Hauptmenü

Kaulquappe (Histologie)

Begonnen von Ralf Feller, April 02, 2018, 19:37:19 NACHMITTAGS

Vorheriges Thema - Nächstes Thema

Ralf Feller

Liebe Kollegen,
seit Jahren steht in meinem Keller ein Glas mit Kaulquappen unterschiedlicher Entwicklungsstadien die aus einer alten Schulsammlung stammen. Ich denke sie liegen in 70% Ethanol und sind wohl nicht für die Histologie fixiert worden, sonst hätte man sie wohl aufgeschnitten um eine bessere Fixierung zu ermöglichen. Meine Erwartungen an den Erhaltungszustand waren daher gering. Weil ich aber gerade mit Technovit 7100 arbeite und noch eine Einbettmulde frei war, habe ich mein Glück versucht. Wegen der geringen Erwartungen habe ich nur das thorakale Segment der etwa 3cm langen Froschlarve in Technovit gegossen und dann 2µ-Schnitte am Supercut 2050 angefertigt. Gefärbt wurde mit Borax/Toluidinblau.

Die Übersicht ließ mich schon staunen, der Erhaltungszustand war besser als erwartet, dennoch sind einige Bereiche so schlecht fixiert, das ich mir keine Aussage zu den Organen zutraue. Auch sind meine Kenntnisse der Anatomie in diesem Bereich begrenzt und ich freue mich über Anmerkungen und Korrekturen von Kollegen die hier versierter sind.

In der Übersicht sieht man die Wirbelsäule aus Chorda dorsalis mit den angrenzenden Knorpelspangen die später verknöchern. Umschlossen wird das Neuralrohr als frühes Rückenmark. Seitlich angrenzend finden sich kräftige Muskelpakete.
Bauchwärts darunter befindet sich ein Hohlorgan mit sternförmigem Lumen, das ich am ehesten für den frühen Pharynx/Ösophagus halte.
Auf der linken Seite das angeschnittene Darmsystem, das wohl auch teile des Magens enthält.
Auf der rechten Seite ein Paket aus sehr schlecht erhaltenem Gewebe, am ehesten wohl Leber, Lunge und Pancreas.
Weiter schwanzwärts (nicht auf dieser Übersicht) habe ich noch Herz und innere Kiemen gefunden.

Abb.1 Übersicht (Stitch aus 20 Bildern mit Autostitch, Objektiv 4x)


Abb.2 Vergrößerung der WS-Region


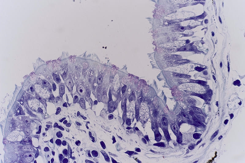
Abb.3 zeigt einen Schnitt durch die der WS anliegende Haut. Man erkennt ein zweischichtiges Epithel und eine lockere Subcutis die einem Knorpel aufliegt.
Bemerkenswert sind die zahlreichen Pigmentkörner, die sich auch in anderen Organen wie dem Nervensystem zahlreich finden.

Abb.3 : Haut


Abb.4  zeigt eine Vergrößerung mit dem 63x Objektiv des Hohlorgans, das ich nach Vergleichszeichnungen als Pharynx/Ösophagus bezeichnet habe. Interessant ist der Cilienbesatz, der z.B für Rana temporaria (Grasfrosch) beschrieben wurde, nicht aber für Xenopus (Krallenfrosch) (Fox 1970). Hier finden sich auch zahlreiche Becherzellen.

Abb.4


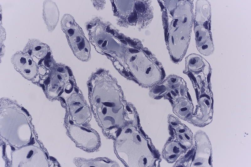
Abb.5 zeigt eine Vergrößerung des einschichtigen Darmepithels, wobei der Microvillisaum der Enterozyten gut sichtbar ist.

