Mirkroskop Neuanschaffung: 5 Modelle in der engeren Auswahl

Begonnen von Glockentierchen, März 03, 2012, 21:25:29 NACHMITTAGS

Vorheriges Thema - Nächstes Thema

Glockentierchen

Hallo zusammen,

seit vielen Jahren mikroskopiere ich mit meinem C-Modell von Euromex. Dieses schöne Schülermikroskop hat aber natürlich seine Grenzen in der Ausbaufähigkeit, daher plane ich demnächst eine Neuanschaffung.

Ausbaufähigkeit (Köhler-Beleuchtung, Polarisation, Dunkelfeld, Phasenkontrast, Trino-Tubus) steht gepaart mit Langlebigkeit und guter (optischer und mechanischer) Qualität im Vordergrund.

Die Anwendungsgebiete umfassen bei mir die allgemeine Botanik, Kleinstlebewesen und was sich sonst im Wasser findet sowie Bakterien.

Man hat mir dafür nun folgende 5 Modelle empfohlen, und ich möchte mich auch auf diese Auswahl beschränken:

1. Zeiss Primo Star
2. Motic BA-Reihe (BA 310)
3. Euromex F- oder G-Reihe (angeblich in Japan gefertigt?)
4. Euromex Oxion (der Klon vom Primo Star?)

5. oder ist die deutlich preisgünstigere Novex B-Reihe (86.091) auch schon ausreichend?

Ein gebrauchtes Mikroskop möchte ich mir nicht kaufen.

Welches der Mikroskope ist die beste Wahl in Punkto oben genannter Qualitätsmerkmale (optische und mechanische Qualität, Langlebigkeit sowie den gewünschten Ausbauformen)?

Bitte nur die 5 obigen Modelle berücksichtigen.

Über Antworten würde ich mich sehr freuen

Grüße Christian






Muschelbluemchen

#1
Hallo Christian

ZitatMan hat mir dafür nun folgende 5 Modelle empfohlen, und ich möchte mich auch auf diese Auswahl beschränken:

1. Zeiss Primo Star
2. Motic BA-Reihe (BA 310)
Ich habe ein BA310 und bin eigentlich sehr zufrieden damit. Solltest du wirklich den Kauf eines Neugerätes ins Auge fassen, dann kann ich bezüglich dieser beiden Mikroskope
nur folgendes sagen (auch auf die Gefahr hin hier gesteinigt zu werden): ein Primostar ist (was die Optik betrifft) identisch zum Motic BA310. Beide werden in China gefertigt und sind (wenn auch
teilweise was anderes behauptet wird) vom selben Förderband gefallen.
Ich habe für die Familie ein günstiges Primostar erwerben können (hat mir viel weniger gekostet als das Motic BA310) und daher kann ich folgendes behaupten:
Die Objektive sind vollkommen identisch und können ausgetauscht werden - so betreibe ich am Primostar das Motic 60/0.85 Objektiv.
Der Kondensor ist vollkommen identisch - am Primostarkondensor passt natürlich der Dunkelfeldschieber von Motic, den ich dort auch gern verwende (und natürlich auch der
Phasenkontrastschieber).
Und sollte da wieder jemand mit der Qualitätskontrolle kommen: am Primostar nervte mich das flackernde Halogenlicht, erste ungefähr eine halbe Stunde Betrieb und
das Flackern war meist weg, darüberhinaus immer ein starker Geruch nach elektronischen Bauteilen.
Nach einigen Überlegungen und Untersuchungen stellte ich einen lockeren Draht als Ursache fest - und dies konnte kein Transportschaden sein,
den die Klemmschraube die den Draht fixieren sollte war komplett hineingeschraubt - aber leider am Draht vorbei. Ein leichter Zug am Draht bei der Qualitätskontrolle hätte diesen Mangel aufgedeckt!
Zeiss kocht also auch nur mit Wasser, zumindest bei den Lowcostgeräten!
Möchte über diese beiden Geräte in einem Blog berichten und genau vergleichen (mit Fotos) - gebe hier noch Bescheid - zugegeben das Primostar-Design gefällt mir besser, doch Motic hat einen 5er Revolver und
ist preislich natürlich auch viel günstiger.

