaus Herrmann

Ronald,

du hast mit diesem Schritt ins "Neuland" wieder mal bewiesen, dass du ein Meister der Histologie bist. Die Färbung ist dezenter, als die brillante Azan-Färbung, bietet aber offensichtlich mehr Differenzierung an.
An dem teuren Safran du Gâtinais, das es bei Chroma nicht mehr gibt, habe ich etwas gerätselt, bis mir klar wurde, dass es der Farbstoffextrakt des echten Saffrans ist, den ich in meine Fischuppe tue. Solltest also unbedingt mal einen Schnitt durch einen Fisch machen! ;)

Als Histo-Laie ist mir die Zunge mit Speicheldrüsen aufgefallen bei der die quergestreifte Muskulatur sehr schön kontrastiert ist.
Mit herzlichen Mikrogrüßen

Klaus


ich ziehe das freundschaftliche "Du" vor! ∞ λ ¼


Vorstellung: hier klicken

Ronald Schulte

#11
@ Alle, danke für euren lob aber so besonders ist es auch wieder nicht. Eigentlich kann ich sagen das jede sowas kann, ich kann es ja auch und bin nichts Besonderes. Man sollte nur Protokolle folgen, viel üben, viel Lesen, Zeit haben und vor allem einfach mal probieren. So habe ich das auch gemacht und war z.B. erstaunt das meine allererste Trichrom Färbung auch wirklich gut gelungen war. Das kam aber nur weil ich das richtige Protokoll folgte und selbstverständlich die richtige Farbstoffe, Ethanole usw nutzte. Fast all meine Farbstoffe stammen von Klaus Herrmann, da fangt es schon an. Farbstoff soll möglichst rein sein. Billiges Haematoxyin gibt es einfach nicht. Wenn man damit Färbt hat man meist schlechte Resultate. Kerne werden nur sparsam oder nicht angefärbt oder man hat viele scheußliche Flecken im Präparat, alles was nicht muss. Auch sollte man Farbstoffe mal erneuern oder auf jeden Fall vor das Farben mal Filtrieren. So hätte ich voriges Jahr mal ein Serie Kunststoff Schnitte wo ich immer wieder feines Schwarzes Granulat dazu bekam. Weil ich meine Farbstoffe immer Filtriere kannte ich dieses Problem eigentlich nur gelegentlich. Die Lösung war; Toluidin neu ansetzen, Filtrieren und weg war das Granulat. Das sind alle Standard Sachen die alle dazu beitragen das ein Färbung gelingt.

@ Peter, danke noch fur dein MOVAT Tipp. Wenn du nochmal was siehst! Gerne mal wieder ein Tipp  :)

@ Franz, meinst du mit Panoramabilder die große Bilder wo den ganzen Schnitt zu sehen ist oder die Zoomify Bilder wo man bis auf Zellebene Zoomen kann?

@ Carypt, bedenke das wenn ich ein Mauswurf Fixiere dann habe ich die ersten Jahre genug Material um meine Schnitte zu machen, also so Schlimm finde ich das gar nicht.

@ Klaus, ja ob die AZAN Farbung die MOVAT überlegen ist weis ich eigentlich nicht. Die MOVAT ist wirklich schön (am Mikroskop selbstverständlich 100 mal schöner wie hier im Bild) aber ein richtig Differenziertes AZAN ist auch nicht Schlecht oder, was ich gerne mache, die Trichrom nach Frank Burr Mallory. Großes Vorteil mit diese MOVAT war das es wohl viel Arbeit ist aber gar nicht Schwierig um durch zu fuhren was bei die AZAN oder Mallory richtig anders ist. Da sind die Differenzierungs Schritte richtig durchschlaggebend.
Ja das Safran Färbt ganz schön Gelb aber weis nicht warum es so teuer ist! Weist du das?

Grusse Ronald
Mikroskope:
Leitz Orthoplan (DL, AL-Fluoreszenz und Diskussionseinrichtung).
Leica/Wild M715 Stereomikroskop.
Mikrotom:
LKB 2218 Historange Rotationsmikrotom.

Klaus Herrmann

#12
Ronald,

ZitatJa das Safran Färbt ganz schön Gelb aber weis nicht warum es so teuer ist! Weist du das?

Ich kann es mir vorstellen, warum es so teuer ist. Es sind die Blütenstaubgefäße vom Krokus. Sie werden einzeln aus der Blüte gezupft und dann getrocknet. Man braucht viele für ein einziges Gramm. Und der Bedarf aus den feinen Küchen ist groß. Deshalb gibt es viel Literatur zur Erkennung der Verfälschungen mit minderwertigem Zeug. Ich habe neulich erst am Bodensee in einem feinen Restaurant gegessen. Ein Fisch an Safran-Samt-Soße. Samt und Soße hat gestimmt, auch die Farbe, aber es war Curcuma, nicht Safran - wie mir der Koch nach intensiver Befragung gestand! ;D
Mit herzlichen Mikrogrüßen

Klaus


ich ziehe das freundschaftliche "Du" vor! ∞ λ ¼


Vorstellung: hier klicken

koestlfr

Hallo Ronald!

Nein, ich meine z.B. die Bilder der Nasenscheidewand; die könnte man zu einem Bild zusammensetzen und dadurch hätten die nicht so versierten Leser eine bessere Übersicht.

Liebe Grüsse
Franz
Liebe Grüße
Franz

Ronald Schulte

@Franz,

Ja ich denke immer zu oft das jede versteht wo sich die Organen befinden. Vielleicht hilft dieses, leider nicht in die Movat Färbung aber diese Färbung nach Frank Burr Mallory ist ja auch nicht schlecht. Auch ein Absolute Laie weist jetzt wo das Nasenscheidewand-Bild gemacht ist.
Vergesse das Zoomify nicht, ist wirklich gut.



Das Nasi Septum ist hier im Bild gut zu erkennen;





Der Schnittstelle meine Maus;





Zur Orientierung ist hier eine übersichtsaufname;
Der Nasebereich liegt oben in die Mitte. Die Zunge ist schön zu sehen, ebenfalls die Zwei Zahnglocken im Unterkiefer.




Übersicht der Nase;

OE  = Olfaktorisches Epithel
KNS = Knorpel Nasi Septum
UZ  = Übergangszone von Nasenschleim haut nach Riechschleimhaut
NS  = Nasenschleim haut
GSD = Gemischte seromuköse Drüsen
OJ  = Organ von Jacobson (Organum vomeronasale). Dieses Organ hat der Mensch nur in die Emryo fase.
Viele Tiere haben es weiterentwickelt und gilt als sehr sensibeles extra riechorgan.
KN  = Knochen oberkiefer
NK  = Nasen Knochen
BB  = Blutgefäße im Bindegewebe
VK  = 'Vomer' Knochen

                     



Auch sehr schön zum anschauen ist das Zoom Bild von die obere Partie.
Klicke auf diesen Link http://zoom.ronaldschulte.nl/mu21_jacobson/TemplateWebPage.htm um das nächste Bild zu aktivieren.





Grusse Ronald
Mikroskope:
Leitz Orthoplan (DL, AL-Fluoreszenz und Diskussionseinrichtung).
Leica/Wild M715 Stereomikroskop.
Mikrotom:
LKB 2218 Historange Rotationsmikrotom.