Hauptmenü

Diopsidae eye bulb

Begonnen von Jürgen H., April 21, 2016, 23:14:37 NACHMITTAGS

Vorheriges Thema - Nächstes Thema

Jürgen H.

Liebe Mitmikroskopiker,

das Augenfälligste bei den Diopsiden sind die Stielaugen. Die ca 2 - 3.000 einzelnen Facettenaugen sitzen auf knollenartigen Gebilden, die über dünne Stiele mit dem Kopf verbunden sind. Denkbar ist, dass diese Eigenart der Augen den Fliegen ein besseres räumliches Sehen ermöglicht.

Die Augen der Männchen stehen weiter vom Kopf ab als die der Weibchen. Es scheint so zu sein, dass Weibchen Männchen mit längeren Augenstielen als Geschlechtspartner bevorzugen, so dass die recht langen Augenstiele  durch  Selektiondruck herausgebildet haben könnten. Andrerseits dürften lange Augenstiele beim Fliegen und bei sonstigen Bewegungen schon recht hinderlich sein :-)

Mit diesem Link https://upload.wikimedia.org/wikipedia/commons/d/da/Teleopsis_dalmanni_2.jpg kommt man an ein nettes Bild, dass ein Stielauge einer Diopside anschaulich zeigt.

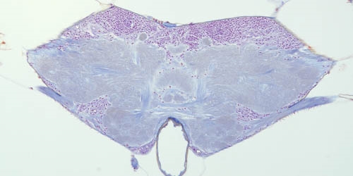
Die folgenden Bilder eines histologischen Schnittes machen weitere Besonderheiten der Stielaugen deutlich:

Der Augenbulbus ist weit umfänglich von einzelnen Ommatidien bedeckt. Die Bulbuskonstruktion ermöglicht dies ohne weiteres. Die Teile des Gehirns, die die optischen Reize verarbeiten, sind weitgehend ausgelagert. Lamina, Medulla und die Lobulateile befinden sich alle im Augenbulbus. Von dort geht ein dicker Nerv durch die Stiele zum Zentralgehirn. Dementsprechend fehlen im Kopf diese bildverabeitenden Gehirnteile.

Die folgenden 4 ersten Photos sind alle vom gleichen Paraffinschnitt ( ca 3 µ) gemacht, die ersten drei mit dem 20er Objektiv, das vierte mit dem 40er aufgenommen. Das letzte Photo stammt von einem Anschnitt unter den Kritallkegeln der Augen und zeigt die Sehstäbchen  hell leuchtend im Querschnitt. Die Färbungen sind unterschiedlich und bei den Bildern angezeigt. Das letzte Photo zeigt das Gehirn im Kopf der Diopside.




Ungefärbter Schnitt: Primärfluoreszenz bei Anregung mit LED 470 nm



Schnitt nach 30 min. Behandlung mit Acridinorange, leicht angesäuert, gleiche Anregung



Schnitt nach Färbung mit Hämatoxylin Ehrlich



Vergrößerter Teil des gleichen Schnitts



Paraffinschnitt, Eosingefärbt, Anregung mit LED 470 nm



Paraffinschnitt Azan

Schöne Grüße

Jürgen

HDD

Lieber Jürgen

Wer weiß wie klein diese Augen sind, kann vor Begeisterung nur den Hut vor diesen Schnittbildern ziehen. Tolle Arbeit, da ist so gut wie nichts gerissen.
Hast Du die Schnitte mit dem Rotationsmikrotom gemacht? Kann man damit die Schnittgeschwindigkeit beeinflussen?
Bringt ein schneller Schnitt oder ein langsamerer Schnitt die besseren Ergebnisse?

Viele Grüße
Horst-Dieter

Jürgen H.

Lieber Horst Dieter,

Danke für Deine Worte.

Der Schnitt ist noch mit meinem schwarzen Leitz Schlittenmikrotom gemacht, das Du kennst. Ich liebe dieses Teil sehr, da ich die Präparatklemme allseits sehr feinfühlig verstellen kann und damit die Schnittebene ziemlich genau ausrichten kann. G a n z langsam kann man damit nicht schneiden, jedenfalls ich nicht, ist auch nicht nötig. Ich ziehe den Schlitten durch und benötige für die gesamte Schlittenbahn gefühlt 1 bis 2 Sekunden.

