Hauptmenü

63x vs. 100x

Begonnen von G. Helbig, Februar 04, 2011, 14:48:03 NACHMITTAGS

Vorheriges Thema - Nächstes Thema

Florian Stellmacher

Hallo,

ich kann Ulf nur zustimmen, wobei ich für die HER2-FISHe aktuell ein NIKON Planapochromat 60x 1,4 Öl benutze. Die Anschaffung war ein kleiner Kampf, aber ich hatte in meiner Zeit in der Uni ein 63er Planapo von ZEISS benutzt, dem ich lange nachgetrauert hatte. Zum Aufsuchen des Tumors hilft mir zunächst ein 10er oder 20er Fluorit-Objektiv (trocken), für die Auszählung ist das 60er hervorragend geeignet, wobei man auch die Morphologie noch gut beurteilen kann. Das 100er ist jetzt eigentlich überflüssig.
Auch für das Fotografieren ist in der Histologie/Zytologie ein 40er, 60er oder 63er mit hoher Apertur im Hellfeld "besser" geeignet als ein 100er, schon allein wegen des größeren Bildausaschnitts.

Herzliche Grüße,
Florian
Vorwiegende Arbeitsmikroskope:
Zeiss Axioskop 2
Olympus BHS (DL, Pol, Multidiskussionseinrichtung)
Zeiss Axiophot (DIK und AL-Fluoreszenz)
Zeiss Axiovert (Fluoreszenz)
Wild M400 Fotomakroskop (DL, DF, AL, Pol)

Peter V.

#16
Lieber Detlef,

klang nicht überheblich, Du darfst Dich durchaus trauen, auch Erklärungen zu geben, von denen Du meinst, dass ich sie eigentlich doch wissen müsse. Manchmal sind einem ja tatsächlich auch ganz einfache Zusammenhänge nicht klar, und ich würde mich auch nicht schämen, derartige Wissenslücken offenzulegen, wenn sie vorhanden wären.
Aber in diesem Fall kann ich Dich beruhigen: Diese Zusammenhänge waren mir klar und mir ist klar, dass man für diese Auflösungen Öl benötigt. Ich denke, Du hast meine Frage falsch verstanden oder ich habe mich unglücklich ausgedrückt.
Meine Frage lautete: Wozu gibt es überhaupt diese zwar hoch auflösenden, aber niedrig vegrößernden Objektive? Eigentlich ist es ja klar: man sieht ein größeres "Feld" bei dennoch hoher Auflösung.
Mich hat aber diese Aussage von Herrn Jülich verwirrt:
ZitatKennen Sie ein 60x/1,4 was für größere Felder gerechnet ist als ein 100x/1,4?
denn ich hätte Renes Aussage auch zugestimmt. Vermutlich ist aber auch das alles ein Mißverständnis, in dem Falle bezogen auf das Wort "Feld". Rene meint vermutlich das "vom Objektiv erfaßte Feld" des Präparates und Herr Jülich meint das "Sehfeld". Haben die Beiden evtl. aneinander vorbei geredet  ???

Hezrliche Grüße
Peter
Dieses Posting ist frei von kultureller Aneigung, vegan und wurde CO2-frei erstellt. Für 100 Posts lasse ich ein Gänseblümchen in Ecuador pflanzen.

Florian Stellmacher

#17
Hallo,

hier noch vier Bilder, die vielleicht den Unterschied zwischen einem Trockenobjektiv und einer Ölimmersion verdeutlichen können:

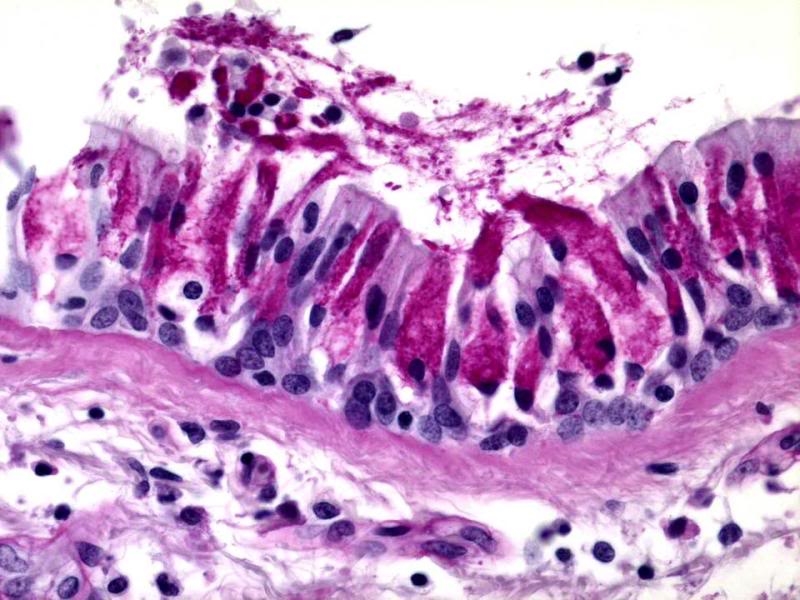
Bild 1: Bronchusschleimhaut bei chronischer Bronchitis, PAS, ZEISS Plan Neofluar 40x 0,75


