Rattenniere, SuSa-Fixiert, KK-Färbung

Begonnen von CaDi, Oktober 10, 2009, 14:50:22 NACHMITTAGS

Vorheriges Thema - Nächstes Thema

CaDi

Hallo,

hier ein Foto einer Rattenniere die ich auf 0,5µm am Rotationsmikrotom geschnitten habe (eingestellte 0,5µm). Wegen der Stabilität musste ich den Block (Paraffin) bei -25°C einfrieren, weswegen er sich anschließend auch etwas ausgedeht hat, um das Problem klein zu halten habe ich mich beeilt.

Gefärbt wurde mit KK, der Kernechtkombinationsfärbung, die ich von Klaus Herrmann bezogen habe. Diese eignet sich m.E. sehr gut dafür da sie sehr stark färbt und so selbst dünne Strukturen dargestellt werden können.

Das Foto entstand aus 2 Sichtfeldern, bei denen ich jeweils 4 Schärfebereiche  mit CombineZ5 kombiniert habe. Anschließend über Autostitch zusammengefügt und in Corel Photopaint 12 etwas aufgehellt etc.



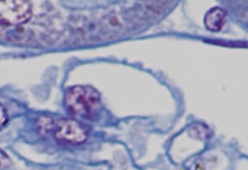
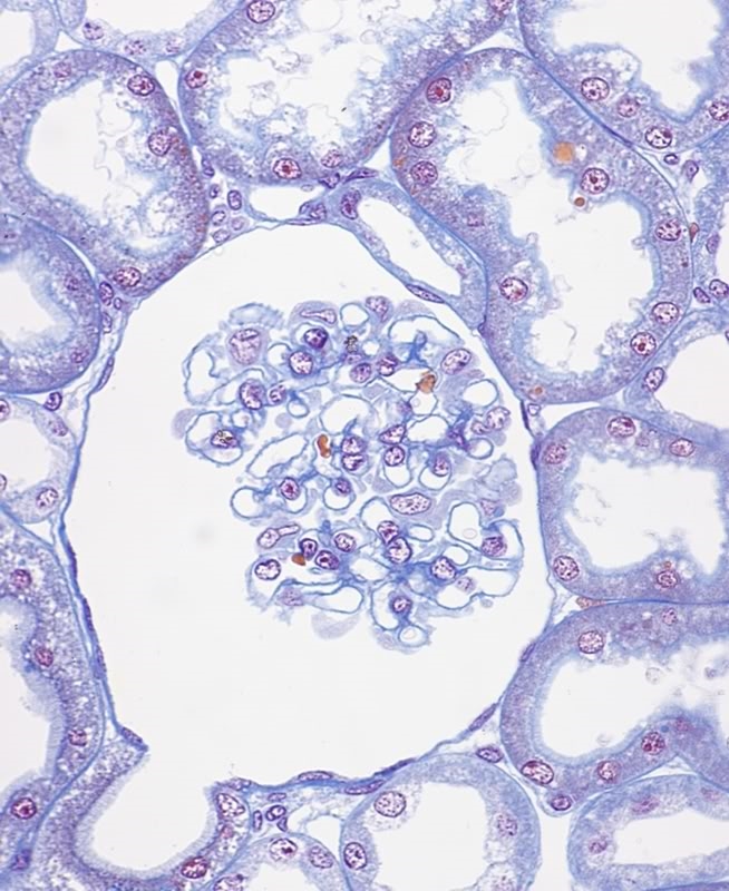
Man sieht einen Glomerulus mit dem Kapillarknäuel und der Bowman Kapsel. Sogar Podozyten können von Endothelzellen unterschieden werden. Wer genau hinguckt kann auch die Podozytenfortsätze sehen. Die Basalmembran erscheint knallig blau als Begrenzung der Kapillarlumen.
Der Harnpol mündet im proximalen Tubulus, der Bürstensaum ist deutlich zu erkennen.

Viele Grüße,
Carsten

Bernhard Lebeda

Hallo Carsten


sehr interessant! Ich fände es noch informativer für Nicht Histologen, wenn Du die beschriebenen Sachen im Bild mit Pfeil kenntlich machen könntest. Ich fühle mich sonst an meinen Lehrer im Mathe LK erinnert: " Wie man leicht sieht, folgt daraus..." Ich hab immer nie was gesehen  ;)


Mal zum Thema Rotationsmikrotom: so ein Teil wiegt doch locker 30-35 Kilo. Wo bewahrt man denn so was auf? Ich schätze mit meinem Spannplattensarbeitstisch hätte ich wohl eher schlechte Karten ???