Schöne Grüße

Jürgen

Oecoprotonucli

Hallo Jürgen,

sehr schöne Bilderserie!

Von mir aus kannst Du die Fotos (oder jedenfalls speziell Nr. 4) gerne noch mal gegen größere austauschen, auf meinem Monitor (ist nur ein Notebook) ist noch Platz...  ;)

Mehr Größe, mehr Details, mehr Genuss...

Viele Grüße

Sebastian
Ich benutze privat:
Leitz SM-Lux mit (LED-) Durchlicht und Phaco-Ausrüstung (ca. 1975-77)
Hensoldt Wetzlar Stereomikroskop DIAMAL (1950er Jahre)

Jürgen H.

Lieber Sebastian,

bitte sehr, etwas mehr Detail, hoffe ich...




Schöne Grüße und schönen Restsonntag allseits

Jürgen

Rawfoto

Hallo Jürgen

Das sind wieder spitzen Ansichten, danke & liebe Grüße

Gerhard

Ps: ich würde mir Bild 1 auch grösser wünschen, das bekommt man nicht alle Tage zu sehen. War das Objekt in Kunststoff eingebettet?
Gerhard
http://www.naturfoto-zimmert.at

Rückmeldung sind willkommen, ich bin jederzeit an Weiterentwicklung interessiert, Vorschläge zur Verbesserungen und Varianten meiner eingestellten Bilder sind daher keinerlei Problem für mich ...

Jürgen H.

Lieber Gerhard,

bitte sehr:



Ein bischen problematisch in dieser Größe aus meiner Sicht: Die Aufnahme ist ohne Deckglas entstanden, da ja noch weitere Verarbeitungen geplant waren.

An sich wollte ich  nur einen neuen Haftgrund vergleichend ausprobieren. Dieser Schnitt hier ist mit Eiweißglycerin festgeklebt. Für einen anderen Schnitt habe ich einen mit Polilysin bestrichenen OT benutzt. In beiden Fällen habe ich  das Haftmaterial mit Wasser verdünnt: Eiweißglycerin etwa 1:4 und Polilysin 1:10 und  das Gemisch wie einen Blutausstrich sorgfältig und möglicht dünn ausgestrichen. Hämatoxylin färbt den Untergrund in beiden Fällen ganz wenig an, Eiweiß etwas stärker an als Polilysin. Die PolilysinOTs haben nur einen gewichtigen Nachteil: Das Wasser verteilt sich darauf nicht fein, sondern verhält sich wie auf einem gefetteten OT: Es zieht sich schnell zu einem größeren Tropfen zusammen. Da ich die Schnitte nicht aus einem Streckbad gefischt habe, sondern den OT mit Wasser beschichtet habe und den Schnitt auf der Wärmeplatte aufgelegt habe, gab es Probleme: Unter dem Schnitt blieb zunächst etwas Wasser stehen, mit unschönen Folgen. Dafür habe ich noch keine Lösung. Vielleicht würde ein Streckbad helfen, aber das will ich nicht benutzen, da ich meine OTs meist mit einer Vielzahl von Schnitten beschicke.

Für mich überraschend haben die Schnitte aber alle die ausgiebige Behandlung mit Acridinorange, danach die Färbung und ein längeres Wasserbad im fließenden Wasserbad halbwegs heil überstanden. Diesen Schnitt hier habe ich sogar nach einem ersten Eindeckeln wieder entdeckelt und danach neu in Depex eingeschlossen.

Schöne Grüße

Jürgen

Oecoprotonucli

Hallo Jürgen,

vielen Dank!

Zu den Beschichtungsfragen kann ich leider nichts sagen - höchstens fragen, für welche Zwecke Polylysin denn sonst so gedacht ist, wenn es eher zu einer ungünstigen Oberfläche führt (oder gilt das nur für Flüssigkeitstropfen?).

Wie weit hast Du eigentlich den Augenstiel längs getroffen? Wenn der über eine gewisse Länge getroffen wäre, oder gar ganz, wäre das doch auch noch ein spektakuläres Foto.

