Botanik: Gut geschützt - Blatt & Spross des Rosmarins (Rosmarinus officinalis)*

Begonnen von Fahrenheit, September 26, 2013, 16:37:27 NACHMITTAGS

Vorheriges Thema - Nächstes Thema

Fahrenheit

Liebe Pflanzenfreunde,

Edit 19.10.13: Schnitte des Sprosses weiter unten im Thread

angeregt durch eine Anfrage, die kürzlich hier im Forum gestellt wurde, habe ich unseren Rosmarin um ein Blatt gebeten. :)
Die Schnitte davon möchte ich heute hier vorstellen.

Der Rosmarin (Rosmarinus officinalis) ist eine von zwei Arten der Gattung Rosmarinus und ein immergrüner Halbstrauch aus der Familie der Lippenblütler (Lamiaceae). Sein Name kommt aus dem Lateinischen: ros marinus und bedeutet Meertau. Das könnte passen, da sich bei den oft in Küstennähe des Mittelmeeres wachsenden Sträuchern am frühen Morgen der Tau in den Blüten sammelt. Eine weitere Deutung des Namens geht auf die Griechische Sprache zurück: rhops myrinos kann als "Balsamstrauch" übersetzt werden.

Bild 1: Illustration aus Köhler's Medizinal-Pflanzen, Franz Eugen Köhler, 1897 (gemeinfrei)


Der immergrüne, buschig verzweigte Strauch duftet intensiv aromatisch und erreicht eine Größe von 0,5 bis 2 Metern. Die grau-braune Rinde der meist aufrecht wachsenden Äste schält sich an älteren Zweigen im Rahmen des sekundären Dickenwachstums ab. Die 10 bis 40 mm langen und 1,5 bis 4 mm breiten Blätter sind gegenständig, sitzend und schmal lineal. Ihre Oberseite ist tief grün, leicht runzlig und mit einer dicken Cuticula überzogen, dabei ist der Blattrand nach unten leicht eingerollt. An der mit weißen Etagenhaaren dicht besetzten Blattunterseite liegen dicht an dicht Gruben, die ebenfalls behaart sind und deren Tiefe bis zu zwei Drittel des Blattdurchmessers erreichen kann. Nur in ihnen finden sich die Stomata, was die Verdunstung herabsetzt und den Strauch an seinen meist ariden Standorten vor Austrocknung schützt. Die Gruben bilden dabei eine Art Rautenmuster, das beim Blick auf die Blattunterseite erkennbar bleibt. Neben den Etagenhaaren gibt es auch noch die deutlich größeren, Kugeligen und gestielten Drüsenhaare, die einen Durchmesser von etwa einem 0,1 Millimeter erreichen können und die ätherischen Öle freisetzen, die bei jeder Berührung des Strauches ausströmen.

Bild 2: Blühender Rosmarin

Aufnahme von Wikipedia-User H. Zell unter CC BY SA 3.0

Rosmarin hat keine feste Blütezeit, sondern seine Blüten erscheinen ganzjährig. Sie stehen zu zweit bis zu zehnt an ebenfalls stark behaarten Scheinquirlen. Der Kelch ist glockig, zweilippig und zur Fruchtzeit deutlich vergrößert. Die Oberlippe ist zweiteilig, die Unterlippe dreilappig mit einem großen, löffelförmig ausgehöhlten und nach unten gebogenen Mittellappen. Die Krone ist hellblau, selten rosa oder weiß und 10 bis 12 mm lang. Die zwei Staubblätter ragen weit aus der Blüte heraus.

Bild 3: Blütenstand

Aufnahme von "Thor" unter CC BY SA 2.0

Rosmarinus officinalis wächst im westlichen und zentralen Mittelmeerraum wild, insbesondere in Küstenregionen von Portugal bis zum Ionischen Meer. Auch im östlichen Mittelmeergebiet und am Schwarzen Meer wird die Art seit der Antike kultiviert und tritt gelegentlich verwildert auf, manchmal sogar bestandsbildend, z.B. auf Santorin. Rosmarin bevorzugt sonnige, trockene, kalkreiche Standorte. Er ist typisch für den Buschbewuchs von Macchien und Garigues.
Der Rosmarin wird häufig als Zier- und Gewürzpflanze kultiviert - so kommt er auch in meinen Garten. Vermutlich haben seine Verwendung als Heilpflanze und Gewürz sowie seine geringen Anforderungen an seine Umgebung dazu geführt, dass er sich schnell auch in den Kräutergärten Europas verbreitete und schon 1388 in England dokumentiert ist.