Viele Grüsse


Bernhard
Ich bevorzuge das "DU"

Vorstellung

CaDi

Hallo Bernhard,

hier ein beschriftete Foto. Ich schau mir das mit den Tubuli nochmal an, dann beschrifte ich die auch.


Die Präparate habe ich nicht zuhause geschnitten. Man braucht auf jeden Fall einen stabilen Tisch. Aber wenn man eine harte Platte auf einen normalen stabilen Tisch legt dürfte das eigentlich auch funktionieren.

Viele Grüße,
Carsten

Segu

Hallo Carsten

ich war bisher der Meinung, mit Paraffin könnte man nur bis 3-4my schneiden. Darunter gehe nur mit Histowachs.
Aber 0.5my ist schon sehr dünn, oder?
mit freundlichen Grüssen

Michel Siegrist

Profil - sanft klicken!

Je mehr Menschen du in deinem Leben begegnest,
desto mehr Meinungen wirst du hören.

CaDi

Hallo Segu,

Du hast Recht, es ist sehr dünn. Aber z.B. in der Pathologie wird routinemäßig 1,5-2µm geschnitten, ist natürlich unterschiedlich je nach Labor. Aber es wird dafür immer gekühlt. Meist mit Kühlplatten, ich benutze weil ich sowas nicht habe einen -30°C Schrank. Das Tiefkühlfach geht aber auch. Ich konnte auch immer nur 5-6 Schnitte machen, danach war das Paraffin wieder zu weich. WEnn man langsam schneidet bringt das dann auch nichts, da deht sich der Block zu sehr aus.

VIele Grüße,
Carsten

CaDi

Hier ein etwas größerer Ausschnitt, Kapillare quer mit Podozytenfortsätzen. (die Knubbel auf der dunkelblauen Basalmembran)




Fahrenheit

Lieber Carsten,

vielen Dank für die interessante Darstellung. Den Schnitt und die Bilder finde ich sehr schön!
Wie Bernhard bin ich auf die Beschriftung angewiesen, um bei der Beschreibung folgen zu können.
Schön, dass Du diese nachgeliefert hast.

Herzliche Grüße
Jörg
Hier geht's zur Vorstellung: Klick !
Und hier zur Webseite des MKB: Klick !

Arbeitsmikroskop: Leica DMLS
Zum Mitnehmen: Leitz SM
Für draussen: Leitz HM

Sascha

Hallo Carsten,

sehr gute Dokumentation (mehr davon!) und ein sehr gutes Bild. Wir können ja morgen den gleichen Schnitt nochmals am Axioskop und dem Plan-Neo fotografieren, mal schauen ob die Qualität noch ein wenig zu steigen ist.

Sind das die KK-gefärbten Schnitte, welche wir am Donnerstag bei mir gemacht haben? Haben wir diese Schnitte nicht auch noch (3 Std. vorher) in HE gemacht? Wenn ja bringe die Beiden bitte mit!
Musstest du den SuSa-fixierten Block nicht umblocken, bzw. ist das nicht der zerbröselte Block gewesen? Oder war das ein anderer? Hast du die BlockNr. bzw liegt der Block bei mir oder hast du den mitgenommen.
Wenn der Block morgen da ist dann sollten wir bei mir gleich noch ein paar mehr schneiden, damit wir für deinen Kurs bei der BMG ein paar Präparate zum mitnehmen haben.

Geschnittene und gefärbte Grüße Sascha
Wer mich nicht "Duzen" will, muss mich "Siezen" - wer mich nicht "Siezen" möchte, darf mich "Duzen".
http://de.wikipedia.org/wiki/Duzen
http://de.wikipedia.org/wiki/Siezen

Ralf Feller

Hallo Carsten,
die Schnitte sind super!
Ich kenne so etwas eigentlich nur als Semidünnschnitt aus Kunststoffen. Man kann fast schon elektronenmikroskopische Details erkennen. Welches Paraffin und welches Messer hast Du benutzt? Kann man am Rotationsmikrotom auch Kältespray benutzen?

Gruß Ralf Feller

CaDi

Hallo Sascha,

das war ein Schnitt den ich am Freitag noch schnell gemacht habe, unsere haben 2µm. Aber die unterscheiden sich nicht groß, das Mikrotom ist da auch wirklich an seinen Grenzen. Ich bin gespannt was da bei Dir rauskommt, bestimmt noch etwas schärfere Fotos.