Abb.5 Darm


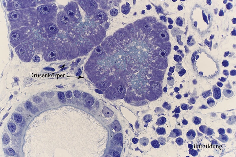
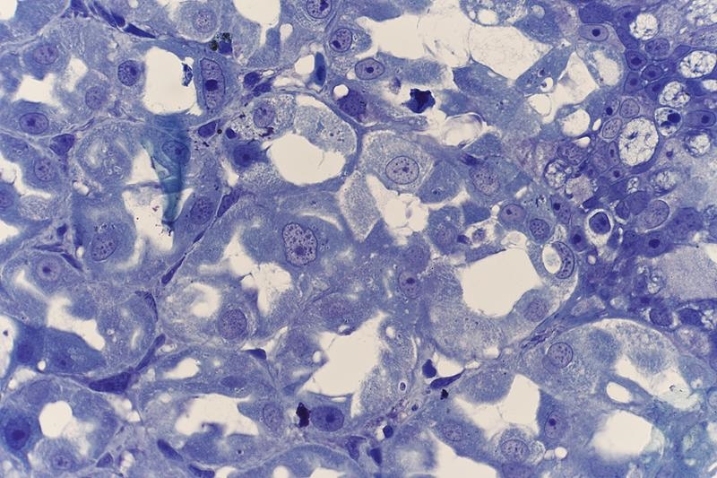
Abb.6 zeigt den Mittelteil des Organpaketes das ich in der Übersicht von Abb.1 als ,,Organentwicklung" bezeichnet habe. Zu sehen ist ein Drüsenkörper mit Sekretgranula, den ich nach seiner Lage für das Pancreas halte. Darunter ein Hohlorgan mit Cilien, eventuell der Ausführungsgang der Drüse. Rechts daneben finden sich Zellen der Blutbildung, was auf eine Nähe zur frühen Leber hinweist.

Abb.6


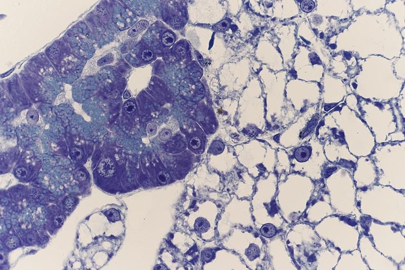
Abb.7 zeigt das links an die Drüse angrenzende Gewebe das sehr schlecht erhalten ist.Möglicherweise handelt es sich um frühe Teile der Lunge.

Abb.7


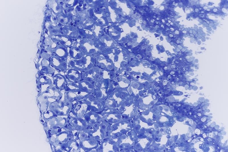
Abb.8 zeigt das Gewebe rechts der Drüse, möglicherweise Leber?

Abb.8


Abb.9 zeigt das Herz welches sich erst in Folgeschnitten schwanzwerts zeigt. Besonders Abb.10 zeigt die dreidimensionale Vernetzung der Muskelzellen und auf den Bildern angedeutet auch die Querstreifung.

Abb. 9 Herz


Abb.10 Herz


In Abb.11 ist schließlich ein dünnes Kapillarwerk zu sehen welches mit den kernhaltigen Erythrozyten der Amphibien gefüllt ist. Ich denke es handelt sich um die im laufe der Entwicklung nach innen verlagerten Kiemen.

Abb.11


Kommentare sind willkommen, wir wollen ja etwas lernen!

Ich wünsche euch allen ein schönes Restostern,
Gruß aus Mülheim, Ralf


Jürgen H.

Lieber Ralf,

wie schön, dass Deine Einbettung und Deine Schnitte trotz der mangelhaften Fixierung so gut geklappt hat. Wunderschön klare Bilder zeigst Du! Ich bin richtig ein wenig neidisch, dass die Technoviteinbettung bei Dir auf Anhieb so gut gelingt, bei der Einbettung von Insekten geht das leider jedenfalls bei mir nicht ohne Probleme. Im Einzelnen muss ich mich noch in die Histologie einsehen, hätte aber diesen Link aus dem Internet für Dich:

https://embryology.med.unsw.edu.au/embryology/index.php/Book_-_The_Frog_Its_Reproduction_and_Development_11

Vielleicht kennst Du ihn noch nicht, ich denke, er könnte bei der Identifizierung der Organe hilfreich sein.