Die folgenden Inhaltsstoffemachen den Rosmarin für das Officium und die Culina so attraktiv: er enthält 2,5 % ätherische Öle (Terpene: Cineol, Borneol, Bornylacetat, Campher, Carnosol, Carnosolsäure und Terpineol), 8 % Gerbstoff (hauptsächlich Rosmarinsäure), Flavonoide, Glycolsäure, Bitterstoffe, Saponine und Harz.

Gerne verweise ich auch auf Peter Höbels Thread zum Rosmarin hier im Forum. Dort gibt es (unter Anderen) ein sehr schönes Übersichtsbild zum gesamten Blattquerschnitt.


Bevor wir zu den Bilder kommen, wie immer kurz zur Präparation:

Das frische Blatt wurde in Möhreneinbettung auf dem Handzylindermikrotom mit DurAedge Einmalklingen im SHK-Klingenhalter geschnitten. Die Schnittdicke beträgt ca. 50 µm.

Vor der Färbung habe ich auch einige Aufnahmen vom ungefärbten Material gemacht.

Gefärbt habe ich hier wieder nach W3Asim II von Rolf-Dieter Müller. Entsprechende Arbeitsblätter können im Downloadbereich der MKB-Webseite herunter geladen werden. Nach der Färbung habe ich vor dem Entwässern kurz in Ethanol 70% differenziert (hätte wohl was mehr sein können ...).
Eine ausführliche Beschreibung der Färbung findet sich hier.


Und noch ein wenig zur Technik:

Alle Aufnahmen auf dem Leica DME mit den Objektiven NPlan 5x und 40x sowie dem 10x und 20x PlanApo. Die Kamera ist eine Canon Powershot A520 mit Herrmannscher Okularadaption, zur Zeit nutze ich ein Zeiss KPL 10x, das mit den Leica-Objektiven sehr gut harmoniert. Die Steuerung der Kamera erfolgt am PC mit PSRemote und der Vorschub manuell anhand der Skala am Feintrieb des DME.

Alle Mikroaufnahmen sind mit Zerene Stacker V1.04 (64bit) gestackt. Die anschließende Nachbereitung beschränkt sich auf die Normalisierung und ein leichtes Nachschärfen nach dem Verkleinern auf die 1024er Auflösung (alles mit XNView in der aktuellen Version). Bei stärker verrauschten Aufnahmen lasse ich aber auch mal Neat Image ran.


So, nun aber zu den Bildern!

Zunächst eine Auflichtaufnahme von der Blattunterseite:

Bild 4a/b: Behaarte Blattunterseite, Bild 4b mit Beschriftung; Vergrößerung 50x, Stapel aus je 46 Aufnahmen


DH bezeichnet die kugelförmigen Drüsenhaare, die Etagenhaare müssen sicherlich nicht beschriftet werden ... ;)

Die Auflichtaufnahme ist in Anlehnung an die von Heike und Horst-Dieter verwendete Auflichttechnik entstanden. Als Diffusor dienten zwei Trennblättchen aus einer Objektträgepackung. Das Ganze sah dann so aus:

Bild 5: Aufbau für die Auflichtaufnahme am Leica DME


Und hier die ungefärbten und gefärbten Querschnitte.

Bild 6a/c: Mittelrippe des Blattes, Bild6a ungefärbt, Bild 6c mit Beschriftung; Vergrößerung 100x, Stapel aus 34 bzw. 11 Aufnahmen



Die Mittelrippe sitzt wie auf einem kleinen Stiel hervorgehoben unterhalb der Blattspreite. Wer die Beschriftung nachlesen möchte, findet auf der MKB Webseite eine Tabelle mit den Kürzeln und den zugehörigen allgemeinen Erläuterungen zum Herunterladen. Diese gilt natürlich auch für die noch folgenden Bilder.

