Histologie: Die Diphtherie der Gaumenmandel, Teil 2

Begonnen von Heino Lauer, Juni 27, 2019, 15:39:18 NACHMITTAGS

Vorheriges Thema - Nächstes Thema

Heino Lauer

Fortsetzung aus Teil 1 - siehe dort zur Geschichte der Diphtherie, der Ätiologie, Pathogenese und Epidemiologie


Klinik

Zu Beginn der Erkrankung kommt es zu einer Prodromalphase von 12 - 24 Stunden Dauer mit allgemeinem Krankheitsgefühl, Mattigkeit, Kopfschmerzen, Übelkeit und Erbrechen, erhöhter Herzfrequenz und leichtem Fieber. Die Prodromi können bei kleinen Kindern auch ganz fehlen. Nachfolgend findet man eine schmerzhafte, entzündliche, oft einseitige Schwellung der Gaumenmandel mit noch zarten Pseudomembranen. Nicht wenige Diphtherien verharren auf diesem Beschwerdeniveau, mit spontaner Entfieberung nach ca. einer Woche. Schreitet die Erkrankung jedoch fort, kann am 3. oder 4. Krankheitstag der gesamte einsehbare Rachen mit Pseudomembranen bedeckt sein [14,16,18].

Die Entzündungswerte im Blutbild - Leukozyten und CRP - sind gewöhnlich erhöht. Bei ausgeprägten Belägen kann die Atemluft des Erkrankten einen charakteristischen, süßlich-faden Geruch entfalten, der in alter Zeit dem Praktiker gut bekannt war und nicht selten das Krankenzimmer erfüllte, manchmal aber auch ganz fehlt. Nur außerordentlich selten allerdings fehlt bei einer manifesten Rachendiphtherie die Pseudomembran [18,26].

Nach Letzerich [12] präsentiert sich die Diphtherie dem praktischen Arzt als durchaus ,,tückische Erkrankung": die ersten Krankheitssymptome können leicht übersehen werden. Die individuelle Reaktion des Erkrankten reicht von deutlichem Kranksein bis hin zu scheinbarer Gesundheit: Wertheimber [18] sah mehrfach Familien, in denen ein Kind erkrankt war, während die Geschwister noch herumtollten. Erst eine genaue Untersuchung ergab, daß auch sie bereits manifest an Diphtherie erkrankt waren.

Systemische Komplikationen manifestieren sich gewöhnlich erst nach einigen Wochen, dies gilt für neurologische Komplikationen, deren Höhepunkt durchaus nach ca. 7 bis 9 Wochen erreicht werden kann,  wie für die Myokarditis, die nach 4 bis 6 Wochen oder auch früh um den 10. Tag herum auftreten kann [27,42]. Schon Wertheimber [18] hat den 10. Krankheitstag als den Tag beschrieben, an dem sich das weitere Schicksal des Patienten offenbare. Bishay und Murphy [42] berichten, dass 1995 in Kirgisien 22% der hospitalisierten Diphtherie-Patienten eine Myokarditis entwickelten, die bei 7% zum Tode führte. Das mittlere Intervall zwischen Aufnahme und Tod lag bei nur 4,5 Tagen.



Therapie

Zur Neutralisierung des Toxins ist die möglichst frühzeitige Gabe von Diphtherie-Antitoxin vom Pferd erforderlich. Parallel dazu wird eine Antibiose mit Penicillin, ersatzweise Erythromycin, oder Amoxicillin eingeleitet. Die Eradikation des Erregers durch die Antibiose verhindert eine weitere Toxinproduktion. Bereits erzeugtes Gift jedoch muss durch das Antiserum neutralisiert werden, was aber nur möglich ist, so lange noch keine Bindung an Zellen stattgefunden hat.

Die Dosierung des Antitoxins und die weitere Therapie richtet sich nach der Schwere der Erkrankung, nicht selten wird eine intensivmedizinische Behandlung erforderlich sein. Eine Intubation oder die Anlage eines Tracheostoma zur Sicherung der Atemwege ist beim Übergreifen der Erkrankung auf den Kehlkopf angezeigt. Pseudomembranen in der Luftröhre oder in den Bronchien können durch Bronchoskopie entfernt werden. Besonderes Augenmerk gilt der frühzeitigen Erkennung von Komplikationen an Herz und Nieren [23,26,28]. Die räumliche Isolierung des Patienten bis zum Nachweis zweier aufeinanderfolgend negativer Abstriche ist obligatorisch [29].