Bild 2: Wiederum Bronchusschleimhaut bei chronischer Bronchitis, hier mit stärkerer Becherzellhyperplasie, PAS, ZEISS Planapochromat 63x 1,4


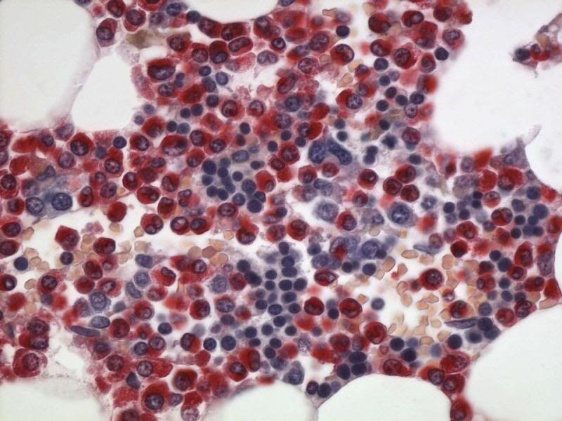
Bild 3: Knochenmark, Clorazetatesterase-Färbung (LEDER-Färbung), ZEISS Plan Neofluar 40x 0,75


Bild 4: Gleiches Präparat, ZEISS Planapochromat 63x 1,4


Herzliche Grüße,
Florian
Vorwiegende Arbeitsmikroskope:
Zeiss Axioskop 2
Olympus BHS (DL, Pol, Multidiskussionseinrichtung)
Zeiss Axiophot (DIK und AL-Fluoreszenz)
Zeiss Axiovert (Fluoreszenz)
Wild M400 Fotomakroskop (DL, DF, AL, Pol)

Gunther Chmela

Zitat von: Peter V. in Februar 05, 2011, 19:57:14 NACHMITTAGS
Hallo!

Darf ich mal ( als bisheriger Fast-Öl-Abstinenzler mit insofern auch unzureichender praktischer Erfahrung ) folgende, vielleicht etwas "dumme" Frage stellen: Wozu gibt es eigentlich die hoch ausflösenden 40er und 63-er Ölobjektive?

Herzliche Grüße
Peter


Lieber Peter V.,

wenn man einmal die unglaubliche Brillanz (visuell!) der Bilder gesehen hat, die ein Planapo 40/1,0 liefert, dann würde man die Frage vermutlich nicht stellen. Man würde sich wahrscheinlich nur wünschen, dieses Objektiv zu besitzen - vorausgesetzt, dass man (wie ich) an der Mikroskopie auch ein großes ästhetisches Vergnügen hat!  :) ;)

Herzliche Grüße!
G.Ch.

Jürgen Boschert

Hallo Peter,

hier kann ich Gunther nur absolut beipflichten: das Planapo 40 / 1,0 Oel ist visuell ein Traum; ähnlich sind auch die Multi-Imm Plan-Neofluare, hierunter insbesondere das 25 / 0,8. Unglaubliche Brillanz !

Beste Grüße !

JB
Beste Grüße !

JB

Rene

Zitatdenn ich hätte Renes Aussage auch zugestimmt. Vermutlich ist aber auch das alles ein Mißverständnis, in dem Falle bezogen auf das Wort "Feld". Rene meint vermutlich das "vom Objektiv erfaßte Feld" des Präparates und Herr Jülich meint das "Sehfeld". Haben die Beiden evtl. aneinander vorbei geredet 

Gerade dass! It means: more glass, and therefore loss of contrast. Something Herr Juelich already remarked.

Herzliche gruesse, Rene

G. Helbig

Hallo zusammen,

vielen Dank für die ausführlichen und weiterführenden Antworten: Meine Frage wurde für mich zur vollen Zufriedenheit beantwortet.

Viele Grüße

Gerald