Hauptmenü

PAS-Reaktion mal anders!

Begonnen von bbb, November 02, 2013, 19:46:39 NACHMITTAGS

Vorheriges Thema - Nächstes Thema

bbb

Hallo liebe Forumsmitglieder,
ich möchte heute mal etwas kleines zeigen was ich in letzter Zeit versucht habe.
Und zwar habe ich mich genauer mit der PAS-Reaktion beschäftigt.

Die PAS-Reaktion (Perjodacid-Schiff-Reaction) ist eine histochemische Färbung, bei der insbesondere kohlenhydrathaltige Komponenten zum Beispiel Glykoproteine, neutrale Mukopolysaccharide, Glykogen und vieles mehr mit Hilfe von Perjodsäure und Schiff-Reagens nachgewiesen werden können.

Prinzip:
Durch die Periodsäure, einem starken Oxidationsmittel, werden unsubstituierte Glycolgruppen zu zwei benachbarten Aldehydgruppen oxidiert.
Das Schiffsche Reagenz enthält fuchsinschwefelige Säure (farblose Leukobase des Fuchsins/Parrosanilins).
Durch Bindung an die Aldehydgruppen kommt es zu einem molekularen Umbau und ein magenta bis roter Farbkomplex entsteht.

Ansätze:
Perjodsäure:
1g Orthoperjodsäure in 99ml aqua Dest lösen

Schiffs-Reagenz:
5g Parrosanilin in 150ml 1n HCl unter schütteln lösen (es entsteht eine Olivgrüne Lösung)
5g Kaliumdisulfit in 850ml aqua Dest. lösen
Beide Lösungen mischen und 24 Stunden dunkel und Kühl stehen lassen (hin und wieder umschwenken)
Nach 24 Stunden ist die Lösung Strohgelb
3g Aktivkohle-Pulver zugeben und 2-3 Minuten kräftig schütteln
2mal filtrieren
Die Lösung ist nun Farblos
Die Lösung ist gut verschlossen, dunkel und kühl gelagert mehrere Monate haltbar
Vor Gebrauch am besten auf Raumtemperatur erwärmen
Bei rot Verfärbung ist die Lösung unbrauchbar

Hämalaun nach Mayer:
1g Hämatoxylin in 1000ml aqua Dest. lösen
0.2g Natriumjodat und 50g Kalium-Aluminiumsulfat (Kalialaun) zufügen und kräftig schütteln (Lösung ist Blauviolett)
50g Chloralhydrat und 1g Zitronensäure zufügen und kräftig schütteln (Lösung ist nun rotbraun)
Vor Gebrauch filtrieren
Lösung ist sehr lange haltbar

Mein Färbeprotokoll:
1.  Schnitte entparaffinieren und in aqua Dest. bringen
2.  Schnitte 5min. in 1% Perjodsäure-Lösung stellen
3.  Schnitte spülen in aqua Dest.
4.  Schnitte 10min. in Schiffs-Reagenz stellen
5.  Schnitte 2mal spülen in aqua Dest.
6.  Schnitte spülen in warmen Leitungswasser
7.  Schnitte 5min. in Hämalaun nach Mayer stellen
8.  Schnitte 2mal spülen in kaltem Leitungswasser
9.  Schnitte 15 min. in warmen Leitungswasser bläuen
10. Schnitte entwässern über aufsteigender Alkoholreihe
11. Schnitte in Neo-Clear stellen und Eindecken in Neo-Mount oder Schnitte in Xylol stellen und Eindecken in Entellan

Färbeergebnis:
Kerne - blau bis blauviolett
PAS-positives Material - magentarot

PAS-positiv ist vor allem:
Glykogen, neutrale Mukopolysaccharide, Glykolipide, Basalmembranen, Pilzhyphen, Hyalin, Mastzellgranula (Heparin), Kolloid der Schilddrüse, Chitin, Cellulose, Keratin, Kollagenes Bindegewebe, retikulares Bindegewebe, Stärke, Plasmazellen (Immunglobuline), Paneth-Körnerzellen