Kasuistik 1 - vor Einführung der Serumtherapie

2 1/2 - jähriger Junge, um 1870, Diphtherie der Rachenmandeln mit dicken Belägen beidseits. Frühzeitig brettharte Infiltration der Halslymphdrüsen mit massiven Schluckbeschwerden und starken Schmerzen; nur mit größter Mühe konnten einige Tropfen Flüssigkeit verabreicht werden.  Mehrmals tägliche Entfernung der Pseudomembranen und Auspinselung mit Silbernitratlösung. Darunter Besserung des Lokalbefundes mit allmählicher Rückbildung der zunächst stark geschwollenen Tonsillen, nicht jedoch der Schwellung der Halslymphknoten. Um den 6. Tag vollständiges Ausbleiben der Harnbildung (Anurie), die Nieren beidseits stark geschwollen tastbar und druckschmerzhaft;  Tod im Nierenversagen am 8.Tag der Erkrankung [12].


Kasuistik 2 - nach Einführung der Serumtherapie

15 - jähriger Junge, Erich B., vor 1914. Ausgeprägte Pseudomembran, starke Schwellung der Halslymphdrüsen, Nephritis. Nach Serumbehandlung am 4. Krankheitstag Besserung der lokalen Beschwerden mit nachfolgender Abstoßung der Membranen und Rückgang der Lymphknotenschwellungen. Entwicklung einer Herzschwäche mit niedrigem Blutdruck (Riva Rocci mit offenbar systolischen Werten von 75 und 60) und kleinem, arrhythmischen Puls. Im späteren Verlauf Erbrechen, Oberbauchschmerzen sowie zunehmende Blässe und Schwäche. Tod am 16. Krankheitstag [31]. Beachtenswert ist der Umstand, daß das Blatt mit dem 4.Tag beginnt. Offenbar wurde der kleine Patient relativ spät vorgestellt, so das auch die Therapie mit Verzögerung begann. Je früher die Serumbehandlung beginnt, desto größer ist die Wahrscheinlichkeit eines glücklichen Ausgangs.




Abb.6  Fieberkurve der Diphtherieerkrankung des Erich B., 15 Jahre, mit Serumbehandlung am 4. Tag. Die Herzfrequenz ist die gestrichelte Linie, die Volllinie gibt die Körpertemperatur wieder. (Abbildung aus: Jochmann, Lehrbuch der Infektionskrankheiten. 1. Auflage; Berlin, Springer 1914, Seite 397. Dem Springer-Verlag danke ich für die freundliche Genehmigung zur Verwendung der Abbildung).




Kasuistik 3 - nach Einführung der Serumtherapie

2 - jähriges Mädchen, Erna P., vor 1914. Diphtherie des Kehlkopfes. Serumtherapie am 1. und 2. Krankheitstag. Bei Einlieferung Tracheotomie (Luftröhrenschnitt) mit nachfolgender Entwicklung einer Bronchopneumonie (Lungenentzündung) mit Fieberspitzen bis 40°C. Entfernung der Trachealkanüle am 8.Tag morgens. Trotz der ernsten Komplikation glücklicher Verlauf mit abschliessender Heilung [31]. Die Lungenentzündung im Gefolge der Kehlkopfdiphtherie stellte - besonders in vorantibiotischer Zeit - eine schwere Komplikation dar, die nach Jochmann [31] in unglücklichen Fällen spätestens nach 6 Tagen zum Tode führte, aber dennoch häufiger überlebt wurde als das sie fatal endete. Im Unterschied zur Kasuistik 2 blieb hier eine Herzschwäche aus, das Kind überlebte.




Abb.7  Fieberkurve der Diphtherieerkrankung der Erna P., 2 Jahre, mit initialer Serumbehandlung und Tracheotomie. Die Herzfrequenz ist die gestrichelte Linie, die Volllinie gibt die Körpertemperatur wieder. (Abbildung aus: Jochmann, Lehrbuch der Infektionskrankheiten. 1. Auflage; Berlin, Springer 1914, Seite 405. Dem Springer-Verlag danke ich für die freundliche Genehmigung zur Verwendung der Abbildung)


Kasuistik 4 - ein Erkrankungsfall aus der Gegenwart

Am 15.05.2005 wurde ein 4 1/2 Jahre altes Mädchen vom Vater unter den Zeichen akuter Atemnot im Zentrum für Kinder- und Jugendmedizin eines großen, norddeutschen Klinikums vorgestellt. Das Kind war am gleichen Tag in Hannover eingetroffen und von dort weitergereist, nachdem es mit Begleitern aus dem Irak über den Landweg geflohen war. Schon in Istanbul klagte es über Halsschmerzen, ein hinzugezogener Arzt versorgte es dort mit Paracetamol.