mit herzlichen Mikrogrüßen
Leo


-JS-

Hallo Christian,
eine Neuanschaffung hat natürlich neben der Auseinandersetzung mit unterschiedlichen Modellen
selbstverständlich auch mit der Brieftaschenbelastung zu tun.
Lassen wir zunächst einmal die Diskussion über den Umstand ausser Acht
ZitatMan hat mir dafür nun folgende 5 Modelle empfohlen
und dass Du dennoch (was das Forum natürlich ehrt) diese mit Sicherheit sorgfältig erwogenen und differenziert
diskutierten Empfehlungen an Dich im wahrsten Sinne des Wortes hier erneut in Frage stellst, allerdings nach
Deiner hier relativ komprimißlos vorgetragenen Diktion
ZitatBitte nur die 5 obigen Modelle berücksichtigen
und der von Dir genannten und nicht weiter erläuterten Ausgrenzung
ZitatEin gebrauchtes Mikroskop möchte ich mir nicht kaufen
(Komma)
so ergibt sich zunächst einmal die folgende, für das hier angefragte Publikum zweifellos nicht uninteressante Frage:
Welchen Preisrahmen bist Du denn überhaupt bereit, aus der oben bereits genannten Brieftasche zu ziehen?
Ich frage, weil Deinerseits ja auch schon der Term
Zitatdeutlich preisgünstiger
gefallen ist. Sei es als Ausgrenzung, sei es allgemein, das ist in Bezug auf die von Dir genannten fünf Empfehlungen
leider nicht so gut erkennbar.
Also sei so nett und werde Dir im Klaren über die Summe, die Du bereit bist, zu investieren.
Danach entscheide bitte über Deine weitere Vorgehensweise.
Viele Grüße
-JS-


... bevorzugt es, ge_Du_zt zu werden ...

Peter V.

#3
Hallo,

ich muß Leopold leider widersprechen, denn nach meinen aus als zuverlässig eingeschätzter Quelle stammenden Informationen wird das Primostar jetzt wieder in wesentlichen Teilen von Zeiss selbst gefertigt, weil es Probleme mit der Fertigungsqualität bei Motic gegeben haben soll, die angeblich nicht dem Zeiss-Standard entsprach. Was auch immer damit gemeint sein mag....
Ich gehe aber davon aus, dass die Optik selbst auch jetzt noch von Motic stammt und somit vermutlich auch weitestgehend identisch oder sogar völlig identisch mit der von Motic sein dürfte.
Ich selbst hatte vor einigen Wochen kurzzeitig zum Test ein BA 310 und fand es gut, mechanische "Belastungstets" und diffizile Tests der Mechanik habe ich natürlich nicht durchgeführt, ich gehe aber davon aus, dass ein Hobbymikroksopiker, der sorgsam damit umgeht, es auch nach Jahren nicht "schrotten" wird.
Design ist ja so eine Sache, ich finde das Primostar auch attraktiver, aber das BA 310 ist auch nicht schlecht designt. Ein großer Vorteil ist der 5-fach-Revolver, das Primostar hat (unverständlicherweise) nur einen Vierfachrevolver.
Wenn ich das richtig sehe, kostet ein BA 310 in gleicher Ausstattung doch deutlich weniger als ein Primostar.
Ich würde es also so sehen:
Vorteile Primostar: Design, Der Name "Zeiss" ( wer darauf Wert legt ), evtl. etwas bessere Mechanik
Vorteile Motic BA 310: 5-fach-Revolver, deutlich niedrigerer Preis.
Von der Optik her werden die Mikroskope identisch sein.
Ich persönlich würde es so halten: Spielt Geld nicht die Rolle, würde ich mich vielleicht für ein Primostar entscheiden (weils so schön ist, und "Zeiss" halt...), wobei mich aber der 4-fach-Revolver schon etwas stören würde. Würde ich auf den Preis etwas mehr achten, würde ich mich für das Motic BA 310 entscheiden, das vieleicht auch letztlich das etwas bessere Preis-Leistungs-Verhältnis hat. Ich denke, mit beiden Mikroskopen machst Du nichts falsch, wenn Du ein Neugerät in dem Segment suchst.