Aber was habe ich nun gemacht?:
Ich habe überlegt ob man denn auch mal eine andere Farbe als das typische magenta der PAS-Reaktion erhalten kann.
Und so habe ich ein wenig rumprobiert und habe eine "blaue PAS-Reaktion" durchgeführt.
Ich habe statt Parrosanilin einfach Thionin verwendet wodurch das Reaktionsprodukt blau wird.
Dadurch das es sich somit von der fuchsinschwefligen Säure unterscheidet habe ich es thioninschweflige Säure genannt und die Reaktion PAT-Reaktion (Perjodacid-Thionin-Reaction)
Die Färbevorschrift bleibt fast gleich ausser das ich anschließend die Kerne nicht blau durch Hämalaun färbe sondern rot durch Kernechtrot.

Herstellen von Kernechtrot:
0.1g Kernechtrot in 100ml heisser 5%-iger Aluminiumsulfat-Lösung lösen
Nach dem erkalten filtrieren und 1 Tropfen Eisessig zusetzen

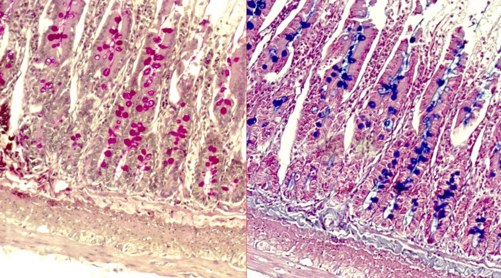
Hier nun ein kleiner Vergleich:

Diese Bilder zeigen das Duodenum einer Springmaus (Dipodidae)
Geschnitten habe ich unfixiert an einem Kryostaten (Gefrierschnitt) auf 4µm
Aufgezogen auf SuperfrostPlus Poly-Lysin-Objektträger
getrocknet bei 45°C
Nachfixierung mit 60% Aceton bei -20°C für 10min.
(Schlechte Schnittqualität durch zu altes Keramikmesser)
links PAS-Reaktion und rechts PAT-Reaktion


Die Bilder zeigen den Uterus eines Teichmolches (Lissotriton vulgaris)
Fixierung in Bouin
Geschnitten nach Paraffineinbettung (V-HartParaffin Typ5 von ThermoFisher) an meinem Microm HM355s Rotationsmikrotom mit einem Keramikmesser auf 0.9µm
Aufgezogen auf SuperfrostPlus Poly-Lysin-Objektträger
getrocknet bei 45°C
links PAS-Reaktion und rechts PAT-Reaktion

Ich bin gespannt was ihr davon haltet!
Mein Fazit ist das mit der PAT-Reaktion, durch den besseren Farbkontrast als bei der PAS-Reaktion, auch kleinste Mengen der nachzuweisenden Strukturen sichtbar gemacht werden können.
Am besten zu sehen an der Schleimauflagerung auf den Zilien beim Uterus des Teichmolches.
Ich hatte leider keine Zeit mehr Bilder zu machen, aber für einen ersten Eindruck ist das ausreichend denke ich.
Bei Gelegenheit folgen natürlich weitere Bilder.
Ich finde solche Farbexperimente lohnen sich hin und wieder :)

Grüße



Mikroskope:
Ergaval
Primostar
AxioImager2
Zeiss Technival1

Mikrotome:
Reichert Jung Hn40 Schlittenmikrotom
Microm HM 355s Rotationsmikrotom
Leica VT1000S Vibratom

Es lebe die Mikroskopie!

Florian Stellmacher

#1
Hallo Max,

Experimente mit Färbungen sind immer interessant, zumal Dein Ergebnis ästhetisch ansprechend ist. Man erkennt in der Tat auch positives Material zwischen den Zilien, das im Vergleichspräparat nicht zu sehen ist.