Bei Aufnahme im Klinikum ausgeprägte Atemnot mit Schnappatmung, initial über beiden Lungenflügeln kein Atemgeräusch auskultierbar. Das Kind wechselnd agitiert und benommen. Flächige, grauweiße Beläge auf den Tonsillen und am weichen Gaumen. Im Labor erhebliche Leukozytose (29.400 / Mikroliter, normal bis 10.000 / Mikroliter) und mit 82 mg/l (normal bis 1,0 mg/l) mäßig erhöhter CRP. Zur Linderung der Atemnot systemische Gabe von Kortikoiden sowie Adrenalin per inhalationem, darunter deutliche Besserung der respiratorischen Situation.

Bei vorbestehender, ausgeprägter Dehydration Einleitung einer Infusionstherapie und Antibiose mit Penicillin G. Nach Rachenabstrich lichtmikroskopischer Nachweis von Corynebakterien noch in der ersten Nacht. Nachfolgend komplikationslos vertragene Antitoxin-Therapie. Im Verlauf Versorgung mit Analgetika bei anhaltend starken Schmerzen.

Am 4. Tag nach Aufnahme zunächst schluckweise Flüssigkeit; dann Kostaufbau ab dem 6. Tag. Entlassung der beschwerdefreien kleinen Patientin nach einem Monat ohne Zeichen systemischer Komplikationen. Labordiagnostisch ergab die Kultur des Rachenabstriches nach biochemischer Testung hochwahrscheinlich C. diphtheriae. 5 Tage nach Aufnahme Bestätigung der Diagnose durch das Referenzlabor München. Die nachfolgenden drei Rachenkontrollabstriche im Verlauf des stationären Aufenthalts blieben ohne weiteren Nachweis von coryneformen Stäbchen [33].

Hier waren also die initiale mikroskopische Untersuchung des ersten Abstriches und natürlich die klinisch erhobenen Befunde wegweisend für die Diagnose und die weitere Therapie.


Kasuistik 5 - eine Übertragung von Tier zu Mensch

Eine 86-jährige Frau wurde im November 2010 mit akuten Halsschmerzen, Heiserkeit, Rhinitis und nasaler Obstruktion stationär aufgenommen. Die Patientin war afebril. Aufgrund der Symptomatik wurde ein Nasen- und Rachenabstich genommen, aus dem toxigene C. ulcerans isoliert wurden. Nach diesem Befund Verlegung aus dem Aufnahmekrankenhaus in eine Infektiologische Abteilung, dort Isolierung und Antibiose für 12 Tage. Bei stabilem klinischen Zustand wurde auf eine Antitoxingabe verzichtet; die Beschwerden bildeten sich unter der Antibiose zügig zurück. Da C. ulcerans bei Tieren vorkommt, wurde die Patientin zum Kontakt zu Haustieren befragt; ihrer ansonsten asymptomatischen Hauskatze  wurden daraufhin Nasen- und Rachenabstriche entnommen, aus denen ebenfalls C. ulcerans isoliert wurde. Die Isolate waren mit dem Patientenmaterial identisch [36].


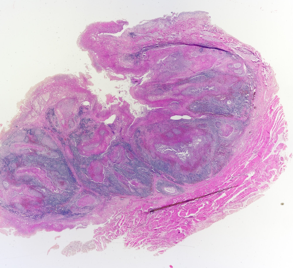
Mikroskopie




Abb.8  Diphtherie der Gaumenmandel. Übersicht. Sammlungspräparat. Leitz PL 1,6;





Abb. 9  Übersicht, mit Erläuterungen. A Pseudomembran; B unverändertes Epithel; C Tonsillarbucht, von Pseudomembran ausgefüllt; D tiefere Nekrosezone; E lymphatisches Gewebe der Tonsille. Die intensiv rot hervortretenden Areale sind Nekrosen.






Abb. 10 Unverändertes, geschichtetes Plattenepithel. Vergleiche Abb. 9, Pfeil B. Leitz Pl FL 10.