Viele Grüße

Sebastian
Ich benutze privat:
Leitz SM-Lux mit (LED-) Durchlicht und Phaco-Ausrüstung (ca. 1975-77)
Hensoldt Wetzlar Stereomikroskop DIAMAL (1950er Jahre)

Ronald Schulte

Jürgen,

Ein sehr schönes Block hast du da angeschnitten. Aufmerksam finde ich das ich keine Splitter und oder Risse sehe und ich weis dass das nicht so einfach ist, Hut ab!
Auch sehr aufmerksam finde ich das eigentlich zwei Gehirne benötigt werden um ein Bild zu bekommen. Ware toll um mal sehen zu können was das Insekt in Wirklichkeit sieht.

Bist du noch mit das Technovit weiter gekommen oder bist du damit aufgehört?

Grusse Ronald
Mikroskope:
Leitz Orthoplan (DL, AL-Fluoreszenz und Diskussionseinrichtung).
Leica/Wild M715 Stereomikroskop.
Mikrotom:
LKB 2218 Historange Rotationsmikrotom.

Jürgen H.

Hallo Sebastian,

Polylysin dient wohl vor allem zum Aufkleben von Zellsuspensionen,  wird aber auch als Haftmittel für Schnitte beschrieben. Vielleicht mach ich ja auch irgendetwas falsch.

Den Stiel habe ich noch nicht getroffen, weiß aber, dass darin sowohl der Antennennerv als auch der Sehnerv laufen. Die Antenne sitzt nämlich gleichfalls auf dem Stiel, nahe beim Augenbulbus. Ganz interessant ist, dass die Diopsiden beim Schlüpfen aus der Puppe die langen Augenstiele erst vom Kopf wegdrücken, entwickeln müssen. So könnte es sein, dass das Männchen mit den längsten Augenstielen sich deshalb als das Fitteste in den Augen der Weibchen erweist, sozusagen als ein Fliegen"muskel"protz.

Lieber Ronald,

bei den Diopsiden sieht man in der Tat besonders deutlich, dass die optischen Loben (Gehirnteile), die die Insekten zur Verarbeitung der optischen Signale benötigen,  paarig angelegt sind. Die Sehreize werden immer zunächst getrennt verarbeitet, bevor der gemeinsamen zentralen Steuerung zugeführt werden. Die in den Loben erzeugten "Bilder" können dann dort wohl miteinander verglichen werden.

Technovit hat so seine Tücken bei den Insekten. Es haftet jedenfalls nicht am Chitin. Das führt dazu, dass es sich spätestens beim Schneiden von allen chitinösen Teilen ablöst. Keine Ahnung, warum das so ist.....

Schwierig ist es daher, so einen Schnitt vernünftig zu strecken. Sobald man aber innere Organe der Insekten extrahiert und diese gesondert einbettet - Du hast das mal mit einem Heuschreckenhoden gemacht, ich mit einem Zikadenhoden - kann dieses Problem nicht auftreten. Allerdings ist es nicht einfach, kleine Viecherls sauber zu zerlegen.

Schöne Grüße

Jürgen


Ralf Feller

Lieber Jürgen,
Kompliment zu deiner Arbeit!!!
Was verwendest Du zum fixieren und was als Intermedium?
Deine Aussage zum Technovit finde ich interessant, aber Du zeigst uns ja, das es auch ohne Plastik geht.

Gruß, Ralf

Holger Adelmann

Eine tolle Arbeit lieber Jürgen, mein Kompliment.
Keine Risse oder Schrumpfungen - toll fixiert, entwässert, und geschnitten.
So schön habe ich Insektengewebe noch nie gesehen

Bezgl. Kunststoffeinbettung wäre vielleicht noch Epon eine Option?

Viele Grüße,
Holger

Jürgen H.

Lieber Ralf,

zum Fixieren verwende ich eine alkoholische Lösung nach Duboscq Brasil: http://[url]http://stainsfile.info/StainsFile/prepare/fix/fixatives/dubosq-brasil.htm[/url]. Die weitere Präparation richtet sich im Wesentlichen nach Peterfi (Entwässerung über alkoholische Stufen, 1% ige Lösung von Celloidin in Methylbenzoat, Xylol, Paraffin). Machst Du noch Insektenhistologie?

