Purkinje-Fasern im Herz (Histologie)

Begonnen von Ralf Feller, März 03, 2019, 18:17:05 NACHMITTAGS

Vorheriges Thema - Nächstes Thema

Ralf Feller

Liebe Kollegen,

heute möchte ich etwas klassische Paraffinhistologie aus dem Herz eines Haushuhns
zeigen. Die Histologie von Herzmuskelzellen wurde ja hier schon oft gezeigt, nur
habe ich bisher keine eindeutigen Bilder des Erregungsleitsystems gefunden.

Einen Teil, die Purkinjefasern, möchte ich hier kurz vorstellen.
Die Erregungsbildung erfolgt im Sinusknoten mit ca. 70 Impulsen / min.
Die Impulse werden über die Vorhofmuskulatur weitergeleitet an den AV Knoten.
Weiter gehts  über die His-Bündel, die das  nicht leitende  Herzskelett  durchqueren 
und sich dann in die Kammerschenkel und anschließend in die Purkinje-Fasern aufteilen.

Abb.1 (die Werte gelten für den Menschen, das Vogelherz schlägt viel schneller)


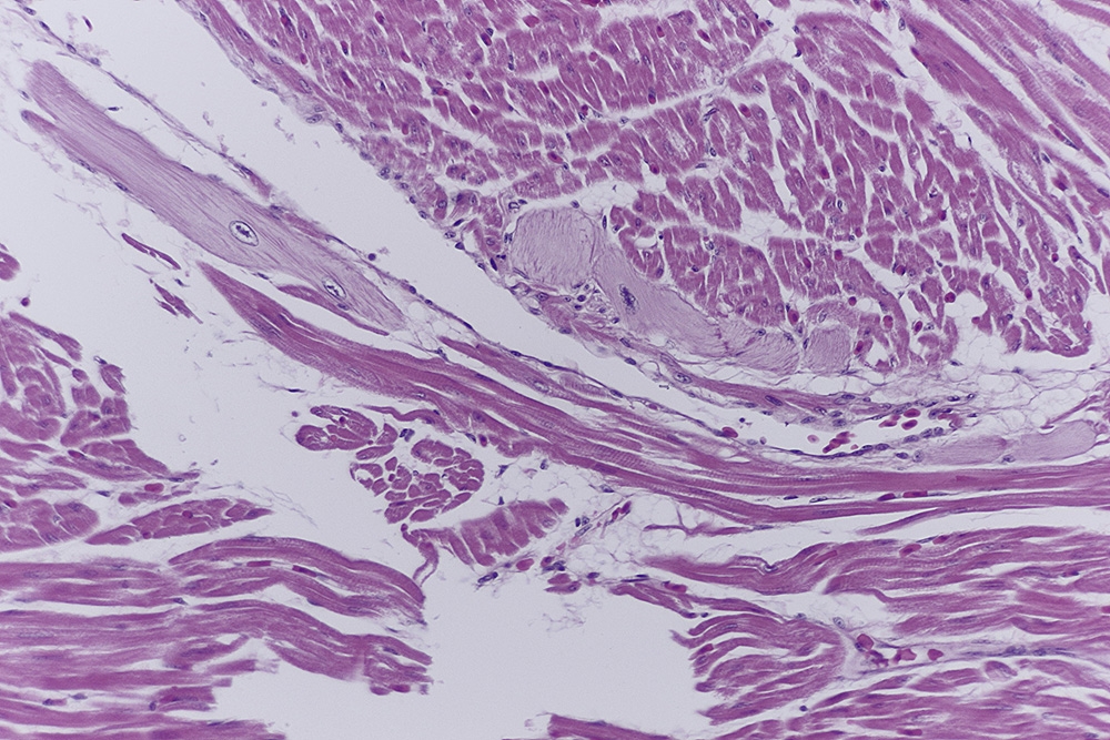
Die Purkinje-Fasern als spezialisierte Herzmuskelzellen, bilden den letzten Teil der
Impulsleitung mit direktem Übergang in die Myocardzellen.
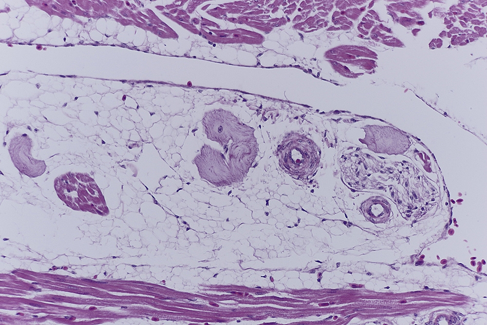
Diese, oft als ,,Möpse" beschriebenen Zellen, liegen im Inneren der Herzkammern
zwischen Endocard und Myocard in einer Schicht aus lockerem Bindegewebe zusammen
kleinen Blutgefäßen und nicht myelinisierten Nerven.