Die klassische PAS-Reaktion wird in der Diagnostik ja auch kombiniert mit der Alcianblau-Färbung ("Alcian-PAS") eingesetzt, wobei sie z.B. sehr gut zwischen Becherzellen (blau) und Zylinderepithelien der Magenschleimhaut (rot) unterscheidet. Hierdurch sind eine intestinale Metaplasie der Magenschleimhaut, eine Magenschleimhautheterotopie oder eine Barrett-Mukosa gut zu erkennen. Die spezifische Anfärbung beruht hierbei auf dem unterschiedlichen pH-Wert der Substrate.

Vielleicht wäre es interessant zu sehen, wie sich Deine Färbung hier verhält. Eine blau-blau-Kombination wäre sicherlich unsinnig, aber was passiert, wenn Du die klassische PAS- mit Deiner PHT-Reaktion kombinierst? Warscheinlich gibt das violett, aber vielleicht erkennt man doch feinere Unterschiede?

Herzliche Grüße,
Florian
Vorwiegende Arbeitsmikroskope:
Zeiss Axioskop 2
Olympus BHS (DL, Pol, Multidiskussionseinrichtung)
Zeiss Axiophot (DIK und AL-Fluoreszenz)
Zeiss Axiovert (Fluoreszenz)
Wild M400 Fotomakroskop (DL, DF, AL, Pol)

bbb

Hallo Florian,
du hast recht bei der Kombination ensteht ein Violett-Ton, wobei das blau mehr durchsticht.
Genaueres war nicht zu beobachten aber ich bin ja erst am Anfang des Projektes.
Heute habe ich eine Kombination mit Alciangelb ausprobiert und wie es der Zufall will an einem Barrett-Ösophagus vom Mensch! :D
Bilder habe ich nur leider noch nicht durchgeführt.
Aber es zeigen sich sehr gute Ergebnisse bei neutralen Mukopolysacchariden (nMPS) blau und sauren MPS gelb.

Ich muss dich aber leider verbessern, und zwar gibt es in der Magenmukosa keine Becherzellen.
Das was dort durch die PAS-Reaktion rot/magenta angefärbt wird ist der Schleim den die Nebenzellen produzieren und der sich noch teilweise in den Nebenzellen befindet :)
Dieser Schleim ist von neutralem pH um die Magensäure davon abzuhalten die Mukosa des Magen mit zu verdauen.
Oberhalb der Mukosa mischt der Schleim sich mit der HCl den die Belegzellen bilden, dadurch sinkt der pH des Schleims in den sauren Bereich und er wird nun vom Alcianblau blau angefärbt. :)


Grüße



Mikroskope:
Ergaval
Primostar
AxioImager2
Zeiss Technival1

Mikrotome:
Reichert Jung Hn40 Schlittenmikrotom
Microm HM 355s Rotationsmikrotom
Leica VT1000S Vibratom

Es lebe die Mikroskopie!

Florian Stellmacher

Hallo Max,

ZitatIch muss dich aber leider verbessern, und zwar gibt es in der Magenmukosa keine Becherzellen.

Das ist mir so klar, wie es mir als Pathologen hoffentlich sein sollte, und so habe ich es auch nicht gemeint. Ich meinte: Bei der intestinalen Metaplasie der Magenschleimhaut gibt es Becherzellen, und diese zu Erkennen, ist die Aufgabe des Diagnostikers, bei der eine entsprechend differenzierende Färbung hilfreich ist.

Auf die Fotos der mit Aciangelb kombinierten Färbung bin ich gespannt!

Herzliche Grüße,
Florian
Vorwiegende Arbeitsmikroskope:
Zeiss Axioskop 2
Olympus BHS (DL, Pol, Multidiskussionseinrichtung)
Zeiss Axiophot (DIK und AL-Fluoreszenz)
Zeiss Axiovert (Fluoreszenz)
Wild M400 Fotomakroskop (DL, DF, AL, Pol)

bbb

Hallo Florian,
dann hatten wir ein Verständnis Problem! :)
Aber wenn man es von der pathologischen Seite sieht hast du selbst verständlich recht!