Übrigens: Unser Admin Christian ist Motic-Händler! Siehe im Forum ganz oben rechts! Nimm doch mal mit ihm Kontakt auf.

Zu dem Euromexen wird Dir kaum jemand etwas sagen können, da die hier nicht sonderlich verbreitet sind. Ich perösnlich habe nur einmal kurz vor einem Novex-B gesessen und hatte keinen so prickelnden Eindruck, weder von der Mechanik noch von der Optik. Die Oxions kenne ich nicht, sie erscheinen mir aber recht teuer......

Hezrliche Grüße
Peter
Dieses Posting ist frei von kultureller Aneigung, vegan und wurde CO2-frei erstellt. Für 100 Posts lasse ich ein Gänseblümchen in Ecuador pflanzen.

Reimar W. F.

Ich hatte mir das Euromex Oxion bestellt und es sofort zurückgegeben.Schlampige Verarbeitung, der Einschub der Leuchtdiode hing bei meinem Neugerät an einer Seite um 3 mm schräg nach außen.Eine Endkontrolle  scheint es bei dieser Firma wohl nicht zu geben.Das Gerät wiegt 10 Kg und ist sehr wuchtig.Ich habe mir dann das Primo-Star gekauft mit Full-Köhler und bin mit diesem Gerät für meine Arbeiten voll zufrieden.


Viele Grüße Reimar

Ronald Schulte

#5
Christian,

Ich bin angefangen mit ein neue Novex B reihe. Zuerst mit ein Cmex 1 Kamera und später mit ein Coolpix 4500.
Ich möchte damals auch lieber neu haben aber bin davon zurück gekommen.
Die Novex ist ein prima Mikroskop und gibt auch ein gutes Bild wenn man nicht anderes gewöhnt ist.
Den unterschied mit mein heutiges Leitz Orthoplan ist aber riesig. Fotos machen mit ein Novex ist sehr schwierig, links oben hat man immer eine Schwarze Flecke.
Ich vergleiche es so: mit ein VW Polo fährt man Auto und kommt ohne Problem von A nach B. Mit ein dicken BMW auch aber ist eben etwas anderes.