Was die Ursache für das Misslingen der Einbettung in Technovit eingeht bin ich ratlos. Chemiker wüssten da vielleicht weiter, ob doch irgendwelche Reaktionen zwischen dem Glycolmethacrylat und dem Chitin , einem Polysaccharid,  denkbar sind. Sehe ich das Insektenteil im Technovitblock, erscheint da regelmäßig etwas wie ein silbriges Häutchen um das Chitin. Offensichtlich löst sich der Kunststoff schon während der Polymerisation vom Insekt. Dementsprechend fällt der Teil des Schnittes mit dem Insekt beim Schneidevorgang auch wenigstens teilweise leicht aus dem Block heraus. Die Chitinhülle schlägt außerdem beim Strecken schnell nach innen um, weil sich das Innere des Insekts im Schnitt mehr ausdehnt als der äußere Chitinpanzer.

Lieber Holger,

Denkbar, dass Epon eine Alternative wäre. Vielleicht auch Spurr oder ein Gemisch aus Butyl- und Methylacrylat. Alle Kunststoffe haben allerdings glaube ich den Nachteil eines nicht unerheblichen Aufwandes -ich mache das ja nun als Hobby - und bieten nur ein eingeschränktes Spektrum an Färbemöglichkeiten. Vielleicht später einmal....

Danke für eure Worte und schöne Grüße

Jürgen

Ralf Feller

Lieber Jürgen,
danke für die Info, neu für mich ist die Pirkrinsäure im Fixativ und das Celloidin im Paraffineinschluss.
Zuletzt hatte ich mit tert. Butanol experimentiert, was auch nicht schlecht war. Bringen Celloidin und Methylbenzoat große Vorteile? Leider lebe ich seit einigen Jahren in einer arbeitsverdichteten Welt, und so komme ich nur sehr selten zur Histologie. Deine Arbeit finde ich klasse. Wenn ich nach Insektenhistologie im Netz suche, stoße ich eigentlich immer auf Dich, und mit guten Bildern eben nur auf Dich.

viele Grüße, Ralf

Jürgen H.

Lieber Ralf,

was das Fixativ angeht: Ich schwöre zumindest auf alkoholische Fixative. Die Insekten sind in der Histologie ein ausgesprochener Spezialfall. Nicht nur verhindert das Exoskelett ein Eindringen von Flüssigkeiten. Sondern auch innerhalb des Körpers gibt es verschiedene gut abgedichtete Räume, z.B. Luftsäcke und Tracheen. Die Pikrinsäure fördert das Eindringen anscheinend zusätzlich. In jedem Fall aber ist sie für manche Färbungen nützlich, z.B. Azan. Die Mischung von Duboscq Brasil wird an einigen Stellen in der Literatur für Insekten empfohlen und nach meinen eigenen verhältnismäßig geringen Erfahrungen ist sie tatsächlich nützlich. Mindestens ebenso wichtig scheint mir eine vollständige Entwässerung zu sein und das Schaffen von Eintrittspforten. So bette ich z.B. grundsätzlich nur einzelnen Tagmata ein.

Du fragst ob die Celloidin/Methylbenzoat Mischung hilft. Peterfi schreibt als Begründung für seine Methode, das das Celloidin im Benzolbad, das er verwendet, gallertartig wird und so Schrumpfungen der Innereien vermieden werden, die sonst zu einem Zerreissen führen würden. http://www.forgottenbooks.com/readbook_text/Zeitschrift_fur_Wissenschaftliche_Mikroskopie_und_Mikroskopische_1100147641/361 Weiterhin gibt es in der Botanik die Empfehlung z.B. bei Lehman/Braune, Methylbenzoat als Intermedium zu verwenden, weil es letzte Wasserreste aufnimmt und entfernt. Denkbar erscheint mir ferner, dass das Methylbenzoat im folgenden Xylolbad nicht vollständig entfernt wird und auch nicht so flüchtig ist wie Xylol. Wenn aber Xylol schneller verdunstet als das höhermolekulare Paraffin nachdringen kann, gibt es unvermeidlich Schrumpfungen und/oder Lücken im Block. Andrerseits löst sich Paraffin nicht sehr gut in Methylbenzoat.  Es bedürfte einer längeren Versuchsreihe, für welche Dauer man das Xylolbad am besten verwendet.

Möglichst junge Insekten zu verwenden ist ein Tipp, den ich von Herrn Renz erhalten hatte.

Keineswegs gelingen mir mit der dargestellten Methode alle Blöcke. Im Gegenteil. Aber manchmal werden sie so doch sehr schön.

Schöne Grüße

Jürgen