Den Block habe ich umgeblockt, das war kein Problem und das Paraffin ist glaube ich Paraplast Plus oder so, muss ich nochmal schauen. Da sind auch durch das viele Umblocken andere Paraffinreste drin gelöst.

@ Ralf Feller
Es freut mich, dass das Foto gut ankommt. Ich habe extra dieses ausgewählt da es wegen der Färbung auch etwas wie ein Semidünnschnitt aussieht. Das Paraffin müsste wie gesagt Paraplast oder Paraplast Plus sein, da werde ich mal fragen. Das Messer ist ein R35, das in einen großen Einmalklingenhalter geschoben wurde.
Das mit dem Kältespray habe ich mal ausprobiert, das funktionierte sehr gut. War glaube ich eins das bis -35->-50°C kühlen konnte. Weil man ja nicht weiß wie das reagiert kann man einen Objektträger glatt auf den Block legen und darauf sprühen.
Das wichtigste dabei waren die Einbettkasetten die man in das Mikrotom einspannen kann. So konnte ich innerhalb von ca. 30sek. den Block einklemmen, ihn anschneiden und ca. 5 gute Schnitte machen. Dabei musste ich auch viel pusten. Das sorgt u.a. auch dafür dass die Schnitte gut über die Klinge gleiten und sich nicht aufrollen. Natürlich werden die durch das Pusten auch dicker, aber man sieht ja dass er trotzdem noch sehr dünn ist.

Viele Grüße,
Carsten

Ronald Schulte

Michel,

Zitat von: Segu in Oktober 10, 2009, 15:37:06 NACHMITTAGS
ich war bisher der Meinung, mit Paraffin könnte man nur bis 3-4my schneiden. Darunter gehe nur mit Histowachs.

Habe mich auch etwas Histowachs bekommen lassen aber die Erfahrungen damit sind sehr schlecht (vielleicht kein Erfahrung!).
Wenn ich das Block Schneide wird alles wie Pulver. Mann hört das Messer auch wie ein Hobel oder wie eine Milze die zu hart geworden ist.
Schreibe bitte mal was und wie du Histowachs gebrauchst? Ich habe den Histo 3 (56-58 Grad) von Chroma.

Grüße Ronald
Mikroskope:
Leitz Orthoplan (DL, AL-Fluoreszenz und Diskussionseinrichtung).
Leica/Wild M715 Stereomikroskop.
Mikrotom:
LKB 2218 Historange Rotationsmikrotom.

wilfried48

Hallo CaDi,

das beschriftete Foto gefällt mir auch sehr gut, zumal ich als Physiker dann wenigstens
auch eine Ahnung davon bekomme, was zu sehen ist.

Mit Vergrösserungsmassstab (µm Balken) wäre es natürlich noch vollkommener, da ich natürlich im Gegensatz zu den Biologen und Medizinern wenig über die Grössenordnung von Zellorganellen Bescheid weis.

viele Grüsse

Wilfried



vorzugsweise per Du

Hobbymikroskope:
Zeiss Axiophot,  AL/DL/Ph/DIC/Epi-Fl
Zeiss Axiovert 35, DL/Ph/DIC/Epi-Fl
Zeiss Universal Pol,  AL/DL
Zeiss Stemi 2000 C
Nikon Labo-/Optiphot mit CF ELWD Objektiven