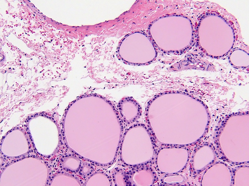
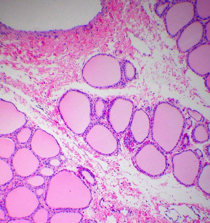
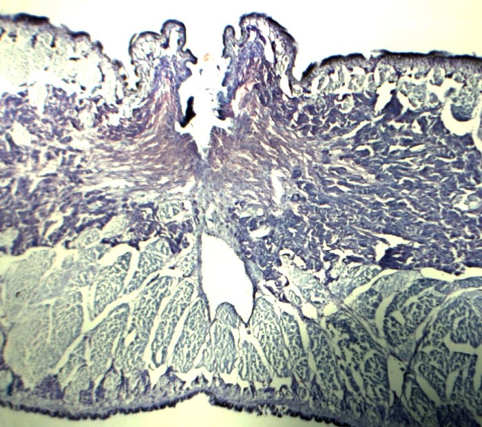
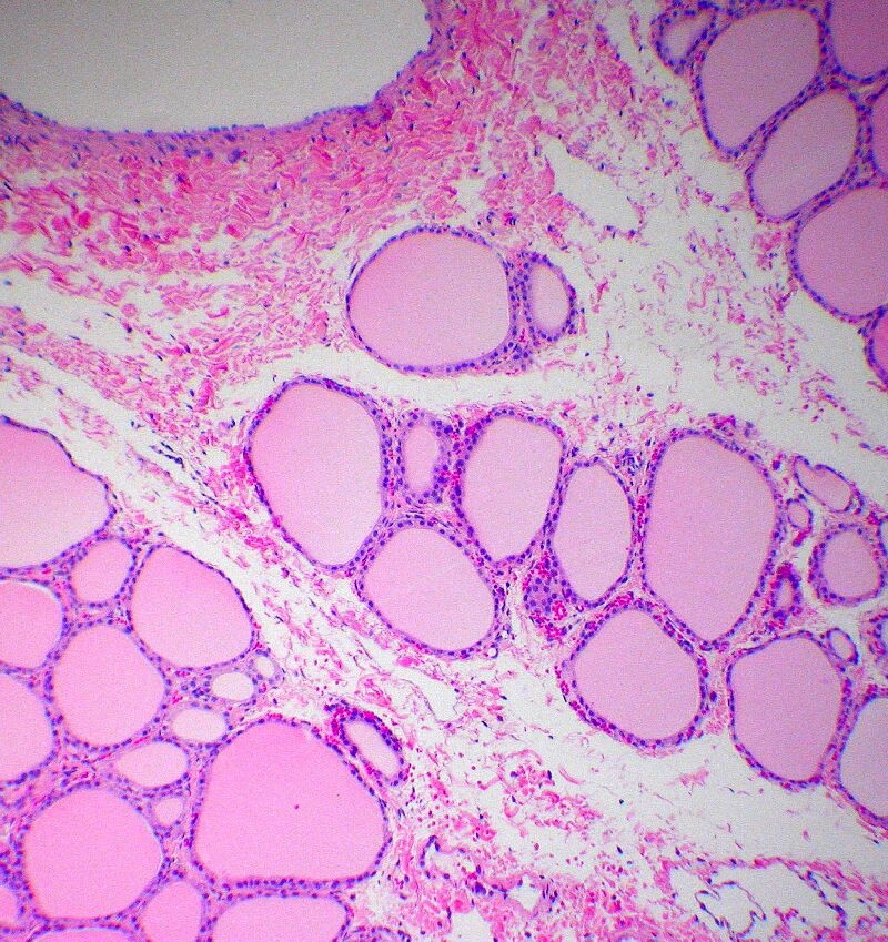
Hier zu vergleich ein Schilddrüsse von Novex B mit ein CP 4500. Damals war ich hiermit aber zufrieden.
Das zweite Bild ist ein Teil von die Wirbelsäule von eine Maus mit rechtsoben das Rückenmark. So ist es jetzt und ist einfach besser.





Grüße aus Holland Ronald
Mikroskope:
Leitz Orthoplan (DL, AL-Fluoreszenz und Diskussionseinrichtung).
Leica/Wild M715 Stereomikroskop.
Mikrotom:
LKB 2218 Historange Rotationsmikrotom.

Peter V.

#6
Lieber Ronald,

wohl wahr, wohl wahr......

ZitatCmex 1 Kamera
:o Da kann man ja froh sein, dass Du damals nicht gleich die Lust an der Mikroskopie verloren hast!

Keine Frage,

für den Neupreis eines trinokularen Primostars bekommt man gebarucht schon tolle Kisten!
Ich möchte nur mal beispielsweise diess Angebot zeigen, das gebotslos (weil offenbar schon zu teuer) bei Ebay endete:
http://www.ebay.de/itm/120862066129?ssPageName=STRK:MEWAX:IT&_trksid=p3984.m1423.l2649
Und nun vergleiche man ein Axioskop mit einem Primostar......
Aber auch in der Preisklasse ab vielleicht 700 EUR bekommt man von privat und ab etwa 1000 EUR vom Händler gerarucht wesentlich bessere Geräte, insbesondere, was die Ausbaubarkeit betrifft.
Aber es wurde ja bereits klar gesagt:
ZitatEin gebrauchtes Mikroskop möchte ich mir nicht kaufen.

Das Novex-B fand ich auch nicht überzeugend, nachdem ich es (allerdings nur mal vielleicht 10 Miniuten) in den Händen hatte.
Das Motic und das Primostar sind sicherlich "ordentliche" Geräte, mit denen man arbeiten kann.
Die Oxions erscheinen mir dafür, dass man praktisch nichts über diese Mikroskope und den wahren Hersteller weiß, sie also keine echte Markengeräte sind ( wenig verbreitet, Chinamodelle, Vertrieb über Euromex) fast schon irrwitzig teuer! Aber konkret sagen kann ich dazu nichts.

