Hauptmenü

Narbe der Menschlichen Haut

Begonnen von Spah, Juli 24, 2011, 16:41:32 NACHMITTAGS

Vorheriges Thema - Nächstes Thema

Spah

Aufgenomen MicroQ Digital-Okularr1,3MP OjektivPL4




Uploaded with ImageShack.us

Florian Stellmacher

Hallo Jürgen,

das sind zwei quer getroffene Haarfollikel - von einer Narbe ist weit und breit nichts zu sehen!

Grüße,
Florian
Vorwiegende Arbeitsmikroskope:
Zeiss Axioskop 2
Olympus BHS (DL, Pol, Multidiskussionseinrichtung)
Zeiss Axiophot (DIK und AL-Fluoreszenz)
Zeiss Axiovert (Fluoreszenz)
Wild M400 Fotomakroskop (DL, DF, AL, Pol)

Spah

Hallo Lieber Florian Danke für dein schreiben Ist ein fertiges Präparat
Steht so angeschrieben aber du wirst sicherlich recht haben

Florian Stellmacher

Hallo Jürgen,

natürlich kann es im Randbereich einer Narbe auch Haare geben, nur ist die Narbe selbst von Dir nicht fotografiert worden.

Gerne hätte ich Dir ein Foto mit den typischen Strukturen einer Narbe daneben gestellt; ich habe eben einmal nachgeguckt - eine hundsordinäre Narbe habe ich leider nie fotografiert. So müsstest Du Dir mit einem Buch behelfen. Es ist sicherlich ohnedies sinnvoll, solche Schnittpräparate nicht ohne entsprechende Anleitung zu mikroskopieren.

Grüße,
Florian
Vorwiegende Arbeitsmikroskope:
Zeiss Axioskop 2
Olympus BHS (DL, Pol, Multidiskussionseinrichtung)
Zeiss Axiophot (DIK und AL-Fluoreszenz)
Zeiss Axiovert (Fluoreszenz)
Wild M400 Fotomakroskop (DL, DF, AL, Pol)

Spah


Spah

Hallo Florian  auf deine Antwort(nur ist die Narbe selbst von Dir nicht fotografiert worden.)
Von wenn soll die Aufnahme sein wenn nicht von mir.

Florian Stellmacher

Ähmmm  ???

Natürlich ist das Foto von Dir, nur hast Du die eigentliche Narbe (also die Narbe selbst) nicht fotografiert...

Alles klar?
Vorwiegende Arbeitsmikroskope:
Zeiss Axioskop 2
Olympus BHS (DL, Pol, Multidiskussionseinrichtung)
Zeiss Axiophot (DIK und AL-Fluoreszenz)
Zeiss Axiovert (Fluoreszenz)
Wild M400 Fotomakroskop (DL, DF, AL, Pol)

Spah

Hallo Florian natürlich hast du recht man sollte mal in ein Buch schauen,
damit man weiß was man fotografiert .Werde es mir zu Herzen nehmen

Liebe Grüsse und einen schönen Sonntag noch.

Klaus Herrmann

Hallo Jürgen,

nun wäre natürlich noch die Narbe interessant, die sich auf dem Präparat ja sicher befindet!

So ein Haarfolikel quer und längs hätte ich auch zu bieten, Aber Narbe hab ich noch nie gesehen!





Mit herzlichen Mikrogrüßen

Klaus


ich ziehe das freundschaftliche "Du" vor! ∞ λ ¼


Vorstellung: hier klicken

Spah

#9
Hallo Klaus das würde mich jetzt auch interesieren ,werde
natürlich reserchieren und das Präparat durchleuchten und mit viel Glück auch finden
wenn ich mal weiß wie sie ausieht  ???

Aber nichts des do trotz schöne Bilder von dir

Liebe grüße Jürgen

Klaus Herrmann

#10
Danke lieber Spah:  ;)  Ich bin der Klaus - als Hermann schreibe ich mich mit doppel R  :D

ZitatAber nichts des do trotz schöne Bilder von dir

noch schöner wärs, wenn die Präparate von mir gemacht wären. Aber es ist Heidenhain/Graf. Und natürlich traumhaft schön!