Schöne Grüße

Jürgen

Bernhard Lebeda

Lieber Ralf

beeindruckend was hier histologisch so zu sehen ist! An einer Kaulquappe hatte ich mich auch mal versucht, war aber eher nicht vorzeigbar.

Viele Mikrogrüße

Bernhard
Ich bevorzuge das "DU"

Vorstellung

Dünnschliffbohrer

Hallo Ralf,
sehr schöne Schnitte. Ich habe jetzt zwar noch nicht das Bücherregal bemüht, aber rate mal so ins Toluidinblaue:
Könnte es sich bei dem Hohlorgan auf Bild 1 ganz rechts, etwas stärker angefärbt, vieleicht um die Nierenanlage handeln? Entstehen die nicht im Bereich der Seitenplatten, und reichen zunächst sehr weit nach kranial?

Und auf Bild drei dürfte der Knorpel um die Chorda sicherlich den Anlagen der Wirbelkörper entsprechen, und die damit +/- in Verbindung stehenden Knorpel den  Rippen, und die beiden symmetrisch-dorsal und recht oberflächlich gelegenen Knorpelanschnitte der Anlage des Schultergürtels?

Die Mikrovilli des Darmepithels sind eindrucksvoll, in dieser Klarheit habe ich das noch nie gesehen!

Wegen der unklaren Lagebeziehungen der Organe zueinander auf den übrigen Schnitten, und natürlich der fehlenden histologischen Erfahrung, getraue ich mich nicht weiter zu raten ...
"Und Gott sprach: Es ist nicht gut, daß der Mensch allein sei; und er schuf um ihn Laubmoose und Lebermoose und Flechten und ein Mikroskop!"
[aus: Kleeberg, Bernhard (2005): Theophysis, Ernst Haeckels Philosophie des Naturganzen,  S. 90]

Ralf Feller

Liebe Kollegen,

@ Jürgen,
lieber Jürgen, danke, aber die Technoviteinbettung ist nicht auf Anhieb so gut gelungen. Ich musste die ganzen Weihnachtstage üben und mein Versuch der Vogelanatomie näher zu kommen ist aufgrund mangelnder Fixierung auch nicht gelungen. Danke auch für den Link, den kannte ich nun schon, denn dieses Buch von 1950 mit 321 Seiten ist das einzige vernünftige Werk das ich im Netz gefunden habe, was mir weiter geholfen hat. Ich habe aber nur Zeit gefunden einige Kapitel anzulesen. Das Buch kann man als pdf komplett herunterladen. Ich hatte keine Zeit in die Uni-Bibliothek zu fahren und hoffe daher auf gute Ideen aus dem Kreis der Kollegen.

@Bernhard,
lieber Bernhard, das mit der Histologie ist gar nicht so schwer. Es braucht nur etwas Übung. Im Frühjahr und Sommer gehe ich auch gerne zum Tümpeln, besonders in den Botanischen Garten der Ruhr-Uni. Für die Wintermonate ist die Histologie aber eine tolle Beschäftigung. Es ist wie beim Kochen mit Kräutern aus dem eigenen Garten und Fleisch vom heimischen Bauern. Man macht manchmal tagelang etwas und am Ende schmeckt es toll oder geht in den Müll.

@Dünnschliffborer,
danke besonders für die Idee mit der Niere. Ich erinnere mich von der ,,Kopfniere"gelesen zu haben. Meine Literatur in Zoologie reicht aber nur bis zur allgemeinen Zoologie, und so konnte ich wenig nachlesen. Ich habe mir das Organ aber noch einmal angesehen und glaube tubulusartige Strukturen zu sehen, aber keine Glomeruli. Ich würde mich freuen wenn Du noch etwas in deinem Bücherregal finden würdest.

Abb. 12

Abb. 13

Abb. 14


viele Grüße, Ralf

hebi19

Zitat von: Ralf Feller in April 04, 2018, 19:06:58 NACHMITTAGS
Das Buch kann man als pdf komplett herunterladen.

