Ciliat sieht aus wie ein Turbinenrad.

Begonnen von heinrich, November 18, 2010, 17:39:15 NACHMITTAGS

Vorheriges Thema - Nächstes Thema

heinrich

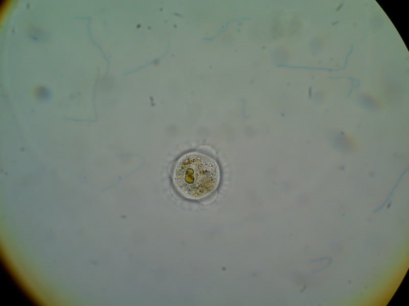
DieserCiliat stammt von einer moorigen Wiese. Er ist kugelförmig und ca. 35 µm groß. Der abgebildete Saum befindet sich im unteren Drittel, darunter ein feiner flimmernder Cilienkranz, den ichmitmeiner Technik nicht abbilden konnte. Die oberen 2/3 sind auf denFotos zu sehen. Handelt es sich um eine From von Vorticella?
"http://i803.photobucket.com/albums/yy315/Heinrich5344/PICT0012.jpg" border="0" alt="Photobucket"></a>
Danke fürs Anschauen und bitte nicht den Hintergrund bemängeln.
<a href="http://s803.photobucket.com/albums/yy315/Heinrich5344/?action=view&current=PICT0008.jpg" target="_blank"><img src="http://i803.photobucket.com/albums/yy315/Heinrich5344/PICT0008.jpg" border="0" alt="Photobucket"></a>
<a href="http://s803.photobucket.com/albums/yy315/Heinrich5344/?action=view&current=PICT0010.jpg" target="_blank"><img src="http://i803.photobucket.com/albums/yy315/Heinrich5344/PICT0010.jpg" border="0" alt="Photobucket"></a>
<a href="http://s803.photobucket.com/albums/yy315/Heinrich5344/?action=view&current=PICT0012.jpg" target="_blank"><img src="http://i803.photobucket.com/albums/yy315/Heinrich5344/PICT0012.jpg" border="0" alt="Photobucket"></a>
herzliche Grüße von
Heinrich Neumann

Bernhard Lebeda

Zitat von: heinrich in November 18, 2010, 17:39:15 NACHMITTAGS
DieserCiliat stammt von einer moorigen Wiese. Er ist kugelförmig und ca. 35 µm groß. Der abgebildete Saum befindet sich im unteren Drittel, darunter ein feiner flimmernder Cilienkranz, den ichmitmeiner Technik nicht abbilden konnte. Die oberen 2/3 sind auf denFotos zu sehen. Handelt es sich um eine From von Vorticella?
<a href="http://s803.photobucket.com/albums/yy315/Heinrich5344/?action=view&current=PICT0008.jpg" target="_blank"><img src="http://i803.photobucket.com/albums/yy315/Heinrich5344/PICT0008.jpg" border="0" alt="Photobucket"></a>
<a href="http://s803.photobucket.com/albums/yy315/Heinrich5344/?action=view&current=PICT0010.jpg" target="_blank"><img src="http://i803.photobucket.com/albums/yy315/Heinrich5344/PICT0010.jpg" border="0" alt="Photobucket"></a>
<a href="http://s803.photobucket.com/albums/yy315/Heinrich5344/?action=view&current=PICT0012.jpg" target="_blank"><img src="http://i803.photobucket.com/albums/yy315/Heinrich5344/PICT0012.jpg" border="0" alt="Photobucket"></a>
Danke fürs anschauen und bitte nicht den Hintergrund bemängeln.


Also ich finde den Hintergrund zu weiss und der Vordergrund gefällt mir auch nicht!  ;D


Gruss

Bernhard
Ich bevorzuge das "DU"

Vorstellung

HDD

Hallo Bernhard,

Lästere nicht rum, alter Läusert  ;) ;) ;) .( Das hat meine Oma, immer zu mir gesagt. Sie hat in ihrer Jugend in München gelebt.)

Der arme Heinrich hat wahrscheinlich die gleichen Probleme wie ich anfangs mit dem Bilder einstellen.

Das kann schon demotivierend sein, weil man immer Angst hat sich zu blamieren. Kopf hoch Heinrich,
weitermachen und nicht entmutigen lassen.

Viele Grüße

Horst-Dieter

heinrich

herzliche Grüße von
Heinrich Neumann

Bernhard Lebeda

Hallo Heinrich

das ist alles halb so wild:

http://www.mikroskopie-forum.de/index.php?topic=653.0


mögliche Fehlerquelle: hast Du die Bilder nach dem hochladen bei photobucket mit "save" abgespeichert?


Das kriegen wir schon hin.  ;)

Viele Mikrogrüsse

Bernhard
Ich bevorzuge das "DU"

Vorstellung

Peter Reil

Hallo Heinrich,

sollen es diese Bilder sein?





Sieht wirklich nach Turbine aus....

Freundliche Grüße
Peter Reil


PS: Wenn du in photobucket mit der Maus langsam über das Bild gehst, den "Direct link" anklicken und hier beim Bild einfügen.
Meine Arbeitsgeräte: Olympus BHS, BHT, CH2, CHK, Olympus SZ 30, antikes Rotationsmikrotom