Hauptmenü

Leptogium saturninum

Begonnen von Ralf, April 23, 2010, 20:10:31 NACHMITTAGS

Vorheriges Thema - Nächstes Thema

Ralf

Liebe Flechtenfreunde,

hier zeige ich meine erste Bearbeitung einer Leptogium. Leptogium saturninum ist eine Gallertflechte ähnlich Collema. Im Unterschied zu Collema ist Leptogium beidseitig berindet. Fundort war das Schwarzwassertal in Tirol. Leider ist es mir nicht gelungen die Asci zu isolieren und mit Lugol zu Färben  >:( . Es waren irgendwie zu wenige und jetzt habe ich nur noch eine Lobe mit 3 Apothecien übrig. Diese Lobe möchte ich aber gerne mit ins Herbar übernehmen.

- Fundortfoto



- Nahansicht Thallus. Lobenenden gerundet, viele, kleine rundliche Isidien. Underseite mit weißlichen, filzigen Belag.



- Nahansicht Fruchtkörper. Mit Lagerrand und rötlicher Scheibe.



- Lobenquerschnitt mit Fruchtkörper, schiefe Beleuchtung. Im Gegensatz zu der ähnlichen Gallertflechtengattung Collema ist Leptogium beidseitig berindet. Photobiont ist Nostoc spec. .



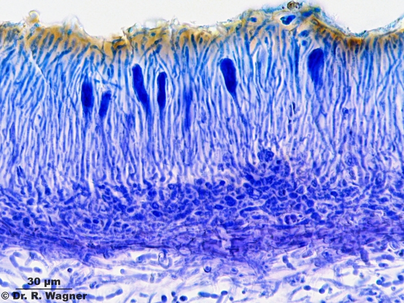
- Lobenquerschnitt mit Fruchtkörper, Färbung mit Lactophenol-Methylblau-Acidfuchsin. Besonders deutlich erkennt man nun die beidseitige Berindung, einige Asci und den Nostoc-Photobionten.



- Lobenquerschnitt mit Fruchtkörper, Färbung mit Lactophenol-Methylblau-Acidfuchsin. Nahansicht Asci und Paraphysen.



- Lobenquerschnitt mit Fruchtkörper, Färbung mit Lactophenol-Methylblau-Acidfuchsin. Nahansicht untere Berindung, Nostoc-Photobiont und Tomentum.


beamish

Hallo Ralf,

wie immer phantastische Bilder!
Geht es bei dem Lugolproblem darum, daß es nicht angefärbt hat oder daß keine Porusreaktion der Asci erfolgte?

Herzliche Grüße,

Martin
Zeiss RA mit Trinotubus 0/100
No-Name China-Stereomikroskop mit Trinotubus
beide mit Canon EOS 500D

Holger Adelmann

Hallo Ralf,
tolle Macrostrecke (sonst erkennt man die Flechten ja kaum), sehr schöne Schnitte ! Auch die Färbungen differenzieren das Gewebe gut.
Herzliche Grüsse & vielen Dank für den schönen Beitrag.
Holger

A. Büschlen

Hallo Ralf,

ein sehr schöner Beitrag. Die Lobenquerschnitte sind hervorragend präpariert und dargestellt!

Herzlich Arnold
Schwerpunkt z.Z.:
- Laub- und Lebermoose.
- Ascomyceten als Bryoparasiten.

Ralf

Hallo

und vielen Dank an alle. Es freut mich sehr, dass die eher unscheinbare Leptogium hier im Forum etwas Aufmerksamkeit bekommen konnte.

@ Martin: Es waren einfach zu wenige Asci vorhanden. Diese wenigen Asci zeigten zwar eine postive Reaktion mit Lugol, aber kein einziger hat sich so fotogen gezeigt, dass man die Charakteristika der Färbung hätte zeigen können.