Abb. 11 Die Pseudomembran. Vergleiche Abb. 9, Pfeil A. Die ältesten Membrananteile befinden sich zuoberst, nur wenig durchsetzt mit Leukozyten.  Leitz Pl FL 10.






Abb. 12 Die Pseudomembran im Detail. Am oberen Bildrand die ältesten Membrananteile. Darunter ein Netzwerk aus Fibrin (kurzer Pfeil), durchsetzt mit zahlreichen neutrophilen Granulozyten und Resten abgestorbener Zellen (langer Pfeil). Leitz PL APO 40




Mein Dank gilt Ulf Titze für zahlreiche Anregungen und Kritik. Lieber Ulf, herzlichen Dank für Deine Hilfe!


Über Kommentare und Kritik würde ich mich sehr freuen!

Viele Grüße

Heino



Literatur

[1] Winkle S (2005). Geißeln der Menschheit - Kulturgeschichte der Seuchen. 3. Aufl. Berlin: Artemis & Winkler, 252 - 288
[2] Loeffler F (1908). The Bacteriology of Diphtheria. Cambridge: Cambridge University Press, 1 - 52
[3] Neisser M, Gins H A (1913). Ueber Diphtherie. In: Kolle W (Hrsg). Handbuch der pathogenen Mikroorganismen. 2. Aufl. Jena: Fischer, Band 5  931 ff
[4] Hegler C, Nocht B, Paschen E (1924). Jochmanns Lehrbuch der Infektionskrankheiten. 2. Aufl. Berlin: Springer, 391 ff
[5] Copland J (1834). Dictionary of Practical Medicine. Boston: Lilly Wait Colman and Holden, Vol 1   449 ff
[6] Heilmeyer L (1961). Lehrbuch der Inneren Medizin. 2. Aufl. Berlin: Springer,  87 ff
[7] Trousseau A, Pidoux H (1881a). Treatise on Therapeutics. 9th ed. London: Sampson Low, Marston, Searle & Rivington, Vol 1, 26 ff, 96 f
[8] Wunderlich C A (1854). Handbuch der Pathologie und Therapie. 2. Aufl. Stuttgart: Ebner u. Seubert, Dritter Bd  Dritte Abtlg   85 ff
[9] Mochmann H (1997). Meilensteine der Bakteriologie. 2. Aufl. Frankfurt: Edition Wötzel,
[10] Fischer (1902). Briefe von Theodor Billroth. Hannover: o V, 45
[11] Stepp W, Cobet R (1926). Diphtherie. In: Guleke N (Hrsg). Handbuch der gesamten Therapie . 6. Aufl. Jena: Gustav Fischer, Band 1  282 ff
[12] Letzerich L (1872). Die Diphtherie. Berlin: Hirschwald, 12 f
[13] Darai G, Handermann M (2003). Lexikon der Infektionskrankheiten des Menschen. 2. Aufl. Berlin: Springer, 144 ff
[14] Brandis H, Eggers H J, Köhler W (1988). Lehrbuch der Medizinischen Mikrobiologie. 6. Aufl. Stuttgart : Fischer, 418 ff
[15] Elsevier (2012). Dorland´s Illustrated Medical Dictionary. 32nd ed. Philadelphia: Elsevier Saunders, 422
[16] Kaufmann E (1958). Lehrbuch der speziellen pathologischen Anatomie. 11. Aufl. Berlin: De Gruyter, 905 ff
[17] Husemann T (1883). Handbuch der gesammten Arzneimittellehre. 2. Aufl. Berlin: Springer, 270
[18] Wertheimber A (1870). Die Schlund - Diphtherie. München: Finsterlin, 8 ff.
[19] Trousseau A, Pidoux H (1881b). Treatise on Therapeutics. 9th ed. London: Sampson Low, Marston, Searle & Rivington, Vol 3, 331
[20] Hahn H (1994). Medizinische Mikrobiologie. 2. Aufl. Berlin: Springer, 389
[21] Sutter R W (2016). Diphtheria and other Corynebacterium Infections. In: Goldman L, Schafer A I (Ed). Medicine. 25th ed. Philadelphia: Elsevier, 1915
[22] Slonczewski J L, Foster J W (2012). Mikrobiologie. Zweite Aufl. Berlin: Springer
[23] Böhm M, Hallek M, Schmiegel W, Hrsg (2009). Innere Medizin. 2. Aufl. München: Urban und Fischer, 704 ff
[24] Kumar V (2010). Robbins and Cotran - Pathologic Basis of Disease. 8th ed. Philadelphia: Saunders, 520, 876
[25] Böcker W, Denk H, Heitz Ph U (2004). Pathologie. 3. Aufl. München: Urban und Fischer, 1148
[26] Beers M H, Berkow R (1999). The Merck Manual of Diagnosis and Therapy. 17th ed. West Point: Merck, 2303 ff
[27] Mayatepek E (2007). Pädiatrie. 1. Aufl. München: Urban & Fischer, 354 ff
[28] Rascher W (2013). Therapie-Handbuch Infektionskrankheiten. 1. Aufl. München: Urban & Fischer, 301 ff
[29] Kramer A (2012). Krankenhaus- und Praxishygiene. 2. Aufl. München: Urban & Fischer, 119, 205
[30] Borst M (1950). Pathologische Histologie. 4. Aufl. München: J F Bergmann, 70 ff
[31] Jochmann G (1914). Lehrbuch der Infektionskrankheiten. 1.Aufl. Berlin: Springer
[32] Mims C A (2006). Medizinische Mikrobiologie und Infektiologie. München: Urban & Fischer, 230 ff
[33] Robert Koch-Institut (2005). Epidemiologisches Bulletin. Berlin, Nr 37, 342 f
[34] Aschoff L, Gaylord H (1900). Kursus der pathologischen Histologie mit einem mikroskopischen Atlas. Wiesbaden: Bergmann, 170 ff
[35] Pschyrembel W (2002). Klinisches Wörterbuch. 259. Aufl. Berlin: Walter de Gruyter, 889, 1375
[36] Robert Koch-Institut (2011). Epidemiologisches Bulletin. Berlin, Nr 27, 245 ff
[37] Robert Koch-Institut (2018). Infektionsepidemiologisches Jahrbuch meldepflichtiger Krankheiten für 2017. Berlin, 76
[38] Robert Koch-Institut (2018). Epidemiologisches Bulletin. Berlin, Nr 8, 83 ff
[39] Seifert G (1966). Diphtherie. In: Doerr W, Uehlinger E. Spezielle pathologische Anatomie. Berlin: Springer, Erster Band, 317
[40] Roos R, Marget W (1987). Diphtherie. In: Siegenthaler W. Lehrbuch der inneren Medizin. 2.Aufl. Stuttgart: Thieme, 730 ff
[41] Graupner R, Zimmermann F (1899). Technik und Diagnostik am Sektionstisch. Zwickau SA: Förster und Borries, Bd 1, 151 u. Bd 2, Tafel 16
[42] Bishay W R, Murphy J R (2009). Diphtherie. In: Dietel M et al. Harrisons Innere Medizin. 17. Aufl. Berlin:  ABW, Bd 1, 1108 ff


