HISTOLOGIE: Mausköpfe in HE, PTAH und AZAN

Begonnen von Ronald Schulte, Juli 30, 2012, 20:54:24 NACHMITTAGS

Vorheriges Thema - Nächstes Thema

Ronald Schulte

Heute mal wenig Theorie aber viel Fotografier-stitch-arbeit.
Drei Schnitte von Mausköpfe kommen alle aus den gleichen Paraffin-Block aber sind verschieden gefärbt.


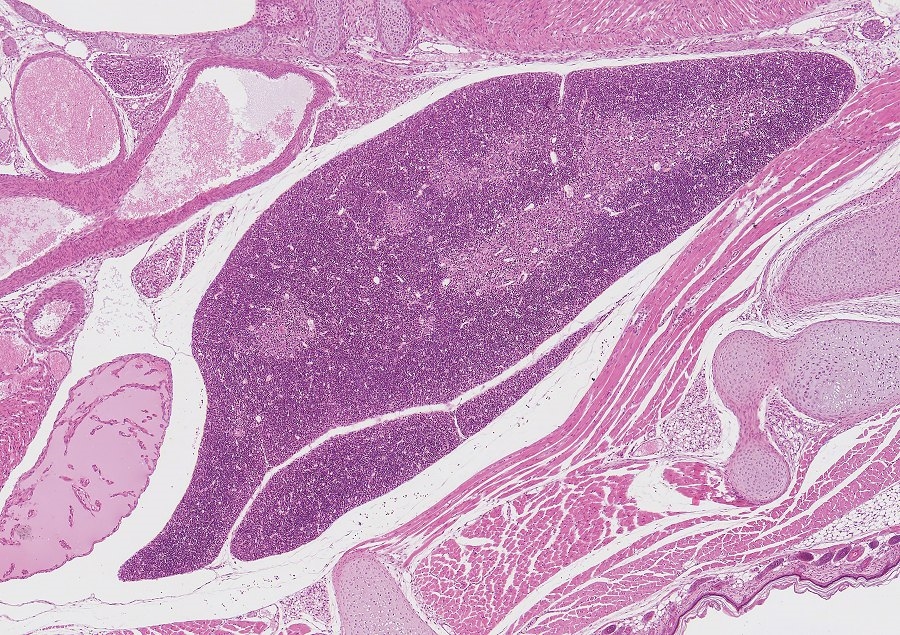
Bild 1;
Stitch von 54 Bilder, Objektiv Leitz Plan Fluotar 4x, Kamera Moticam 2300 am Leitz Orthoplan,
Färbung: PTAH (Phosphorwolframsäure-Hämatoxylin nach Mallory)





Bild 2;
Stitch von 76 Bilder, Objektiv Leitz Plan Fluotar 4x, Kamera Moticam 2300 am Leitz Orthoplan,
Färbung: AZAN nach Heidenhain





Bild 3;
Stitch von 57 Bilder, Objektiv Leitz Plan Fluotar 4x, Kamera Moticam 2300 am Leitz Orthoplan,
Färbung: HE (Haematoxylin/Eosin nach Ehrlich)





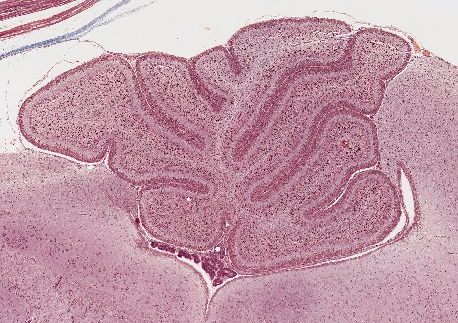
Bild 4, Kleinhirn (cerebellum);
Stitch von 17 Bilder, Objektiv Leitz Plan Fluotar 10x, Kamera Moticam 2300 am Leitz Orthoplan,
Färbung: HE (Haematoxylin/Eosin nach Ehrlich)





Bild 5, Kleinhirn (cerebellum);
Stitch von 17 Bilder, Objektiv Leitz Plan Fluotar 10x, Kamera Moticam 2300 am Leitz Orthoplan,
Färbung: Kernechtrubin





Bild 6, Thymus;
Stitch von 21 Bilder, Objektiv Leitz Plan Fluotar 10x, Kamera Moticam 2300 am Leitz Orthoplan,
Färbung: HE (Haematoxylin/Eosin nach Ehrlich)