Mein Tip wäre natürlich auch: Gutes Gebaruchtgerät vom Händler oder vertrauenswürdigen Privatverkäufer, ansonsten primostar oder Motic BA 310.

Herzliche Grüße
Peter
Dieses Posting ist frei von kultureller Aneigung, vegan und wurde CO2-frei erstellt. Für 100 Posts lasse ich ein Gänseblümchen in Ecuador pflanzen.

Hyperion

#7
ZitatDas Novex-B fand ich auch nicht überzeugend, nachdem ich es (allerdings nur mal vielleicht 10 Miniuten) in den Händen hatte.

Für die Ansprüche dieses Forums vielleicht nicht, ansonsten ist es ein Grundsolides Mikroskop was für viele Dinge völlig ausreichend ist, vorallem für den Preis von 500-700 Euro. Dazu ist die Firma Euromex sehr nett und repariert bei Defekten auch schonmal auf Kulanzteile, auch nach Jahren noch oder steht tatkräftig zur Seite.

Ich hatte früher vor 10 Jahren, als ich noch selbst daheim mikroskopiert habe auch so ein Gerät und konnte mich nie beklagen. Fotos machen ist allerdings wirklich schlecht und den Ergotubus meines heutigen Olympus möchte ich auch nicht mehr missen.

Ronald Schulte

#8
Hyperion,

Das meinte ich doch auch:

ZitatDie Novex ist ein prima Mikroskop und gibt auch ein gutes Bild wenn man nicht anderes gewöhnt ist.

Nur wenn man später Bilder machen möchte wird es ein wenig 'tricky'.

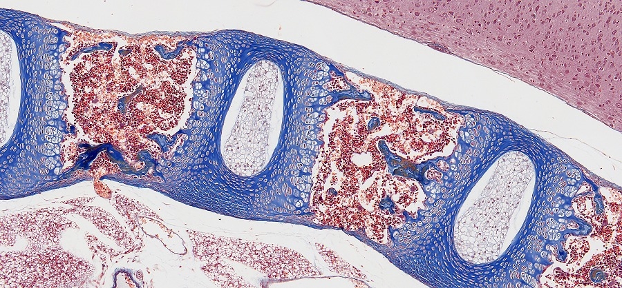
Hier noch einige Beispiele von ein Novex-B mit Cmex-1. Meine erste Paraffinschnitte mit ein Handzylinder-mikrotom. Schärfer bekommt man es einfach nicht.



D001


D001


Grüße Ronald
Mikroskope:
Leitz Orthoplan (DL, AL-Fluoreszenz und Diskussionseinrichtung).
Leica/Wild M715 Stereomikroskop.
Mikrotom:
LKB 2218 Historange Rotationsmikrotom.

Peter V.

#9
Hallo Hyperion,

ZitatFür die Ansprüche dieses Forums vielleicht nicht, ansonsten ist es ein Grundsolides Mikroskop was für viele Dinge völlig ausreichend ist, vorallem für den Preis von 500-700 Euro.


Sicherlich mag das Novex-B auch bestimmten Ansprüchen genügen. Ich habe auch nicht geschrieben, dass es schlecht ist, und natürlich muß man den Preis bercksichtigen.
Wenn es aber alternativ zum BA 310 und Primostar genannt wird (und somit offenbar auch die finanziellen Möglichkeiten für dieses Mikroskop vorliegen), rate ich natürlich zu diesen doch insgesamt in einer anderen Liga spielenden Mikroskopen. Wenn mich meine Erinnerung nicht täuscht, war zumindest das 40er-Objektiv am Novex-B nicht so überzeugend.
Natürlich kommt es immer auf den Anspruch an.
Im Mikroskopieraum unseres Arbeitskreises finden sich z.B. diese Mikroskope. Damit kann man z.B. als Anfänger auch glücklich werden. Helles, klares Bild. Mechanik dem Preis angemessen. Alles eben eine Frage des Preises und der Erwartungen.

Hezrliche Grüße
Peter



Dieses Posting ist frei von kultureller Aneigung, vegan und wurde CO2-frei erstellt. Für 100 Posts lasse ich ein Gänseblümchen in Ecuador pflanzen.