Die anderen Bilder werden folgen.  8)
Grüße



Mikroskope:
Ergaval
Primostar
AxioImager2
Zeiss Technival1

Mikrotome:
Reichert Jung Hn40 Schlittenmikrotom
Microm HM 355s Rotationsmikrotom
Leica VT1000S Vibratom

Es lebe die Mikroskopie!

Florian Stellmacher

#5
Hallo Max,

vielleicht ist es an dieser Stelle erforderlich, dass wir für diejenigen, die (noch) nicht so bewandert in der Histologie sind, das Diskutierte mit einem Bild verdeutlichen. Leider habe ich auf die Schnelle nur ein suboptimales Foto in meinem Fundus finden können (auch noch rückkonvertiert aus Powerpoint ...), aber es zeigt recht gut, was so eine kombinierte Färbung leisten kann.

Zu sehen ist ein Schnitt durch den Magenkorpus eines Patienten mit einer intestinalen Metaplasie, d.h. die Magenschleimhaut hat sich hier teilweise in darmähnliche Schleimhaut umgewandelt. Normalerweise wären nur rote Zylinderepithelien zu erkennen, man findet hier jedoch auch zahlreiche Becherzellen, die sich mit Alcianblau blau anfärben. Was mach auch sieht, ist, dass die Routinefärbung so wahnsinnig spezifisch nicht ist - etliche Zylinderepithelien sind hier eher blau gefärbt. Vielleicht liefern Deine Experimente ja ein verlässlicheres Ergebnis? 


Alcian-PAS, Leitz Orthoplan, PL APO 25x, Nikon Coopix 990 über Periplan 10x

Herzliche Grüße,
Florian
Vorwiegende Arbeitsmikroskope:
Zeiss Axioskop 2
Olympus BHS (DL, Pol, Multidiskussionseinrichtung)
Zeiss Axiophot (DIK und AL-Fluoreszenz)
Zeiss Axiovert (Fluoreszenz)
Wild M400 Fotomakroskop (DL, DF, AL, Pol)

bbb

Hallo Florian,
ich finde das Bild reicht zur Veranschaulichung aus.
Danke für die Ergänzung ! :)

Grüße



Mikroskope:
Ergaval
Primostar
AxioImager2
Zeiss Technival1

Mikrotome:
Reichert Jung Hn40 Schlittenmikrotom
Microm HM 355s Rotationsmikrotom
Leica VT1000S Vibratom

Es lebe die Mikroskopie!

Ronald Schulte

Max,

Ein sehr Interessanten Beitrag und kann, lese ich, noch Interessanter werden!

Was mir auffiel ist das die Panneth Zellen in meinen Versuch aber nicht so PAS Positiv sind (Gans Negativ möchte ich es auch nicht nennen).
Meine Frage: "hat die Art von Fixierung ein Einfluss an die Reaktion"? Mein Bild zeigt Panneth Zellen und PAS Positive Schleimbecherzellen im Dünndarm eine Ratte das Fixiert wurde in ein Gemisch von Formalin und Glutaraldehyd.



Grusse Ronald
Mikroskope:
Leitz Orthoplan (DL, AL-Fluoreszenz und Diskussionseinrichtung).
Leica/Wild M715 Stereomikroskop.
Mikrotom:
LKB 2218 Historange Rotationsmikrotom.

bbb

Hallo Ronald,
je nach Fixierung kann die PAS-Reaktion mehr oder weniger stark ausfallen.
Auch durch den langen Aufenthalt von Gewebe in wässrigen Fixierlösungen kann die PAS-Reaktion schwächer ausfallen da einige Substanzen die PAS-positiv sind, auch wasserlöslig sind.

Die Paneth-Körnerzellen sind übrigens mal mehr und mal weniger positiv, je nach stärke der Enzymsekretion.
Grüße



Mikroskope:
Ergaval
Primostar
AxioImager2
Zeiss Technival1

Mikrotome:
Reichert Jung Hn40 Schlittenmikrotom
Microm HM 355s Rotationsmikrotom
Leica VT1000S Vibratom

Es lebe die Mikroskopie!