Sammlung Zeiss Mikroskope
https://www.mikroskopie-forum.de/index.php?topic=107.0

CaDi

#12
Hallo,

das mit dem Schneiden ist immer etwas kniffelig. Der Block musste wirklich immer sehr kalt sein und blieb es nicht lange. Wenn man das mal mit Kältespray ausprobiert wird man den Unterschied merken. Ich würde den Block vorher aber trotzdem ins Kühlfach legen, dann fallen die nämlich fast nie vom Stempel.
Wenn der Block eingespannt und angeschnitten wurde kommt er wieder für ca. 5min ins Eisfach. Man kann das etwas beschleunigen wenn man die glatte Seite auf einen Objektträger legt und diesen dann auf das Metall des Eisfachs.
Wenn der Block schön durchgekühlt ist kann man ihn einspannen und mit einem neuen Einmalmesser (nicht das vom Anschneiden benutzen) mit 2-5µm den Block anschneiden bis man den ihn erreicht hat.
Beim ersten Anschneiden sollte man nicht mehr als 10µm einstellen, sonst können eher Strukturen im Block zerstört werden. Außerdem "poliere" ich den Block bevor ich ihn das zweite Mal ins Eisfach stelle nochmal indem ich erst mit ca. 5µm, dann mit 2µm und zum Schluss mit 0,5µm einige Male schneide. Dann bekomme ich natürlich keine Schnitte, der Block ist aber feiner angeschnitten.
Für diese Vorgehensweise braucht man natürlich diese Schnellspannkassetten, das lohnt sich aber auch. Zur Not (bei HOlzklotz etc.) kann man nach einigen Minuten im Eisfach später nur mit Eisspray arbeiten, aber nicht den Rest des Blocks vergessen einzusprühen, sonst fällt der noch leichter ab als sonst schon (ist dann ja härter vorne). Vor allem beim Anschneiden muss man vorsichtig sein. Und ich würde den Block nicht direkt ansprühen, sondern einen OT vorhalten.

Außerdem:
- Für besonders dünne Schnitte benutze ich dann immer ein neues Messer, und da auch nur die Mitte, den Rest kann man für andere Schnitte noch verwenden, aber das ist evtl. auch etwas esoterisch.
- Wichtige Stellen von Paraffin befreien. Z.B. dort wo man die Kassette einklemmt oder den Block einspannt sollte nicht viel Paraffin sein, das ist eher weich und der Block ist dann evtl. nicht optimal stabilisiert. (gilt auch für das Einspannen des Einmalmessers)
- Das Einmalmesser sollte genau aufliegen, deswegen drücke ich es an beiden Seiten vor dem Einspannen nochmal nach unten.
- Alle Hebel kräftig anziehen damit nichts locker ist
- Der Winkel ist oft entscheidend. Auch wenn alles stimmt kann der Winkel zu schlechten Schnitten führen. Das kommt aber auf das Mikrotom an welchen man einstellt. Bei einem ist genau 6° für die meisten Schnitte am besten, bei einem anderen 0°. Da kann man mit einem Probeblock etwas spielen.
- Für gute Schnitte ist genug Paraffin um das Präparat herum wichtig, es stabilisiert und man hat etwas Spielraum um den Pinsel anzusetzen

Vorstrecken
- Ich strecke auf einem kalten Wasserbad vor, evtl. auch bei schweren Schnitten davor noch eins aus 5-10% Ethanol.
- Beim Trennen der Schnittbänder bietet sich bei sehr dünnen Schnitten ein Deckglas an, mit der "scharfen" Seite lassen sich viele Bänder zerschneiden, mit der Spitze steche ich dafür in kleinen Abständen auf die Trennlinie ein.

Strecken
- Mache ich mit Eiweißglycerin, ca. 15-30ml pro 1,6L Streckbad bei 41-45°C
- Das Eiweißglycerin verbesser eigentlich alle Eigenschaften des Wassers. Die Schnitte bewegen sich nicht mehr so schnell. Luftblasen steigen sehr langsam auf und man überträgt mit der Zeit auch immer etwas Eiweißglycerin in das kalte Vorstreckbad. Dadurch lassen sich meine Schnitte besser mit dem Deckglas trennen.
- Das Wasser vorher abkochen (danke für den Tipp Sascha :-) ). Dann hat man eigentlich gar keine Luftblasen, auch bilden sich später unter dem Schnitt meist keine.
- Mit dem Eiweißglycerin sammelt sich später kein Wasser zwischen Schnitt und Objektträger. Saubere Objektträger muss man auch nicht vorher putzen, solche gibt es (ist drin was draufsteht, leider selten so).

Ich lasse die Objektträger nach dem Aufziehen für ca. 5-10min auf einem Papier an eine Wand angelehnt stehen (hochkant). Das Wasser kann dann so ablaufen. Anschließend für 15-30min in einen Wärmeschrank. Je nachdem ob der gut durchlüftet ist oder einfach nur heizt braucht es länger oder muss auch heißer eingestellt werden. Ich benutze einen gut belüfteten Schrank bei ca. 63°C. 70°C geht aber auch. Das Ziel ist es das Wasser komplett zu verdampfen, das Paraffin anzuschmelzen (kann auch etwas nach unten laufen) und bei Eiweißglycerin das Eiweiß zu denaturieren (soweit ich weiß).
Mir schwimmen so von 1000 Schnitten evtl. 1-2 ab, dann eigentlich auch nur wenn das Präparat schlecht ist.
In den letzten 2-3 Monaten habe ich ca. 1700 Präparate gefärbt (1000 davon maschinell), und davon sind soweit ich weiß weniger als 3 abgeschwommen.