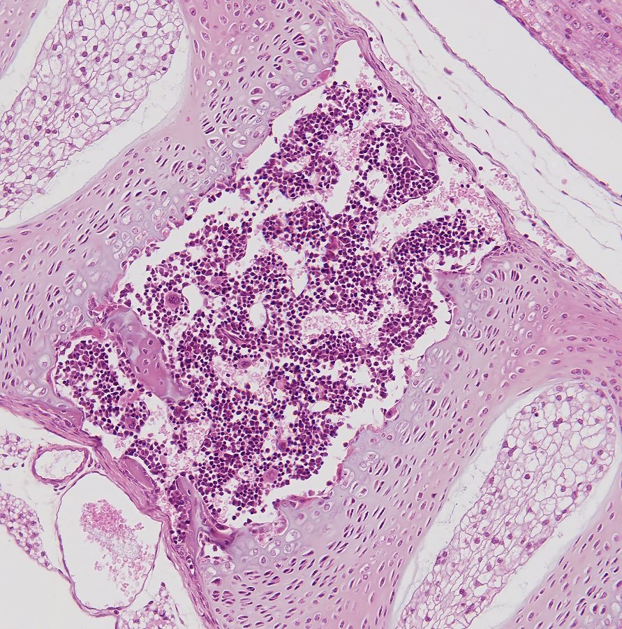
Bild 7, Wirbel mit Blutzellbildung;
Stitch von 6 Bilder, Objektiv Leitz Plan Fluotar 25x, Kamera Moticam 2300 am Leitz Orthoplan,
Färbung: HE (Haematoxylin/Eosin nach Ehrlich)




Viel Spaß beim anschauen, grüße Ronald
Mikroskope:
Leitz Orthoplan (DL, AL-Fluoreszenz und Diskussionseinrichtung).
Leica/Wild M715 Stereomikroskop.
Mikrotom:
LKB 2218 Historange Rotationsmikrotom.

Holger Adelmann

#1
Toll, Ronald.
Deine Mäuse sind schon legendär  8)
Mir persönlich gefällt PTHA am besten, AZAN ist (zumindest in dem Ergebnis hier) insgesamt zu rotlastig und dabei das Rot auch noch blaustichig.
HE ist natürlich in der Übersicht unspektakulär aber wir alle wissen ja das die Färbung mit qualitativ gutem Hämatoxylin und Eosin gemacht die Feinstrukturen auch recht gut darstellen kann auch wenn sie natürlich beim kollagenen Bindegewebe nicht schön differenzieren kann.
Der Thymus zeigt im Verhältnis zur restlichen Maus durch den sehr grossen Anteil an Kernen gegenüber einer verschwindend geringen Plasmamenge in der HE Färbung einen tollen Kontrast.
Da könnte man photometrisch leicht den rel Anteil von Kernsubstanz im Vergleich zur Restmaus ermitteln.

Herzliche Grüsse
Holger

Rawfoto

Hallo Ronald

Unglaubliche Spitzenqualität die Da zeigst, Du hast Dich selbst übertroffen!!!

:-)

Gerhard
Gerhard
http://www.naturfoto-zimmert.at

Rückmeldung sind willkommen, ich bin jederzeit an Weiterentwicklung interessiert, Vorschläge zur Verbesserungen und Varianten meiner eingestellten Bilder sind daher keinerlei Problem für mich ...

Fahrenheit

Lieber Ronald,

die Qualität Deiner Schnitte und Färbungen hinterlässt mich immer wieder sprachlos. Chapeau!

Ich schließe mich Holger an: PTHA wirkt zumindest in den gezeigten Auflösungen am schönsten und aussagekräftigsten.

Herzliche Grüße
Jörg
Hier geht's zur Vorstellung: Klick !
Und hier zur Webseite des MKB: Klick !

Arbeitsmikroskop: Leica DMLS
Zum Mitnehmen: Leitz SM
Für draussen: Leitz HM

Ronald Schulte

@ Danke für die Blumen.

Wenn alles im Block stimmt und das Messer ist Scharf dann gelingt ab und zu es so wie Mann möchte. Auch bei mir sieht es aber manchmal anders aus wie ich es mir vorgestellt habe.

Die AZAN, Kernechtrubin oder Mallory 1900 sieht meist sehr schön aus wegen die schöne Färben und schärfe Begrenzungen von Gewebearten aber wirkliche Details sieht Mann nicht immer gut. In z.B. den Pancreas werden die feinen zymogene Granulatkörnchen wie eine Rote Klumpen, auch färbt das Anilin sehr schnell viel zu kräftig Blau. Gut Differenzieren unter Mikroskopische Kontrolle, ist nicht einfach aber geht doch, ist da angesagt.

Die HE ist, meine Meinung, für Paraffin absolut überlegen. So wie Holger schon sagte nicht so schön Färberisch aber wohl sehr Detailreich.
Auch wenn Mann sich öfters Kunststoffschnitte ansieht ist den unterschied von Details schon beeindruckend.
Ein von mein nächsten Projekten wird dann auch sein um ein Stück Gewebe zu Teilen und ein zu betten in Paraffin und das andere Teil in Kunststoff.

