Hauptmenü

HISTOLOGIE: Rätsel 1

Begonnen von Florian Stellmacher, November 30, 2009, 21:10:27 NACHMITTAGS

Vorheriges Thema - Nächstes Thema

Florian Stellmacher

Liebe Freunde der Histologie,

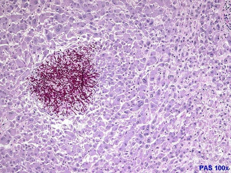
da hier offenbar die Rätselseuche ausgebrochen ist, möchte ich auch mal ein Foto als Rätsel präsentieren. Da ich bei den Pflanzenschnitt-Fotos wie das berühmte Schwein ins Uhrwerk glotze, folgt hier natürlich ein histolgischer Schnitt.



Wer hat eine Idee?

Herzliche Grüße,
Florian

Vorwiegende Arbeitsmikroskope:
Zeiss Axioskop 2
Olympus BHS (DL, Pol, Multidiskussionseinrichtung)
Zeiss Axiophot (DIK und AL-Fluoreszenz)
Zeiss Axiovert (Fluoreszenz)
Wild M400 Fotomakroskop (DL, DF, AL, Pol)

Oliver S.

#1
Ist das ein Pilz im Gewebe?
Oder vielleicht Zahngewebe mit beginnendem Zahnnerv.
herzliche Grüsse,
Oliver
(gern per "Du" )

Druse

Etwas gut Durchblutetes? Tumor?

Herzliche Grüße
Mila

Siggi O.

Hallo Florian,

könnten es Dendriten im Gewebe sein?

Viele Grüße
Siggi
Gerne per Du!
Vorstellung: Hier klicken!

Peter V.

#4
Lieber Florian,

ein Schuss voll ins Blaue und vermutlich völlig daneben - eine Nocardiose? Ich dachte auch erst an eine Mykose, aber diese Viecher ( tuberkuloseähnliche Bakterien ) erzeugen ja auch so myzelartige Strukturen.

Herzliche Grüße
Peter

Dieses Posting ist frei von kultureller Aneigung, vegan und wurde CO2-frei erstellt. Für 100 Posts lasse ich ein Gänseblümchen in Ecuador pflanzen.

Jürgen Boschert

Hallo,

zwischen LEBER und Milz passt immer noch eon PILZ ?

Gruß !

JB
Beste Grüße !

JB

Ronald Schulte

Florian,

Die Zellen sehen Leber-ähnlich aus aber dann wohl erkrankt.
Mit die PAS Färbung wird Glykogen Rot/Purper angefärbt also könnte das eine Glykogenkrankheit sein??

Ronald
Mikroskope:
Leitz Orthoplan (DL, AL-Fluoreszenz und Diskussionseinrichtung).
Leica/Wild M715 Stereomikroskop.
Mikrotom:
LKB 2218 Historange Rotationsmikrotom.

Florian Stellmacher

Liebe Rätselfreunde,

nun fehlt mir natürlich noch die Erfahrung als Rätselmoderator, daher verrate ich mal so viel: Ich bin wirklch baff, denn wir haben schon zwei richtige Antworten, eine sogar absolut richtig!

Spinnen wir es dann mal weiter:

Wie kann es denn dazu kommen? Kann das jedem Menschen zustoßen?

Herzliche Grüße,
Florian
Vorwiegende Arbeitsmikroskope:
Zeiss Axioskop 2
Olympus BHS (DL, Pol, Multidiskussionseinrichtung)
Zeiss Axiophot (DIK und AL-Fluoreszenz)
Zeiss Axiovert (Fluoreszenz)
Wild M400 Fotomakroskop (DL, DF, AL, Pol)

Ronald Schulte

Florian,

Wenn es Glykogen ist dann ist es viel zu viel und kann vielleicht durch zu wenig Insulin aus den Pancreas verursacht werden?

Ronald
Mikroskope:
Leitz Orthoplan (DL, AL-Fluoreszenz und Diskussionseinrichtung).
Leica/Wild M715 Stereomikroskop.
Mikrotom:
LKB 2218 Historange Rotationsmikrotom.

Florian Stellmacher

Lieber Ronald,

irgendwie hat das Ganze schon entfernt etwas mit Zucker und auch mit der Leber zu tun - aber nichts mit dem Zucker in der Leber!

Alles klar?

Florian
Vorwiegende Arbeitsmikroskope:
Zeiss Axioskop 2
Olympus BHS (DL, Pol, Multidiskussionseinrichtung)
Zeiss Axiophot (DIK und AL-Fluoreszenz)
Zeiss Axiovert (Fluoreszenz)
Wild M400 Fotomakroskop (DL, DF, AL, Pol)

Peter V.

#10
Lieber Florian,

dann sag ich mal ganz frech nach der Vorarbeit der Anderen:

Leberherd einer generalisierten Candidose ( Organcandidose ) bei Diabetes mellitus?

( Falls richtig, stehen die Lorbeeren aber Jürgen, Oliver und Ronald zu - ich wäre nur der "Zusammenfasser" )

Herzliche Grüße
Peter
Dieses Posting ist frei von kultureller Aneigung, vegan und wurde CO2-frei erstellt. Für 100 Posts lasse ich ein Gänseblümchen in Ecuador pflanzen.

Florian Stellmacher

Lieber Peter, liebe Pilzfreunde!

Genau - dies ist ein Leberherd bei einer Candida-Sepsis! Die Pilze haben sich bei dem Patienten über die Blutbahn im Körper verteilt und haben in den verschiedenen Organen Absiedlungen gebildet.

Tatsächlich kommt so etwas gelegentlich auch bei Diabetes mellitus vor.

Aber: Dann sähe es etwas anders aus, weil? Was ist hier besonders?

Florian
Vorwiegende Arbeitsmikroskope:
Zeiss Axioskop 2
Olympus BHS (DL, Pol, Multidiskussionseinrichtung)
Zeiss Axiophot (DIK und AL-Fluoreszenz)
Zeiss Axiovert (Fluoreszenz)
Wild M400 Fotomakroskop (DL, DF, AL, Pol)

Peter V.

Lieber Florian,

meinst Du die sehr zirkumskripte herdförme Absiedlung ( ich hätte eventuell eher eine difuusere Ausbreitung erwartet ) ?

Herzliche Grüße
Peter

Dieses Posting ist frei von kultureller Aneigung, vegan und wurde CO2-frei erstellt. Für 100 Posts lasse ich ein Gänseblümchen in Ecuador pflanzen.

Florian Stellmacher

Lieber Peter,

nun, der Patient ist nicht mehr am Leben, da haben sich die Pilze post mortem noch ein bisschen vermehrt. Aber eigentlich sind solche umschriebenen Kolonien recht typisch.
Nein, ich meine etwas anderes. Da werden Pilze im Körper verteilt. Das kommt schon mal vor, in der Regel aber ohne dass sich Absiedlungen in den Organen bilden. Warum? Und warum ist das hier trotzdem passiert?

Viele Rätselgrüße,
Florian
Vorwiegende Arbeitsmikroskope:
Zeiss Axioskop 2
Olympus BHS (DL, Pol, Multidiskussionseinrichtung)
Zeiss Axiophot (DIK und AL-Fluoreszenz)
Zeiss Axiovert (Fluoreszenz)
Wild M400 Fotomakroskop (DL, DF, AL, Pol)

Oliver S.

weil das Imunsystem versagt hat? AIDS? :-\
Gruss,
Oliver
(gern per "Du" )