Demnächst kann ich auch einige Fotos machen wie ich eindecke, ist fast narrensicher und es gibt fast nie Luftblasen (aber eine gleichmäßige Verteilung des Eindeckmittels). Gute Erfahrungen habe ich mit Cytoseal 60 gemacht, sehr dünnflüssig, Tropfen sind mit Xylol leicht zu entfernen und es härtet schnell ohne viel Schwund.

Zusammenfassend die Punkte für dünne Schnitte:
- Alles festziehen und säubern
- Kalter Block
- Neue Klinge, am besten die Mitte benutzen
- Pusten und gleichmäßig schneiden (sollte nicht zu langsam sein, eher etwas schneller), dabei wenn nötig mit dem Pinsel den Schnitt an das Messer drücken
- Glatte, parallel zur Messerkante zeigende Blockecken
- Die Bewegung zwischen den Schnitten schnell ausführen damit der Block sich in der Zeit nicht so stark ausdehnen kann

Es kann natürlich immer sein, dass das Mikrotom für so dünne Schnitte nicht geeignet ist, 0,5µm ist für ein sehr altes Rotationsmikrotom evtl. zu dünn (für neue natürlich auch) . Aber da kann ich keine Vergleiche machen weil ich fast nur mit einem neueren Gerät arbeite.

Ich kann davon sonst auch mal ein Video machen, wird aber etwas dauern.

Nähere Angaben zum Paraffin kann ich noch nicht machen, das Umblocken beschreibe ich dann später.
Zum Grössenvergleich bieten sich die Zellkerne an, die haben meist (wenn es nicht sehr langgestreckte Muskelzellkerne sind) 5-9µm. Erythrozyten 7µm und viele Leukozyten um die 10µm.

Viele Grüße,
Carsten

wasilis

Hallo
Sehr schöne Präsentation!!
Das sieht ja alles hochprofessionell aus, aber auch sehr sehr komplex. Ich bin auch auf den Weg zur Histopathologie und suche eine Mikrotom. Was kostet denn was brauchbares??

Gibt es so was wie Kurse um die nötige Technick und Fertigkeit zu erlernen??

Danke für die Pfeile auf dem Foto. Bin zwar Mediziner, doch sind nicht alle Details noch abrufbar.

Beste Grüße
Wasilis

CaDi

Hallo Wasilis,

ein neues Mikrotom würde ich erstmal nicht kaufen, da gibt es oft brauchbare Geräte bei Ebay für 150-400 Euro, je nach Zustand. Man müsste sich entscheiden ob es ein Rotationsmikrotom oder ein Schlittenmikrotom sein soll. Hat alles seine Vor- und Nachteile. Wenn Du eine Schnellspannvorrichtung finden solltest würde ich ein Rotationsmikrotom kaufen. (Neue Geräte 1000-3000 Euro, für Hobbyleute, die ganz guten entsprechend ein Vielfaches)
Ein Schlittenmikrotom hat aber eine Technik die man besser selbst reinigen kann. Da muss man sich entscheiden.

Von solchen Kursen weiß ich nichts. Aber es gibt das Treffen am Wohldenberg:
http://www.kg-bruegmann.de/9227.html?*session*id*key*=*session*id*val*

Man könnte hier im Forum mal versuchen etwas zu finden oder selbst zu organisieren. Aber es ist vielleicht auch möglich in einem MTA-Labor zu fragen ob man einmal vom Schnitt bis zum Eindecken alles selbst machen kann. Das konnte ich in Bremen machen, hat aber auch für 3 Std. ca. 70 Euro gekostet.
Es gibt hier in Berlin aber eine sehr aktive berliner mikroskopische Gesellschaft:
http://www.berliner-mikroskopische-gesellschaft.de/
Wenn Du mal in der Stadt bist könnten wir Dir das vielleicht mal zeigen.

Es ist aber auch nicht verkehrt sich selbst etwas einzuarbeiten, aber am besten nach einer kleinen Einführung von z.B. einem solchen MTA-Labor. Die Klingen sind wie Du bestimmt weißt sehr scharf und man kann eine Menge falsch machen.
Wo wohnst Du? Vielleicht findet sich im Forum hier jemand der Dir das mal vorführen kann.

Viele Grüße,
Carsten