Muschelbluemchen

Hallo Peter
Zitat von: Peter V. in März 03, 2012, 22:51:35 NACHMITTAGS
ich muß Leopold leider widersprechen, denn nach meinen aus als zuverlässig eingeschätzter Quelle stammenden Informationen wird das Primostar jetzt wieder in wesentlichen Teilen von Zeiss selbst gefertigt, weil es Probleme mit der Fertigungsqualität bei Motic gegeben haben soll, die angeblich nicht dem Zeiss-Standard entsprach. Was auch immer damit gemeint sein mag....
Dieser Information glaube ich erst wenn ich es mit eigenen Augen sehe(Fotos, Berichte und Informationen von Zeiss selbst)! Warum? Weil die heutige Wirtschaft anders funktioniert!
So ist es z.B. möglich in Österreich ein Landwirtschaftl.Produkt mit "aus Österreich" zu etikettieren wenn 50% der Wertschöpfung im Lande liegt -was bedeutet: man kauft in Ungarn Junggänse 100Stück um 500Euro
hält sie in Österreich noch ein paar Wochen und verkauft sie dann um 1000Euro - man kann sie dann mit "aus Österreich" etikettieren und in den Verkauf bringen.
KNORR, vorallem was Fertigsuppen betrifft, war ein österr.Produkt und wurde in Wels produziert. KNORR-Suppen gibt es immer noch aber nicht mehr aus Wels. Der Konsument wird darüber nicht informiert.
Hier könnte man noch viele Beispiele anführen.
Es kann jeder halten wie er will - doch faktisch mir fehlt da der Glaube (solange da nur mit Informationen Dritter argumentiert wird).
Vielleicht will Zeiss nur den Karren herum reißen - zuerst adelt es MOTIC und nun wollen Sie weg vom "Made in China"-Image.(steht auf meinem Primostar hinten drauf!  :D  )
Es gibt schon ganze Bücher die sich in Zeiten der Globalisierung mit den "Missbrauch" von Markennamen beschäftigen!


ZitatIch gehe aber davon aus, dass die Optik selbst auch jetzt noch von Motic stammt und somit vermutlich auch weitestgehend identisch oder sogar völlig identisch mit der von Motic sein dürfte.
Ich selbst hatte vor einigen Wochen kurzzeitig zum Test ein BA 310 und fand es gut, mechanische "Belastungstets" und diffizile Tests der Mechanik habe ich natürlich nicht durchgeführt, ich gehe aber davon aus, dass ein Hobbymikroksopiker, der sorgsam damit umgeht, es auch nach Jahren nicht "schrotten" wird.
Design ist ja so eine Sache, ich finde das Primostar auch attraktiver, aber das BA 310 ist auch nicht schlecht designt. Ein großer Vorteil ist der 5-fach-Revolver, das Primostar hat (unverständlicherweise) nur einen Vierfachrevolver.
Bei meinem Primostar (fixed Köhler) ist auch der Kreuztisch eindeutig Motic zu zuordnen. Die Triebknöpfe für Fein und Grobtrieb sind identisch zum Motic. Die Kondensorhalterung  und Führung ist Motic.
Lediglich die Knöpfe der Kreuztischführung und der Kondensorhöhenverstellung sind aus einem anderem Material als bei Motic (weicher und mehr gummiartig).
Die Objektive sind identisch - gleiche Qualität und absolut parfokal!
Die Okular (10x/18) sind identisch zum Motic von der Ausführung her, wenn auch das Motic ein Sehfeld von 20 hat. (Achtung: Gilt nur für fixed Köhler - das andere Primostar hat 20erSehfeld)
Der Kondensor bei Primostar ist identisch zum Kondensor des Motic BA210, den ich vom Motic Verkäufer als Draufgabe bekommen habe.
das Köhlerprimostar hat einen etwas abweichenden Kondensor - der interessanterweise nicht Beschriftet ist um die Öffnung(Stellung) der Irisblende ablesen zu können - bei diebstahlgesicherten Okularen
(d.h. sie sind nicht abziehbar) sicherlich eine tolle Sache um Köhler richtig einstellen zu lernen  ???
Die Elektonik war für mich eine Überraschung - ich dachte Zeiss hätte die wesentlichen Teile nach außen verlegt und im Falle eines Defekts bräuchte man nur das Netzteil zu tauschen -
das Netzteil liefert aber 12Volt und diese Spannung wird intern (also durch Bauteile im Inneren des Mikroskops) auf 6Volt reduziert.
Dadurch dürfte es möglich sein das Primostar leicht auf LED umrüsten zu können, da an der Lampenhalterung sowohl 6Volt als auch 12Volt anliegt
(möchte da bei Zeiss noch Nachfragen ob es auf LED umgerüstet werden kann).
Neben den 5er Revolver hat das Motic BA310 auch einen wesentlich größeren Tisch und die Objekthalterung ist für zwei Präparate ausgelegt.
Beim meinem Primostar (fixed Köhler) schafft der Tisch nur ein Präparat! Ich denke dies ist für gewisse Anwendungen ein interessanter Unterschied!
Darüber hinaus kann beim Motic der Grobtrieb in jeder beliebigen Stellung fixiert werden.