reblaus

Hallo Heino-

auf dem - jetzt in eine kleine Parkanlage verwandelten - kleinen Bergfriedhof meines Heimatstädtchens befindet sich ein rührendes Grabmonument, das zwei Mädchen und einen Knaben im Alter zwischen ung. 4 und 7 Jahren zeigt. Wenn ich mich recht erinnere sind die drei Kinder allesamt an Diphterie verstorben und zwar zwei davon im Februar 1904 (oder 1907?) im Abstand einer Woche, das dritte tragischerweise ebenfalls im Februar  - aber ein Jahr später.

Viele Grüße

Rolf

reblaus

Nachtrag:

Ich habe dazu einen Link gefunden, auf dem aber leider die Grabinschrift nicht zu sehen ist - könnte auch sein, dass das älteste Mädchen 11 Jahre alt war:

http://behrendt-neuenbuerg.de/html/alter_friedhof.html

Jürgen H.

Lieber Heino,

ganz herzlichen Dank für diesen kenntnisreichen und liebevoll ausformulierten Beitrag, den ich mit großem Interesse gelesen habe. Histologie ist hier ja leider so selten.

Schöne Grüße

Jürgen

Dr. Jekyll

Hallo Heino,

Da kann ich mich Jürgen nur anschließen.
Ein sehr gelungener und informativer Beitrag 👍
Beste Grüße
Harald

Ulf Titze

#5
Lieber Heino,

Dein Text gehört eigentlich ins Curriculum der allgemeinen Pathologie im Rahmen der studentischen Lehre, weil er eine vermeintlich überwundene Erkrankung aus den Schatten der Vergangenheit holt. Für die heutige Generation an Ärzten, der auch ich angehöre, ist die Diphterie meist nur eines der vielen Schlagworte, die man sich einhämmern muss. Jeder Mediziner kennt sie und weiß theoretisch was da passiert.