Grüße Ronald
Mikroskope:
Leitz Orthoplan (DL, AL-Fluoreszenz und Diskussionseinrichtung).
Leica/Wild M715 Stereomikroskop.
Mikrotom:
LKB 2218 Historange Rotationsmikrotom.

Jan Kros

Hallo Ronald
Wunderschöne Bilder
Weiter schliesse ich mich vorigen Schreibern an
Herzlichen Gruss
Jan

arturoag75

Unparalleled quality sections and shots ...superb as ever! :o
arturo

Sascha D. F.

Hallo Ronald,
Wie immer sind deine Präparate ein Augenschmaus.
Da möchte man am liebsten gleich mal zu Dir zum Praktikum kommen, um von Dir zu lernen.
Wie machst Du denn die Azan-Färbung?
Liebe Grüße aus Leipzig
Danny

Ronald Schulte

#8
Danny,

Danke. Soviel zu lernen gibt es da nicht weil ich einfach, fast, alles mache wie im Romeis beschrieben ist. Ab und zu mal ein eigene Versuch aber meist komme ich doch wieder zurück auf das Orginal-rezept. Wie ich meine Färbungen durchführe ist z.B. hier zu sehen. http://www.ronaldschulte.nl/downloads.html  Du könntest das Deutsche .pdf Teil downloaden. Da zeige ich ein 'van Gieson' Färbung in Fotostufen.


Hier noch das gebrauchte Farbprotokoll:

Romeis z.B. schreibt vor um mit vorgewärmte (53 Grad) Azokarmin zu Färben aber das mache ich nicht.
Auch Färbe ich jetzt meist mit Kernechtrot-Aluminiumsulfat nach Geidies auf Zimmertemperatur.

Die AZAN-Maus:

- Azokarmin, 90min auf Zimmertemperatur;
- Spulen AD;
- Anilin Ethanol, 3min;
- Eisessig Ethanol, 1min;
- Wolframatophosphorsäure 5%, 90min;
- Spulen AD;
- Anilinblau/Orange G/Eisessig, 120min (verdünnt anbringen, 1tr Farbstoff + 2tr AD);
- Spulen AD;
- Differenzieren in Ethanol 95%, ≈1min;
- Isopropanol I 100%, 4min;
- Isopropanol II 100%, 4min;
- Xylol, 4min;
- Depex
(Euparal kann ohne die Xylol Stufe gleich in Isoprop eingedeckt werden)

Anilin Ethanol: 0,1ml Aniline mischen mit 100ml Ethanol 95%
Eisessig Ethanol: 1ml Eisessig mischen mit 100ml Ethanol 95%
Farbstoff: 0.5g Anilinblau, 2g Orange G in 100ml AD lösen und 8ml Eisessig zugeben, kurz aufkochen und nach dem Erkalten filtrieren.
Eventuell das fertige Gemisch 1A-352 von Chroma beziehen.



Weil für die AZAN-Färbung meist ein Ganzen Sonntag gebraucht wird ist eine Mallory 1900 Färbung eine gute Möglichkeit mit ähnliche Färbungen.
Habe die schon sehr oft gemacht und ist sehr einfach und natürlich viel schneller.
Färbung hält über Jaaaaahreen!

Die Mallory-Färbung:

- Füchsin sauer 0,25%, 5min auf Zimmertemperatur;
- Spulen AD;
- Wolframatophosphorsäure 5%, 5min;
- Spulen AD
- Mallory Farbstoff, 7min;
- Spulen AD;
- Differenzieren in Ethanol 95%, ≈1min;
- Isopropanol I 100%, 4min;
- Isopropanol II 100%, 4min;
- Xylol, 4min;
- Depex
(Euparal kann ohne die Xylol Stufe gleich in Isoprop eingedeckt werden)

Mallory Farbstoff: 0.5g Anilinblau, 2g Orange G, 2g Oxalsäure in 100ml AD kochen und filtrieren.
Eventuell das fertige Gemisch 1A-550 von Chroma beziehen.


Grüße Ronald
Mikroskope:
Leitz Orthoplan (DL, AL-Fluoreszenz und Diskussionseinrichtung).
Leica/Wild M715 Stereomikroskop.
Mikrotom:
LKB 2218 Historange Rotationsmikrotom.

Jürgen H.

Lieber Ronald,

Du weißt, ich bin ein Verehrer Deiner Schnitte und Färbungen!

Was mir auffällt: Die Mallory Färbung, die ich als ausgesprochen gut gelungen empfinde  auch im Vergleich zu Azan Heidenhain, hat in der Verfahrensweise große Ähnlichkeit mit der Azan Geidies Färbung. Im Grunde wird nur die Fuchsinfärbung durch eine Kernechtrotaluminiumsulfatlösung ersetzt. Kernechtrot wäre vermutlich ein weniger blaustichiges Rot, es könnte sein dass die Färbung dann noch kontrastreicher wirkt. Rezept findest Du bei aeisner.de . Hast Du das auch schon einmal versucht? Ein Vergleich würde mich interessieren.