mit freundlichen Mikrogrüßen
Leo

Peter V.

#11
Hallo Leopold,

ich wollte Motic nicht "schlechtmachen". Im Gegenteil - ich fand das BA 310, das ich ein paar Wochen hatte, wirklich "angenehm". Ich wüsste ad hoc nichts, was gegen einen Kauf spräche.
Die Information habe ich von Mitarbeitern von Zeiss. Offenbar aber nicht nur ich, Detlef hatte diese Informationen wohl auch und das auch mal in einem Nebensatz gespotstet, als ich seinerzeit mein BA10 wieder im Mikro-Markt verkauft habe.  Was tatsächlich dahinter steckt, wieviel Teile des Primostar auch weiterhin von Motic stammen...ich weiß es nicht. Und wir werden es vermutlich auch nie mit letzter Sicheheit erfahren.


Hezrliche Grüße
Peter
Dieses Posting ist frei von kultureller Aneigung, vegan und wurde CO2-frei erstellt. Für 100 Posts lasse ich ein Gänseblümchen in Ecuador pflanzen.

rhamvossen

#12
@ Ronald,

ZitatFotos machen mit ein Novex ist sehr schwierig

Hätte das vielleicht nicht mehr mit das Cmex Kamera statt das Mikroskop zu tun?

@Peter V:

ZitatDas Novex-B fand ich auch nicht überzeugend, nachdem ich es (allerdings nur mal vielleicht 10 Miniuten) in den Händen hatte

10 Minuten ist viel zu kurz für ein Gutes Urteil.

Ich habe keine Anteile in Euromex  ;), aber ich finde einige Aufmerkingen nicht ganz fair. Beste Grüsse,

Rolf

Peter V.

#13
Hallo,

ZitatIch habe keine Anteile in Euromex  , aber ich finde einige Aufmerkingen nicht ganz fair. Beste Grüsse,

Deshlab habe ich doch auch extra geschrieben, dass ich es nur kurz in den Händen hatte und nur mein erster Eindruck so war. Ich habe doch mit keinem Wort geschrieben, dass es schlecht ist!!!! Das Novex ist sicher seinen Preis wert und dafür vermutlich auch nicht schlecht, es kostet ja auch deutlich weniger als ein Motic oder Primostar.
Aber wenn doch jemand nach diesen drei Geräten fragt, kann ich doch sagen, dass die Leistungsfähigekit des Primostar und des Motic BA10 über der des Novex B liegt. Dieses Urteil (das doch auch nicht verwundert) kann ich mir auch nach kurzer Zeit erlauben.

Meine ironische Bemerkung bzgl. des "Verlierens der Lust am Mikroskopieren" bezog sich nicht auf das Novex, sondern auf die CMEX-1 Kamera, und die war wirklich eine Katstrophe, wie ja auch wieder Ronalds Bilder zeigen. Dazu stehe ich auch, denn die CMEX hatte ich wochenlang und darüber gab es mehrere Threads im alten Forum.

