Histologie: Chaetodiopsis m. Abdomen horizontal

Begonnen von Jürgen H., April 12, 2018, 22:42:31 NACHMITTAGS

Vorheriges Thema - Nächstes Thema

Jürgen H.

Liebe Mitmikroskopiker,



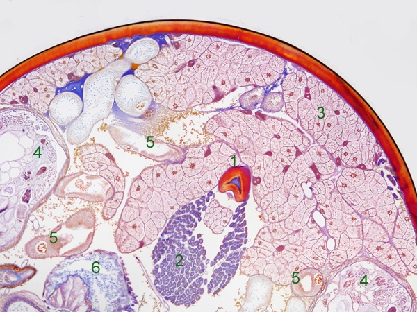
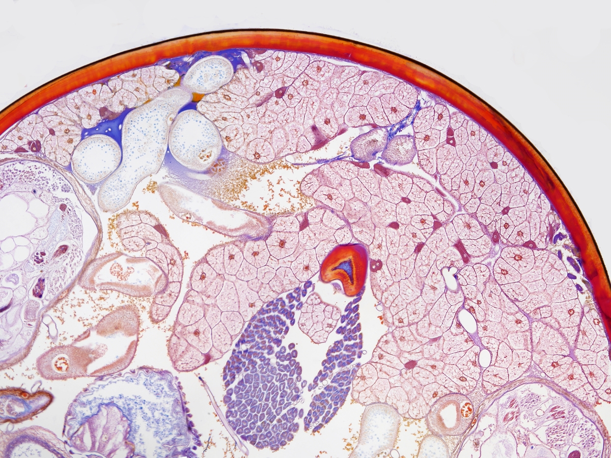
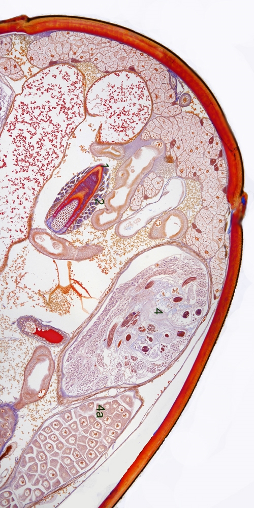
Chaetodiopsis meigenii, Abdomen Horizontalschnitt, 3 µ, Einbettung über Paraffin, Färbung Mallory 1900, Stitch von 5 Bildern mit Photomerge. Hoden, akzessorische Drüsen, Fettkörper, Malphigische Gefässe und zentral ein Apodem? mit Muskulatur.

Nachdem ich mühsam um das Objekt herumgestempelt habe um einen blöden Helligkeitsgradienten wegzubekommen: Kann ich mit Photoshop Elements 12 auch im Wege der Subtraktion den Gradienten wegbekommen und gegebenenfalls wie?

Schöne Grüße

Jürgen

anne

Hallo Jürgen,

fachlich kann ich nichst dazu sagen aber das Bild ist wunderbar!
Sehr eidnrucksvolle Färbung.

lg
anne

Ralf Feller

Lieber Jürgen,
das Bild haut mich um, klasse!

Erlaubst Du bitte eine Frage?
Der Hoden ist doch der im Bild zentrale blaue Teil?,
und was liegt (orange) darüber?
Das Apodem findet sich dann in den Randbereichen deines Photos?

Zum Stitchen kenne ich nur Autostitch,
ist Photomerge besser?

viele Grüße aus Mülheim, Ralf

Bernhard Lebeda

Zitat von: Jürgen H. in April 12, 2018, 22:42:31 NACHMITTAGS

Nachdem ich mühsam um das Objekt herumgestempelt habe um einen blöden Helligkeitsgradienten wegzubekommen: Kann ich mit Photoshop Elements 12 auch im Wege der Subtraktion den Gradienten wegbekommen und gegebenenfalls wie?


Hallo Jürgen

das konnte ich mal, hab es aber vergessen, da ich dafür immer Fitswork benutze. Das ist ein Freeware Programm aus der Astronomieecke. Da gibt es eine wunderbare "Hintergrund ebnen" Funktion.

Ein Megabild!!


Viele Mikrogrüße

Bernhard
Ich bevorzuge das "DU"

Vorstellung

koestlfr

Hallo Jürgen!