Bild 7: Das Leitbündel der Mittelrippe noch einmal hervorgehoben, Vergrößerung 200x, Stapel aus 6 Aufnahmen


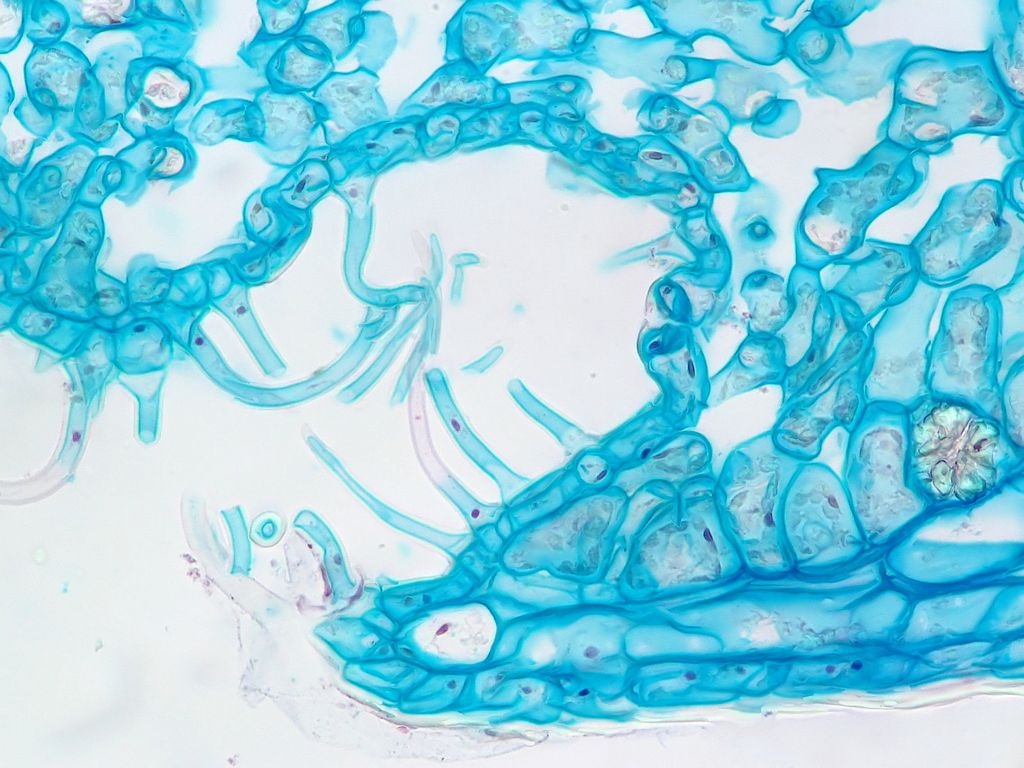
Bild 8a/c: Querschnitt durch die Blattfläge am eingerollten Blattrand, Bild 8a ungefärbt, Bild 8c mit Maßstab; Vergrößerung 100x, Stapel aus 39 bzw. 7 Aufnahmen



In der Bildmitte hebt sich, mit gelb eingefärbten Epidermiszellen, eine der angeschnittenen Gruben hervor. Hier schon auffällig: das sehr lockere Schwammparenchym (SPa) und das dichte, mehrreihige Assimilationsparenchym (AP) - auch Palisadenparenchym.

Bild 9a/b: Querschnitt im Detail, Bild 9b mit Beschriftung; Vergrößerung 200x, Stapel aus je 18 Aufnahmen


Der Schnitt geht durch eine der Gruben (Stomatäre Einsenkungen), ohne deren Mittelpunkt zu schneiden. Wie oben schon angesprochen, gibt es ein sehr dicht gepacktes, dreireihiges Assimilations- oder Palisadenparenchym, darunter liegt ein sehr luftiges Schwammparenchym. Im unteren Bereich der beiden Parenchymsäulen am Rande der Grube findet sich je ein Leitbündel und am unteren Rand sitzt je ein Drüsenhaare. Schön zu sehen ist, dass die Etagenhaare die stomatäre Einsenkung fast ausfüllen.