Abb.2: Purkinjefasern 1, Endocard 2


Abb.3


Abb.4


Abb.5


Abb.6


Zur Präparation:
Ein Stück der Innenwand des linken Vertrikels wurde in 10%igem, phosphatgepuffertem
(pH 7,2) Formalin fixiert, gewässert und über 50, 70, 85, 96% Ethanol in 100% Isopropanol
gebracht, danach Methylbenzoat, Xylol und Paraffin (3 x wechseln).

Für die Paraffineinbettung erwies sich dieser ,,Dry block heater"(Abb.7) als sehr hilfreich.
Solche Geräte werden oft als Neuware für 200 – 300E angeboten, stammen dann aber meist
aus alter Produktion, so dass es keine passenden Alublöcke mehr gibt,
die kann man aber hier billig bekommen.
https://www.alu-verkauf.de
Der Vorteil gegenüber dem Wärmeschrank ist, das das Paraffin auch in kleinen Mengen
direkt gegossen werden kann ohne abzukühlen. Macht man den Wärmeschrank auf, dann
ist meist die Temperatur weg. Die Kleine Aluplatte dient dem Vorwärmen von Kassetten
und Förmchen.

Abb.7


Geschnitten wurde mit diesem schönen Leitz 1212 von 1962,
das (danke Harald) jetzt auch einen Kassettenhalter trägt.

Abb.8


Bilder:
Orthoplan, Eos700d über PanCace 40mm adaptiert

Bezugsquellen:

Bioethanol
Isopropanol
https://hoefer-shop.de/technische-chemikalien/

Xylol
ebay

Paraffin
https://www.biologie-bedarf.de

Methylbenzoat
https://www.ebay.de/itm/Benzoesauremethylester-min-98-FCC-Food-Grade/142907586015?hash=item2145f4b5df:m:m4HWP6GUzh5AH0ZTieqftkw

Viele Grüße aus Mülheim, Ralf



Heino Lauer

Lieber Ralf,

für diese informative und eindrucksvoll bebilderte Arbeit möchte ich Dir ganz herzlich danken; sie wird mir Anlass sein, mich weiter mit dieser Thematik zu befassen!

Präparatorisch kann ich leider nichts beitragen; einzig würde mich noch interessieren, welche Objektive Du für die Aufnahmen, die mir sehr gut gefallen, verwendet hast.

Herzlichen Gruß

Heino



Jürgen H.

Lieber Ralf,

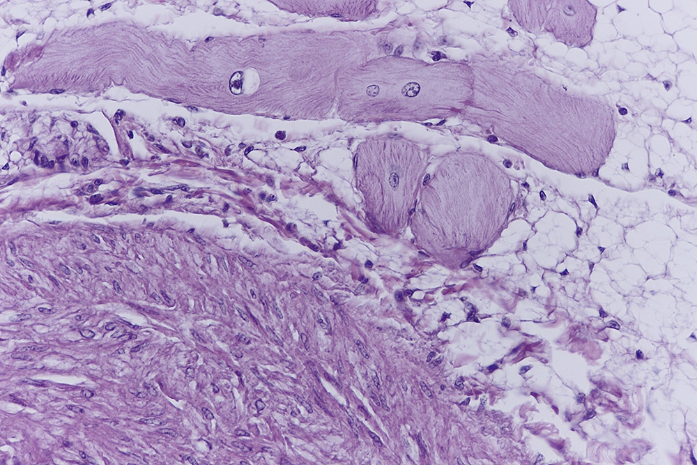
meine Glückwünsche zu den tollen Schnitten! Mir fällt vor allem beim letzten Bild und dem Querschnitt  bei 9 Uhr das ,,Hüllgewebe" auf mit seinen schmalen länglichen Zellkernen.Möchtest Du vielleicht etwas dazu sagen?

Schöne Geüße

Jürgen


Wutsdorff Peter

Grüß Dich Ralf,
zuerst: ich bin nur Inschenör! !Habe aber eine Frage:
Der Sin-Kn. ist der Taktgeber und erregt die VH, dann wird dem AV-Kn. gemeldet, daß die VH gearbeitet haben ? Der Av-Kn erregt dann die Muskelzellen der Hauptkammern.
Meine Frage: Woher wieß der Sin-Kn, daß die Hauptkammern gearbeitet haben?
Gibt es eine  Rückführung? Das müßte eigentlich ein Regelkreis sein? Der Sin-Kn erhält  übergeordnet (regeltechnisch als Führungsgröße) sein Komando je nach Erfordernis des Lörpers (Streß, erster Kuß, Erschrecken, Anstrengung etc).
Als anfallsweiser VH-Flimmerer habe ich mich eingehend mit der Problematik mit Hilfe der der Unterlagen der Herzstiftung beschäftigt.
Was mir auffällt, sind die unteschiedlichen Frquenzen in dem 1. Bild.
Haben Tiere  auch VH-Flimmern?`
Gruß Peter