Tolles Bild! Bitte nicht verschlimmbessern ...
Liebe Grüße
Franz

Dr. Jekyll

Hallo Jürgen,

Super! Hier zeigt sich mal wieder dass histologische Bilder aus dem zoologischen Bereich, in Bezug auf Ästhetik, mit botanischen Präparaten gut mithalten können.
Beste Grüße
Harald

Jürgen H.

Hallo Anne, Bernhard, Franz, Harald und Ralf, danke für eure anerkennenenden Worte!

Und Dir lieber Bernhard, danke für den  Fitsworktipp. Ich werde es ausprobieren.

Lieber Ralf, die Panoramabildfunktion von Photoshop Elements macht seine Arbeit bei wenigen Bildern! ganz gut, autostitch ist sicher bei einer Vielzahl von Kacheln vorzugswürdig.

Im etwas verkleinerten Bild unten habe ich ein paar Ziffern zur Orientierung eingebracht:



1 ist das Apodem, möglicherweise das Ejakulationsapodem, das wie ein Stößel  in einen Hohlkörper mit Samenflüssigkeit hineinstößt und so die Flüssigkeit hinaustreibt, vielleicht aber auch Teil des herausklappbaren männlichen Kopulationsapparates, die weiteren Schnittfolgen werden das hoffentlich klären. 2 ist jedenfalls die Zugmuskulatur des Apodems. 3 befindet sich in einem der Fettkörperlappen mit Zellkernen und Önozyten, 4 sind die paarigen Hoden, 5 Malpighischen Gefäße, 6 das Rectum.

Auf das Apodem und die Hoden werde ich zurückkommen, die diesbezüglichen Schnitte sind noch nicht trocken.

Schöne Grüße

Jürgen

Peter Herkenrath

Hallo Jürgen,

das Präparat ist ja top, die Mikrotechnik hast du wirklich toll im Griff. Danke für die nachträgliche Beschriftung der Strukturen.

Mit dem Subtraktionsverfahren habe ich schon erfolgreich gearbeitet (mit dem Mac-Programm Pixelmator), es ist ein Quantensprung gegenüber allen andern Versuchen, den Hintergrundaufzuhellen. Das Prinzip ist wie folgt: Nachdem das Foto geschossen ist, nimmst du das Präparat raus uns drückst noch mal den Auslöser. So entsteht ein "Leerbild" mit den gleichen Mikroskop- und Kameraeinstellungen wie beim Bild des Präparats. Gemeinsam haben die beiden Fotos den Helligkeitsgradienten, den Farbstich und den Schmodder im Strahlengang des Mikroskops. Um sie zu subtrahieren, arbeitest du mit Ebenen (Layers), lädst also beide Fotos als Ebenen eines einzigen Bildes. Wenn das getan ist, werden mehrere Möglichkeiten angeboten, diese Ebenen zu verbinden, eben auch Subtraktion.

Grüße, Peter

limno

Guten Morgen Peter,
die selbe Funktion findet sich auch bei picolay von unserem Forenmitglied Heribert Cypionka!
Noch einen Schönen Sonntag wünscht
Heinrich
So blickt man klar, wie selten nur,
Ins innre Walten der Natur.

Ronald Schulte

Jürgen,

Fantastisches Bild. Deine Differenzierung ist genau am richtigen Moment gestoppt.
Auch ist nennenswert das den, härteren Außen Schicht, gut erhalten ist geblieben bei das viel weichere ,innen'. Topp!
Ich finde diese Färbung eigentlich genau so schön wie die Azan und diese Mallory aus 1905! (ich dachte immer aus 1900) ist einfacher durch zu führen. Meine ältere Färbungen von so zehn Jahre her sind noch genau so schön obwohl die Euparal eingeschlossene bei lange nicht so lange halten wie die Depex eingeschlossene Schnitte.

Gruße Ronald
Mikroskope:
Leitz Orthoplan (DL, AL-Fluoreszenz und Diskussionseinrichtung).
Leica/Wild M715 Stereomikroskop.
Mikrotom:
LKB 2218 Historange Rotationsmikrotom.

Jürgen H.