Schöne Grüße und Dank fürs Zeigen

Jürgen

Ronald Schulte

Jürgen,

Das habe ich noch nicht aber habe in zwei Wochen noch einige Tagen zum Schneiden und Färben geplant.
Das wäre sicher ein versuch wert. Wenn ich da Schnitte aus einen Block nehme kann der vergleich auch richtig ein Vergleich sein.
Fazit: The story will be continued!

Bilder kommen dann bestimmt.

PS natürlich ist es nicht verboten um bei dein nächsten Farbe-Tag auch ein Versuch zu machen  ;) 

Grüße Ronald
Mikroskope:
Leitz Orthoplan (DL, AL-Fluoreszenz und Diskussionseinrichtung).
Leica/Wild M715 Stereomikroskop.
Mikrotom:
LKB 2218 Historange Rotationsmikrotom.

Holger Adelmann

Ronald,
es ist ja etwas schwierig bei den heruntergerechneten Bildern hier im Forum Farbstiche zu beurteilen, wir haben bestimmt auch verschieden kalibrierte Monitore.
Mich würde interessieren, wie das Rot bei der Azanfärbung live dh beim Blick durchs Okular bei richtiger Lichtfarbe  wirkt ! Ich empfinde den Azan Rotton zu blaustichig.
Schon der Altmeister Krauter bemerkte dass die optische "Qualität" der Azan Färbung mit der Qualität des verwendeten Azocarmins steht und fällt. Er beklagte auch die Qualität einiger Chargen die er probierte.
Soweit ich weis ist Azocarmin G vorgeschrieben, also gelbstichiges.
Hier sieht es eher nach Azocarmin B wie blaustichig aus.
Hat Dein Azocarmin so eine Zusatzbezeichnung? Hast Du das von Chroma?

Falls Klaus Hermann mitliest - Klaus, könntest Du zum Vergleich mal ein Bild einer original Heidenhain'schen Azan Färbung eines ähnlichen Objektes posten?

Das würde mich sehr interessieren.

Herzliche Grüsse
Holger

Ronald Schulte

Holger,

Diesen Kopf ist gefärbt mit Azokarmin-eissessig nach Heidenhain von Chroma. Die Flasche habe ich gerade angeschaut und ist keine Zusatzzahl angegeben aber nach Armin Eisner seine Website musste es eigentlich AzoKarmin G sein.

Natürlich ist es sehr schwierig um hier, am Monitor, Gans kleine Rot-unterschiede zu vergleichen. Gerade mit unsere Moticam ist es eigentlich gar nicht ausführbar weil jedes Bild Gans von vorne an eingestellt werden muss aber wenn ich Schnitte Färbe aus den gleichen Block und ich lasse die Mikroskopbeleuchtung unberührt wäre es vielleicht möglich.
Versuchen kann ich es doch auf jeden Fall. Hoffentlich kann ich im nächsten Jahr nach Darmstadt kommen so könnten wir es ja am Mikroskop vergleichen!

Grüße Ronald 
Mikroskope:
Leitz Orthoplan (DL, AL-Fluoreszenz und Diskussionseinrichtung).
Leica/Wild M715 Stereomikroskop.
Mikrotom:
LKB 2218 Historange Rotationsmikrotom.

Klaus Herrmann

Hallo Holger,

direkt Vergleichbares habe ich nicht fertig. Diesen Nasenflügel von Heidenhain hatte ich schon mal gezeigt. Allerdings würde ich dem nicht so ganz glauben, weil ich sicher in der Begeisterung über die schöne Färbung die Farbsättigung etwas verstärkt habe.

Aber im Original leuchten die Schnitte schon sehr!

#Ronald ich hatte dir ja schon geschrieben, dass ich deine Schnitte im Vergleich unterschiedliche Färbemethoden phantastisch finde! Jetzt also auch noch öffentlich!

Mit herzlichen Mikrogrüßen

Klaus


ich ziehe das freundschaftliche "Du" vor! ∞ λ ¼


Vorstellung: hier klicken

Ronald Schulte

#14
@ Holger, Klaus,

So Rot ist es bei mir am Mikroskop sicher nicht. Von Jürgen Harst weis ich das die Fixierung auch beëinflussend ist. Diesen Kopf ist in Bouin Fixiert.

Grüße Ronald

ps Ich wollte das so ein schönen Nasenflügel-Block hätte!
Mikroskope:
Leitz Orthoplan (DL, AL-Fluoreszenz und Diskussionseinrichtung).
Leica/Wild M715 Stereomikroskop.
Mikrotom:
LKB 2218 Historange Rotationsmikrotom.