HISTOLOGIE: Wirbelsäule mit Rückenmark und Wirbelkörper eine Junge Maus

Begonnen von Ronald Schulte, September 02, 2011, 21:40:51 NACHMITTAGS

Vorheriges Thema - Nächstes Thema

Ronald Schulte

Heute mal wenig Theorie aber mehr Genuss zum anschauen.
Meine Stitch-liebe liefert öfters sehr Größe Bilder. Zu groß um im Forum zu zeigen.
Mit das Programm 'Zoomify' wird ein schöne Zoom Funktion möglich gemacht.
Man kann fast bis zu den Zellkernen einzoomen.

Gezeigt wird ein Stückchen Wirbelsäule die ich von eine Junge Maus geschnitten habe (länge ist ungefähr 5 bis 6 mm).
Am oberen Rand ist die Haut zu erkennen.
In die Wirbelkörper werden die Blutzellen gebildet.
Das Rückenmark liegt in die Mitte der Säule und ist Lila gefärbt. Viel Kernen von Neuronen sind zu sehen.
Linksunten ist ein Langsgeschnittene Spinalnerv zu beobachten mit viele Grosse Kernen von Neuronen.
Gestitcht sind 134 Aufnahmen mit ein 16x Leitz Fluorit Objektiv. Mikroskop: Leitz Orthoplan.
Kamera: Moticam 2300

Für Zoomify bitte diesen Link anklicken:
http://test.ronaldschulte.nl/wervels/TemplateWebPage.htm
Dann kommt dieses Bild,



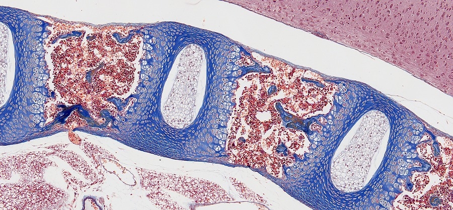
Zum vergleich ein Bild gefärbt nach Mallory 1900.
Das Rückenmark Färbt sich hier Rosa.



Viel Spaß beim anschauen,
Grüße aus Holland, Ronald
Mikroskope:
Leitz Orthoplan (DL, AL-Fluoreszenz und Diskussionseinrichtung).
Leica/Wild M715 Stereomikroskop.
Mikrotom:
LKB 2218 Historange Rotationsmikrotom.

Holger Adelmann

Das ist wieder wunderbar ästhetisch geworden, Ronald. Ich bewundere die Klarheit und die schönen Farbabstufungen der Mallory-Färbung.

Ich nehme an, Du verwendest die Anilinblau-Orange G Lösung mit Phosphorwolframsäure als Beize, hast Du mal die ursprünglich von Mallory angegebene Variante mit Oxalsäure versucht?

Herzliche Grüsse
Holger


Dieter Stoffels

#2
Hallo Ronald,

vielen Dank für diese schöne Übersichtsaufnahme. Mich würde interessieren, ob es sich um eine junge Maus im prä- oder im postnatalen Zustand gehandelt hat. Die Wirbelglieder besitzen noch eine knorpelige Struktur, eine enchondrale Knochenbildung mit Osifikation scheint noch nicht stattgefunden zu haben. Ich gehe davon aus, dass es im Zuge der Präparation nicht notwendig gewesen ist, die Maus zu entkalken. Liege ich mit meiner Vermutungen richtig? Besitzt Du eine Normentafel, in der die verschiedenen Entwicklungsstadien der Maus aufgeführt sind?

Herzliche Grüße!

Dieter

Harald

Hallo Ronald!

Wieder einmal bewundere ich mit Neid die unglaubliche Qualität deiner Aufnahmen und Präparate! Einfach nur toll!

Dieter: Ich hätte gemeint, dass die Ossifikation gerade stattfindet, in den Knochenbälkchen sieht man bereits Herde die "verknöchern". Ein Entkalken wird jedoch (noch) nicht nötig sein!

Liebe Grüße
Harald

Dieter Stoffels

Hallo Harald,

ich habe mir jetzt einmal das gezoomte Bild angesehen und muss Dir Recht geben, es sind erster Knochentrabekel im Bereich "des blutbildenden Systemes" zu beobachten.

Vielen Dank für Deinen Hinweis!

Dieter

sirdul

Hallo Ronald,
ich wünschte mir, meine botanischen Schnitte würden mir auch in dieser Qualität gelingen. Glückwunsch zu dieser Arbeit.
Ich bin leider histologisch völlig unwissend, könntest Du bitte den Schnitt beschriften und zeigen wo die Wirbelkörper, das Rückenmark und der Spinalnerv ist ?