Aber Du hast das Bild dieser gefährlichen Erkrankung in sämtlichen Farben und Facetten in bemerkenswerter Akribie ausgemalt. Für sowas nehmen sich die Profis heute keine Zeit mehr, teils auch weil man nicht mehr an solche wunderbar instruktiven Präparate herankommt.

Ich freue mich riesig über diesen tollen Beitrag!

Herzlich

Ulf
"Do not worry about your problems with mathematics, I assure you mine are far greater." (A. Einstein)

"Komm wir essen Opi!" - Satzzeichen können Leben retten!!!

Bob

Hallo Heino,
vielen Dank für diesen umfassenden Bericht! Auch für mich als vielseitig interessierten Nicht-Mediziner war er sehr interessant zu lesen.

Viele Grüße,

Bob

Heino Lauer

Lieber Rolf,

vielen Dank für Deinen Beitrag; das Grab ist wirklich berührend gestaltet. Es ist ein fürchterlicher Verlust, der diese Familie getroffen hat.

Beim Lesen der alten Texte ist zu erkennen, welche Angst diese Krankheit damals in der Bevölkerung ausgelöst hat; eben weil es zumeist Kinder waren, die erkrankten. Behring wurde damals als "Retter der Kinder" gefeiert; die Darstellung in Mochmann; Köhler: Meilensteine der Bakteriologie ist sehr lesenswert.

Herzlicher Gruß

Heino

Heino Lauer

Lieber Jürgen,

herzlichen Dank für Dein Lob! Es freut mich, daß der Beitrag Dir gefällt. Und es stimmt natürlich, es gibt viel zu selten Histologisches hier im Forum.

Gern würde ich mehr Beiträge leisten, aber die Zeit ist einfach sehr knapp. Dennoch will ich es nicht unversucht lassen, es gibt noch viele Themen!


Herzlicher Gruß

Heino

Heino Lauer

Lieber Harald,

vielen Dank für Deine lobenden Worte, ich freue mich sehr darüber!

Herzlicher Gruß

Heino

Heino Lauer

Hallo Bob,

auch Dir vielen Dank für Deine Worte und Dein Interesse, es ist mir sehr wertvoll!


Herzlicher Gruß

Heino


Heino Lauer

Lieber Ulf,

hab herzlichen Dank für Deine Worte, ich freue mich sehr darüber!

Die Arbeit hat mir wirklich großen Spaß gemacht, auch weil ich hier histologische, medizinische und geschichtliche Interessen verknüpfen konnte.

Für Deine Kritik danke ich Dir sehr; und ich denke schon über das nächste Projekt nach! Alles weitere in den kommenden Tagen...


Ganz herzlich

Heino

Wutsdorff Peter

Hallo  Heino,
als "nur Inschenör" und Grufti (79), der gerne Medizin studiert hätte, auch von mir meine Hochachtung vor Deinem ausführlichen Beitrag.
Bei einigen Begriffen mußte ich den "Pschyrembel" zu Hilfe nehmen.
Übrigens: in der ersten Fernsehserie wird Behring dargestellt.
Mit freundlichen Grüßen    Peter

Heino Lauer

Hallo Peter,

vielen Dank für Deine anerkennenden Worte und Dein Interesse; ich freue mich sehr darüber!


Herzlicher Gruß

Heino

Florian D.

Hallo Heino,

was für ein toller professionell aufgemachter Artikel, den ich sehr gerne gelesen habe!
Als Ergänzung habe ich ein Photo einer Kultur von Cornyebacterium diphtheriae angehängt.
Das Präparat ist von "Mikrokosmos Stuttgart" "Präparat aus dem Laboratorium Prof. Dr. F. Sigmund" und stammt vermutlich aus den 20' Jahren. Die Karbol-Gentianaviolett Färbung ist völlig verschwunden. Ich habe das Präparat deshalb im Phasenkontrast photographiert und den Kontrast am Computer erhöht.
Ist kein sonderliches Meisterwerk, aber man erkennt die Schwellungen an den Enden der Bakterien und die typische V-förmige Lagerung.

Viele Grüsse
Florian