#10
Liebe Mitmikroskopiker,

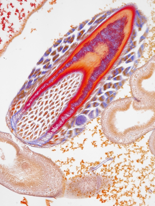
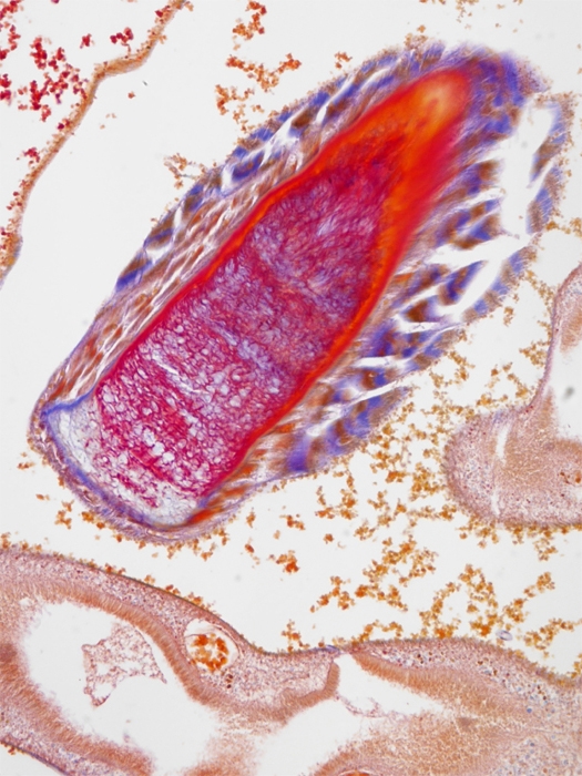
hier kommt noch eine Minischnittserie des Apodems. Die Serie verläuft in ventraler Richtung. Man kann, glaube ich, ganz gut erkennen, dass die Muskulatur an der dorsal gelegenen Oberkante des Apodems angreift und dann seitlich des Apodems verläuft. Sie ist offenbar so in der Lage, das Apodem in ventrale Richtung zu ziehen. Eine Verbindung des Apodems oder seiner Zugmuskulatur zum Integument des Rückens besteht nicht. Die ersten drei Aufnahmen sind mit dem 40er geschossen, die 4. ist ein Stitch mit dem 20er.






Auf dem Übersichtsphoto ist unter 4 und 4a der eine Hoden zu sehen, den man sich zusammenhängend geschlungen vorstellen muss. 4a ist ein frühes Stadium der Spermatogenese, aber auch in 4 sind noch keine fertigen Spermien zu sehen. Es handelt sich um ein noch nicht geschlechtsreifes Tier. Bei den Diopsiden läuft, wie bei 4  ersichtlich, die Spermatogenese nicht so schön  gruppenweise geordnet ab, wie bei anderen Insekten, verschiedenartigeste Entwicklungsstadien befinden sich dort.

Lieber Peter,

das Subtraktionsverfahren kenne ich dem Prinzip nach wohl, habe es mit einer anderen Version von Photoshop früher öfter praktiziert. Nur scheint Photoshop Elements 12, dass ich jetzt habe, keine Möglichkeit mehr anzubieten, die Ebenen miteinander im Wege der Subtraktion zu verbinden. Vielleicht übersehe ich ja etwas. Darauf zielte meine Frage.

Lieber Ronald,

Mir gefällt die Malloryfärbung auch sehr gut, vor allem, weil sie relativ schnell zu erledigen ist. Im Grunde lässt sich die Färbung eines OTs mit Eindeckeln in einer halben Stunde erledigen. Mehrere OTs gleichzeitig zu färben, kann allerdings schnell misslingen, sie reagiert sehr empfindlich auf verlängerte Zeiten, insbesondere der Differenzierung. Die Farbkontraste sind etwas weicher als die der Heidenhainschen Azanfärbung, für die man schnell 5 Stunden braucht. Allerdings meine ich, dass sich die Azanfärbung einfacher bezüglich der Rottöne durchführen lässt. Das Rot der Malloryfärbung verschwimmt leicht, jedenfalls bei mir, die Differenzierung ist schnell misslungen.

Bezüglich der Jahreszahl 1900 für die erstmalige Malloryfärbung hast Du völlig Recht. Ich hatte  1905 in Erinnerung, obwohl ich neulich in einem Beitrag von Carsten das Originalrezept gepostet hatte. Ich habe das oben verbessert. Allerdings habe ich ohnehin die Zeiten abweichend vom Malloryrezept gewählt, nur die Färbeschritte stimmen mit seinem Rezept überein.

