Hauptmenü

Cladonia furcata

Begonnen von Ralf, Juli 26, 2010, 19:39:31 NACHMITTAGS

Vorheriges Thema - Nächstes Thema

Ralf

Liebe Flechtenfreunde,

die Unterscheidung C. furcata von C. rangiformis ist nicht einfach, da beide Cladonien habituell sehr ähnlich sein können und es viele Übergangsformen gibt. Bezüglich der Flechteninhaltsstoffe deutet das Vorhandensein von Fumarprocrtrarsäure und die Abwesenheit Atranorin auf C. furcata hin. Genau diese chemischen Verhältnisse wurden beim hier vorgestellten Exemplar per TLC verifiziert.

- Fundortfoto, auf Lehmsandstein



- Nahansicht Podetien. Dichotom verzweigt, teilweise gescheckt durch offene, weße Stellen ohne Algen.



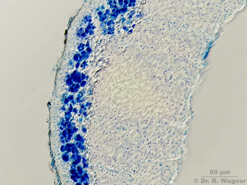
- QS Podetium, Färbung mit Lactophenol-Methylblau-Acidfuchsin. Außen berindet, innen hohl.



- wie vorher, aber im Phasenkontrast



- QS Podetium, Nahansicht, Färbung mit Lactophenol-Methylblau-Acidfuchsin. Schichtfolge: Äußere Rinde, Algenschicht, Medulla, feste Medulla, Hohlraum.



- wie vorher, aber im Phasenkontrast



Lit.: HUNECK, S., FEIGE, G. B. & SCHMIDT, J. 2004. Chemie von Cladonia furcata und Cladonia rangiformis. – Herzogia 17: 51–58 ; findet sich frei als pdf im Internet

rhamvossen

#1
Hallo Ralf,

Die Phasenkontrast Bilder sind wirklich schön. Welches Mikroskop und Objektive gebrauchst du? Freundlichen Grüßen,

Rolf

Ralf

Hallo Rolf,

eine Beschreibung meiner Ausrüstung findest Du hier:

http://www.dr-ralf-wagner.de/TechInfo.html

Schön, dass die Phakobilder Dir gefallen.




rhamvossen

Hallo Ralf,

Vielen Dank für die Informationen. Also, Phasenkontrast Neofluare. Dass erklärt die schönen Bilder. Freundlichen Grüßen,

Rolf