Bild 10a/b: Stoma am Grubenrand, Bild 10b mit Beschriftung. Vergrößerung 400x, Stapel aus 19 Aufnahmen


Der Rosmarin besitzt diacytische Stoma.

Eine ganz ähnliche Anordnung der Stoma in stomatären Einsenkungen findet sich beim Oleander, hier ein Beispiel:

Bild 11a/b: Stomatäre Grube beim Oleander (Nerium oleander), Färbung Etzold blau, Schnittdicke 10µm (Paraffin); Vergrößerung 400x, Stapel aus je 11 Bildern, Präparat von Anton Berg



Zu guter letzt noch ein Blick auf eines der Drüsenhaare:

Bild 12a/b: Drüsenhaar, Bild 12b mit Maßstab; Vergrößerung 400x, Stapel aus je 23 Aufnahmen


interessant der Aufbau mit einer äußeren Hülle, die hier - etwas schrumpelig und leer - noch einen Durchmesser von rund 82 µm erreicht. In dieser liegt eine kleine Gruppe von Zellen, die wohl für die Produktion der ätherischen Öle zuständig ist und selbst auf einem mehrzelligen Stiel sitzt.

Vielen Dank fürs Anschauen, Anmerkungen und Kritik sind wie immer willkommen.

Herzliche Grüße
Jörg
Hier geht's zur Vorstellung: Klick !
Und hier zur Webseite des MKB: Klick !

Arbeitsmikroskop: Leica DMLS
Zum Mitnehmen: Leitz SM
Für draussen: Leitz HM

hajowemo

Lieber Jörg,
tolle Sache!!! Eine Freude es zu bestaunen.
Herzlichen Dank für deine Arbeit.
Liebe Grüße
Jochen
Vorstellung
Homepage www.mikroskopie-hobby.de
Gerne per "Du"
Man sieht nur mit dem Herzen gut.
Das Wesentliche ist für die Augen unsichtbar.

Fahrenheit

Lieber Jochen,

gerne geschehen!  :) Es freut mich sehr, dass Dir mein Beitrag gefällt.

Herzliche Grüße
Jörg
Hier geht's zur Vorstellung: Klick !
Und hier zur Webseite des MKB: Klick !

Arbeitsmikroskop: Leica DMLS
Zum Mitnehmen: Leitz SM
Für draussen: Leitz HM

pantani

Lieber Jörg,

ein schöner Beitrag, den Du da wieder verfasst hast.
Das nehme ich doch als Anregung, mich auch mal wieder mit diesem allzeit frisch im Garten verfügbarem rosmarinus zu beschäftigen.

Herzliche Grüße,
Peter

Hans-Jürgen Koch

Lieber Jörg,

super Beitrag von Dir. Es ist sicher schwierig, die kugelförmigen Drüsenhaare und die Etagenhaar darzustellen. Auf einigen Bildern ist der Hintergrund für mich etwas zu hell.
Besonders gefallen  mir die Schließzellen mit den herum liegenden Nebenzellen (stomatäre Komplexe).

Mit freundlichem Gruß

Hans-Jürgen
Plants are the true rulers - Pflanzen sind die wahren Herrscher.

<a href="http://www.mikroskopie-forum.de/index.php?topic=2650.0" target="_blank">Hier geht es zur Vorstellung</a>

Gerne per "Du"

Jan Kros

Lieber Joerg
ich schliesse mich vorigen schreibern an
herzlichen gruss
Jan

...


Fahrenheit

Liebe Freunde,

vielen Dank für Euer Lob, über das ich mich immer sehr freue.

Lieber Peter,

wenn ich Dich zum Schnippeln verleitet habe, ist das für mich größte Lob!  ;)

Lieber Hans-Jürgen,

die Etagenhaare erwischst Du natürlich nur in der jeweiligen Schnittebene und die sind ja recht groß. Auch die Drüsenhaare überleben Schnitt und Präparation nicht: die äußere Hülle ist quasi immer zerknittert. In Bild 8a findest Du z.B. nahe der Bildmitte jede Menge Öltröpfchen im leicht alkoholischen Medium - die stammen von einem angeschnittenen Drüsenhaar.
Was das Weiß angeht: vielelicht habe ich diesmal etwas zu aggressiv normalisiert, danke für Deinen Hinweis.   
Eine der Gruben gerade sauber so zu erwischen, dass kein Schwammparenchym den Blick auf die Epidermis mit den Stoma stört, ist reiner Zufall. Ich habe exakt eine passende Stelle in meinen acht Schnitten.  :D