Ronald Schulte

#4
@Ralf,

Gut um mal wieder was Histologisches zu Lesen.
Ich habe die Faser noch nie angeschnitten. Suche öfters aber ja, geht einfach nicht!
Schön dass es dich gelungen ist.
Auch lese ich das es kein Sauger ist sondern ein Huhn. Das erklärt vielleicht warum ich einige Zellen nicht erkenne.
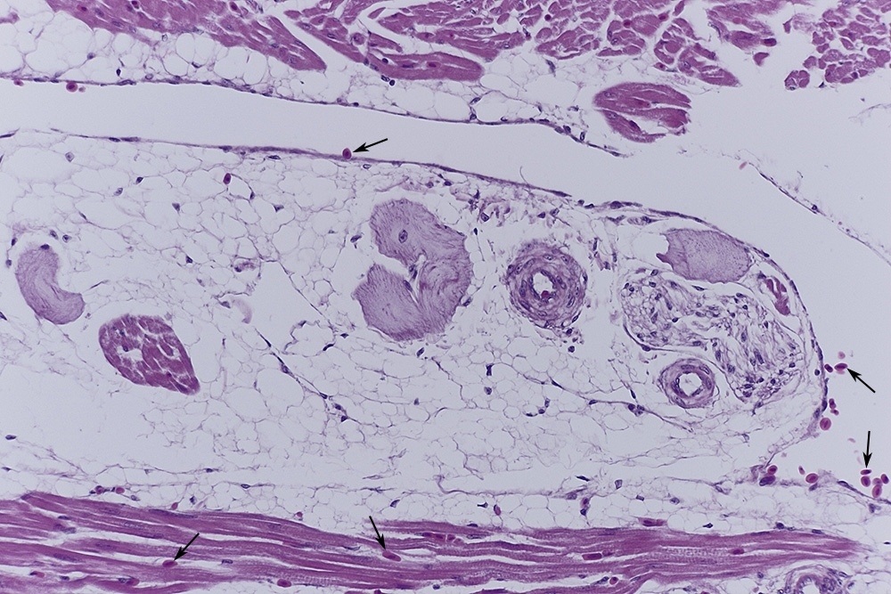
Ich habe dein Bild 3 mal mit Pfeilen versorgt. Was sind das für welche Zellen? Weil die im Gewebe und auch im Lumen vorkommen vermute ich größere Erythrozyten die bei Vogel ja ein kern haben. Stimmt das?

ps Ich habe heute viele Gewebestücke Osmiert mit ,OSO4' und ,reduced OSO4'. Herz ist aber nicht dabei.




Mikroskope:
Leitz Orthoplan (DL, AL-Fluoreszenz und Diskussionseinrichtung).
Leica/Wild M715 Stereomikroskop.
Mikrotom:
LKB 2218 Historange Rotationsmikrotom.

reblaus

Hallo Ralf -

Glückwunsch zu den Schnitten!
Und dumme Frage: Die in der Einleitung angegebenen Frequenzen der Knoten sind wohl nicht für Vögel. Kennt man deren Werte?

Viele Grüße

Rolf

Ralf Feller

#6
Lieber Heino,
danke für Dein Lob.
Die Objektive waren Leitz PL-Fluotare/160mm,
ich habe dazu auch einen Satz PL-Apos/170mm, die eine gleich gute, wenn nicht etwas bessere Top-Bildqualität liefern, obwohl sie älter sind.
Wolfgang (Ortholux) hat gerade im Mikromarkt diese Tollen Objektive zu einem fast schon unmöglich tiefen Preis verkauft. Es gibt dazu 10 x Brillenträger-Periplanokulare mit einer Sehfeldzahl von 26mm, und alles ganz plan bis zum Rand.
Die Präparationshinweise, besonders die Bezugsquellen habe ich aufgeführt um vielleicht den einen oder anderen Forumskollegen für die Histologie zu begeistern.