Ronald beschriebt zudem, dass es schwierig sei, mit dem Novex B Fotos anzufertigen, da man immer "einen schwarzen Fleck"  bekäme. Ursache dafür ist eine inhomogene Beleuchtung, die man beim normalen Mikroskopieren kaum empfindet, die aber für die Kamera deutlich "erkennbar" ist. Ob das bei allen Novex B so ist oder nur bei Ronalds damaligem Mikroskp, weiß ich natürlich nicht, aber bei recht preiswerten Mikroskopen ist die Homogenität der Beleuchtung oft ein Problem.

Herzliche Grüße
Peter
Dieses Posting ist frei von kultureller Aneigung, vegan und wurde CO2-frei erstellt. Für 100 Posts lasse ich ein Gänseblümchen in Ecuador pflanzen.

Ronald Schulte

Joachim,

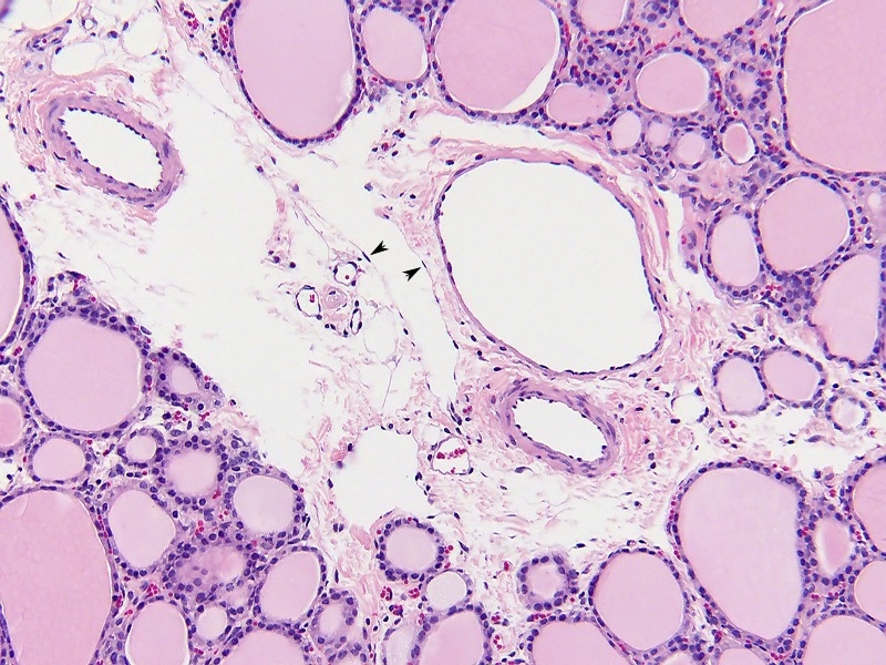
Du hast mich gefragt um den gleichen Schilddrussenschnitt nochmal zu Fotografieren mit mein Orthoplan und Moticam 2300 um ein vergleich zum Novex zu bekommen.
Natürlich ist den vergleich nicht Gans Fair weil es in diesen Tread handelt um ein Mikroskopvergleich und hier spielt die Kamera eine wichtige rolle aber was die Moticam mit das Orthoplan Schaft, Schaft er nicht mit ein Novex. Das ist klar!

Hier die Aufnahme von ein Coolpix 4500 an mein altes Novex B
 



Ich habe alles durchmustert aber den exakt gleiche stelle kann ich nicht finden weil den Schnitt im Mülleimer belandet ist.
Das gleiche Block habe ich jedoch noch und hier sind aufnahmen davon.
Färbung ist auch eine HE und den Objektiv habe ich hier 16x gewählt und so kommt es ungefähr überein mit das Bild am Novex.






Schau mal hier, zwei Pfeilpunkte, wie scharf das feine Endothel von ein Lymphgefäß dargestellt wird.



Grüße Ronald
Mikroskope:
Leitz Orthoplan (DL, AL-Fluoreszenz und Diskussionseinrichtung).
Leica/Wild M715 Stereomikroskop.
Mikrotom:
LKB 2218 Historange Rotationsmikrotom.