Schöne Grüße

Jürgen

Bernhard Lebeda

Zitat von: Jürgen H. in April 15, 2018, 19:27:00 NACHMITTAGS

Lieber Peter,

das Subtraktionsverfahren kenne ich dem Prinzip nach wohl, habe es mit einer anderen Version von Photoshop früher öfter praktiziert. Nur scheint Photoshop Elements 12, dass ich jetzt habe, keine Möglichkeit mehr anzubieten, die Ebenen miteinander im Wege der Subtraktion zu verbinden. Vielleicht übersehe ich ja etwas. Darauf zielte meine Frage.


Jürgen

das nennt sich in PS Elements "negativ mulitplizieren".

Oder Du nimmst Gimp, da heißt es  "abziehen".

Viele Mikrogrüße

Bernhard
Ich bevorzuge das "DU"

Vorstellung

Fahrenheit

Lieber Jürgen,

Du zeigst sehr schöne und lehrreiche Aufnahmen - auch für einen Pflanzenschnippler wie mich.
Danke für die schöne Lektüre!

Herzliche Grüße
Jörg
Hier geht's zur Vorstellung: Klick !
Und hier zur Webseite des MKB: Klick !

Arbeitsmikroskop: Leica DMLS
Zum Mitnehmen: Leitz SM
Für draussen: Leitz HM

Jürgen H.

Lieber Ronald,

Mallory in Verbindung mit einer Jahreszahl hat mir doch keine Ruhe gelassen. Was ich bei mir zu Hause ermitteln konnte, ist Folgendes:


Mallory 1900

Die meines Wissens erste Tricromfärbung stammt von Mallory, hier veröffentlicht:

https://www.ncbi.nlm.nih.gov/pmc/articles/PMC2117995/pdf/15.pdf

Es fällt auf, dass die Säurefuchsinlösing sehr schwach konzentriert ist mit 0,05 - 0,1 Prozent und die Färbezeit ebenfalls sehr kurz ist: 1-3 min.

Weiterhin wird die Phosphormolybdänsäure in einem gesondeten Schritt verabreicht, die Anilinblaulösung wird mit Oxalsäure versetzt. Zwischen. den Arbeitsschritten wird mit Wasser gewaschen.




Mallory 1905


In M. Gabe Techniques Histologiques 1968 fand ich ein Rezept von Mallory, dass aus dem Jahre 1905 stammen soll.

Hiernach wird die wässrige Säurefuchsinlösung in einer Konzentration von 0,5 % für 5 min. angeboten. Man lässt sie nur abtropfen. Es wird nicht gewaschen!

Die Phosphormolybdänsäure wird nicht in einem gesonderten Schritt angeboten, sondern gemeinsam mit de Anilinblaulösung in folgenden Konzentrationen:

Anilinblau 0,5 gr
Orange G 2 gr.
Phosphormolybdänsäure 1 gr.

auf 100 ml a.d.

Die Oxalsäure entfällt, ebenfalls jedes Spülen mit Wasser.

Statt dessen Spülen mit 96% ETOH, Entwässern mit 100% ETOH.


Leider macht Gabe keine Quellenangabe.




Mallory 1936


Leider ist mir auch dieses Rezept nicht im Original zugänglich, veröffentlicht ist es wohl in stain technology v. 11, 101. Armin Eisner gibt es auf seiner Webseite wieder. Es ist gegenüber dem Rezept von 1905 wie folgt verändert:

Die Konzentration der Säurefuchsinlösung wird auf 0,25 % herabgesetzt, die Färbezeit jedoch auf 30 min verlängert. Sie wird mit Filterpapier abgetupft.  Die Phosphormolybdänsäure wird gegen die Wolframatophosphorsäure ausgetauscht. Die Färbezeiten der Anilinblaulösung wird verlängert.

Mit Wasser gewaschen wird auch hier nicht!

Die Funktionsweise der Malloryfärbung ist anscheinend nach wie vor ungeklärt. Schön zu lesen ist hierzu:

http://www.biomed-austria.at/fachartikel/trichromfaerbungen_S07.pdf



Lieber Jörg, hab Dank für Deine Worte, lieber Bernhard, Danke für Deinen Hinweis auf das Schlagwort negativ multiplizieren!

Schöne Grüße an alle!

Jürgen

Ralf Feller

Lieber Jürgen,
hab Dank für Deine erklärenden Worte und die Ausschnitte,
ich sehe jetzt schon viel klarer.
Ich werde auch die Mallory-Rezepte mal ausprobieren.

Gruß aus Mülheim, Ralf