Lieber Mario,

ja, die Jansjös sind klasse für die Auflichtbeleuchtung unter normalen Mikroskopen und Stemis geeignet. Statt der Papierstreifen kannst Du auch einen halbierten Tischtennisball mit Loch für das Objektiv verwenden, oder einen passend zugeschnittenen weißen Einwegbecher. Die Technik stammt von Heike und Horst-Dieter Döricht. Wenn Du Fragen dazu hast, bist Du bei den Beiden bestens aufgehoben.

Allen herzliche Grüße
Jörg
Hier geht's zur Vorstellung: Klick !
Und hier zur Webseite des MKB: Klick !

Arbeitsmikroskop: Leica DMLS
Zum Mitnehmen: Leitz SM
Für draussen: Leitz HM

Rawfoto

Guten Morgen

Danke für diesen Beitrag, er ist eine Bereicherung und Anregung ...

Liebe Grüße

Gerhard
Gerhard
http://www.naturfoto-zimmert.at

Rückmeldung sind willkommen, ich bin jederzeit an Weiterentwicklung interessiert, Vorschläge zur Verbesserungen und Varianten meiner eingestellten Bilder sind daher keinerlei Problem für mich ...

Eckhard

Lieber Jörg,

klasse Beitrag und schöne Schnitte. Vor allem die Aufnahme des Leitbündels der Mittelrippe gefällt mir. W3A und Planapos, das ist natürlich was sehr feines.

Wenn ich mich in mein neues Spielzeug richtig eingearbeitet habe kann ich auch Blätter etc. drunter legen. Ich bin schon sehr gespannt.

Herzliche Grüsse
Eckhard

Zeiss Axioscope.A1 (HF, DF, DIK, Ph, Pol, Epifluoreszenz)
Nikon SE2000U (HF, DIK, Ph)
Olympus SZX 12 (HF, DF, Pol)
Zeiss Sigma (ETSE, InLens SE)

www.wunderkanone.de
www.penard.de
www.flickr.com/wunderkanone

Holger Adelmann

Wieder ein toller Beitrag, den Du für uns mit viel Fleiß und Können erarbeitet hast, lieber Jörg.
Du weist ja dass ich ich nicht unbedingt der Botanikfreak bin, aber mich interessieren funktionelle Aspekte und deren Umsetzung (im Pflanzen- und Tierreich) immer sehr.

Daher gefällt mir das letzte Bild des Drüsenhaares sehr gut. Auch wenn das äussere Häutchen im Gegensatz zu der Nativaufnahme im Auflicht etwas geschrumpft ist,
hast Du es dennoch sehr schön in der anatomischen Position zu den vermutlichen ölproduzierenden Zellen erhalten können.
Es stellt ja offenbar die äussere Hülle des Öl-Reservoirs dar.

Toll - danke für's Zeigen & herzliche Grüsse
Holger






Fahrenheit

Liebe Freunde,

auch Euch herzlichen Dank!

Lieber Eckhard,

ja, auch bei den einfachen Pflanzenschnitten bringt die deutlich höhere NA der PlanApos einen schönen Qualitätsgewinn, grade auch bei Stacks, wenn man die Abstände gering genug wählt.

Auf die Bilder von Deinem neuen "Spielzeug" bin ich sehr gespannt. Da kannst Du uns ja mit Kryo-Brüchen a la Wanner von Pflanzengeweben erfreuen. Hat Zeiss mittlerweile die Säule getauscht?

Lieber Holger,

Du hast Recht, "Wie funktioniert das?" ist mittlerweile jenseits der Mikroskopischen Technik und der Präparation auch meine Triebfeder geworden. Zur Zeit arbeite ich mit Detlefs Unterstützung am Spross des Chinesischen Blauregens, dessen Besonderheiten wir in den bisher erstellten Präparaten nicht so recht finden können. Es soll dort im Xylem eingelagerte Phloemstreifen geben.