Gruß aus Kronach

Ludger Benning

Ronald Schulte

#6
@Holger,
Ja ich beize mit Phosphorwolframsäure. Die Anilin/Orange-G Mischung habe ich als fertiges Pulver-gemisch von Chroma. Die ist, nehme ich an, mit Phosphorwolframsäure angefertigt aber das frage ich bei Chroma mal nach.

@Dieter,
Diese Maus war neu Geboren, also Postnatal, und 1 bis Zwei Tagen Alt und habe es nicht entkalkt aber habe sie vier bis fünf Wochen in Bouin Fixiert so wird da durch das Anteil an Eisessig auch schon was entkalkt. Nur ab und zu hat ein Schnitt sich etwas gefaltet aber die meisten ließen sich einfach Schneiden. Natürlich mit ein Neues Scharfes Messer, sonst geht das nicht.
Ein 'Theiler stage' Website habe ich.
Empfehlenswert finde ich:
http://www.emouseatlas.org/emap/home.html und
http://embryology.med.unsw.edu.au/Otheremb/mouse4.htm

@Harald,
Entkalkt habe ich nicht aber habe sie vier bis fünf Wochen in Bouin Fixiert so wird da durch das Anteil an Eisessig auch schon was entkalkt.

@Ludger,

Mir faltet auch manchmal ein Schnitt und ist dann nicht mehr so schön aber die zeige ich hier auch nicht. Meine Empfehlung für Qualität ist das alles stimmen muss, das heißt lange genug fixieren, gut spulen, entwässern und lange genug infiltrieren mit Paraplast. Dann natürlich schneiden mit ein Mikrotom mit scharfe Messer und gut gekühlte Blöcke. Mit z.B. ein Handmikrotom ist Tierliches Gewebe nicht zu schneiden. Dann bleibt das Hobby-gehalt sehr hoch. Pflanzen jedoch kann man, was ich hier im Forum lese, aber gut mit ein Handmikrotom schneiden.

Zur Ergänzung habe ich noch was Bilder eingestellt und möchte ich für den Spinalganglion verweisen nach Holger Adelmann sein Beitrag mit fast ungläubige Bilder.
https://www.mikroskopie-forum.de/index.php?topic=10121.0

Midsagittalen Schnitt durch ein Mensch. Das Rückenmark ist gut zu erkennen wie es in die Wirbel verborgen ist.



Detail von die Wirbel.






So sieht ein Motorischen Neuronkern im Rückenmark aus. Merke den feuerroten Nukleolus.


Grüße Ronald

Mikroskope:
Leitz Orthoplan (DL, AL-Fluoreszenz und Diskussionseinrichtung).
Leica/Wild M715 Stereomikroskop.
Mikrotom:
LKB 2218 Historange Rotationsmikrotom.

Ronald Schulte

@Harald,

Zur Qualität die aufnahmen kann ich noch dazu fügen: Leitz Orthoplan mit Apo's und Fluoriten, gute Zwischen-Optik und ein Moticam 2300.
Dann sind schöne aufnahmen fast Kinderspiel.

Grüße Ronald
Mikroskope:
Leitz Orthoplan (DL, AL-Fluoreszenz und Diskussionseinrichtung).
Leica/Wild M715 Stereomikroskop.
Mikrotom:
LKB 2218 Historange Rotationsmikrotom.

Dieter Stoffels

#8
Hallo Ronald,

vielen Dank für Deine Internetadressen.  Besonders der erste link entspricht genau dem, was ich gesucht habe. Auch das Herunterladen des Buches/Atlas war problemlos möglich.  Hierüber müssen wir uns Ende September noch einmal unterhalten.

Herzliche Grüße!

Dieter

Ronald Schulte

@Holger,

Habe schon Antwort bekommen von Chroma.
Mein Mallory-Farbepulver (1A-550) ist hergestellt mit Oxalsaure.
Das heißt das ich Beize mit Phosphotungstic acid und danach mit Oxalsaure Farbe.

Grüße Ronald
Mikroskope:
Leitz Orthoplan (DL, AL-Fluoreszenz und Diskussionseinrichtung).
Leica/Wild M715 Stereomikroskop.
Mikrotom:
LKB 2218 Historange Rotationsmikrotom.

A. Büschlen

Hallo Ronald,

du zeigst einmal mehr eine herausragende Arbeit in gekonnter Darstellung!
Es ist für mich immer wieder sehr bereichernd solche wunderschöne Arbeiten zu betrachten.

Gruss Arnold Büschlen
Schwerpunkt z.Z.:
- Laub- und Lebermoose.
- Ascomyceten als Bryoparasiten.

Fahrenheit

Lieber Ronald,

auch von mir vielen Dank für den sehr schönen Thread! Tolle Bilder und sehr informative Texte machen das Lesen zum Vergnügen.