Hallo Ralf

Jetzt habe ich schon den Abend lang mit dem angegebenen link fasziniert durch die Kapitel geblättert.
Ich habe aber den Button zum download des ganzen Buchs als pdf nicht gefunden.

Kannst Du mir da auf die Sprünge helfen?

Grüße
Martin
Grüße von
Martin alias hebi19

Motic BA-300, div Lomo, Stereo-Mikroskop noname

Ralf Feller

Hallo Martin,
leider finde ich die Seite für den Download gerade nicht mehr.
Ich kann Dir aber sagen wie ich dahin gekommen bin.
1. Suche auf englisch nach tadpole
2. den link von Jürgen gefunden
3. Buchtitel: The Frog Its Reproduction and Development in Google suchen

Du findest auf jeden Fall das Buch online, ich weiß nur nicht mehr wie ich es herunter geladen habe.

Wenn Du mir Deine email schickst kann ich es Dir auch mailen.
Es lohnt sich es zu lesen.

Viele Grüße, Ralf

hebi19

Grüße von
Martin alias hebi19

Motic BA-300, div Lomo, Stereo-Mikroskop noname

Ronald Schulte

Ralf,

Sehr beeindruckende Schnitte und mir wird schnell klar das du die Technovit Einbettung schon besser im Griff bekommst. So sollte es auch sein.
An Organ Bestimmung wage ich mit eine Kaulquappe nicht gerne. Den ,Pankreas' aber interessiert mich. Da musste man aber mehr lesen und Schneiden um deutliche Strukturen zu erkennen.
Das Pigment im Haut ist gut zu verstehen und haben viele Tiere aber auch kenne ich Pigment im Gehirn, z.B. im Locus coeruleus (ein Gebiet im Hirnstamm). Siehe: http://www.mikroskopie-forum.de/index.php?topic=13715.msg104414#msg104414

Mit welche Messer schneidest du hier? Die ,C' Schliff von Kulzer?
Davon wurde ich gerne was mehr erfahren weil es mir ja nicht gelingt um damit gute Schnitte zu machen. Ich möchte gerne wissen was die Ursache sein könnte. Auch frage ich darum weil ich noch ein weiteren Histologe Beraten muss womit sich das Technovit gut schneiden lässt anders dann mit Glasmesser.

Gruße Ronald
Mikroskope:
Leitz Orthoplan (DL, AL-Fluoreszenz und Diskussionseinrichtung).
Leica/Wild M715 Stereomikroskop.
Mikrotom:
LKB 2218 Historange Rotationsmikrotom.

Dünnschliffbohrer

Hallo Ralf,

leider hat der schnelle Griff ins Bücherregal bisher nicht eshr viel erbracht:
1) Hier sind nur zwei Schnitte durch die Kopfregion einer Kaulquappe.
2) und hier steht viel allgemeines gut verständlich geschrieben aber nur mit recht wenigen Strichzeichnungen illustriert, der Autor geht aber kurz auf Kaulquappen und die bei denen +/- persitierende Kopfniere ein.
3) Den hier finde ich z.Zt. nicht, so dass am Ende sicherlich der Verweis von Martin (Hebi19) am ehesten hilfreich sein dürfte...
Insgesamt erscheint es mir - auch nach dem Überfliegen der kaum bebilderten Ausführungen im "Romer" - am wahrscheinlichsten, dass es sich bei dem fraglichen Organ a.e. um die Nierenanlage handelt.
"Und Gott sprach: Es ist nicht gut, daß der Mensch allein sei; und er schuf um ihn Laubmoose und Lebermoose und Flechten und ein Mikroskop!"
[aus: Kleeberg, Bernhard (2005): Theophysis, Ernst Haeckels Philosophie des Naturganzen,  S. 90]

Ralf Feller

Hallo Dünnschliffboher,
danke fürs Nachschauen,
das erst genannte Werk habe ich auch, aber ich habe auch sonst immer nur Schnitte durch die Kopfregion gefunden,
auch hier im Forum. Ich werde bei Gelegenheit wenn ich zum Tümpeln nach Bochum fahre mal in die UB gehen.

Gruß Ralf