Lieber Peter,
im Herzen gibt es eigentlich keine elektrische Rückkopplung wie in der Elektronik,
also nicht in der Form, dass bei zu hoher oder zu niedriger Impulsgenerierung elektrisch
eine schnellere oder langsamere Impulsfolge generiert wird.
Die Steuerung erfolgt über das vegetative Nervensystem mit den Nerven:
Der Sympathikus steht für ,,Alarm, Angriff, Verteidigung" dabei wird die Herzfrequenz gesteigert, die Atemwege werden geweitet, die Durchblutung wird weg von der Verdauung und hin zur Muskeldurchblutung ungeleitet. Die Blutglucose steigt. Neurotransmitter ist dabei das Adrenalin, das man in Notsituationen dem Körper auch als Infusion zuführt.
Der Parasympathikus mit seinem Transmitter Acetylcholin macht das Gegenteil.
Eine Aktivierung des Sympathikus kann über das ZNS, z.B. bei Angst und Schmerz,
oder auch über Blutdruckrezeptoren bei Volumenabfall z.B. nach einer Blutung, oder auch bei Pumpausfall nach Herzinfarkt erfolgen.
Der Sinusknoten weiß also nicht ob die Kammern kontrahieren, tun sie das aber nicht, dann kommt es zur Sympathikusaktivierung über den Druckabfall.
Ein Herzinfarkt kann aber auch zu Kurzschlüssen führen, wobei Kreisströme entstehen, die ungeordnete schnelle Impulse erzeugen, was zu Vorhof- oder Kammerflimmern führt.
Da hilft dann der Defibrilator.
Bei Ausfall des Sinusknotens springen die nach geordneten Bereiche des Systems wie AV-Knoten, Hissbündel (Abb.1) mit niedrigeren Impulsfrequenzen ein.

Bei Wirbeltieren kommt es auch schon mal zu Herzinfarkten, z.B. in Stresssituationen im Schlachthof, wenn der Sauerstoffbedarf des Herzens Infolge Tachycardie zu hoch wird,
also muss man den Tieren ihr Opfer durch Musik und Lichteffekte schmackhaft machen.
Durch gesunde Lebensführung wie Tabak- und Fettabstinenz würde ich aber bei Rind und Schwein auf weniger Arteriosklerose als bei uns tippen, sollte man aber mal gogeln.

Lieber Jürgen,
eigentlich wollte ich hier nur mal zeigen, wie man mit recht einfachen Mitteln und einem fast 60 Jahr alten Mikrotom recht schöne Schnitte machen kann.

Was mich aber auch interessierte war wie das in Kunststoffschnitten aussieht, und wie der Strukturerhalt ist. Also habe ich in Technovit 7100 umgebettet und bei 1,5µ geschnitten.
Ich denke, dass es sich bei den umliegenden Strukturen um die Zellkerne von Bindegewebszellen handelt.
Auch muss man beachten, dass die Erythrozyten beim Vogel kernhaltig sind.

Hallo Ronald,
unsere Posts überkreuzen sich.
Ja, und du hast Recht, es sind kernhaltige Erythrozyten.
Was mir aber sehr gefällt, ist der schöne Strukturerhalt nach dem Umbetten.
Ich bin gespannt was man noch rausholen kann, wenn man besser fixiert,
also mit Formaldehyd + Glutaraldegyd und Osmierung.
Sag mir bitte unbedingt wie das Technovit auf Osmium reagiert.
Gelesen habe ich, es soll sehr lange im Puffer oder Wasser wässern.
Ich habe übrigens noch ,,Wacker-Blöckchen" mit gutem Resultat umgebettet,
da kann man tolle Sachen sehen.

Lieber Rolf,
ja das habe ich völlig vergessen, Vögel haben natürlich einen viel schnelleren Stoffwechsel,
eine viel höhere Herzfrequenz und auch eine höhere Körpertemperatur.
Auch Lunge und Sauerstoffwechsel sind dem unerhört hohen Stoffwechsel angepasst.
Ich denke, dass das auch der Grund ist, warum die Autolyse so schnell ist.
Wenn ich mal einen toten Vogel finde, sind die Sektionsergebnisse und Histologie meist sehr schlecht, obwohl das viel interessanter als beim Haushuhn sein kann wegen der vielen Parasiten und Erkrankungen.
Vielleicht ist auch das Reizleitungssystem beim Vogel ausgeprägter, denn so habe ich es beim Menschen und bei Nagern nie gefunden. Viele interessante Fragen.

Abb.9


Abb.10


Abb.11


Abb.12


viele Grüße, Ralf



Wutsdorff Peter

Lieber Ralf,
vielen Dank für Deine Erläuterungen.
Es handelt sich also um eine reine Steuerung wie beim Motor:
wenn Du auf das Gaspedal trittst, geht die Motordrehzahl hoch. Es gibt also eine eindeutige Zuordnung zwischen der Stellung des Gapedals und der Motordrehzahl. Als Störgröße geht natürlich die Belastung des Motors ein.
Als ich meinen Kardiologen fragte, warum plötzlich VF entsteht, sagte er mir:"Wenn ich das so genau wüßte, bekäme ich den Nobelpreis"
Gruß Peter