Herzliche Grüße
Jörg
Hier geht's zur Vorstellung: Klick !
Und hier zur Webseite des MKB: Klick !

Arbeitsmikroskop: Leica DMLS
Zum Mitnehmen: Leitz SM
Für draussen: Leitz HM

Ronald Schulte

Hier noch die gebrauchte Farbprotokolle:

Die AZAN-Maus:
- Azokarmin, 90min auf Zimmertemperatur;
- Spulen AD;
- Anilin Ethanol, 3min;
- EIsessig Ethanol, 1min;
- Wolframatophosphorsäure 5%, 90min;
- Spulen AD;
- Anilinblau/Orange G/Eisessig, 120min (verdünnt anbringen, 1tr Farbstoff + 2tr AD);
- Spulen AD;
- Differenzieren in Ethanol 95%, ≈1min;
- Isopropanol I 100%, 4min;
- Isopropanol II 100%, 4min;
- Xylol, 4min;
- Depex
(Euparal kann ohne die Xylol Stufe gleich in Isoprop eingedeckt werden)

Anilin Ethanol: 0,1ml Aniline mischen mit 100ml Ethanol 95%
Eisessig Ethanol: 1ml Eisessig mischen mit 100ml Ethanol 95%
Farbstoff: 0.5g Anilinblau, 2g Orange G in 100ml AD lösen und 8ml Eisessig zugeben, kurz aufkochen und nach dem Erkalten filtrieren.
Eventuell das fertige Gemisch 1A-352 von Chroma beziehen.


Die Mallory-Maus:
- Füchsin sauer 0,25%, 5min auf Zimmertemperatur;
- Spulen AD;
- Wolframatophosphorsäure 5%, 5min;
- Spulen AD
- Mallory Farbstoff, 7min;
- Spulen AD;
- Differenzieren in Ethanol 95%, ≈1min;
- Isopropanol I 100%, 4min;
- Isopropanol II 100%, 4min;
- Xylol, 4min;
- Depex
(Euparal kann ohne die Xylol Stufe gleich in Isoprop eingedeckt werden)

Mallory Farbstoff: 0.5g Anilinblau, 2g Orange G, 2g Oxalsäure in 100ml AD kochen und filtrieren.
Eventuell das fertige Gemisch 1A-550 von Chroma beziehen.

Öfters wird hier geschrieben das z.B. die AZAN Färbung so schwierig sei. Das stimmt, meine Meinung, gar nicht.
Was wohl stimmt ist das es lange dauert so muss man ein Samstag Planen aber das lohnt sich dan auch.

Grüße Ronald
Mikroskope:
Leitz Orthoplan (DL, AL-Fluoreszenz und Diskussionseinrichtung).
Leica/Wild M715 Stereomikroskop.
Mikrotom:
LKB 2218 Historange Rotationsmikrotom.

Florian Stellmacher

Lieber Ronald,

danke für die Protokolle.

Die AZAN-Färbung ist insofern heikel, als dass bei zu dicken Schnitten das Anilinblau sehr dominant wird und sehr vieles überlagert, das Orange G geht dann sogar völlig unter. Damit habe ich mich auch schon sehr abgemüht!

Herzliche Grüße,
Florian
Vorwiegende Arbeitsmikroskope:
Zeiss Axioskop 2
Olympus BHS (DL, Pol, Multidiskussionseinrichtung)
Zeiss Axiophot (DIK und AL-Fluoreszenz)
Zeiss Axiovert (Fluoreszenz)
Wild M400 Fotomakroskop (DL, DF, AL, Pol)

Ronald Schulte

Florian,

Da hast du sicher recht aber Schnitte sollten auch Schnitte sein und keine Scheiben. Ich nehme 4um als Maximum. Sind sie Dicker dann wird Trichom wie AZAN sehr schwierig.
Formalin Fixiertes Material Fixiere ich auch öfters nach mit Kaliumbichromat oder Zenker.
Ich differenziere meist so lange das kein Blau mehr abkommt und auch so lange das ich es fast nicht mehr sehen kann. Unter den Mikroskop ist dann immer noch genug Blau da.
Mit Sublimat haltige Losungen müssen unbedingt vor das Farben die Niederschlage entfernt werden mit Jod-Jodkali (Lugol) und Natriumthiosulfat (Romeis) sonnst sieht es aus wie im Bild.





Grüße Ronald
Mikroskope:
Leitz Orthoplan (DL, AL-Fluoreszenz und Diskussionseinrichtung).
Leica/Wild M715 Stereomikroskop.
Mikrotom:
LKB 2218 Historange Rotationsmikrotom.