Such weiter ich bin gespannt!
Mit herzlichen Mikrogrüßen

Klaus


ich ziehe das freundschaftliche "Du" vor! ∞ λ ¼


Vorstellung: hier klicken

Florian Stellmacher

#11
Hallo Jürgen,

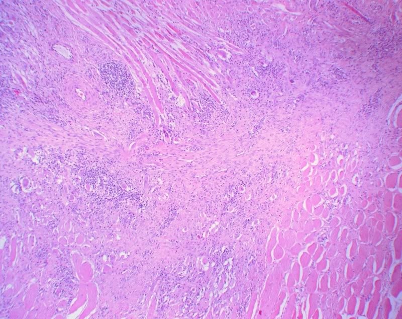
wer suchet, der findet! Auf einem USB-Stick habe ich ein Bild mit einer noch recht frischen Narbe gefunden.

Die Narbe liegt hier tief unter der Haut, nämlich in der Muskulatur der Bauchwand, die man am oberen und unteren Bildrand erkennen kann. Zentral liegt die Narbe, die aus hellen Kollagenfasern und in diesem Falle noch recht vielen Fibroblasten aufgebaut ist. Im Randbereich der Narbe erkennt man reichlich Lymphozyten und Plasmazellen, ein chronisch-entzündliches Infiltrat. Ferner sieht man im oberen rechten Quadranten sowie am linken Bildrand Fremkörperriesenzellen; diese liegen am Rand von chirurgischem Nahmaterial, das hier nicht erkennbar ist.



Eine Narbe ist das Endprodukt verschiedener Entzündungsreaktionen, an der Haut i.d.R. der Wundheilung. Narben gibt es aber auch z.B. im Herzmuskel oder in abgewandelter Form in verschiedenen inneren Organen, ja sogar im Gehirn. Eine Narbe ist typischerweise aus zellarmem und faserreichem Kollagengewebe aufgebaut.

Grüße,
Florian

P.S.: Wie eine Narbe im Herzmuskel entsteht, sieht man hier: https://www.mikroskopie-forum.de/index.php?topic=3797.0
Vorwiegende Arbeitsmikroskope:
Zeiss Axioskop 2
Olympus BHS (DL, Pol, Multidiskussionseinrichtung)
Zeiss Axiophot (DIK und AL-Fluoreszenz)
Zeiss Axiovert (Fluoreszenz)
Wild M400 Fotomakroskop (DL, DF, AL, Pol)

Spah

#12
Guten Morgen Klaus Entschuldigung für die Verwechselung deines Vornamens  :-[
Bei Florian möchte ich mich bedanken für seine mühe und seine präzise Erklärung

Wünsche einen schönen Tag noch
Liebe Grüße jürgen

Peter V.

Zitat von: Spah in Juli 25, 2011, 07:16:41 VORMITTAG
Guten Morgen Klaus Entschuldigung für die Verwechselung deines Vornamens  :-[
Bei Florian möchte ich mich betanken für seine mühe und seine präzise Erklärung

Wünsche einen schönen Tag noch
Liebe Grüße jürgen

Lieber Florian,

na dann mal: Prost!!!!  Treibts nicht zu doll! ;D  ;D  ;D

Herzliche Grüße
Peter

Dieses Posting ist frei von kultureller Aneigung, vegan und wurde CO2-frei erstellt. Für 100 Posts lasse ich ein Gänseblümchen in Ecuador pflanzen.

Florian Stellmacher

Lieber Peter,

ja - betanken ist natürlich eine Ansage! ich weiß gar nicht, ob ich soviel da habe...  ;D

Schöne Woche (und immer schön sauber bleiben)!
Florian
Vorwiegende Arbeitsmikroskope:
Zeiss Axioskop 2
Olympus BHS (DL, Pol, Multidiskussionseinrichtung)
Zeiss Axiophot (DIK und AL-Fluoreszenz)
Zeiss Axiovert (Fluoreszenz)
Wild M400 Fotomakroskop (DL, DF, AL, Pol)