Das Rosmarinblatt ist ein Produkt meiner Neugier, angeregt durch die Nachfrage vor einigen Wochen hier im Forum. Eines kann ich mir gerade bei den Drüsenhaaren aber noch nicht erklären: wir kennen alle den leckeren Duft, der sofort aufsteigt, sobald man mit der Hand durch die Rosmarinzweige streift. Aber wie werden die ätherischen Öle freigesetzt? Ob das Häutchen einfach aufplatzt? Aber ich habe bisher im Auflicht am Frischmaterial keine Drüsenhaare mit einem zerstörten Häutchen gesehen. Und regeneriert sich das Haar dann? Oder wird es neu gebildet?
Mal schauen, vielleicht findet sich da ja noch der eine oder andere Anhaltspunkt.

Euch allen herzliche Grüße und ein schönes Wochenende
Jörg
Hier geht's zur Vorstellung: Klick !
Und hier zur Webseite des MKB: Klick !

Arbeitsmikroskop: Leica DMLS
Zum Mitnehmen: Leitz SM
Für draussen: Leitz HM

Rolf-Dieter Müller

Lieber Jörg,

abgesehen von Deinem wieder einmal hochinteressanten Bearbeitung gefällt mir die Umsetzung des Auflichtdiffusors. Es tat mir immer schon leid diese schönen Papierblättchen zu entsorgen, jetzt gibt es eine sinnvolle Verwendung.

Viele Grüße
Rolf-Dieter

Fahrenheit

Lieber Rolf-Dieter,

auch Dir herzlichen Dank!

Die Einlegeblättchen der BMS-Objektträger sind übrigens nicht nur als einfacher Diffusor zu gebrauchen. Sie machen sich auch gut als Präparat. Einfach mit Isopropanol durchfeuchten und dann mit Euparal eindecken. Besonders im Pol sind sie durchaus interessant.

Herzliche Grüße
Jörg
Hier geht's zur Vorstellung: Klick !
Und hier zur Webseite des MKB: Klick !

Arbeitsmikroskop: Leica DMLS
Zum Mitnehmen: Leitz SM
Für draussen: Leitz HM

Fahrenheit

Liebe Pflanzenfreunde,

heute möchte ich den Thread hier um einige Aufnahmen vom zweijährigen Spross des Rosmarins ergänzen. Präparation und Färbung erfolgten analog zum Blatt, nur dass ich den Spross freistehend schneiden konnte.

Bild 13a/b: Übersicht, Bild 13b mit Beschriftung, Vergrößerung 50x, Stapel aus je 8 Bildern


Der Querschnitt zeigt den zu erwartenden typischen Aufbau. Die Beschriftung folgt der Tabelle hier.

Arbeiten wir uns von innen nach außen vor:

Bild 14: Mark, primäres Xylem und Xylem; Vergrößerung 200x, Stapel aus 10 Bildern


Bild 15: An der Jahresringgrenze; Vergrößerung 200x, Stapel aus 8 Bildern


Und nun die äußeren Gewebeschichten:

Bild 16a/b: Der interessante Teil :), Bild 16b mit Beschriftung, Vergrößerung 200x, Stapel aus je 21 Bildern


Die Beschriftung folgt wieder der unter Bild 13 verlinkten Tabelle.

Zum Abschluss noch einmal ein genauerer Blick auf die Region rund um das Cambium:

Bild 17a/b: An der Wachstumszone, Bild 17b mit Beschriftung; Vergrößerung 400x, Stapel aus je 11 Bildern


Auch hier hilft bei der Deutung der Beschriftung die weiter oben verlinkte Tabelle. Im Phloem sind Siebröhren und Geleitzellen zu erkennen, leider habe ich jedoch in keinem der Schnitte eine fotogene Siebplatte entdecken können.

Vielen Dank fürs Lesen, Anregung und Kritik sind wie immer willkommen.

Herzliche Grüße
Jörg 
Hier geht's zur Vorstellung: Klick !
Und hier zur Webseite des MKB: Klick !

Arbeitsmikroskop: Leica DMLS
Zum Mitnehmen: Leitz SM
Für draussen: Leitz HM